医用ct胶片怎么收纳医用彩色胶片:让影像诊断更精准的“全彩视界”

新闻资讯2026-04-21 02:58:56
医用ct胶片怎么收纳医用彩色胶片:让影像诊断更精准的“全彩视界”_https://www.jmylbn.com_新闻资讯_第1张

在传统认知中,医学影像总是与黑白灰的单调画面相关联。近年来放射科医师正通过彩色胶片上细腻的解剖、血管及病变显影,这种突破性的显影技术,正在重塑现代医学影像的认知边界。






一、为什么需要彩色?


在医学影像中,彩色胶片能够通过不同的颜色来区分不同组织、病变程度和生理状态例如,在某些特殊的造影检查中,血管中的造影剂会呈现出特定的颜色,帮助医生清晰地观察血管的走向和血流情况。这种色彩的差异就像是一把“钥匙”,打开了医生诊断疾病的“锁”。


二、彩色胶片能提供什么


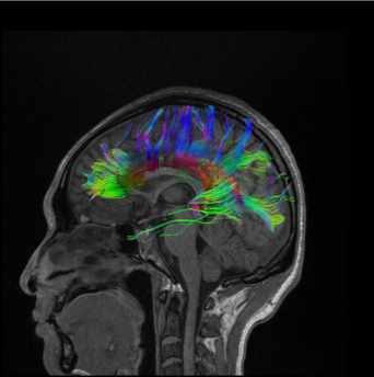
彩色胶片能够提供比黑白胶片更丰富的色彩信息,这对于某些疾病的诊断至关重要。

1、白质纤维束的显示:扩散张量成像(DTI)通过检测水分子在白质纤维中的扩散方向,用彩色编码还原神经通路,能够提供脑白质的微观结构信息,能够给临床治疗提示有价值的诊断信息。

医用ct胶片怎么收纳医用彩色胶片:让影像诊断更精准的“全彩视界”_https://www.jmylbn.com_新闻资讯_第2张
医用ct胶片怎么收纳医用彩色胶片:让影像诊断更精准的“全彩视界”_https://www.jmylbn.com_新闻资讯_第3张
医用ct胶片怎么收纳医用彩色胶片:让影像诊断更精准的“全彩视界”_https://www.jmylbn.com_新闻资讯_第4张

语言发育迟缓儿童常表现为无词汇、不会短句、理解能力弱等;孤独症儿童常表现为社会交往和交流障碍、重复刻板行为、兴趣狭窄等。DTI可能发现隐匿问题,如:纤维束的稀少、中断,纤维束FA值的减低。医用彩色胶片可以直观显示纤维束的结构信息及走形,显示具体某个纤维束异常、不同纤维束之间的连接异常,能直观显示纤维束的修复情况,评估较客观。

医用ct胶片怎么收纳医用彩色胶片:让影像诊断更精准的“全彩视界”_https://www.jmylbn.com_新闻资讯_第5张

2、在CT骨科三维重建中,彩色胶片能够更直观地显示骨骼的形态及与周围组织结构的关系,帮助医生诊断及鉴别诊断疾病。

医用ct胶片怎么收纳医用彩色胶片:让影像诊断更精准的“全彩视界”_https://www.jmylbn.com_新闻资讯_第6张
医用ct胶片怎么收纳医用彩色胶片:让影像诊断更精准的“全彩视界”_https://www.jmylbn.com_新闻资讯_第7张

3、在CT血管造影中,彩色胶片能够清晰地显示血管内的血流情况,帮助医生判断血管是否存在狭窄、堵塞或动脉瘤等病变。

医用ct胶片怎么收纳医用彩色胶片:让影像诊断更精准的“全彩视界”_https://www.jmylbn.com_新闻资讯_第8张
医用ct胶片怎么收纳医用彩色胶片:让影像诊断更精准的“全彩视界”_https://www.jmylbn.com_新闻资讯_第9张

4、将磁共振成像(MRI)和功能成像的图像融合时彩色胶片可以将MRI提供的解剖结构信息和功能成像提供的代谢/微观结构信息以不同的颜色进行标注。

医用ct胶片怎么收纳医用彩色胶片:让影像诊断更精准的“全彩视界”_https://www.jmylbn.com_新闻资讯_第10张

5、在儿童心脏疾病中的应用:将磁共振成像(MRI)功能图像加上色彩后,彩色胶片根据不同的颜色信息可以让医生快速判断病变。

医用ct胶片怎么收纳医用彩色胶片:让影像诊断更精准的“全彩视界”_https://www.jmylbn.com_新闻资讯_第11张
医用ct胶片怎么收纳医用彩色胶片:让影像诊断更精准的“全彩视界”_https://www.jmylbn.com_新闻资讯_第12张

彩色胶片的应用还有很多......

总之,彩色胶片是医学影像的一颗璀璨明珠,可以让影像诊断更为精准。它以其丰富的色彩信息、辅助多模态影像融合等优势,为医学诊断做出了重要贡献。目前,郑州大学第三附属医院(河南省妇幼保健院)医学影像科已引进彩色激光胶片,医学影像科所有的CT、MRI后处理图像均可进行彩色打印,主要包括CTA、CTU、MRA、ASL、骨科三维重建、内耳的重建等,破解了以往仅能打印黑白图像胶片的局限。

( 部分图片源自网络,如有侵权联系删除。投稿邮箱zdsfy@126.com


文图:医学影像科 郭亚飞

编辑:冀冰冰

责编:张利民

审核:华小亚

微信改版啦

为了不错过我们的推送

大家记得把 郑大三附院暨河南省妇幼保健院

“设为星标哦~


医用ct胶片怎么收纳医用彩色胶片:让影像诊断更精准的“全彩视界”_https://www.jmylbn.com_新闻资讯_第13张





往期推荐:




*没“do”怎么得了梅毒?

*为什么你瘦不下来?破解减肥瓶颈看这里

*怀孕后忽然想吃土,这是怎么了?

*生娃后,一条腿变短了?医生没告诉你的真相!

*男人怎么突然不行了?备孕夫妇必看

关注我们

了解更多妇幼健康科普知识

医用ct胶片怎么收纳医用彩色胶片:让影像诊断更精准的“全彩视界”_https://www.jmylbn.com_新闻资讯_第14张


点个「在看」 你最好看
医用ct胶片怎么收纳医用彩色胶片:让影像诊断更精准的“全彩视界”_https://www.jmylbn.com_新闻资讯_第15张