导丝怎么扩【载药时代 球扩天下】NOVA DES®颅内药物球扩支架在大脑中动脉重度狭窄中的应用——济南市第四人民医院使用体会一例!

新闻资讯2026-04-21 09:03:54


载药时代 球扩天下

NOVA DES®颅内药物支架植入

NOVA颅内药物球扩支架:全球唯一

导丝怎么扩【载药时代 球扩天下】NOVA DES®颅内药物球扩支架在大脑中动脉重度狭窄中的应用——济南市第四人民医院使用体会一例!_https://www.jmylbn.com_新闻资讯_第1张






首个无神经毒性安全性的颅内药物支架;





1年再狭窄6.66%,同裸支架比降低73.4%,从而降低再发卒中88.4%;





血管内皮愈合导向,28天药物峰值,60天吸收完毕。









































指导术者:吴伟 山东大学齐鲁医院

导丝怎么扩【载药时代 球扩天下】NOVA DES®颅内药物球扩支架在大脑中动脉重度狭窄中的应用——济南市第四人民医院使用体会一例!_https://www.jmylbn.com_新闻资讯_第2张

吴伟

医学博士,博士后,主任医师,硕士研究生导师,科室副主任

中华医学会神经内科分会脑血管病学组委员

中华医学会神经内科分会神经血管内治疗协作组成员

中国卒中学会神经介入分会常务委员

中国医师协会神经介入分会委员

卫健委脑卒中筛查与防治基地医院专家委员会委员

中国医师协会神经内科医师分会神经介入专业委员会委员

中国研究型医院学会介入神经病学专委会常务委员

中华预防医学会卒中预防与控制专业委员会缺血性脑血管病介入治疗学组成员

中国医师协会山东省神经内科分会委员

山东省医学会脑血管病分会委员兼脑血管介入学组组长

山东省卒中学会神经介入分会主任委员

1990年山东医科大学本科,1999年至2005年在山东大学齐鲁医院攻读硕士及博士学位,2012年至2016年在首都医科大学天坛医院博士后研究。

擅长脑血管病、癫痫等神经科疾病常见病及疑难病的诊治,尤其在缺血性脑血管病的预防、治疗、临床科研及介入治疗方面有一定造诣。


术者:刘桂阳 济南市第四人民医院

导丝怎么扩【载药时代 球扩天下】NOVA DES®颅内药物球扩支架在大脑中动脉重度狭窄中的应用——济南市第四人民医院使用体会一例!_https://www.jmylbn.com_新闻资讯_第3张

刘桂阳

医学硕士,副主任医师,神经外一科副主任

济南市十佳医师,济南市“五一劳动奖章”获得者,擅长脑血管病的介入及手术治疗,在颅内外血管支架、动脉瘤介入治疗,脑动脉取栓、颈动脉内膜剥脱术等手术方面积累了丰富的临床经验。










































患者基本信息





患者,男,46岁。

主诉:脑梗死一月,发现左侧大脑中动脉狭窄半月

简要病史:患者于1个月前因“言语不清、右侧肢体活动不灵”入院,诊断为:脑梗死, 予以活血及抗血小板对症治疗。2022-01-14全脑血管造影术示左大脑中动脉M1末端 狭窄约90%,右椎动脉开口狭窄约50%,并继续予以抗血小板、降脂对症治疗。

既往史:既往 有“高血压”病史10余年,目前服用“缬沙坦”控制血压。10余年前因“泌尿系结石”行碎石术



入院检查及给药





专科查体:言语不利,行动如常,肌力5级,瞳孔正常,对光反射灵敏

神经系统评分:NIHSS:1分,mRS:1分



既往病史影像留存





导丝怎么扩【载药时代 球扩天下】NOVA DES®颅内药物球扩支架在大脑中动脉重度狭窄中的应用——济南市第四人民医院使用体会一例!_https://www.jmylbn.com_新闻资讯_第4张

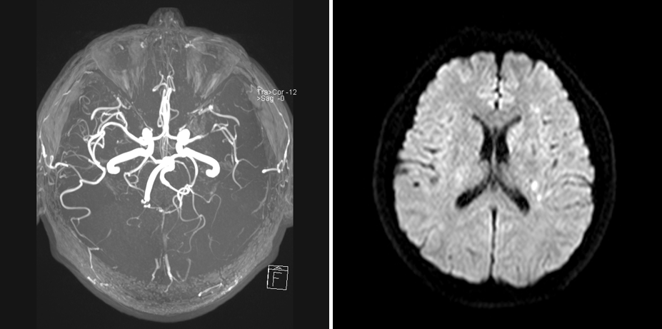
MRA

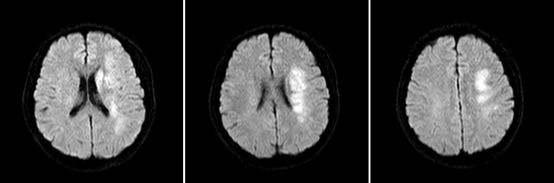
DWI


导丝怎么扩【载药时代 球扩天下】NOVA DES®颅内药物球扩支架在大脑中动脉重度狭窄中的应用——济南市第四人民医院使用体会一例!_https://www.jmylbn.com_新闻资讯_第5张

DWI

重要影像结论:左基底节区、放射冠区脑梗死,左大脑中动脉M1末端狭窄。


导丝怎么扩【载药时代 球扩天下】NOVA DES®颅内药物球扩支架在大脑中动脉重度狭窄中的应用——济南市第四人民医院使用体会一例!_https://www.jmylbn.com_新闻资讯_第6张

DSA

重要影像结论:左大脑中动脉M1末端重度狭窄。



入院影像检查





导丝怎么扩【载药时代 球扩天下】NOVA DES®颅内药物球扩支架在大脑中动脉重度狭窄中的应用——济南市第四人民医院使用体会一例!_https://www.jmylbn.com_新闻资讯_第7张

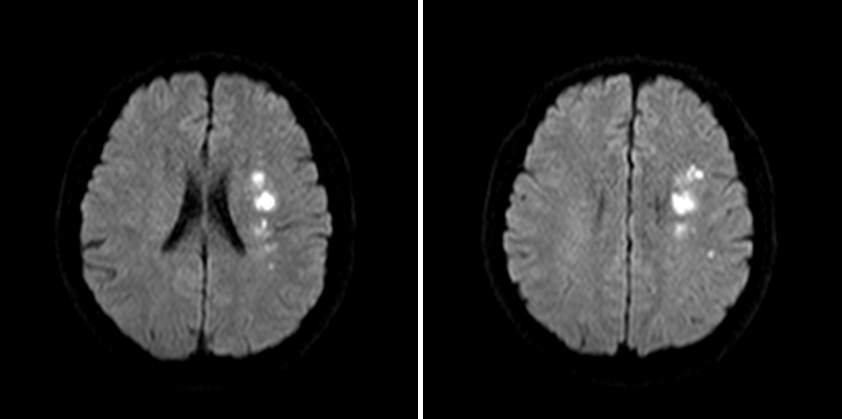
DWI

重要影像结论:左基底节区及放射冠区脑梗死。



诊断





病变部位:左大脑中动脉M1末端

远端正常血管直径(mm):1.99

狭窄处最小直径(mm):0.2

病变长度(mm):8.59

狭窄度(%):90%



术前讨论





拟行手术方案:左大脑中动脉球囊扩张术+支架成形术

手术指征(血管内介入治疗的指征):

左大脑中动脉M1段末端重度狭窄,引起基底节区及放射冠区脑梗死,有介入治疗手术指征。

治疗策略:

两条微导丝分别送入大脑中动脉上下干,先于大脑中动脉M1段及下干或上干行球囊扩张,如果成形良好,结束手术,如果成形不满意或形成血管夹层,置入支架。

预估可能性的手术并发症:出血,夹层,远端血管闭塞。



术中器械





◆ 操作入路

股动脉穿刺

◆ 造影

导引导管:8F导引导管,6F中间导管0.072in*115cm

◆ 通过病变

微导丝:Avigo 200cm微导丝

◆ 扩张及植入

球囊导管:赛诺神畅 颅内球囊扩张导管Neuro RX®2.00*15mm

支架:赛诺神畅 颅内药物支架NOVA DES®2.25*10mm



治疗过程





两条Avigo微导丝分别送入左大脑中动脉上下干。

导丝怎么扩【载药时代 球扩天下】NOVA DES®颅内药物球扩支架在大脑中动脉重度狭窄中的应用——济南市第四人民医院使用体会一例!_https://www.jmylbn.com_新闻资讯_第8张

导引导管到位,导丝通过病变


赛诺神畅 颅内球囊扩张导管Neuro RX®2.00*15mm小心通过狭窄段。

导丝怎么扩【载药时代 球扩天下】NOVA DES®颅内药物球扩支架在大脑中动脉重度狭窄中的应用——济南市第四人民医院使用体会一例!_https://www.jmylbn.com_新闻资讯_第9张

球囊通过病变


缓慢扩张球囊,球囊成形好。

导丝怎么扩【载药时代 球扩天下】NOVA DES®颅内药物球扩支架在大脑中动脉重度狭窄中的应用——济南市第四人民医院使用体会一例!_https://www.jmylbn.com_新闻资讯_第10张

球囊扩张过程


扩张后,狭窄稍有改善。

导丝怎么扩【载药时代 球扩天下】NOVA DES®颅内药物球扩支架在大脑中动脉重度狭窄中的应用——济南市第四人民医院使用体会一例!_https://www.jmylbn.com_新闻资讯_第11张

扩张后造影


在大脑中动脉M1末端及上干起始段置入赛诺神畅 颅内药物支架NOVA DES®2.25*10mm,球囊扩张成形,支架成形好,狭窄处扩张好,下干未闭塞。

导丝怎么扩【载药时代 球扩天下】NOVA DES®颅内药物球扩支架在大脑中动脉重度狭窄中的应用——济南市第四人民医院使用体会一例!_https://www.jmylbn.com_新闻资讯_第12张

支架释放



术后影像及检查





全脑及病变处不同体位造影:狭窄处成形好,未残余明显狭窄,左大脑中动脉主干及各分支显影好。

导丝怎么扩【载药时代 球扩天下】NOVA DES®颅内药物球扩支架在大脑中动脉重度狭窄中的应用——济南市第四人民医院使用体会一例!_https://www.jmylbn.com_新闻资讯_第13张

导丝怎么扩【载药时代 球扩天下】NOVA DES®颅内药物球扩支架在大脑中动脉重度狭窄中的应用——济南市第四人民医院使用体会一例!_https://www.jmylbn.com_新闻资讯_第14张


手术总结






得失体会

1. 术中仔细操作,避免损伤大脑中动脉分支。

2. 术中送入两条微导丝,分别保护上下干,如果某一干闭塞,可沿预先置入的微导丝送入球囊或支架,将闭塞分支开通。

3. 术中如果单纯球囊扩张不满意或形成夹层,需置入血管支架。

手术技巧

术中将Navien导管送至颈内动脉岩骨段,增加支撑力,将两条微导丝分别送入左大脑中动脉上下干,先沿上干微导丝送入球囊扩张,效果差, 再沿下干微导丝送入球囊扩张,效果仍差,大脑中动脉M1末端狭窄有改善,但狭窄仍较重,遂用赛诺神畅 颅内药物支架NOVA DES®2.25*10mm置入左大脑中动脉M1末端及上干内,球囊扩张成形,支架成形好,血管成形满意,确定下干无闭塞后,撤出下干微导丝。






导丝怎么扩【载药时代 球扩天下】NOVA DES®颅内药物球扩支架在大脑中动脉重度狭窄中的应用——济南市第四人民医院使用体会一例!_https://www.jmylbn.com_新闻资讯_第15张










导丝怎么扩【载药时代 球扩天下】NOVA DES®颅内药物球扩支架在大脑中动脉重度狭窄中的应用——济南市第四人民医院使用体会一例!_https://www.jmylbn.com_新闻资讯_第16张

声明:脑医汇旗下神外资讯、神介资讯、脑医咨询所发表内容之知识产权为脑医汇及主办方、原作者等相关权利人所有。未经许可,禁止进行转载、摘编、复制、裁切、录制等。经许可授权使用,亦须注明来源。欢迎转发、分享。

导丝怎么扩【载药时代 球扩天下】NOVA DES®颅内药物球扩支架在大脑中动脉重度狭窄中的应用——济南市第四人民医院使用体会一例!_https://www.jmylbn.com_新闻资讯_第17张

请点击“阅读原文”进入赛诺神畅品牌专区。

导丝怎么扩【载药时代 球扩天下】NOVA DES®颅内药物球扩支架在大脑中动脉重度狭窄中的应用——济南市第四人民医院使用体会一例!_https://www.jmylbn.com_新闻资讯_第18张

点分享

导丝怎么扩【载药时代 球扩天下】NOVA DES®颅内药物球扩支架在大脑中动脉重度狭窄中的应用——济南市第四人民医院使用体会一例!_https://www.jmylbn.com_新闻资讯_第19张

点点赞

导丝怎么扩【载药时代 球扩天下】NOVA DES®颅内药物球扩支架在大脑中动脉重度狭窄中的应用——济南市第四人民医院使用体会一例!_https://www.jmylbn.com_新闻资讯_第20张

点在看