单猪尾支架怎么放【腹具匠新】吴华平教授团队:ENDURANT IIs 分叉支架开窗束径保留 IMA 治疗腹主动脉穿透性溃疡

新闻资讯2026-04-21 06:40:50
单猪尾支架怎么放【腹具匠新】吴华平教授团队:ENDURANT IIs 分叉支架开窗束径保留 IMA 治疗腹主动脉穿透性溃疡_https://www.jmylbn.com_新闻资讯_第1张
单猪尾支架怎么放【腹具匠新】吴华平教授团队:ENDURANT IIs 分叉支架开窗束径保留 IMA 治疗腹主动脉穿透性溃疡_https://www.jmylbn.com_新闻资讯_第2张
单猪尾支架怎么放【腹具匠新】吴华平教授团队:ENDURANT IIs 分叉支架开窗束径保留 IMA 治疗腹主动脉穿透性溃疡_https://www.jmylbn.com_新闻资讯_第3张

HIGHLIGHTS OF THIS ISSUE

本期看点

面对腹主动脉末端穿通性溃疡伴假性动脉瘤,累及分叉区、双侧髂总短、肠系膜下动脉粗大,如何选择最合适的支架方案进行治疗?

单猪尾支架怎么放【腹具匠新】吴华平教授团队:ENDURANT IIs 分叉支架开窗束径保留 IMA 治疗腹主动脉穿透性溃疡_https://www.jmylbn.com_新闻资讯_第4张
单猪尾支架怎么放【腹具匠新】吴华平教授团队:ENDURANT IIs 分叉支架开窗束径保留 IMA 治疗腹主动脉穿透性溃疡_https://www.jmylbn.com_新闻资讯_第5张


单猪尾支架怎么放【腹具匠新】吴华平教授团队:ENDURANT IIs 分叉支架开窗束径保留 IMA 治疗腹主动脉穿透性溃疡_https://www.jmylbn.com_新闻资讯_第6张

引言 / PREFACE

腹主动脉瘤(含髂动脉瘤)是血管外科的常见疾病,自1990年首例腹主动脉瘤血管内修复术(EVAR)开展以来,该术式凭借其微创、安全、有效的特点,在临床中得到广泛应用,并逐渐成为该疾病的主要治疗方式。为了更好地推动EVAR诊疗规范,提升临床医生的诊疗水平,探索和讨论更适合患者的临床解决方案,【腹具匠新】腹主动脉-髂动脉病例展示专栏应运而生。

本专栏聚焦于腹主动脉领域的复杂与疑难病例,致力于打造一个专业的病例分享与经验交流平台。在这里,可以看到术者如何抽丝剥茧,为复杂病例制定个性化治疗方案;如何在术中运筹帷幄,应对陷阱化解危机。希望通过本专栏的病例分享,为腹主动脉疾病的诊疗提供新的思路和方法,共同推动腹主动脉诊疗领域的进步,造福更多患者。

本期将为大家带来由达州市中心医院吴华平教授团队完成的美敦力ENDURANT IIs分叉支架开窗束径保留肠系膜下动脉的腹主动脉穿透性溃疡病例。欢迎阅读和分享。


单猪尾支架怎么放【腹具匠新】吴华平教授团队:ENDURANT IIs 分叉支架开窗束径保留 IMA 治疗腹主动脉穿透性溃疡_https://www.jmylbn.com_新闻资讯_第7张

病例基本情况

单猪尾支架怎么放【腹具匠新】吴华平教授团队:ENDURANT IIs 分叉支架开窗束径保留 IMA 治疗腹主动脉穿透性溃疡_https://www.jmylbn.com_新闻资讯_第8张

患者

单猪尾支架怎么放【腹具匠新】吴华平教授团队:ENDURANT IIs 分叉支架开窗束径保留 IMA 治疗腹主动脉穿透性溃疡_https://www.jmylbn.com_新闻资讯_第8张

男性,61岁。


单猪尾支架怎么放【腹具匠新】吴华平教授团队:ENDURANT IIs 分叉支架开窗束径保留 IMA 治疗腹主动脉穿透性溃疡_https://www.jmylbn.com_新闻资讯_第8张

主诉

单猪尾支架怎么放【腹具匠新】吴华平教授团队:ENDURANT IIs 分叉支架开窗束径保留 IMA 治疗腹主动脉穿透性溃疡_https://www.jmylbn.com_新闻资讯_第8张

入院前1+天前,患者全身乏力不适,伴恶心、呕吐,呕吐物为胃内容物,伴腹泻,排水样黄色便,伴发热,最高体温为39℃,无左上肢牵涉痛,无右肩部放射痛,无眩晕、黑朦,无胸前区疼痛,无胸闷,无呼吸困难,无咳嗽、咳痰,无血尿,无血便及粘液样便,无黄疸,无腹痛,无尿频、尿急、尿痛及血尿,无反酸、嗳气,无意识障碍等不适。患者于我院急诊就诊。


单猪尾支架怎么放【腹具匠新】吴华平教授团队:ENDURANT IIs 分叉支架开窗束径保留 IMA 治疗腹主动脉穿透性溃疡_https://www.jmylbn.com_新闻资讯_第8张

查体

单猪尾支架怎么放【腹具匠新】吴华平教授团队:ENDURANT IIs 分叉支架开窗束径保留 IMA 治疗腹主动脉穿透性溃疡_https://www.jmylbn.com_新闻资讯_第8张

T:36.8℃;P:110次/分;R:20次/分;BP:114/85mmHg。


单猪尾支架怎么放【腹具匠新】吴华平教授团队:ENDURANT IIs 分叉支架开窗束径保留 IMA 治疗腹主动脉穿透性溃疡_https://www.jmylbn.com_新闻资讯_第8张

既往病史

单猪尾支架怎么放【腹具匠新】吴华平教授团队:ENDURANT IIs 分叉支架开窗束径保留 IMA 治疗腹主动脉穿透性溃疡_https://www.jmylbn.com_新闻资讯_第8张

平素体健,否认高血压、高血压、冠心病等病史。


单猪尾支架怎么放【腹具匠新】吴华平教授团队:ENDURANT IIs 分叉支架开窗束径保留 IMA 治疗腹主动脉穿透性溃疡_https://www.jmylbn.com_新闻资讯_第16张

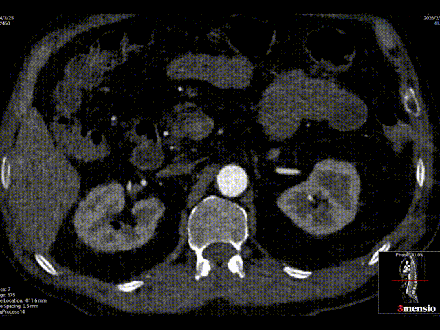
术前影像学资料

单猪尾支架怎么放【腹具匠新】吴华平教授团队:ENDURANT IIs 分叉支架开窗束径保留 IMA 治疗腹主动脉穿透性溃疡_https://www.jmylbn.com_新闻资讯_第16张

术前影像学诊断结果:腹主动脉穿通性溃疡伴假性动脉瘤形成。

单猪尾支架怎么放【腹具匠新】吴华平教授团队:ENDURANT IIs 分叉支架开窗束径保留 IMA 治疗腹主动脉穿透性溃疡_https://www.jmylbn.com_新闻资讯_第18张
单猪尾支架怎么放【腹具匠新】吴华平教授团队:ENDURANT IIs 分叉支架开窗束径保留 IMA 治疗腹主动脉穿透性溃疡_https://www.jmylbn.com_新闻资讯_第19张
单猪尾支架怎么放【腹具匠新】吴华平教授团队:ENDURANT IIs 分叉支架开窗束径保留 IMA 治疗腹主动脉穿透性溃疡_https://www.jmylbn.com_新闻资讯_第7张

病例特点

腹主动脉末端壁间血肿伴局部穿通性溃疡,肠系膜下动脉粗大。

单猪尾支架怎么放【腹具匠新】吴华平教授团队:ENDURANT IIs 分叉支架开窗束径保留 IMA 治疗腹主动脉穿透性溃疡_https://www.jmylbn.com_新闻资讯_第7张

治疗方案及器械选择

治疗方案:右入路上美敦力EIIs ESBF2314C103EE,对主体支架开窗束径保留肠系膜下动脉,左接髂支ETLW1616C93EE剪短3节。

单猪尾支架怎么放【腹具匠新】吴华平教授团队:ENDURANT IIs 分叉支架开窗束径保留 IMA 治疗腹主动脉穿透性溃疡_https://www.jmylbn.com_新闻资讯_第22张


器械选择:

  • 美敦力IIs ESBF2314C103EE,ETLW1620C93EE

  • 3D打印模型

  • 弹簧圈

  • 4mm球囊

  • 球扩支架

单猪尾支架怎么放【腹具匠新】吴华平教授团队:ENDURANT IIs 分叉支架开窗束径保留 IMA 治疗腹主动脉穿透性溃疡_https://www.jmylbn.com_新闻资讯_第7张

手术过程

1.麻醉成功后,常规消毒铺巾,取美敦力腹主动脉分叉型支架(美敦力25-14-103)于体外送入3D打印模型内部分释放,肠系膜下动脉开口位置开窗,并缝合弹簧圈作标记,应用V18导丝束径,重装支架并排气。

单猪尾支架怎么放【腹具匠新】吴华平教授团队:ENDURANT IIs 分叉支架开窗束径保留 IMA 治疗腹主动脉穿透性溃疡_https://www.jmylbn.com_新闻资讯_第24张
单猪尾支架怎么放【腹具匠新】吴华平教授团队:ENDURANT IIs 分叉支架开窗束径保留 IMA 治疗腹主动脉穿透性溃疡_https://www.jmylbn.com_新闻资讯_第25张
单猪尾支架怎么放【腹具匠新】吴华平教授团队:ENDURANT IIs 分叉支架开窗束径保留 IMA 治疗腹主动脉穿透性溃疡_https://www.jmylbn.com_新闻资讯_第26张
单猪尾支架怎么放【腹具匠新】吴华平教授团队:ENDURANT IIs 分叉支架开窗束径保留 IMA 治疗腹主动脉穿透性溃疡_https://www.jmylbn.com_新闻资讯_第27张


2.穿刺双侧股总动脉置入血管鞘,肝素化,预置缝合器共4把,置入8F血管鞘,穿刺左侧股动脉置入血管鞘,导丝配合导管送入腹主动脉内,导入Amplatz导丝,交换送入6F长鞘于腹主动脉段。


3.通过左股导入金标猪尾导管备造影及测量用,通过右侧动脉导入Amplatz导丝,循导丝送入腹主动脉支架,部分释放,上肢入路超选窗孔及肠系膜下动脉成功,导入Supera core导丝,循导丝导入4mm球囊,球囊带鞘技术将长鞘送入肠系膜下动脉近段。


4.造影定位腹主动脉动脉分叉,释放支架,短腿平腹主动脉分叉水平弹开,上肢长鞘送入5mm18mm球扩支架配合0.014号丝,跨窗孔释放支架,造影见支架形态位置满意,肠系膜下动脉显影良好。

单猪尾支架怎么放【腹具匠新】吴华平教授团队:ENDURANT IIs 分叉支架开窗束径保留 IMA 治疗腹主动脉穿透性溃疡_https://www.jmylbn.com_新闻资讯_第28张


5.解除束径及支架后释放装置,通过左股达超成功,导入猪尾导管测量后,选髂动脉延长支(美敦力16-16-95)裁剪部分支架后,重装排气,循左股导丝送入与近段主体支架拼接,远段锚定于左髂总末端。

单猪尾支架怎么放【腹具匠新】吴华平教授团队:ENDURANT IIs 分叉支架开窗束径保留 IMA 治疗腹主动脉穿透性溃疡_https://www.jmylbn.com_新闻资讯_第29张
单猪尾支架怎么放【腹具匠新】吴华平教授团队:ENDURANT IIs 分叉支架开窗束径保留 IMA 治疗腹主动脉穿透性溃疡_https://www.jmylbn.com_新闻资讯_第30张


导入12mm球囊送入双侧髂支扩张,造影见右侧髂支受压明显。右侧导入12mm 38mm球扩覆膜支架矫正狭窄,再造影见狭窄改善,支架形态位置良好,肠系膜下动脉显影通畅。

单猪尾支架怎么放【腹具匠新】吴华平教授团队:ENDURANT IIs 分叉支架开窗束径保留 IMA 治疗腹主动脉穿透性溃疡_https://www.jmylbn.com_新闻资讯_第31张
单猪尾支架怎么放【腹具匠新】吴华平教授团队:ENDURANT IIs 分叉支架开窗束径保留 IMA 治疗腹主动脉穿透性溃疡_https://www.jmylbn.com_新闻资讯_第32张


6.撤出导丝,收紧股动脉缝线并加压,拔除左股动脉鞘局部压迫止血,弹力绷带加压包扎,术毕患者安返复苏室。


7.术后造影:

单猪尾支架怎么放【腹具匠新】吴华平教授团队:ENDURANT IIs 分叉支架开窗束径保留 IMA 治疗腹主动脉穿透性溃疡_https://www.jmylbn.com_新闻资讯_第33张


单猪尾支架怎么放【腹具匠新】吴华平教授团队:ENDURANT IIs 分叉支架开窗束径保留 IMA 治疗腹主动脉穿透性溃疡_https://www.jmylbn.com_新闻资讯_第7张

手术总结

本例患者为腹主动脉末端穿透性溃疡伴假性动脉瘤,累及分叉区、双侧髂总短、肠系膜下动脉粗大,无法使用直筒支架;常规分叉支架难以兼顾分支保留与短髂总适配。

美敦力 ENDURANT IIs 分叉支架凭借模块化设计、高柔顺性、精准可控释放,完美适配本例复杂解剖:主体直径梯度适配腹主远端 + 短髂总,解决直筒支架无法锚定的痛点;体外可预开窗、束径,配合 3D 打印精准定位,安全保留粗大肠系膜下动脉;髂支可裁剪剪短,适配短髂总并保留双侧髂内;同时支架释放稳定、径向支撑力佳,术中髂支受压可通过球扩支架快速矫正,无内漏,最终本次手术治疗取得了良好效果。

本次治疗验证 EIIs可改装、高适配、强可控的临床价值,为累及分叉 + 需保分支 + 短髂总的复杂腹主病变提供可复制、低成本、高效率的标准化方案,提升复杂型腹主动脉瘤腔内修复术(EVAR)的可及性与安全性。



专家介绍 /EXPERTS

单猪尾支架怎么放【腹具匠新】吴华平教授团队:ENDURANT IIs 分叉支架开窗束径保留 IMA 治疗腹主动脉穿透性溃疡_https://www.jmylbn.com_新闻资讯_第35张
单猪尾支架怎么放【腹具匠新】吴华平教授团队:ENDURANT IIs 分叉支架开窗束径保留 IMA 治疗腹主动脉穿透性溃疡_https://www.jmylbn.com_新闻资讯_第36张

达州市中心医院

吴华平 教授

单猪尾支架怎么放【腹具匠新】吴华平教授团队:ENDURANT IIs 分叉支架开窗束径保留 IMA 治疗腹主动脉穿透性溃疡_https://www.jmylbn.com_新闻资讯_第37张
单猪尾支架怎么放【腹具匠新】吴华平教授团队:ENDURANT IIs 分叉支架开窗束径保留 IMA 治疗腹主动脉穿透性溃疡_https://www.jmylbn.com_新闻资讯_第38张

医学博士,主任医师,硕士研究生导师,党委常委,副院长,心脏血管外科学科负责人。曾在意大利佛罗伦萨大学 Careggi大学医院和美国耶鲁大学 New Haven 医院学习。四川省卫计委“有突出贡献中青年专家 ”,首届达州“大美医者 ”,第一届“达州名医 ”,首届“ 巴渠名医 ”,达州市特聘专家。主要从事周围血管外科疾病的临床诊治与研究。

主要学术任职:中国老年医学会周围血管疾病管理分会常委,中国康复医学会血管外科分会委员,中日医学科技交流协会血管外科分会委员,四川省医师协会血管外科分会副会长,四川省医创会血管外科分会副主委,中国毕业后教育杂志编委,达州市医学会血管与腔内血管外科专委会主委等


单猪尾支架怎么放【腹具匠新】吴华平教授团队:ENDURANT IIs 分叉支架开窗束径保留 IMA 治疗腹主动脉穿透性溃疡_https://www.jmylbn.com_新闻资讯_第35张
单猪尾支架怎么放【腹具匠新】吴华平教授团队:ENDURANT IIs 分叉支架开窗束径保留 IMA 治疗腹主动脉穿透性溃疡_https://www.jmylbn.com_新闻资讯_第36张

达州市中心医院

张利 教授

单猪尾支架怎么放【腹具匠新】吴华平教授团队:ENDURANT IIs 分叉支架开窗束径保留 IMA 治疗腹主动脉穿透性溃疡_https://www.jmylbn.com_新闻资讯_第41张
单猪尾支架怎么放【腹具匠新】吴华平教授团队:ENDURANT IIs 分叉支架开窗束径保留 IMA 治疗腹主动脉穿透性溃疡_https://www.jmylbn.com_新闻资讯_第38张

主任医师,医学硕士,心脏血管外科主任。2007年7月毕业于重庆医科大学,师从著名血管外科专家赵渝教授,毕业后进入四川省达州市中心医院外科工作,率先在达州市开展血管外科工作,填补了多项技术空白。2012年2月-8月到重庆医科大学附属第一医院血管外科系统学习外周血管介入及开放手术技术。2018年11月至2019年5月参加国家卫计委第9期西部人才计划,在西安交通大学第一附属医院血管外科研修,在著名颈动脉疾病专家刘建林教授指导下系统学习了颈动脉疾病的开放及腔内治疗。2021年10月-2022年3月,在南京大学附属鼓楼医院针对性学习复杂主动脉疾病的腔内及开放治疗。率先在四川省开展了主动脉夹层覆膜支架预开窗及机械原位开窗技术重建左锁骨下动脉技术,近年来率先在达州市开展了3D打印辅助下复杂主动脉病变的腔内分支重建技术,IBD及改良三明治技术重建髂内动脉等新技术。擅长胸主动脉夹层/动脉瘤、腹主动脉瘤的开放手术及腔内隔绝术,颈动脉狭窄和闭塞的开放手术及腔内治疗、下肢缺血性疾病的旁路搭桥手术及及介入治疗;血栓性疾病的一站式综合治疗、下肢静脉曲张的传统及各种微创手术;复杂血管通路构建及维护、中心静脉狭窄的治疗;累及血管的肿瘤切除手术的切除等。在Journal of intervention medicine , World journal of clinical cases, Chinese journal of traumatology等发表文章多篇,获批国家实用新型专利10项。现任四川省医学会血管外科学组委员,四川省医师协会血管外科分会委员,中国医师协会血管外科分会血管通路学组委员,亚太血管学术联盟委员,中国老年医学学会周围血管疾病管理分会委员,国际血管联盟青年委员会委员、血管修复与重建委员会委员


单猪尾支架怎么放【腹具匠新】吴华平教授团队:ENDURANT IIs 分叉支架开窗束径保留 IMA 治疗腹主动脉穿透性溃疡_https://www.jmylbn.com_新闻资讯_第35张
单猪尾支架怎么放【腹具匠新】吴华平教授团队:ENDURANT IIs 分叉支架开窗束径保留 IMA 治疗腹主动脉穿透性溃疡_https://www.jmylbn.com_新闻资讯_第36张

达州市中心医院

李想 教授

单猪尾支架怎么放【腹具匠新】吴华平教授团队:ENDURANT IIs 分叉支架开窗束径保留 IMA 治疗腹主动脉穿透性溃疡_https://www.jmylbn.com_新闻资讯_第45张
单猪尾支架怎么放【腹具匠新】吴华平教授团队:ENDURANT IIs 分叉支架开窗束径保留 IMA 治疗腹主动脉穿透性溃疡_https://www.jmylbn.com_新闻资讯_第38张

副主任医师,国际血管联盟中国分部青年委员,四川省医学会介入医学专委会青年委员,中国人体健康科技促进会血管畸形及通路学组会员,亚太血管学术联盟青年理事会会员,四川省中西医结合学会周围血管病专委会委员,四川省医师协会血管外科医师分会委员,四川省医学会血栓栓塞性疾病多学科联合委员会委员,达州市医学会血管与腔内血管外科专委会委员。


版权声明:本平台旨在帮助医疗卫生专业人士更好地了解相关疾病领域最新进展。本平台对发布的资讯内容,并不代表同意其描述和观点,仅为提供更多信息。若涉及版权问题,烦请权利人与我们联系,我们将尽快处理。仅供医疗卫生专业人士为了解资讯使用,该等信息不能以任何方式取代专业的医疗指导,也不应被视为诊疗建议。如该等信息被用于了解资讯以外的目的,本平台及作者不承担相关责任。合作联系邮箱:vascular@edoctor.work。

前往小程序

单猪尾支架怎么放【腹具匠新】吴华平教授团队:ENDURANT IIs 分叉支架开窗束径保留 IMA 治疗腹主动脉穿透性溃疡_https://www.jmylbn.com_新闻资讯_第47张
单猪尾支架怎么放【腹具匠新】吴华平教授团队:ENDURANT IIs 分叉支架开窗束径保留 IMA 治疗腹主动脉穿透性溃疡_https://www.jmylbn.com_新闻资讯_第48张
单猪尾支架怎么放【腹具匠新】吴华平教授团队:ENDURANT IIs 分叉支架开窗束径保留 IMA 治疗腹主动脉穿透性溃疡_https://www.jmylbn.com_新闻资讯_第49张
单猪尾支架怎么放【腹具匠新】吴华平教授团队:ENDURANT IIs 分叉支架开窗束径保留 IMA 治疗腹主动脉穿透性溃疡_https://www.jmylbn.com_新闻资讯_第50张