导丝怎么扩【载药时代 球扩天下】NOVA DES®颅内药物洗脱支架在大脑中动脉重度狭窄的应用二例!

新闻资讯2026-04-21 09:03:43

载药时代 球扩天下

NOVA DES®颅内药物洗脱支架植入

NOVA颅内药物洗脱支架:全球唯一

导丝怎么扩【载药时代 球扩天下】NOVA DES®颅内药物洗脱支架在大脑中动脉重度狭窄的应用二例!_https://www.jmylbn.com_新闻资讯_第1张






 首个无神经毒性安全性的颅内药物支架;





 1年再狭窄6.66%,同裸支架比降低73.4%,从而降低再发卒中88.4%;





 血管内皮愈合导向,28天药物峰值,60天吸收完毕。









































病例一




术者:张占伟 湖南中医药大学第一附属医院

导丝怎么扩【载药时代 球扩天下】NOVA DES®颅内药物洗脱支架在大脑中动脉重度狭窄的应用二例!_https://www.jmylbn.com_新闻资讯_第2张

张占伟


湖南中医药大学第一附属医院神经外科副主任,医学博士,副主任医师。

学术任职:中国医师协会多模影像与神经修复专业委员会委员,湖南中医药协会中西医结合外科专业委员会常务委员,湖南省健康管理学会神经重症精细化管理专业委员会常务委员,长沙市医学会神经外科专业委员会委员。

主持省级科研课题3项,发表国家级期刊学术论文17篇,其中SCI 3篇。

专业方向:颅内动脉瘤、脑血管畸形等常见脑血管疾病的手术治疗和血管内介入治疗;急性缺血性脑卒中和慢性颅内动脉狭窄的血管内介入治疗;神经外科急危重症(重型颅脑损伤、重症脑出血、高位脊髓脊柱损伤)的手术治疗及围手术期的中医药干预治疗。










































患者基本信息





患者,女,72岁。

主诉:左侧肢体无力进展性加重5天,意识模糊3小时

简要病史:

5天前无明显诱因出现左侧肢体无力,当地医院经输液后好转。1天前再次出现左侧肢体无力,并持续加重,3小时前出现意识模糊。

既往史:高血压、糖尿病、高血脂、心率失常。

查体:言语不利,行动不利,肌力(左上肢1级、下肢2级),瞳孔正常,对光反射灵敏,神经系统评分NIHSS(18)。



入院影像检查





导丝怎么扩【载药时代 球扩天下】NOVA DES®颅内药物洗脱支架在大脑中动脉重度狭窄的应用二例!_https://www.jmylbn.com_新闻资讯_第3张

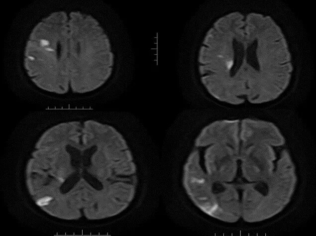
MRI+DWI

重要影像结论:右侧放射区、右侧基底节区、左侧额叶近大脑镰处多发急性梗死。

导丝怎么扩【载药时代 球扩天下】NOVA DES®颅内药物洗脱支架在大脑中动脉重度狭窄的应用二例!_https://www.jmylbn.com_新闻资讯_第4张
MRI  T2相

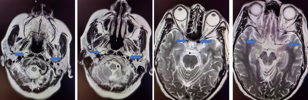
重要影像结论:右侧颈内动脉岩骨段管腔内不清晰,眼动脉段远端管腔较对侧明显缩小。


导丝怎么扩【载药时代 球扩天下】NOVA DES®颅内药物洗脱支架在大脑中动脉重度狭窄的应用二例!_https://www.jmylbn.com_新闻资讯_第5张

导丝怎么扩【载药时代 球扩天下】NOVA DES®颅内药物洗脱支架在大脑中动脉重度狭窄的应用二例!_https://www.jmylbn.com_新闻资讯_第6张

重要影像结论:右侧ICA起始部急性闭塞,前交通动脉、后交通动脉未开放。


诊断





  1. 右侧颈内动脉急性闭塞
  2. 多发脑梗死

  3. 高血压病 3级极高危

  4. 2型糖尿病

  5. 高脂血症

  6. 心率失常

  7. 心房早搏


术前讨论





拟行手术方案:急诊颅内动脉取栓术+动脉狭窄球球囊扩张血管成型+支架植入

手术指征(血管内介入治疗的指征):

  1. 进展性左侧肢体乏力5天;

  2. 意识障碍3小时;

  3. MRI+DWI可存大量挽救脑组织窗;

  4. 家属意愿强烈。

治疗策略:
  1. 颅内动脉取栓术;

  2. 若存在ICAS,积极球囊扩张血管成型;

  3. 在血小板抑制药的充分试用下,必要时支架植入。

预估可能性的手术并发症:出血、夹层、开通失败。


术中器械





◆ 操作入路

股动脉穿刺

◆ 建立通路

导引导管:6F 颅内远端通路导管 115cm,8F MPA

◆ 通过病变

微导丝:Synchro-14 微导丝

微导管:Excessior XT-27

◆ 扩张及植入

取栓支架:Reco 6.0*30mm
球囊导管:PTA球囊 4.0*20mm

支架:赛诺神畅 NOVA DES®内药物洗脱支架 2.5*15mm



治疗过程





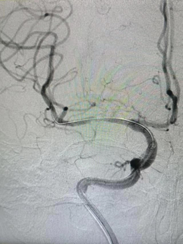
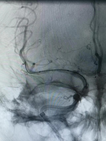
6F-远端通路导管在黑泥鳅导丝的指引下通过闭塞段送至眼动脉段,造影证实闭塞段在海绵窦段,予以ADPAT技术取出少量血栓,仍未开通。

导丝怎么扩【载药时代 球扩天下】NOVA DES®颅内药物洗脱支架在大脑中动脉重度狭窄的应用二例!_https://www.jmylbn.com_新闻资讯_第7张

导丝怎么扩【载药时代 球扩天下】NOVA DES®颅内药物洗脱支架在大脑中动脉重度狭窄的应用二例!_https://www.jmylbn.com_新闻资讯_第8张


通过微导管释放取栓支架,SWIM取栓技术,可见海绵窦段狭窄,前向血流不稳定。

导丝怎么扩【载药时代 球扩天下】NOVA DES®颅内药物洗脱支架在大脑中动脉重度狭窄的应用二例!_https://www.jmylbn.com_新闻资讯_第9张

导丝怎么扩【载药时代 球扩天下】NOVA DES®颅内药物洗脱支架在大脑中动脉重度狭窄的应用二例!_https://www.jmylbn.com_新闻资讯_第10张


利用PTA球囊导管对狭窄处进行扩张,可见狭窄明显改善,但眼动脉段以后闭塞,再次将取栓支架予以取栓,可见斑块逃逸至M1段。

导丝怎么扩【载药时代 球扩天下】NOVA DES®颅内药物洗脱支架在大脑中动脉重度狭窄的应用二例!_https://www.jmylbn.com_新闻资讯_第11张

导丝怎么扩【载药时代 球扩天下】NOVA DES®颅内药物洗脱支架在大脑中动脉重度狭窄的应用二例!_https://www.jmylbn.com_新闻资讯_第12张


多次利用取栓支架SWIM技术对逃逸斑块进行取栓但未成功。

导丝怎么扩【载药时代 球扩天下】NOVA DES®颅内药物洗脱支架在大脑中动脉重度狭窄的应用二例!_https://www.jmylbn.com_新闻资讯_第13张

导丝怎么扩【载药时代 球扩天下】NOVA DES®颅内药物洗脱支架在大脑中动脉重度狭窄的应用二例!_https://www.jmylbn.com_新闻资讯_第14张


利用赛诺神畅 NOVA DES®内药物洗脱支架锚定后释放,血管再通,mTICI 3级,局部动脉给药替罗非班(0.2ug/kg.min)约3ml,持续15分钟。静脉(0.1ug/kg.min)持续泵入24小时后改为口服双抗。

导丝怎么扩【载药时代 球扩天下】NOVA DES®颅内药物洗脱支架在大脑中动脉重度狭窄的应用二例!_https://www.jmylbn.com_新闻资讯_第15张

导丝怎么扩【载药时代 球扩天下】NOVA DES®颅内药物洗脱支架在大脑中动脉重度狭窄的应用二例!_https://www.jmylbn.com_新闻资讯_第16张


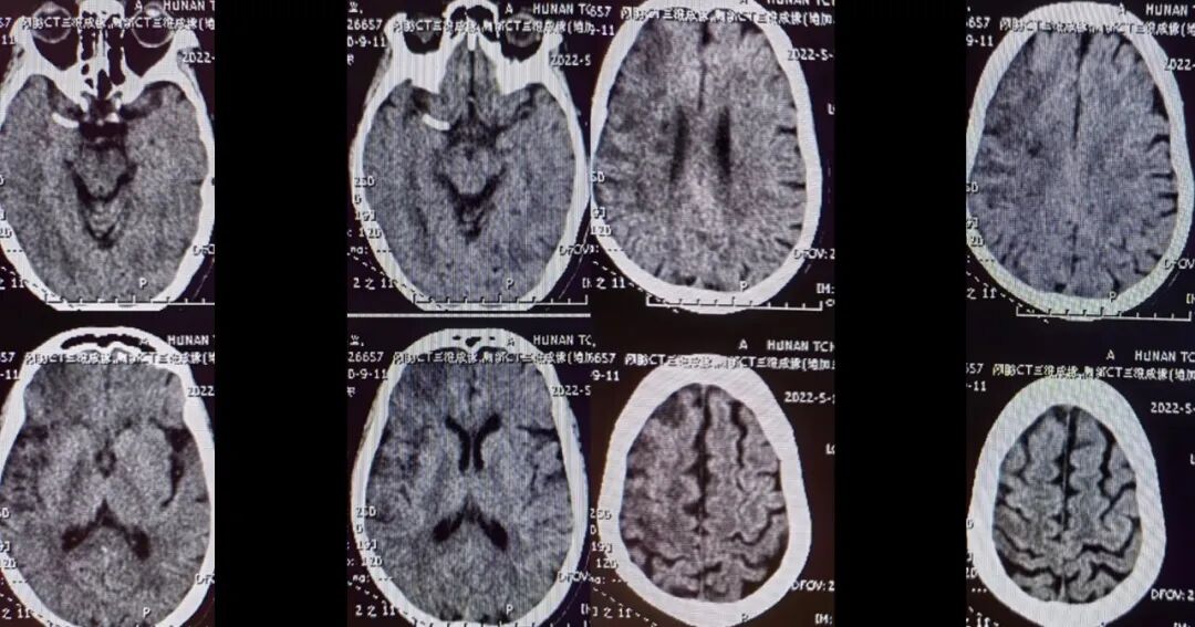
术后影像及随访





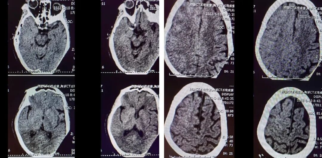
(术后8h CT)右侧放射冠区、右侧基底节区、右侧额叶多发急性梗死。

导丝怎么扩【载药时代 球扩天下】NOVA DES®颅内药物洗脱支架在大脑中动脉重度狭窄的应用二例!_https://www.jmylbn.com_新闻资讯_第17张


(术后7d CT)右侧放射冠区、右侧基底节区、右侧颞叶、额叶多发急性梗死。
导丝怎么扩【载药时代 球扩天下】NOVA DES®颅内药物洗脱支架在大脑中动脉重度狭窄的应用二例!_https://www.jmylbn.com_新闻资讯_第18张

(术后14d CTA)RMCA-M1支架植入术后改变。
导丝怎么扩【载药时代 球扩天下】NOVA DES®颅内药物洗脱支架在大脑中动脉重度狭窄的应用二例!_https://www.jmylbn.com_新闻资讯_第19张
导丝怎么扩【载药时代 球扩天下】NOVA DES®颅内药物洗脱支架在大脑中动脉重度狭窄的应用二例!_https://www.jmylbn.com_新闻资讯_第20张

NOVA DES®应用——2022年随访:
2022年6月23日:左上肢肌力2+级;左下肢肌力5-级;可流利行走;言语欠流利;神志清楚;NIHSS 5分;mRS 2分。

术后20天:

术后40天:


手术总结






操作体会

赛诺神畅 NOVA DES®颅内药物洗脱支架支架在迂曲血管内的顺应性较好,定位精准,扩张后贴壁良好,能使球囊扩张和支架植入一步到位,再狭窄率低等特点,远期随访复查


手术技巧

  1. 尽量使用中间导管,让中间导管接近狭窄部,增加整个通路的支撑性。

  2. 指引微导丝尽量送至目标血管远端,同时调整张力,利用后部微导丝的支撑力在球囊扩张时支架不至于移位。

  3. 回撤球囊及支架输送系统时,注意调整系统张力,观察微导丝头端位置,避免导丝前窜。







病例二





术者:徐恩旺 上饶东信第五医院

导丝怎么扩【载药时代 球扩天下】NOVA DES®颅内药物洗脱支架在大脑中动脉重度狭窄的应用二例!_https://www.jmylbn.com_新闻资讯_第21张

徐恩旺


医学硕士,副主任医师。
学术任职:上饶东信第五医院神经内科副主任,江西省癫痫协会理事, 江西省第一届眩晕协会委员,上饶市神经介入委员会秘书。










































患者基本信息





患者,男,66岁。

主诉:突发左侧肢体无力、麻木1天

简要病史:

患者因“突发左侧肢体无力、麻木1天”于2022.08.07入住上饶东信第五医院神经内科。患者自诉于1天前无诱因下突发出现左侧肢体无力,左上肢持物不稳,左下肢行走不稳,伴左侧肢体麻木不适,症状持续存在无缓解,我院头颅MR平扫+脑部MR血管成像(MRA)诊断意见:1、右侧额颞枕顶叶多发急性期脑梗死灶;2、右侧大脑中动脉M1段局限性狭窄;3、脑萎缩;治疗上予以阿司匹林、波立维双抗,阿托伐他汀调脂稳斑等对症处理。

既往史:既往“高血压”病史,平素规律服用苯磺酸氨氯地平片,血压控制不详
查体:言语清晰,行动不利,肌力(4级),瞳孔正常,对光反射灵敏,神经系统评分NIHSS(3),mRS(4)。



入院影像检查





导丝怎么扩【载药时代 球扩天下】NOVA DES®颅内药物洗脱支架在大脑中动脉重度狭窄的应用二例!_https://www.jmylbn.com_新闻资讯_第22张

MRA

重要影像结论:右侧大脑中动脉M1段局限性狭窄。


导丝怎么扩【载药时代 球扩天下】NOVA DES®颅内药物洗脱支架在大脑中动脉重度狭窄的应用二例!_https://www.jmylbn.com_新闻资讯_第23张

DWI

重要影像结论:右侧额颞枕顶叶多发急性期脑梗死灶。


诊断





主要诊断:

1. 右侧大脑中动脉MI段狭窄;
2. 脑梗死;
3. 原发性高血压病;
4. 高尿酸血症。

病变部位:右侧大脑中动脉M1段重度狭窄

远端正常血管直径(mm):2.4

狭窄处最小直径(mm):0.6

病变长度(mm):12

狭窄度(%):80%



术前讨论





拟行手术方案:右侧大脑中动脉球囊扩张+支架置入术

手术指征(血管内介入治疗的指征):

脑动脉造影提示:右侧大脑中动脉M1段重度狭窄(80%)。

治疗策略:

应用泥鳅导丝将8F Guiding置入右侧颈内动脉岩段,在微导丝引导下送入球囊导管扩张,选择赛诺神畅 NOVA DES®内药物洗脱支架2.5*15mm置入。

预估可能性的手术并发症:局部血管破裂出血或夹层,支架打开困难,支架内急性血栓形成。


术中器械





◆ 操作入路

股动脉穿刺

◆ 造影

造影导丝:泥鳅导丝 150cm

造影导管:单弯 100cm

导引导管:8F Guiding 100cm

◆ 通过病变

微导丝:微导丝0.014*300cm

◆ 扩张及植入

球囊导管:PTA球囊导管 1.5*9mm

支架:赛诺神畅 NOVA DES®内药物洗脱支架2.5*15mm



治疗中影像





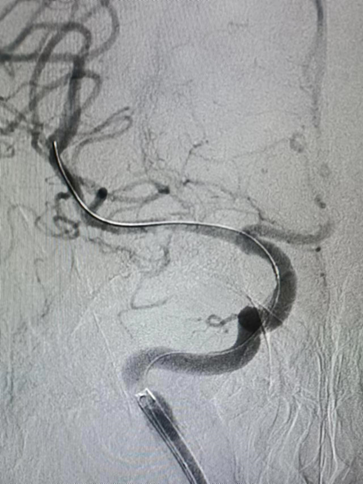
Guiding到位,导丝通过病变。

导丝怎么扩【载药时代 球扩天下】NOVA DES®颅内药物洗脱支架在大脑中动脉重度狭窄的应用二例!_https://www.jmylbn.com_新闻资讯_第24张


球囊通过病变。

导丝怎么扩【载药时代 球扩天下】NOVA DES®颅内药物洗脱支架在大脑中动脉重度狭窄的应用二例!_https://www.jmylbn.com_新闻资讯_第25张


球囊扩张过程。

导丝怎么扩【载药时代 球扩天下】NOVA DES®颅内药物洗脱支架在大脑中动脉重度狭窄的应用二例!_https://www.jmylbn.com_新闻资讯_第26张


扩张后造影。

导丝怎么扩【载药时代 球扩天下】NOVA DES®颅内药物洗脱支架在大脑中动脉重度狭窄的应用二例!_https://www.jmylbn.com_新闻资讯_第27张


支架通过病变。
导丝怎么扩【载药时代 球扩天下】NOVA DES®颅内药物洗脱支架在大脑中动脉重度狭窄的应用二例!_https://www.jmylbn.com_新闻资讯_第28张

支架释放。

导丝怎么扩【载药时代 球扩天下】NOVA DES®颅内药物洗脱支架在大脑中动脉重度狭窄的应用二例!_https://www.jmylbn.com_新闻资讯_第29张



术后影像及检查





术后正位造影。

导丝怎么扩【载药时代 球扩天下】NOVA DES®颅内药物洗脱支架在大脑中动脉重度狭窄的应用二例!_https://www.jmylbn.com_新闻资讯_第30张


术后侧位造影

导丝怎么扩【载药时代 球扩天下】NOVA DES®颅内药物洗脱支架在大脑中动脉重度狭窄的应用二例!_https://www.jmylbn.com_新闻资讯_第31张

手术总结






得失体会

1. 狭窄病变较长进行预扩后置入支架,球扩支架使用前尽量对狭窄处进行适度预扩张。减少支架一次性打开时受到过度挤压的血管发生夹层的可能性,同时由于血管重度狭窄,球扩后有利于支架顺利通过。


2. 赛诺神畅 NOVA DES®内药物洗脱支架定位准确、成形满意,残余狭窄低,释放后内腔相对平整,药物洗脱过程能够抑制内膜修复过程中增生、炎性反应过重等情况,降低再狭窄风险。










说明:赛诺神畅医疗科技有限公司为赛诺医疗科学技术股份有限公司控股子公司。


导丝怎么扩【载药时代 球扩天下】NOVA DES®颅内药物洗脱支架在大脑中动脉重度狭窄的应用二例!_https://www.jmylbn.com_新闻资讯_第32张

声明:脑医汇旗下神外资讯、神介资讯、脑医咨询所发表内容之知识产权为脑医汇及主办方、原作者等相关权利人所有。未经许可,禁止进行转载、摘编、复制、裁切、录制等。经许可授权使用,亦须注明来源。欢迎转发、分享。

投稿/会议发布,请联系400-888-2526转3
导丝怎么扩【载药时代 球扩天下】NOVA DES®颅内药物洗脱支架在大脑中动脉重度狭窄的应用二例!_https://www.jmylbn.com_新闻资讯_第33张

脑医汇App(原神介资讯App短视频”功能全新上线,碎片化时间学习内容,长按识别二维码抢先体验!


请点击“阅读原文”进入赛诺神畅品牌专区。

导丝怎么扩【载药时代 球扩天下】NOVA DES®颅内药物洗脱支架在大脑中动脉重度狭窄的应用二例!_https://www.jmylbn.com_新闻资讯_第34张

点分享

导丝怎么扩【载药时代 球扩天下】NOVA DES®颅内药物洗脱支架在大脑中动脉重度狭窄的应用二例!_https://www.jmylbn.com_新闻资讯_第35张

点点赞

导丝怎么扩【载药时代 球扩天下】NOVA DES®颅内药物洗脱支架在大脑中动脉重度狭窄的应用二例!_https://www.jmylbn.com_新闻资讯_第36张

点在看