导丝怎么扩【载药时代 球扩天下】NOVA DES®颅内药物洗脱支架在大脑中动脉重度狭窄中的应用两例!

新闻资讯2026-04-21 09:03:41

载药时代 球扩天下

NOVA DES®颅内药物洗脱支架植入

NOVA颅内药物洗脱支架:全球唯一

导丝怎么扩【载药时代 球扩天下】NOVA DES®颅内药物洗脱支架在大脑中动脉重度狭窄中的应用两例!_https://www.jmylbn.com_新闻资讯_第1张






 首个无神经毒性安全性的颅内药物支架;





 1年再狭窄6.66%,同裸支架比降低73.4%,从而降低再发卒中88.4%;





 血管内皮愈合导向,28天药物峰值,60天吸收完毕。










































主要术者:刘琦 山东省潍坊市人民医院

导丝怎么扩【载药时代 球扩天下】NOVA DES®颅内药物洗脱支架在大脑中动脉重度狭窄中的应用两例!_https://www.jmylbn.com_新闻资讯_第2张

刘琦


神经外科副主任医师,神经外三科副主任,医学博士,潍坊医学院副教授

山东省卒中学会脑血管介入与手术治疗分会副主任委员

山东省医学会神经外科脑血管病分会委员

山东省卒中学会神经介入分会委员

山东省脑血管病防治委员会基层医院院长分会副主任委员

山东省抗癌协会神经肿瘤分会委员

潍坊市医学会神经外科分会委员

擅长脑动脉瘤、脑血管畸形等各类脑血管疾病的介入治疗及开颅手术治疗、颈动脉狭窄剥脱及支架治疗、颅内血管狭窄的介入治疗、烟雾病的搭桥手术治疗等









































病例一





患者基本信息





患者,女,74岁。

主诉:发作性言语不利、右下肢无力1个月。

简要病史:患者于1个月前无明显诱因出现发作性头晕、言语不利、右下肢无力,呈阵发性,每次持续3-5分钟可自行缓解,共发作5次。症状发作时行走不稳,需在家人搀扶下行走,曾在我院住院治疗,住院时完善颈动脉及脑动脉CTA示1、符合颈动脉粥样硬化,左侧颈内动脉起始段局部重度狭窄。2、符合脑动脉粥样硬化,左侧大脑中动脉M1段重度狭窄,多发腔隙性脑梗塞。现经药物治疗后病情平稳,为行全脑血管造影及介入治疗收入我科。

专科查体:言语含混,行动正常,四肢肌力5级,双侧瞳孔正常,对光反射灵敏。双侧共济正常,双侧浅深感觉正常,双侧病理征未引出。

既往史:既往有高血压病史及头部外伤史。
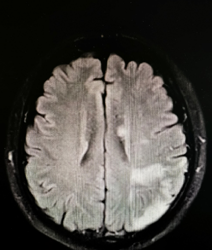
既往病史影像留存:

导丝怎么扩【载药时代 球扩天下】NOVA DES®颅内药物洗脱支架在大脑中动脉重度狭窄中的应用两例!_https://www.jmylbn.com_新闻资讯_第3张

导丝怎么扩【载药时代 球扩天下】NOVA DES®颅内药物洗脱支架在大脑中动脉重度狭窄中的应用两例!_https://www.jmylbn.com_新闻资讯_第4张

高分辨磁共振


重要影像结论:颅内多发陈旧性梗塞灶,左侧颈内动脉起始处;左侧大脑中动脉M1段可见重度狭窄。



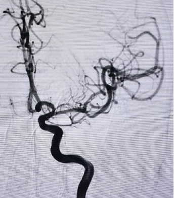
入院影像检查





导丝怎么扩【载药时代 球扩天下】NOVA DES®颅内药物洗脱支架在大脑中动脉重度狭窄中的应用两例!_https://www.jmylbn.com_新闻资讯_第5张

导丝怎么扩【载药时代 球扩天下】NOVA DES®颅内药物洗脱支架在大脑中动脉重度狭窄中的应用两例!_https://www.jmylbn.com_新闻资讯_第6张


重要影像结论DSA:左侧颈内动脉起始处重度狭窄、左侧大脑中动脉M1段偏心斑块伴重度狭窄。




诊断





主要诊断:左侧颈内动脉起始段重度狭窄、左侧大脑中动脉M1段偏心性斑块伴重度狭窄

病变部位:左侧颈内动脉起始段

远端正常血管直径(mm):4.56

狭窄处最小直径(mm):0.43
病变长度(mm):19
狭窄度(%):90


病变部位:左侧大脑中动脉M1

远端正常血管直径(mm):2.51

狭窄处最小直径(mm):0.5
病变长度(mm):8
狭窄度(%):80


术前讨论





拟行手术方案:左侧颈内动脉起始段球囊扩张并支架成形术及左侧大脑中动脉狭窄支架成形术。

手术指征

患者反复TIA形式起病,左侧颈内动脉起始段重度狭窄、左侧大脑中动脉重度狭窄考虑为责任血管。

治疗策略:

全身麻醉下,保护伞辅助先行颈内动脉起始段支架植入。8F Guiding通过支架,6F导引导管到位海绵窦段,在微导丝的辅助下将2.25*10mm赛诺神畅颅内药物洗脱支架NOVA DES®置入左侧大脑中动脉狭窄处行球囊扩张成形。

预估可能性的手术并发症:

出血、夹层、栓塞、穿支动脉闭塞、支架内再狭窄、急性血栓形成。



术中器械





◆ 操作入路

股动脉穿刺

◆ 造影

8F血管鞘

造影导丝:150cm泥鳅造影导丝

造影导管:5F猪尾巴导管、5F单弯导管

导引导管:8F MPA;6F导引导

◆ 颈动脉狭窄

微导丝:Synchro 2

球囊导管:赛诺神畅Neuro RX®球囊2.5*15mm

3.5*5.5mm/190cm保护伞

5*30mm球囊

7*40mm支架

◆ 大脑中动脉狭窄

支架:赛诺神畅颅内药物洗脱支架NOVA DES®2.25*10mm



治疗过程





赛诺神畅Neuro RX®球囊2.5*15mm预扩张,3.5*5.5mm/190cm保护伞到位释放,选用5*30mm球囊扩张,选择7*40mm支架置入,效果满意。

导丝怎么扩【载药时代 球扩天下】NOVA DES®颅内药物洗脱支架在大脑中动脉重度狭窄中的应用两例!_https://www.jmylbn.com_新闻资讯_第7张

导丝怎么扩【载药时代 球扩天下】NOVA DES®颅内药物洗脱支架在大脑中动脉重度狭窄中的应用两例!_https://www.jmylbn.com_新闻资讯_第8张

颈动脉支架释放


在微导丝辅助下将2.25*10mm赛诺神畅颅内药物洗脱支架NOVA DES®于大脑中动脉狭窄处扩张成形术。

导丝怎么扩【载药时代 球扩天下】NOVA DES®颅内药物洗脱支架在大脑中动脉重度狭窄中的应用两例!_https://www.jmylbn.com_新闻资讯_第9张

导丝怎么扩【载药时代 球扩天下】NOVA DES®颅内药物洗脱支架在大脑中动脉重度狭窄中的应用两例!_https://www.jmylbn.com_新闻资讯_第10张


球扩后狭窄解除。

导丝怎么扩【载药时代 球扩天下】NOVA DES®颅内药物洗脱支架在大脑中动脉重度狭窄中的应用两例!_https://www.jmylbn.com_新闻资讯_第11张





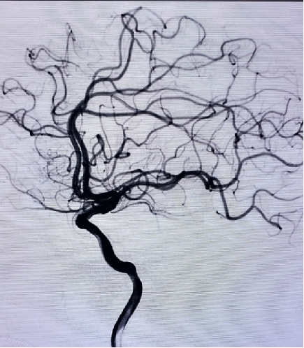
术后影像及检查





导丝怎么扩【载药时代 球扩天下】NOVA DES®颅内药物洗脱支架在大脑中动脉重度狭窄中的应用两例!_https://www.jmylbn.com_新闻资讯_第12张

导丝怎么扩【载药时代 球扩天下】NOVA DES®颅内药物洗脱支架在大脑中动脉重度狭窄中的应用两例!_https://www.jmylbn.com_新闻资讯_第13张

术后正位

术后侧位


术后随访:

患者术后复查,情况良好,未再发生右侧肢体无力及言语不利情况发生,正常工作生活。




手术总结






操作体会:

颅内球扩支架主要适用于血管相对直、短的血管狭窄,赛诺神畅颅内药物洗脱支架NOVA DES®顺应性及支撑效果均为比较理想选择。但该支架偏硬,血管迂曲明显不易通过。可选用通过性好的中间导管,尽量上高中间导管,为支架通过提供条件。赛诺神畅Neuro RX®球囊2.5*15mm快速交换球囊,操作简捷,大大缩短手术时间,提高手术安全性,且推送性及通过性均优秀。


手术技巧:

1.患者血管硬化、迂曲,可选用8F Guiding,内套通过性良好的6F导引导管,6F导引导管可以尽量走高,为球囊扩张支架通过提供便利;

2.微导丝尽量走远为后面的球扩支架通过提供足够支撑;

3.支架及球囊过病变时,避免动作粗暴,以免斑块脱落;

4.释放支架及球扩时尽可能慢一些,避免出现夹层或斑块脱落;

5.选择合适支架及球囊,大脑中动脉M1段穿支较多,尽量原位扩张,避免穿支出血事件。









病例二





患者基本信息





患者,男,59岁。

主诉:右上肢麻木伴言语不利3天。

简要病史:

患者于3天前无明显诱因出现右上肢麻木伴言语不利,麻木以右手中指、无名指及小指为著,右手精细动作难以完成,事物命名困难。颅脑MR及MRA检查示:左侧基底节区、放射冠、左侧颞枕、顶、额多发脑梗塞,左侧大脑中动脉M1段狭窄。

专科查体:言语尚流利,行动正常,四肢肌力5级,双侧瞳孔正常,对光反射灵敏。双侧共济正常,双侧浅深感觉正常,双侧病理征未引出。
既往史:既往有高血压病史,未规律治疗,否认糖尿病史。
既往病史影像留存:

导丝怎么扩【载药时代 球扩天下】NOVA DES®颅内药物洗脱支架在大脑中动脉重度狭窄中的应用两例!_https://www.jmylbn.com_新闻资讯_第14张

导丝怎么扩【载药时代 球扩天下】NOVA DES®颅内药物洗脱支架在大脑中动脉重度狭窄中的应用两例!_https://www.jmylbn.com_新闻资讯_第15张


重要影像结论左侧基底节区、放射冠、左侧颞枕、顶、额多发脑梗塞,左侧大脑中动脉M1段狭窄。




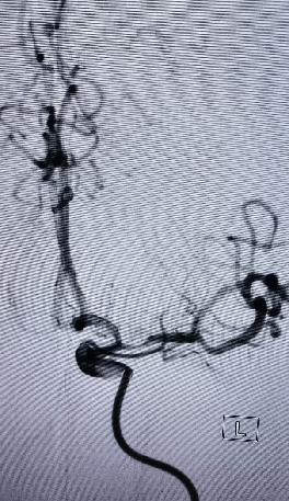
入院影像检查






导丝怎么扩【载药时代 球扩天下】NOVA DES®颅内药物洗脱支架在大脑中动脉重度狭窄中的应用两例!_https://www.jmylbn.com_新闻资讯_第16张

导丝怎么扩【载药时代 球扩天下】NOVA DES®颅内药物洗脱支架在大脑中动脉重度狭窄中的应用两例!_https://www.jmylbn.com_新闻资讯_第17张

重要影像结论DSA:左侧大脑中动脉M1段重度狭窄。



诊断





主要诊断:左侧颈内动脉起始段重度狭窄、左侧大脑中动脉M1段偏心性斑块伴重度狭窄

病变部位:左侧大脑中动脉M1

远端正常血管直径(mm):2.20
狭窄处最小直径(mm):0.22
病变长度(mm):8
狭窄度(mm):90



术前讨论





拟行手术方案:左侧大脑中动脉狭窄球扩支架置入术。

手术指征(血管内介入治疗的指征):

患者左侧颞顶、枕、额多发脑梗塞,右侧肢体麻木、命名性失语等脑缺血症状,左侧大脑中动脉重度狭窄考虑为责任血管。

治疗策略:

全身麻醉下,6F导引导管到位海绵窦段,在微导丝的辅助下将赛诺神畅颅内药物洗脱支架NOVA DES®2.25*10mm置入左侧大脑中动脉狭窄处行支架成形术。

预估可能性的手术并发症:

出血、夹层、栓塞、穿支动脉闭塞、支架内再狭窄、急性血栓形成。



术中器械





  • 6F动脉鞘

  • 6F导引导管

  • Synchro微导丝

  • 赛诺神畅颅内药物洗脱支架NOVA DES®2.25*10mm



治疗中影像





在微导丝辅助下将赛诺神畅颅内药物洗脱支架NOVA DES®2.25*10mm于大脑中动脉狭窄处行支架成形术。

导丝怎么扩【载药时代 球扩天下】NOVA DES®颅内药物洗脱支架在大脑中动脉重度狭窄中的应用两例!_https://www.jmylbn.com_新闻资讯_第18张

导丝怎么扩【载药时代 球扩天下】NOVA DES®颅内药物洗脱支架在大脑中动脉重度狭窄中的应用两例!_https://www.jmylbn.com_新闻资讯_第19张


球扩后狭窄解除。

导丝怎么扩【载药时代 球扩天下】NOVA DES®颅内药物洗脱支架在大脑中动脉重度狭窄中的应用两例!_https://www.jmylbn.com_新闻资讯_第20张

导丝怎么扩【载药时代 球扩天下】NOVA DES®颅内药物洗脱支架在大脑中动脉重度狭窄中的应用两例!_https://www.jmylbn.com_新闻资讯_第21张




术后影像





导丝怎么扩【载药时代 球扩天下】NOVA DES®颅内药物洗脱支架在大脑中动脉重度狭窄中的应用两例!_https://www.jmylbn.com_新闻资讯_第22张

导丝怎么扩【载药时代 球扩天下】NOVA DES®颅内药物洗脱支架在大脑中动脉重度狭窄中的应用两例!_https://www.jmylbn.com_新闻资讯_第23张

术后正位

术后侧位


术后随访:

术后复查,患者未再发生发作性头晕、右侧肢体无力及言语含混情况,情况良好,无特殊不适主诉。


手术总结






操作体会:

颅内球扩支架主要适用于血管相对直、短的血管狭窄,赛诺神畅NOVA DES®颅内药物洗脱支架顺应性及支撑效果均为比较理想选择。但该支架偏硬,血管迂曲明显不易通过。可选用通过性好的中间导管,尽量上高中间导管,为球囊通过提供条件。


手术技巧:

1.选用通过性良好的6F导引导管,6F导引导管可以尽量走高,为球囊扩张支架通过提供便利;

2.微导丝尽量走远为后面的球扩支架通过提供足够支撑;

3.支架及球囊过病变时,避免动作粗暴,以免斑块脱落;

4.释放支架及球扩时尽可能慢一些,避免出现夹层或斑块脱落;

5.选择合适支架及球囊,大脑中动脉M1段穿支较多,尽量原位扩张,避免穿支出血事件;








导丝怎么扩【载药时代 球扩天下】NOVA DES®颅内药物洗脱支架在大脑中动脉重度狭窄中的应用两例!_https://www.jmylbn.com_新闻资讯_第24张


说明:赛诺神畅医疗科技有限公司为赛诺医疗科学技术股份有限公司控股子公司。


导丝怎么扩【载药时代 球扩天下】NOVA DES®颅内药物洗脱支架在大脑中动脉重度狭窄中的应用两例!_https://www.jmylbn.com_新闻资讯_第25张

声明:脑医汇旗下神外资讯、神介资讯、脑医咨询所发表内容之知识产权为脑医汇及主办方、原作者等相关权利人所有。未经许可,禁止进行转载、摘编、复制、裁切、录制等。经许可授权使用,亦须注明来源。欢迎转发、分享。

投稿/会议发布,请联系400-888-2526转3。
导丝怎么扩【载药时代 球扩天下】NOVA DES®颅内药物洗脱支架在大脑中动脉重度狭窄中的应用两例!_https://www.jmylbn.com_新闻资讯_第26张

脑医汇App(原神介资讯App短视频”功能全新上线,碎片化时间学习内容,长按识别二维码抢先体验!


请点击“阅读原文”进入赛诺神畅品牌专区。

导丝怎么扩【载药时代 球扩天下】NOVA DES®颅内药物洗脱支架在大脑中动脉重度狭窄中的应用两例!_https://www.jmylbn.com_新闻资讯_第27张

点分享

导丝怎么扩【载药时代 球扩天下】NOVA DES®颅内药物洗脱支架在大脑中动脉重度狭窄中的应用两例!_https://www.jmylbn.com_新闻资讯_第28张

点点赞

导丝怎么扩【载药时代 球扩天下】NOVA DES®颅内药物洗脱支架在大脑中动脉重度狭窄中的应用两例!_https://www.jmylbn.com_新闻资讯_第29张

点在看