导丝怎么扩【载药时代 球扩天下】NOVA DES®颅内药物洗脱支架在椎动脉颅内段重度狭窄的应用二例

新闻资讯2026-04-21 09:03:44

载药时代 球扩天下

NOVA DES®颅内药物洗脱支架植入

NOVA颅内药物洗脱支架:全球唯一

导丝怎么扩【载药时代 球扩天下】NOVA DES®颅内药物洗脱支架在椎动脉颅内段重度狭窄的应用二例_https://www.jmylbn.com_新闻资讯_第1张






 首个无神经毒性安全性的颅内药物支架;





 1年再狭窄6.66%,同裸支架比降低73.4%,从而降低再发卒中88.4%;





 血管内皮愈合导向,28天药物峰值,60天吸收完毕。









































病例一





术者:王献勇 潍坊市坊子区人民医院

导丝怎么扩【载药时代 球扩天下】NOVA DES®颅内药物洗脱支架在椎动脉颅内段重度狭窄的应用二例_https://www.jmylbn.com_新闻资讯_第2张

王献勇


山东省脑血管防治协会基层院脑卒中专业委员会常务委员

潍坊市医学会脑血管专业委员会副主任委员

潍坊市预防医学会眩晕疾病防治专业委员会常务委员

山东省医学会神经内科分会基层学组委员

擅长急性脑梗死的急诊取栓术、颈内动脉、椎动脉、锁骨下动脉、颅内动脉支架植入术、非急性期脑动脉闭塞开通术、脑动脉瘤的弹簧圈栓塞术

擅长神经内科各种常见病、疑难杂症的诊治


术者:程团委 潍坊市坊子区人民医院

导丝怎么扩【载药时代 球扩天下】NOVA DES®颅内药物洗脱支架在椎动脉颅内段重度狭窄的应用二例_https://www.jmylbn.com_新闻资讯_第3张

程团委


医学硕士,主治医师

山东省脑血管病防治协会神经介入专业委员会委员

山东省脑血管防治协会基层医院脑卒中专业委员会委员

擅长急性缺血性卒中的早期急诊与急救,以及神经内科常见疾病的诊断和治疗

成功开展神经介入手术,如脑血管造影,颈动脉支架植入术,锁骨下动脉支架植入术,椎动脉支架植入术,脑动脉取栓术,颅内血管成型术等











































患者基本信息





患者,男,68岁。

主诉:左侧肢体活动不灵半年

简要病史:半年前因脑梗死住院。MR:右侧枕叶、左侧小脑半球及左侧颞枕多发新鲜脑梗死。同期DSA提示:左侧椎动脉闭塞,右侧椎动脉V4段重度狭窄。治疗后留有言语含糊,左侧肢体力弱。出院后口服阿司匹林+阿托伐他汀钙治疗。内科治疗下症状扔反复,出现头晕,肢体无力加重,影像学检查(MR)提示后循环供血区新发梗死灶。

既往史:高血压病病史,口服苯磺酸氨氯地平,血压控制在135/80mmHg左右。
既往病史影像留存:

首次发病:

导丝怎么扩【载药时代 球扩天下】NOVA DES®颅内药物洗脱支架在椎动脉颅内段重度狭窄的应用二例_https://www.jmylbn.com_新闻资讯_第4张
DWI
导丝怎么扩【载药时代 球扩天下】NOVA DES®颅内药物洗脱支架在椎动脉颅内段重度狭窄的应用二例_https://www.jmylbn.com_新闻资讯_第5张

DWI

MRA

重要影像结论:后循环供血区多发梗死灶,后循环血管显影不良。


首次DSA 2022.4.9:

导丝怎么扩【载药时代 球扩天下】NOVA DES®颅内药物洗脱支架在椎动脉颅内段重度狭窄的应用二例_https://www.jmylbn.com_新闻资讯_第6张

导丝怎么扩【载药时代 球扩天下】NOVA DES®颅内药物洗脱支架在椎动脉颅内段重度狭窄的应用二例_https://www.jmylbn.com_新闻资讯_第7张

重要影像结论DSA:左侧椎动脉闭塞,右侧椎动脉V4段重度狭窄。



入院影像资料





内科治疗后仍有新发梗死(2022.8.8):

导丝怎么扩【载药时代 球扩天下】NOVA DES®颅内药物洗脱支架在椎动脉颅内段重度狭窄的应用二例_https://www.jmylbn.com_新闻资讯_第8张

导丝怎么扩【载药时代 球扩天下】NOVA DES®颅内药物洗脱支架在椎动脉颅内段重度狭窄的应用二例_https://www.jmylbn.com_新闻资讯_第9张

重要影像结论:桥脑新发亚急性梗死灶,右侧椎动脉重度狭窄。


入院检查:言语略含糊,行动如常不利,肌力:左侧肢体肌力5-级,右侧肢体肌力5级,瞳孔正常,对光反射灵敏。神经系统评分NIHSS(0),mRS(0)。




诊断





主要诊断:1.脑梗死;2.颅内动脉狭窄

病变部位:右侧椎动脉V4段

远端正常血管直径(mm):2.85

狭窄处最小直径(mm):0.71

病变长度(mm):1.35

狭窄度(%):75.1


术前讨论





拟行手术方案:右侧椎动脉V4段支架植入术。

手术指征右侧椎动脉V4段重度狭窄,狭窄率大于70%,左侧椎动脉于V3段末端闭塞,内科之后后仍有缺血事件

治疗策略:先行狭窄处球囊扩张,根据球囊扩张口血管弹性,选择球扩支架或者自彭支架。

预估可能性的手术并发症:出血、夹层、支架内血栓形成、穿支事件(小脑后下动脉,脊髓前动脉)



术中器械





◆ 操作入路

股动脉穿刺

◆ 造影

造影导丝:150cm泥鳅导丝

造影导管:5F猪尾单弯造影导管

导引导管:8F MPD

◆ 通过病变

微导丝:Synchro-2  0.014in*300cm

◆ 扩张及植入

球囊导管:2.0*15mm球囊
支架:赛诺神畅颅内药物洗脱支架NOVA DES®3.0*20mm

3.0*10支架



治疗过程





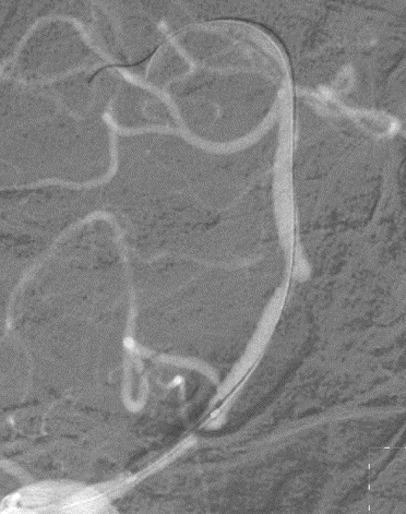
导引导管到位,导丝通过病变。

导丝怎么扩【载药时代 球扩天下】NOVA DES®颅内药物洗脱支架在椎动脉颅内段重度狭窄的应用二例_https://www.jmylbn.com_新闻资讯_第10张


球囊通过病变

导丝怎么扩【载药时代 球扩天下】NOVA DES®颅内药物洗脱支架在椎动脉颅内段重度狭窄的应用二例_https://www.jmylbn.com_新闻资讯_第11张


球囊扩张过程。

导丝怎么扩【载药时代 球扩天下】NOVA DES®颅内药物洗脱支架在椎动脉颅内段重度狭窄的应用二例_https://www.jmylbn.com_新闻资讯_第12张


释放赛诺神畅 颅内药物洗脱支架NOVA DES®尽快到位,防止药物涂层损耗。

导丝怎么扩【载药时代 球扩天下】NOVA DES®颅内药物洗脱支架在椎动脉颅内段重度狭窄的应用二例_https://www.jmylbn.com_新闻资讯_第13张


V4近心端狭窄处接自膨支架,避开小脑后下动脉。

导丝怎么扩【载药时代 球扩天下】NOVA DES®颅内药物洗脱支架在椎动脉颅内段重度狭窄的应用二例_https://www.jmylbn.com_新闻资讯_第14张


两枚支架释放完成。

导丝怎么扩【载药时代 球扩天下】NOVA DES®颅内药物洗脱支架在椎动脉颅内段重度狭窄的应用二例_https://www.jmylbn.com_新闻资讯_第15张




手术总结






操作体会:

1. 药物涂层支架需要尽量缩短支架到位时间,稳定支撑是手术迅速完成的关键。


2. 稳定支撑方式包括:1.中间导管的使用,尤其是血管迂曲者;2.交换导丝尽量走远。


3. 单侧椎动脉系统,V4段末端发出脊髓前动脉,支架释放后即便是远端成型欠满意,尽量避免后扩张,减少穿支事件发生。









病例二







手术指导:衣永尚 烟台海港医院

导丝怎么扩【载药时代 球扩天下】NOVA DES®颅内药物洗脱支架在椎动脉颅内段重度狭窄的应用二例_https://www.jmylbn.com_新闻资讯_第16张

衣永尚


烟台海港医院神经内科科主任,副主任医师

1997年毕业于南通医学院(南通大学附属医院)。从事神经内科临床工作多年,在神经内科疾病诊治方面具有丰富的经验,尤其擅长脑血管疾病的评估、诊治及综合康复治疗,神经心理疾病(抑郁症,焦虑症,躯体化神经障碍等),急性脊髓炎,中枢神经系统脱髓鞘疾病,各种头痛头晕等常见病和疑难病的诊治

中国医师协会情感障碍教育学院委员

山东省卒中学会质量管理与促进分会常务委员

山东省疼痛研究会神经内科专委会常务委员

山东省脑血管病防治协会慢性脑缺血专委会常务委员

烟台医学会神经内科专业委员会委员

烟台卒中学会第一届理事会理事

先后在国家及省市各级专业期刊发表学术论文十余篇



主要术者:张智波 烟台海港医院

导丝怎么扩【载药时代 球扩天下】NOVA DES®颅内药物洗脱支架在椎动脉颅内段重度狭窄的应用二例_https://www.jmylbn.com_新闻资讯_第17张

张智波


2009年毕业于哈尔滨医科大学临床医学系
毕业后北京工作十年,于解放军总医院第七医学中心神经外科(原北京军区总医院附属八一脑科医院)
工作期间积累丰富经验,在脑血管疾病、神经重症、颅脑外伤等疾病方面诊疗经验丰富。能独立开展脑出血(微创),脑积水,颅骨缺损修补,凸面脑膜瘤,烟雾病等手术,颈动脉狭窄,椎动脉狭窄,颅内血管狭窄的神经介入诊疗
山东省脑血管病防治协会慢性脑缺血专业委员会委员
山东省疼痛医学会脑血管病专业委员会委员
山东省医学伦理学学会心血管伦理分会理事
北京神经内科学会脑小血管病专业委员会第一届委员

参与书籍专著编写1部












































患者基本信息





患者男性,68岁。

主诉:突发头晕、恶心、走路不稳1天”。

简要病史:患者晨起后感头晕、恶心、走路不稳,向左侧偏斜,活动后头晕加重,出现非喷射性呕吐,呕吐物为非咖啡色胃内容物,无明显头痛,无复视,无肢体麻木及活动不利,无吞咽困难。为进一步诊治,特来我院,病程中精神欠佳,睡眠可,饮食正常,二便正常,体重无明显变化
专科查体:神清语明,查体配合,可自主行走,呈蹒跚步态,双侧瞳孔等大等圆,对光反射灵敏。双眼各方向活动正常,无眼震,无复视。心肺腹未见明显著征。四肢肌力正常,生理反射存在,病理反射未引出。Romberg征(-)。
既往史:高血压病史20余年,未规律服药监测。



入院影像检查






术前造影:

导丝怎么扩【载药时代 球扩天下】NOVA DES®颅内药物洗脱支架在椎动脉颅内段重度狭窄的应用二例_https://www.jmylbn.com_新闻资讯_第18张


术前相关检查:颈动脉+椎动脉超声。

导丝怎么扩【载药时代 球扩天下】NOVA DES®颅内药物洗脱支架在椎动脉颅内段重度狭窄的应用二例_https://www.jmylbn.com_新闻资讯_第19张


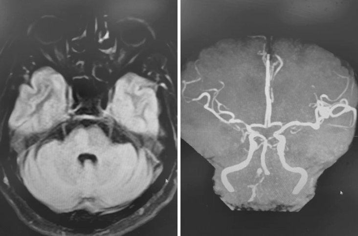
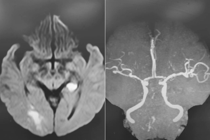
颅脑DWI+MRA:

导丝怎么扩【载药时代 球扩天下】NOVA DES®颅内药物洗脱支架在椎动脉颅内段重度狭窄的应用二例_https://www.jmylbn.com_新闻资讯_第20张


左椎动脉+左颈动脉造影:

导丝怎么扩【载药时代 球扩天下】NOVA DES®颅内药物洗脱支架在椎动脉颅内段重度狭窄的应用二例_https://www.jmylbn.com_新闻资讯_第21张

导丝怎么扩【载药时代 球扩天下】NOVA DES®颅内药物洗脱支架在椎动脉颅内段重度狭窄的应用二例_https://www.jmylbn.com_新闻资讯_第22张

导丝怎么扩【载药时代 球扩天下】NOVA DES®颅内药物洗脱支架在椎动脉颅内段重度狭窄的应用二例_https://www.jmylbn.com_新闻资讯_第23张


右椎动脉造影:

导丝怎么扩【载药时代 球扩天下】NOVA DES®颅内药物洗脱支架在椎动脉颅内段重度狭窄的应用二例_https://www.jmylbn.com_新闻资讯_第24张
导丝怎么扩【载药时代 球扩天下】NOVA DES®颅内药物洗脱支架在椎动脉颅内段重度狭窄的应用二例_https://www.jmylbn.com_新闻资讯_第25张
导丝怎么扩【载药时代 球扩天下】NOVA DES®颅内药物洗脱支架在椎动脉颅内段重度狭窄的应用二例_https://www.jmylbn.com_新闻资讯_第26张


右颈动脉造影:

导丝怎么扩【载药时代 球扩天下】NOVA DES®颅内药物洗脱支架在椎动脉颅内段重度狭窄的应用二例_https://www.jmylbn.com_新闻资讯_第27张
导丝怎么扩【载药时代 球扩天下】NOVA DES®颅内药物洗脱支架在椎动脉颅内段重度狭窄的应用二例_https://www.jmylbn.com_新闻资讯_第28张


右椎动脉动脉正侧位:

导丝怎么扩【载药时代 球扩天下】NOVA DES®颅内药物洗脱支架在椎动脉颅内段重度狭窄的应用二例_https://www.jmylbn.com_新闻资讯_第29张


诊断





主要诊断:

1.右侧椎动脉V4段重度狭窄(90%);
2.高血压病2级 高危;
3.小脑梗死。



术前讨论





拟行手术方案:全麻下行右椎动脉V4段药物洗脱支架置入术。

手术指征(血管内介入治疗的指征):

  • 左椎动脉闭塞。

  • 右侧椎动脉动脉V4段重度狭窄(约90%)。

  • 双侧颈内动脉-后交通动脉-基底动脉代偿供血,但代偿血流量不足。


治疗策略:

1. 选择6F桡动脉鞘以右桡动脉作为治疗入路。

2. 避免大管腔通路对上肢血管机械刺激导致血管痉挛等不良事件,直接选用5F 115cm颅内支撑导管(赛诺神畅 颅内药物洗脱支架NOVA DES®可以通过5F管腔)。

3. 患者右侧椎动脉V4段重度狭窄(约90%),狭窄程度高,故先行小球囊预扩,再释放药物洗脱支架是更为安全且远期效果更好的方式。


术前药物准备:

阿司匹林肠溶片100mg po Qd、硫酸氢氯吡格雷片75mg po Qd、阿托伐他汀钙片 40mg po Qd 5天。


器械选择考量:狭窄节段较重,年龄不大,为避免术后再狭窄,故选用赛诺神畅 颅内药物洗脱支架NOVA DES®

导丝怎么扩【载药时代 球扩天下】NOVA DES®颅内药物洗脱支架在椎动脉颅内段重度狭窄的应用二例_https://www.jmylbn.com_新闻资讯_第30张



术中器械





  • 6F 桡动脉鞘管
  • 180cm 泥鳅导丝

  • 0.014'' *300cm 微导丝

  • 5F 115cm 颅内支撑导管

  • 2.0mm*10mm 颅内球囊

  • 赛诺神畅 颅内药物洗脱支架NOVA DES® 2.5*10mm



治疗中影像





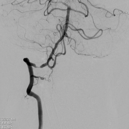
病变情况分析:右桡动脉穿刺,置6F桡动脉鞘管,5F多功能导管在泥鳅导丝辅助下脑血管造影提示:右椎动脉V4段重度狭窄(约90%)。
导丝怎么扩【载药时代 球扩天下】NOVA DES®颅内药物洗脱支架在椎动脉颅内段重度狭窄的应用二例_https://www.jmylbn.com_新闻资讯_第31张
导丝怎么扩【载药时代 球扩天下】NOVA DES®颅内药物洗脱支架在椎动脉颅内段重度狭窄的应用二例_https://www.jmylbn.com_新闻资讯_第32张


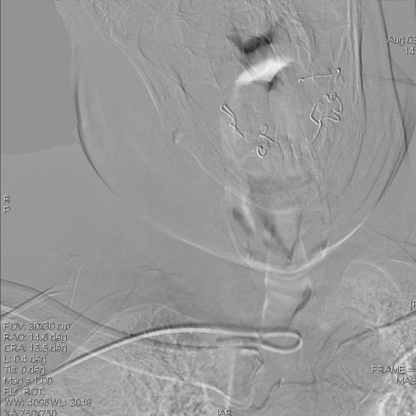
泥鳅导丝携5F 115cm颅内支撑导管,至右椎动脉V2段。

在颅内支撑导管支撑下,将0.014'' 300cm微导丝,通过狭窄节段将其放置在基底动脉中段。将2.0mm*10mm球囊打起预扩狭窄部位,然后更换赛诺神畅 颅内药物洗脱支架NOVA DES® 2.5*10mm延微导丝顺利通过狭窄节段,再次造影见定位准确,缓慢扩张球囊释放支架。

导丝怎么扩【载药时代 球扩天下】NOVA DES®颅内药物洗脱支架在椎动脉颅内段重度狭窄的应用二例_https://www.jmylbn.com_新闻资讯_第33张




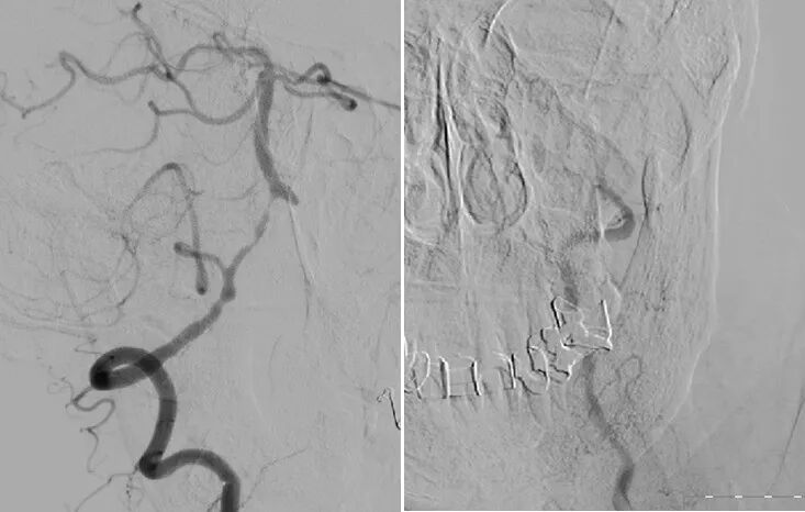
术后影像





术后即刻影像及患者术后情况:

造影见狭窄位置狭窄解除,支架贴壁良好,后循环各分支动脉显影良好。术后次日患者行走不稳情况明显改善,术后1月随访患者行走如常,未再发头晕。

导丝怎么扩【载药时代 球扩天下】NOVA DES®颅内药物洗脱支架在椎动脉颅内段重度狭窄的应用二例_https://www.jmylbn.com_新闻资讯_第34张



术者体会






1. 患者右椎动脉开口与锁骨下动脉位置关系好,基本为垂直关系。故经右桡动脉建立治疗通路方便容易。
2. 患者后循环仅剩右侧椎动脉,同时V4段可见重度狭窄,为尽可能减少对血流的干扰,故尽可能选择管腔小一些的通路导管。
3. 病变处狭窄程度较高,为顺利通过支架,予以小球囊预扩张。
4. 赛诺神畅 颅内药物洗脱支架NOVA DES®顺应性较好,通过弯曲血管及病变处更顺畅,到位释放后横向支撑力好。其上雷帕霉素28天完全释放,有效降低血管再狭窄情况








导丝怎么扩【载药时代 球扩天下】NOVA DES®颅内药物洗脱支架在椎动脉颅内段重度狭窄的应用二例_https://www.jmylbn.com_新闻资讯_第35张


说明:赛诺神畅医疗科技有限公司为赛诺医疗科学技术股份有限公司控股子公司。


导丝怎么扩【载药时代 球扩天下】NOVA DES®颅内药物洗脱支架在椎动脉颅内段重度狭窄的应用二例_https://www.jmylbn.com_新闻资讯_第36张

声明:脑医汇旗下神外资讯、神介资讯、脑医咨询所发表内容之知识产权为脑医汇及主办方、原作者等相关权利人所有。未经许可,禁止进行转载、摘编、复制、裁切、录制等。经许可授权使用,亦须注明来源。欢迎转发、分享。

投稿/会议发布,请联系400-888-2526转3。
导丝怎么扩【载药时代 球扩天下】NOVA DES®颅内药物洗脱支架在椎动脉颅内段重度狭窄的应用二例_https://www.jmylbn.com_新闻资讯_第37张

脑医汇App(原神介资讯App短视频”功能全新上线,碎片化时间学习内容,长按识别二维码抢先体验!


请点击“阅读原文”进入赛诺神畅品牌专区。

导丝怎么扩【载药时代 球扩天下】NOVA DES®颅内药物洗脱支架在椎动脉颅内段重度狭窄的应用二例_https://www.jmylbn.com_新闻资讯_第38张

点分享

导丝怎么扩【载药时代 球扩天下】NOVA DES®颅内药物洗脱支架在椎动脉颅内段重度狭窄的应用二例_https://www.jmylbn.com_新闻资讯_第39张

点点赞

导丝怎么扩【载药时代 球扩天下】NOVA DES®颅内药物洗脱支架在椎动脉颅内段重度狭窄的应用二例_https://www.jmylbn.com_新闻资讯_第40张

点在看