导丝怎么扩【问术ASK】佟铸教授:双侧髂总动脉“对吻”球扩覆膜支架植入术

新闻资讯2026-04-21 09:03:55

导丝怎么扩【问术ASK】佟铸教授:双侧髂总动脉“对吻”球扩覆膜支架植入术_https://www.jmylbn.com_新闻资讯_第1张

A

SK问术

编者按

非学无以广才,非志无以成学。随着医疗行业不断进步,术式与器械的不断更新为患者带来了更多的福音,同时临床医生技能也历经了更多挑战与提升。为此,BD联合血管资讯,特创【问术ASK病例专栏】,问术取道,邂逅时代的强音;技艺交融,共享艺术之真知。ASK,即Approach、Skill、Knowledge。本专栏汇聚血管外科多领域经典疑难病例,展现医生风采,打造一个血管外科领域医生交流共享病例的平台,为医疗事业的发展及进步贡献绵薄之力。

今天小编就为大家分享由首都医科大学宣武医院血管外科佟铸教授带来的病例分享。欢迎大家阅读分享、交流探讨!



病例详情




病例情况

性别:

年龄:64岁

主诉:右下肢伴臀肌间歇性跛行6个月余,跛行距离约100米

查体:双下肢皮肤无明显色苍白、皮肤干燥、肌肉萎缩等。右侧小腿中下及足部皮温略低于左侧,左侧股动脉、腘动脉、足背动脉、胫后动脉搏动可触及;右侧股动脉、腘动脉搏动减弱,足背动脉、胫后动脉搏动未触及。无异常搏动型包块及震颤,双下肢肌力5级,未闻及血管杂音。

既往病史:高血压3级病史5年,40余年吸烟史,20+支/天。

术前影像学资料:

导丝怎么扩【问术ASK】佟铸教授:双侧髂总动脉“对吻”球扩覆膜支架植入术_https://www.jmylbn.com_新闻资讯_第2张
导丝怎么扩【问术ASK】佟铸教授:双侧髂总动脉“对吻”球扩覆膜支架植入术_https://www.jmylbn.com_新闻资讯_第3张


术前ABI:左1.10 右0.62

术前诊断结果:

  • 下肢动脉硬化闭塞症(R3级)

  • 右侧髂总动脉狭窄

  • 高血压 3级




病例特点

患者为64岁中年男性,本次因右下肢及臀肌跛行症状入院。患者对生活质量要求较高,治疗意愿迫切。
病变部位位于右侧髂总动脉起始部,近腹主动脉末端分叉部位,术中行造影进一步明确病变位置,选择合适尺寸的支架完整覆盖病变,同时要注意球囊扩张及支架植入过程中出现夹层、斑块脱落、或髂动脉破裂出血的风险,并做好应急预案措施。
髂总动脉近端病变距离腹主动脉末端分叉处位置较近,球囊扩张或支架植入可能导致对侧髂总动脉闭塞及覆盖风险,针对该病例拟行双侧髂总动脉“对吻”支架植入术。
具体操作过程需要导丝导管精准真腔通过病变,避免形成夹层;球囊扩张成形后,支架准确定位,平稳释放。由于主髂动脉病变扩张过程中易出现动脉夹层甚至破裂,严重时危及患者生命,因此选择球囊扩张式覆膜支架更为安全。





治疗方案及制定策略

病情诊断明确,术前检查未见手术禁忌,在局麻下行双侧髂总动脉“对吻”技术支架植入术。


1. 入路选择:左侧股总动脉逆行穿刺建立入路,进入PIGTAIL导管造影明确病变位置。成功建立双侧股动脉入路后,更换长鞘,行双侧髂总动脉“对吻”支架植入术。

2. 出血:精准操作,合理选择导丝导管,轻柔精准确认真腔通过病变,避免产生夹层,小球囊预扩张或逐级扩张,谨慎选择球囊及支架型号。

3. 术中栓塞事件:严格肝素化,轻柔操作,选择球扩式覆膜支架完全准确覆盖病变,防止斑块破裂或者血栓脱落造成远端动脉栓塞,手术结束前判断患者远端血供变化。





拟用手术器械及药物使用

1. 球囊及支架: 

  • 球囊:5mm*40-60mm,10-12mm*40-60mm

  • 支架:8-10mm*38-58mm(球扩覆膜支架)

2. 入路首先选用6F短穿刺鞘,释放支架时选用8F*45cm长鞘。

3. 导丝及导管:泥鳅及加硬泥鳅导丝,PIGTAIL及VER导管。





手术过程

1. 病人摆位:

仰卧位,正躺,双腹股沟、会阴、双下肢常规消毒铺无菌单。


2. 穿刺及入路建立:

(1)透视下定位穿刺右侧股总动脉,逆行入路置入6F泰尔茂穿刺短鞘;静脉给予普通肝素5000单位。


3. 术前造影:

(2)泥鳅导丝配合PIGTAIL导管进入腹主动脉,行主髂动脉造影显示:右侧髂总动脉重度狭窄,走行迂曲,后伴狭窄后扩张;双侧髂内、髂外动脉显影正常。

导丝怎么扩【问术ASK】佟铸教授:双侧髂总动脉“对吻”球扩覆膜支架植入术_https://www.jmylbn.com_新闻资讯_第4张

(3)建立右侧股总动脉逆行入路后,泥鳅导丝配合VER导管通过髂总动脉病变后,双侧入路交换为260cm加硬泥鳅导丝,随即透视监视下导入 8F*45cm长鞘至双侧髂外动脉近端;延右侧导丝进入INVETEC 5*40mm球囊行右侧髂总动脉狭窄病变预扩张。

导丝怎么扩【问术ASK】佟铸教授:双侧髂总动脉“对吻”球扩覆膜支架植入术_https://www.jmylbn.com_新闻资讯_第5张


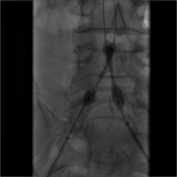
(4)延双侧加硬泥鳅导丝进入LifeStream 10*38mm球扩覆膜支架,再次经双侧长鞘同时造影,明确病变及支架释放位置。 

导丝怎么扩【问术ASK】佟铸教授:双侧髂总动脉“对吻”球扩覆膜支架植入术_https://www.jmylbn.com_新闻资讯_第6张

(5) 行双侧髂总动脉“对吻”支架植入术,并双侧导入INVETEC 12*40mm行双侧髂总动脉支架内近端行球囊扩张。

导丝怎么扩【问术ASK】佟铸教授:双侧髂总动脉“对吻”球扩覆膜支架植入术_https://www.jmylbn.com_新闻资讯_第7张
导丝怎么扩【问术ASK】佟铸教授:双侧髂总动脉“对吻”球扩覆膜支架植入术_https://www.jmylbn.com_新闻资讯_第8张
导丝怎么扩【问术ASK】佟铸教授:双侧髂总动脉“对吻”球扩覆膜支架植入术_https://www.jmylbn.com_新闻资讯_第9张
导丝怎么扩【问术ASK】佟铸教授:双侧髂总动脉“对吻”球扩覆膜支架植入术_https://www.jmylbn.com_新闻资讯_第10张


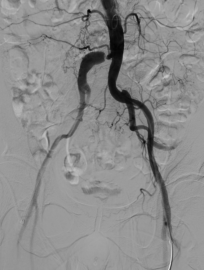
(6) 最后造影示,双侧髂总动脉及远端髂动脉通畅,支架张开充分,贴壁良好,位置理想,无造影及外溢。远端造影未见栓塞。

导丝怎么扩【问术ASK】佟铸教授:双侧髂总动脉“对吻”球扩覆膜支架植入术_https://www.jmylbn.com_新闻资讯_第11张


(7) 拔除器械,清点纱布器械无误,缝合器(proelide)关闭双侧股动脉穿刺点,加压包扎止血确切。双侧足背胫后动脉搏动好。





随访需求及医嘱

术后口服阿司匹林100mg qd,氯吡格雷75mg qd,阿托伐他汀 20mg qn,嘱患者术后1个月、3个月、6个月、1年及后每年复查血管超声。





手术总结



BD公司的球扩式覆膜支架LifeStream经CFDA批准专用于髂总髂外动脉区域,临床数据提示安全可靠,中远期通畅率高。球扩式支架较自膨式支架定位更加准精准,利于释放过程总保护对侧髂总动脉及同侧髂内动脉;覆膜支架可隔绝病变血管床,从而降低动脉破裂、远端栓塞、后期内皮增生导致再狭窄可能。球扩式覆膜支架LifeStream保留了球扩式支架准确定位释放的优势,同时兼有覆膜支架隔绝病变、降低破裂风险的特点,从该病例中也能够发现该支架具有较好的柔顺性,能够适应迂曲的髂总动脉血管形态。释放前使用相对小球囊预扩张病变,利于支架系统通过;释放后使用相对大球囊行支架内后扩张,利于更大的管腔获得,维持靶血管长期通畅。



 导丝怎么扩【问术ASK】佟铸教授:双侧髂总动脉“对吻”球扩覆膜支架植入术_https://www.jmylbn.com_新闻资讯_第12张
佟铸 教授

博士,主任医师,科室副主任,长期从事下肢动脉硬化闭塞症的外科治疗。于2005年-2006年赴加拿大西安大略大学学习,于2011年赴美国加州大学戴维斯分校进修,于2013年赴美国耶鲁大学New Haven医院进修。目前担任中华医学会组织修复与再生医学分会青年委员会副主任委员、国际血管联盟中国分部转化医学专家委员会副主任委员,国际血管联盟中国分部青年委员会副主任委员。


 导丝怎么扩【问术ASK】佟铸教授:双侧髂总动脉“对吻”球扩覆膜支架植入术_https://www.jmylbn.com_新闻资讯_第13张
李立强 教授

医学博士,主治医师。从事血管外科常见疾病的诊断和治疗,特别是急慢性下肢缺血、下肢动脉硬化闭塞症、血栓闭塞性脉管炎的手术和介入治疗。任国际血管联盟中国分部青年委员会委员。




RECOMMEND

推荐阅读

【问术ASK】王亮教授团队:精准定位,安全覆盖,有力支撑,球扩覆膜支架在动脉开口处重度狭窄的腔内治疗体会

【问术ASK】王瑞华教授团队:“刚柔并济”,主髂动脉闭塞长段病变的腔内治疗心得

【问术ASK】袁丁教授&黄斌教授:精益求精,返璞归真,球扩覆膜支架在主髂动脉疾病CERAB技术运用

【问术ASK】高斌教授团队:Rotarex导管吸栓治疗双下肢动脉多发骑跨栓病例

【问术ASK】梁卫教授:踝下动脉双导丝球囊应用

【问术ASK】叶开创教授:深静脉血栓形成后髂股静脉慢性闭塞的腔内开通和术后处理

【问术ASK】李栋林教授:测量球囊在下肢动脉闭塞病变的临床实践

【问术ASK】肖航教授:经鼻烟壶远端桡动脉入路Rotarex机械旋切系统治疗肠系膜上动脉急性栓塞

【问术ASK】吴巍巍教授&张童教授:髂动脉硬化闭塞的腔内治疗策略

【问术ASK】唐博教授团队:灾难性抗磷脂综合征合并股青肿病例分享

【问术ASK】赵渝教授团队:髂静脉压迫综合征病例精读

【问术ASK】方欣教授:擘两分星,不差累黍,LifeStream在髂动脉开口病变中的应用新体验

【问术ASK】刘勇教授:下肢动脉硬化闭塞症病例精读

【问术ASK】史振宇教授:髂静脉受压综合征及PTS病例精读两例

问术ASK】叶开创教授:急性左下肢深静脉血栓病例精读

导丝怎么扩【问术ASK】佟铸教授:双侧髂总动脉“对吻”球扩覆膜支架植入术_https://www.jmylbn.com_新闻资讯_第14张


导丝怎么扩【问术ASK】佟铸教授:双侧髂总动脉“对吻”球扩覆膜支架植入术_https://www.jmylbn.com_新闻资讯_第15张

血管资讯学术会议专区

网址 : xgzx.talkmed.com

▇ 扫描左侧二维码

即刻回顾精彩学术会议