动脉长鞘怎么置入疏堵有道丨8F长鞘辅助BGC球囊导管大脑中动脉取栓术

新闻资讯2026-04-21 02:53:10
动脉长鞘怎么置入疏堵有道丨8F长鞘辅助BGC球囊导管大脑中动脉取栓术_https://www.jmylbn.com_新闻资讯_第1张
动脉长鞘怎么置入疏堵有道丨8F长鞘辅助BGC球囊导管大脑中动脉取栓术_https://www.jmylbn.com_新闻资讯_第2张
动脉长鞘怎么置入疏堵有道丨8F长鞘辅助BGC球囊导管大脑中动脉取栓术_https://www.jmylbn.com_新闻资讯_第3张

本 / 期 / 病 /

01

病史简介

患者基本信息

患者男性,70岁。

主诉

突发言语含糊伴左侧肢体无力2小时。

现病史

患者今日凌晨4点因胸闷气喘于我院急诊就诊,凌晨5点突发左侧肢体无力伴言语含糊,不能持物,不能独立行走,否认意识障碍、头痛、头晕、无恶心呕吐、反应迟钝、呼之不应、精神异常、胡言乱语、无四肢抽搐、大小便失禁,遂急诊查头颅CT并收入院。

既往史

心衰,冠心病,冠脉支架植入术后,高血压,糖尿病。平时用药:抗板药,降压药,降糖药。

查体

神清,言语含糊,左侧鼻唇沟浅,伸舌偏左,左侧肢体肌力0级,左侧病理征阳性。

02

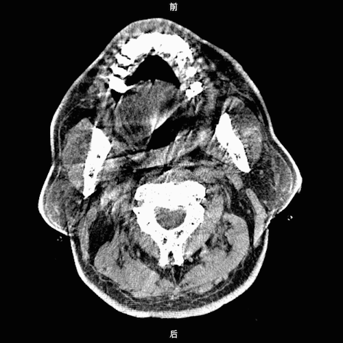
术前影像学检查

CT提示脑干、双侧基底节区、脑室旁腔隙腔梗灶。

动脉长鞘怎么置入疏堵有道丨8F长鞘辅助BGC球囊导管大脑中动脉取栓术_https://www.jmylbn.com_新闻资讯_第4张

颈动脉CTA显示右侧大脑中动脉M1段闭塞,右侧颈内动脉开口处中度狭窄,右侧颈内动脉C6段、左侧颈内动脉C4段动脉瘤待排。

动脉长鞘怎么置入疏堵有道丨8F长鞘辅助BGC球囊导管大脑中动脉取栓术_https://www.jmylbn.com_新闻资讯_第5张

03

术前诊断

入院诊断

  1. 右侧大脑中动脉闭塞

  2. 肺炎

  3. 冠状动脉粥样硬化性心脏病

  4. 2型糖尿病

  5. 高血压病2级(极高危)

术前评估

  1. 患者高龄男性,诊断为右侧大脑中动脉闭塞,药物治疗效果不佳;

  2. 考虑右侧大脑中动脉为责任血管,有介入治疗指征,考虑在局麻下经股动脉行右侧大脑中动脉开通术;

  3. 手术风险:医源性夹层、穿支闭塞、急性血管形成、血管破裂等。

04

治疗过程

手术器械

  • 8F 长鞘

  • 0.014'' 微导丝

  • 0.027'' 微导管

  • 4×20mm 取栓支架

  • 0.068'' 颅内血栓抽吸导管

  • 8F 通桥大禹®球囊导引导管

手术过程

患者仰卧位,局部麻醉后,右侧腹股沟动脉穿刺插管,放置8F长鞘,将通桥大禹®球囊导引导管置于右侧颈内动脉,造影显示右侧大脑中动脉M2段闭塞,远端无显影。

随后经通桥大禹®球囊导引导管顺利引入抽吸导管,在复杂血管的条件下跟踪出色,增强通过性,并在微导丝辅助下将微导管通过闭塞血管,进入大脑中动脉M2段远端,微导管造影显示远端分支通畅良好。微导管内引入取栓支架,到位后释放,支架内造影显示血流部分恢复。

动脉长鞘怎么置入疏堵有道丨8F长鞘辅助BGC球囊导管大脑中动脉取栓术_https://www.jmylbn.com_新闻资讯_第6张
动脉长鞘怎么置入疏堵有道丨8F长鞘辅助BGC球囊导管大脑中动脉取栓术_https://www.jmylbn.com_新闻资讯_第7张

5分钟后充盈通桥大禹®球囊导引导管,同时回撒支架取栓,同时将抽吸导管引至血栓近端,负压抽吸,病变段完全开通,造影显示前向血流恢复良好,TIC1分级3级,远端血流恢复。

动脉长鞘怎么置入疏堵有道丨8F长鞘辅助BGC球囊导管大脑中动脉取栓术_https://www.jmylbn.com_新闻资讯_第8张

BGC充盈

动脉长鞘怎么置入疏堵有道丨8F长鞘辅助BGC球囊导管大脑中动脉取栓术_https://www.jmylbn.com_新闻资讯_第9张

BGC充盈后

复查CT未见明显颅内血肿和中线移位。术中患者未见明显异常不适,术后拔管缝合、压迫止血,安返病房。

动脉长鞘怎么置入疏堵有道丨8F长鞘辅助BGC球囊导管大脑中动脉取栓术_https://www.jmylbn.com_新闻资讯_第10张
动脉长鞘怎么置入疏堵有道丨8F长鞘辅助BGC球囊导管大脑中动脉取栓术_https://www.jmylbn.com_新闻资讯_第11张

术后造影

动脉长鞘怎么置入疏堵有道丨8F长鞘辅助BGC球囊导管大脑中动脉取栓术_https://www.jmylbn.com_新闻资讯_第12张

术后CT

术者体会

对于血栓负荷量较大的情况,如果未能使用BGC,有可能存在血栓逃逸的情况,所以使用BGC尤为重要。

● 通桥大禹®球囊导引导管头端较柔软,可轻松到达颈内动脉C1段,且可减少对颈内动脉损伤造成夹层或刺激而导致血管痉挛的几率;适配8F长鞘,在复杂的血管条件下通过性能良好。通桥大禹®球囊导引导管充盈球囊后再行抽吸或支架拉栓,或抽拉结合,可有效防止血栓逃逸而导致远端细小分支闭塞,提高血管再通效率。

动脉长鞘怎么置入疏堵有道丨8F长鞘辅助BGC球囊导管大脑中动脉取栓术_https://www.jmylbn.com_新闻资讯_第13张

本 期 术 者

动脉长鞘怎么置入疏堵有道丨8F长鞘辅助BGC球囊导管大脑中动脉取栓术_https://www.jmylbn.com_新闻资讯_第14张

朱悦琦

上海市第六人民医院

上海市第六人民医院介入科主任医师、硕士生导师。2014-2015年Mayo Clinic访问学者。

以第一/通讯作者发表SCI论文45篇,总影响因子>200。

承担国家自然科学基金2项,获上海市启明星、浦江人才、上海市优秀博士学位论文成果、上海交大晨星学者计划、上海交大医工交叉重点项目、交大医学院双百人计划、申康三年行动计划项目资助。

担任中华放射学会介入学组工作秘书及青年工作组副主任委员,中国医师协会介入分会青委会委员(学术秘书)、上海市医学会脑卒中分会委员。

以主要完成人获国家科技进步二等奖、上海市科技进步一等奖、教育部科技进步一等奖奖励。

获“国之名医-青年新锐”、“中国介入新锐”称号。

动脉长鞘怎么置入疏堵有道丨8F长鞘辅助BGC球囊导管大脑中动脉取栓术_https://www.jmylbn.com_新闻资讯_第15张

魏黎明

上海市第六人民医院

上海市第六人民医院介入影像科主治医师,医学博士。

主要研究方向为脑血管和下肢血管疾病的影像诊断和介入治疗,以及肿瘤的综合介入治疗。目前以第一作者发表论文十余篇,其中SCI收录文章8篇,主持国家自然科学基金课题一项。

动脉长鞘怎么置入疏堵有道丨8F长鞘辅助BGC球囊导管大脑中动脉取栓术_https://www.jmylbn.com_新闻资讯_第16张

本内容仅供医学专业人士作线上专业交流

本内容不向非医学专业人士开放,敬请理解

讲课内容仅代表专家个人观点,非通桥医疗推广产品

动脉长鞘怎么置入疏堵有道丨8F长鞘辅助BGC球囊导管大脑中动脉取栓术_https://www.jmylbn.com_新闻资讯_第17张

觉得内容还不错,点个“在看”呗

动脉长鞘怎么置入疏堵有道丨8F长鞘辅助BGC球囊导管大脑中动脉取栓术_https://www.jmylbn.com_新闻资讯_第18张
动脉长鞘怎么置入疏堵有道丨8F长鞘辅助BGC球囊导管大脑中动脉取栓术_https://www.jmylbn.com_新闻资讯_第19张