导丝怎么扩【载药时代 球扩天下】NOVA DES®颅内药物洗脱支架在颅内富穿支区域使用体会二例!

新闻资讯2026-04-21 09:03:48

载药时代 球扩天下

NOVA DES®颅内药物洗脱支架植入

NOVA颅内药物洗脱支架:全球唯一

导丝怎么扩【载药时代 球扩天下】NOVA DES®颅内药物洗脱支架在颅内富穿支区域使用体会二例!_https://www.jmylbn.com_新闻资讯_第1张






 首个无神经毒性安全性的颅内药物支架;





 1年再狭窄6.66%,同裸支架比降低73.4%,从而降低再发卒中88.4%;





 血管内皮愈合导向,28天药物峰值,60天吸收完毕。









































病例一




术者:刘明辉 德州市立医院

导丝怎么扩【载药时代 球扩天下】NOVA DES®颅内药物洗脱支架在颅内富穿支区域使用体会二例!_https://www.jmylbn.com_新闻资讯_第2张

刘明辉


副主任医师,神经外科副主任,硕士研究生。
德城区“首届十佳医师”。

曾先后于济南军区总医院神经外科、北京天坛医院神经介入科进修学习。擅长脑肿瘤、脑外伤、脑中风、脑积水、三叉神经痛、面肌痉挛等疾病的外科手术治疗;尤其在颅内动脉瘤、脑血管畸形、脑梗死血管内机械取栓、脑血管慢闭开通等神经介入微创治疗方面有丰富的临床经验。










































患者基本信息





患者,男,59岁。

主诉:突发失语伴右侧肢体活动不能1天

简要病史:

患者于昨日无明显诱因突然出现右侧肢体活动不利,不能活动,失语,无恶心及呕吐,无意识障碍,无大小便失禁及肢体抽搐。就诊于外院,具体用药不详,症状无好转,为进一步治疗来我院。

既往史:糖尿病、高血压10余年,2年前曾因头晕住院治疗,否认心脏病史,否认肝炎、结核病史 ,3月前脑血管造影:左侧大脑中动脉闭塞。3月前右侧椎动脉支架植入手术史 



既往影像检查





导丝怎么扩【载药时代 球扩天下】NOVA DES®颅内药物洗脱支架在颅内富穿支区域使用体会二例!_https://www.jmylbn.com_新闻资讯_第3张


导丝怎么扩【载药时代 球扩天下】NOVA DES®颅内药物洗脱支架在颅内富穿支区域使用体会二例!_https://www.jmylbn.com_新闻资讯_第4张


导丝怎么扩【载药时代 球扩天下】NOVA DES®颅内药物洗脱支架在颅内富穿支区域使用体会二例!_https://www.jmylbn.com_新闻资讯_第5张

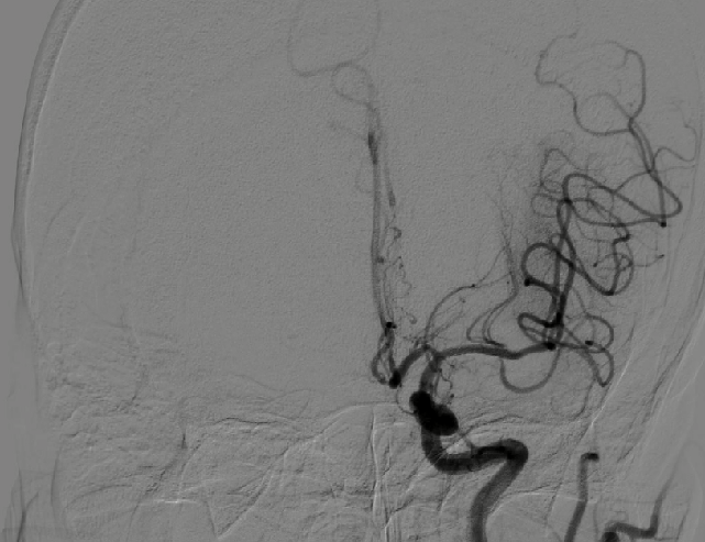
重要影像结论:3月前脑血管造影左侧大脑中动脉闭塞


导丝怎么扩【载药时代 球扩天下】NOVA DES®颅内药物洗脱支架在颅内富穿支区域使用体会二例!_https://www.jmylbn.com_新闻资讯_第6张

MRA


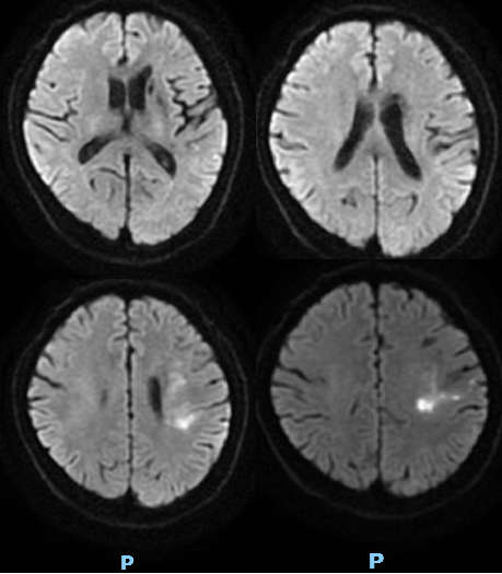
导丝怎么扩【载药时代 球扩天下】NOVA DES®颅内药物洗脱支架在颅内富穿支区域使用体会二例!_https://www.jmylbn.com_新闻资讯_第7张

DWI

重要影像结论:3月前颅脑磁共振示:左侧额顶叶交界区梗死灶(急性或亚急性期),左侧大脑中动脉闭塞。


导丝怎么扩【载药时代 球扩天下】NOVA DES®颅内药物洗脱支架在颅内富穿支区域使用体会二例!_https://www.jmylbn.com_新闻资讯_第8张

导丝怎么扩【载药时代 球扩天下】NOVA DES®颅内药物洗脱支架在颅内富穿支区域使用体会二例!_https://www.jmylbn.com_新闻资讯_第9张

ASL
重要影像结论:3月前ASL示:左侧额颞顶枕叶、右侧颞枕叶血流灌注量明显减低。


入院检查及给药





专科查体:
失语;右侧肢体偏瘫,肌力0级;瞳孔正常;对光反射减弱。
神经系统评分:NIHSS(14);mRS(5)。

药物治疗:

  • 抗血小板聚集:阿司匹林+氯吡格雷

  • 调脂、稳定斑块:阿托伐他汀钙片

  • 保护胃黏膜:兰索拉唑

  • 改善侧枝循环:丁苯酞氯化钠注射液,血栓通

  • 扩容、控制血糖


入院影像检查





导丝怎么扩【载药时代 球扩天下】NOVA DES®颅内药物洗脱支架在颅内富穿支区域使用体会二例!_https://www.jmylbn.com_新闻资讯_第10张

MRA

导丝怎么扩【载药时代 球扩天下】NOVA DES®颅内药物洗脱支架在颅内富穿支区域使用体会二例!_https://www.jmylbn.com_新闻资讯_第11张

DWI
重要影像结论:左侧额顶叶梗死灶(急性或亚急性期),较3月前明显增大,左侧大脑中动脉闭塞。


导丝怎么扩【载药时代 球扩天下】NOVA DES®颅内药物洗脱支架在颅内富穿支区域使用体会二例!_https://www.jmylbn.com_新闻资讯_第12张

导丝怎么扩【载药时代 球扩天下】NOVA DES®颅内药物洗脱支架在颅内富穿支区域使用体会二例!_https://www.jmylbn.com_新闻资讯_第13张

ASL
重要影像结论:ASL示:原左侧额颞顶枕叶、右侧颞枕顶叶血流灌注量明显减低区范围较3月前明显增大。


诊断





主要诊断:左侧额顶叶脑梗死,左侧大脑中闭塞,2型糖尿病,高血压。

病变部位:左侧大脑中动脉

远端正常血管直径(mm):2.0

狭窄处最小直径(mm):闭塞

病变长度(mm):12

狭窄度(%):100%


术前讨论





拟行手术方案:左侧大脑中动脉闭塞开通球囊扩张成型术+药物洗脱支架成型术

手术指征(血管内介入治疗的指征):患者左侧大脑中动脉闭塞,左侧额颞顶枕叶低灌注,小核心梗死灶,进展型脑梗死

治疗策略:微导丝辅助微导管通过闭塞段,确认真腔后,小球囊预扩闭塞段,药物洗脱支架植入。

预估可能性的手术并发症:颅内出血,动脉夹层,穿支动脉闭塞,支架内再狭窄,急性血栓形成,开通失败,术后再灌注损伤等。



术中器械





◆ 操作入路

股动脉穿刺

◆ 造影

造影导丝:150cm泥鳅造影导丝

造影导管:5F猪尾导管,5F单弯导管

导引导管:8F指引导管

颅内支撑导管:5F125 Navien

◆ 通过病变

微导丝:0.014*200cm,0.014*300cm

微导管:Rebar-18

◆ 扩张及植入

球囊导管:赛诺神畅 Neuro RX®1.50*15mm

支架:赛诺神畅 NOVA DES®内药物洗脱支架2.25*15mm



治疗过程





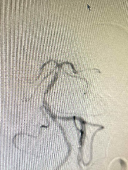
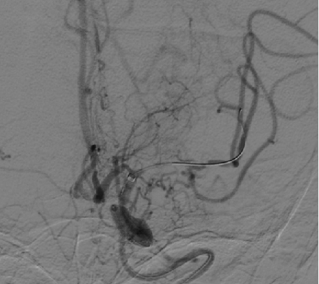
导引导管到位,导丝通过病变。

导丝怎么扩【载药时代 球扩天下】NOVA DES®颅内药物洗脱支架在颅内富穿支区域使用体会二例!_https://www.jmylbn.com_新闻资讯_第14张


导丝怎么扩【载药时代 球扩天下】NOVA DES®颅内药物洗脱支架在颅内富穿支区域使用体会二例!_https://www.jmylbn.com_新闻资讯_第15张


球囊扩张后。

导丝怎么扩【载药时代 球扩天下】NOVA DES®颅内药物洗脱支架在颅内富穿支区域使用体会二例!_https://www.jmylbn.com_新闻资讯_第16张


导丝怎么扩【载药时代 球扩天下】NOVA DES®颅内药物洗脱支架在颅内富穿支区域使用体会二例!_https://www.jmylbn.com_新闻资讯_第17张


支架通过病变。

导丝怎么扩【载药时代 球扩天下】NOVA DES®颅内药物洗脱支架在颅内富穿支区域使用体会二例!_https://www.jmylbn.com_新闻资讯_第18张


导丝怎么扩【载药时代 球扩天下】NOVA DES®颅内药物洗脱支架在颅内富穿支区域使用体会二例!_https://www.jmylbn.com_新闻资讯_第19张


支架释放。

导丝怎么扩【载药时代 球扩天下】NOVA DES®颅内药物洗脱支架在颅内富穿支区域使用体会二例!_https://www.jmylbn.com_新闻资讯_第20张


导丝怎么扩【载药时代 球扩天下】NOVA DES®颅内药物洗脱支架在颅内富穿支区域使用体会二例!_https://www.jmylbn.com_新闻资讯_第21张




术后影像及检查





此例病人术后第2天言语功能完全恢复,术后第3天,右手功能有所恢复,术后1周右上肢功能完全恢复。

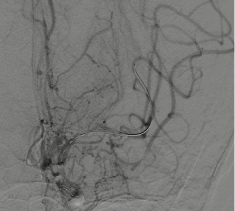
导丝怎么扩【载药时代 球扩天下】NOVA DES®颅内药物洗脱支架在颅内富穿支区域使用体会二例!_https://www.jmylbn.com_新闻资讯_第22张

导丝怎么扩【载药时代 球扩天下】NOVA DES®颅内药物洗脱支架在颅内富穿支区域使用体会二例!_https://www.jmylbn.com_新闻资讯_第23张

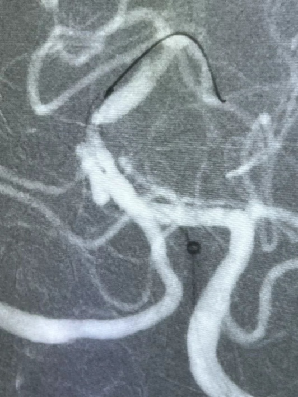
影像结论:左侧大脑中动脉完全开通,达3级再通。

手术总结






操作体会
非急性期大脑中动脉闭塞血管内治疗因技术难度大,并发症发生率较高。常见并发症包括血管穿孔,蛛网膜下腔出血,高灌注综合征,穿支梗塞等。但是通过严格的术前影像学评估和临床筛选,可以对并发症的发生风险进行早期预测,并指导术中球囊、支架器材的选择以及扩张的压力、速度、操作技法的改进。

技术要点

1、微导丝能否顺利通过闭塞段,需判断闭塞血管的性质、闭塞长度、角度和闭塞时间。 

2、术中动作轻柔,避免使用粗暴手法,遇到难以通过的迂曲或闭塞需及时终止手术,避免严重并发症的发生。

3、微导丝微导管小心通过闭塞段并造影观察远端管腔形态,确认位于血管真腔内。

4、当梗塞段出现夹层的情况需置入支架。血管内再通治疗技术是可行的,相对安全的,并且可以改善患者的缺血症状。相信随着介人材料、技术更新及进步,血管内再通治疗能成为患者改善神经功能,提高生活、生存质量的一个新选择。

 总结

颅内动脉支架置入术仍面临术后支架内再狭窄(ISR)的风险。研究表明,颅内动脉支架术后 ISR 发生率高达30%左右,雷帕霉素是经典的细胞周期阻滞药物,可以抑制细胞的增殖,抑制内膜的过度增生,减少炎症细胞激活, 赛诺神畅 NOVA DES®颅内药物洗脱支架发表在JAMA Neurology的研究表明,雷帕霉素药物洗脱支架较裸金属支架相比,可降低68.5%再狭窄率及临床事件的发生,并且与裸金属支架相比具有相同的安全性。目前药物洗脱支架在冠脉狭窄的治疗中已经取得了令人满意的疗效,并且术后 ISR 率较裸金属支架显著降低。本病例患者年龄59岁,预期寿命较长,更适合选用药物洗脱支架以降低远期症状性 ISR 的发生率。其用于非急性期大脑中动脉闭塞血管内治疗是否能带来更大的临床获益,仍需积累大量长期临床随访资料进行进一步验证。








病例二




术者:周涛 淄博市中心医院

导丝怎么扩【载药时代 球扩天下】NOVA DES®颅内药物洗脱支架在颅内富穿支区域使用体会二例!_https://www.jmylbn.com_新闻资讯_第24张

周涛


副主任医师。

现为山东省医学会神经外科青年委员会委员、山东医师协会神经介入委员会常务委员、山东卒中协会介入与手术委员会常务委员、介入委员会委员,山东省脑血管病防治协会理事。










































患者基本信息





患者,女,75岁。

主诉:突发头晕、右侧肢体活动不灵并口角右偏、流涎8小时

简要病史:

8小时前突发头晕、右侧肢体活动不灵并口角右偏、流涎,为进一步诊治,以“脑梗死”收入我科。

既往史:3周前因言语不利及右侧肢体活动不灵入院,MR示脑干梗死,后行基底动脉狭窄球囊扩张成形术,术后症状改善,头晕消失,肌力V-,出院康复


既往影像检查





导丝怎么扩【载药时代 球扩天下】NOVA DES®颅内药物洗脱支架在颅内富穿支区域使用体会二例!_https://www.jmylbn.com_新闻资讯_第25张
DWI

重要影像结论:颅脑MR示桥脑左侧部及双侧基底节区、侧脑室周围、放射冠、半卵圆中心、额顶叶皮层下见散在多发梗死灶


导丝怎么扩【载药时代 球扩天下】NOVA DES®颅内药物洗脱支架在颅内富穿支区域使用体会二例!_https://www.jmylbn.com_新闻资讯_第26张
导丝怎么扩【载药时代 球扩天下】NOVA DES®颅内药物洗脱支架在颅内富穿支区域使用体会二例!_https://www.jmylbn.com_新闻资讯_第27张

DSA

重要影像结论:基底动脉重度狭窄。



入院查体





专科查体:

神志清,言语欠流利,口角向右侧偏斜。瞳孔正常,对光反射灵敏,右侧肢体肌力4级。

神经系统评分:NIHSS(8分),mRS(3级)。


入院影像检查





导丝怎么扩【载药时代 球扩天下】NOVA DES®颅内药物洗脱支架在颅内富穿支区域使用体会二例!_https://www.jmylbn.com_新闻资讯_第28张

DWI

重要影像结论:脑干梗死灶。


导丝怎么扩【载药时代 球扩天下】NOVA DES®颅内药物洗脱支架在颅内富穿支区域使用体会二例!_https://www.jmylbn.com_新闻资讯_第29张

导丝怎么扩【载药时代 球扩天下】NOVA DES®颅内药物洗脱支架在颅内富穿支区域使用体会二例!_https://www.jmylbn.com_新闻资讯_第30张

DSA

重要影像结论:基底动脉重度狭窄。


诊断





病变部位:基底动脉中段

远端正常血管直径(mm):2.37

狭窄处最小直径(mm):2.51

病变长度(mm):0.43

狭窄度(%):>80%


术前讨论





拟行手术方案:支架置入术

手术指征(血管内介入治疗的指征):

既往球囊扩张手术史,短期内症状再次发作并加重,此次入院考虑需要支架置入。

治疗策略:

1、第一次发作,给予球囊扩张,观察20分钟,血流维持较好,患者高龄,颅内血管,且血管狭窄处有夹角,小脑前下动脉自狭窄处发出,尽量不给予支架植入;

2、短期内症状再次出现,并进一步加重,单纯球囊扩张无效,支架置入;

3、复查磁共振梗死灶稳定,急性脑干梗死四周后支架置入。

预估可能性的手术并发症:出血、夹层、血栓、分支血管闭塞、梗死加重。



术中器械





◆ 操作入路

股动脉穿刺

◆ 造影

中间导管:8F Guiding

◆ 球囊预扩

微导丝:ASAHI- CHIKAI200

◆ 扩张及植入

中间导管:5F U-track125

支架:赛诺神畅 NOVA DES®内药物洗脱支架2.5*12mm



治疗过程





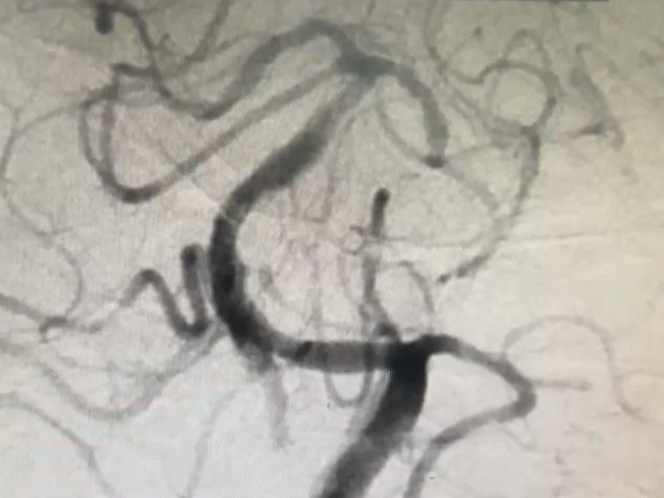
导引导管到位,导丝通过病变。

导丝怎么扩【载药时代 球扩天下】NOVA DES®颅内药物洗脱支架在颅内富穿支区域使用体会二例!_https://www.jmylbn.com_新闻资讯_第31张


支架释放后影像。

导丝怎么扩【载药时代 球扩天下】NOVA DES®颅内药物洗脱支架在颅内富穿支区域使用体会二例!_https://www.jmylbn.com_新闻资讯_第32张


导丝怎么扩【载药时代 球扩天下】NOVA DES®颅内药物洗脱支架在颅内富穿支区域使用体会二例!_https://www.jmylbn.com_新闻资讯_第33张


导丝怎么扩【载药时代 球扩天下】NOVA DES®颅内药物洗脱支架在颅内富穿支区域使用体会二例!_https://www.jmylbn.com_新闻资讯_第34张



术后影像及检查





影像结论:狭窄解除。

导丝怎么扩【载药时代 球扩天下】NOVA DES®颅内药物洗脱支架在颅内富穿支区域使用体会二例!_https://www.jmylbn.com_新闻资讯_第35张


支架位置良好,狭窄解除。
导丝怎么扩【载药时代 球扩天下】NOVA DES®颅内药物洗脱支架在颅内富穿支区域使用体会二例!_https://www.jmylbn.com_新闻资讯_第36张

手术总结






得失体会

老年人椎动脉硬化迂曲严重,锁骨下动脉起始部迂曲严重,需要尽可 能选择通过性良好的中间导管,此例中选用5F SOFIA  125,8F Guiding 定位于椎动脉开口处,依然可以支撑中间导管到位。

手术技巧

1、中间导管尽量走高;

2、使用偏硬微导丝加强球囊导管支撑力,且微导丝尽量走远;

3、血管狭窄处存在夹角,支架释放后再次充分后扩,使支架尽可能贴壁,减少后期支架塌陷等可能。









说明:赛诺神畅医疗科技有限公司为赛诺医疗科学技术股份有限公司控股子公司。


导丝怎么扩【载药时代 球扩天下】NOVA DES®颅内药物洗脱支架在颅内富穿支区域使用体会二例!_https://www.jmylbn.com_新闻资讯_第37张

声明:脑医汇旗下神外资讯、神介资讯、脑医咨询所发表内容之知识产权为脑医汇及主办方、原作者等相关权利人所有。未经许可,禁止进行转载、摘编、复制、裁切、录制等。经许可授权使用,亦须注明来源。欢迎转发、分享。

投稿/会议发布,请联系400-888-2526转3。
导丝怎么扩【载药时代 球扩天下】NOVA DES®颅内药物洗脱支架在颅内富穿支区域使用体会二例!_https://www.jmylbn.com_新闻资讯_第38张

脑医汇App(原神介资讯App短视频”功能全新上线,碎片化时间学习内容,长按识别二维码抢先体验!


请点击“阅读原文”进入赛诺神畅品牌专区。

导丝怎么扩【载药时代 球扩天下】NOVA DES®颅内药物洗脱支架在颅内富穿支区域使用体会二例!_https://www.jmylbn.com_新闻资讯_第39张

点分享

导丝怎么扩【载药时代 球扩天下】NOVA DES®颅内药物洗脱支架在颅内富穿支区域使用体会二例!_https://www.jmylbn.com_新闻资讯_第40张

点点赞

导丝怎么扩【载药时代 球扩天下】NOVA DES®颅内药物洗脱支架在颅内富穿支区域使用体会二例!_https://www.jmylbn.com_新闻资讯_第41张

点在看