动脉长鞘怎么置入术说·第十七期丨Infinity长鞘助力Surpass Streamline血流导向密网支架治疗双侧颈内迂曲路径动脉瘤一例

新闻资讯2026-04-21 02:53:02
动脉长鞘怎么置入术说·第十七期丨Infinity长鞘助力Surpass Streamline血流导向密网支架治疗双侧颈内迂曲路径动脉瘤一例_https://www.jmylbn.com_新闻资讯_第1张
动脉长鞘怎么置入术说·第十七期丨Infinity长鞘助力Surpass Streamline血流导向密网支架治疗双侧颈内迂曲路径动脉瘤一例_https://www.jmylbn.com_新闻资讯_第2张
动脉长鞘怎么置入术说·第十七期丨Infinity长鞘助力Surpass Streamline血流导向密网支架治疗双侧颈内迂曲路径动脉瘤一例_https://www.jmylbn.com_新闻资讯_第3张


本 期 术 者 

动脉长鞘怎么置入术说·第十七期丨Infinity长鞘助力Surpass Streamline血流导向密网支架治疗双侧颈内迂曲路径动脉瘤一例_https://www.jmylbn.com_新闻资讯_第4张

黄军

中南大学湘雅医院

医学博士,教授,主任医师,研究生导师,留美学者,中南大学湘雅医院神经外科副主任。曾任新疆医科大学第二附属医院党委委员、第二附属医院副院长、神经外科主任。兼职国家卫健委脑卒中防治出血性卒中外科专家委员会常委, 欧美同学会(中国留学人员联谊会)医师协会脑血管病分会常委,湖南省健康服务业协会脑与脑健康分会常务理事等。

主要从事脑血管病(缺血性和出血性)基础与临床研究,如主攻脑动脉瘤、烟雾病、脑血管畸形、颅内外动脉狭窄、慢性颈内动脉闭塞、高血压脑出血等显微外科手术及介入手术治疗。每年完成各类复杂颅脑手术近500例,能够灵活应用介入技术、开颅显微技术及血管搭桥技术治疗脑血管疾病,手术并发症少,死亡率低。

在国际及国家级杂志上发表论文60余篇,其中以第一作者或通讯作者发表SCI 11篇,目前主持国家自然科学基金1项、国家老年疾病临床医学研究中心临床研究基金(复合手术治疗慢性颈内动脉闭塞的多中心临床研究)1项、湖南省自然科学基金1项,既往主持和参与国家及省部级科研课题10项,获湖南省医学科技进步一等奖、湖南省科技进步奖二等奖、全国医药业科技进步奖一等奖等。参编参译专著两本。


动脉长鞘怎么置入术说·第十七期丨Infinity长鞘助力Surpass Streamline血流导向密网支架治疗双侧颈内迂曲路径动脉瘤一例_https://www.jmylbn.com_新闻资讯_第5张

杜璨

中南大学湘雅医院

医学博士,中南大学湘雅医院神经外科医师(脑血管病亚专科)。从事治疗各类脑血管疾病的临床诊疗工作,包括颅内动脉瘤,颅内血管畸形,颅内外动脉狭窄。慢性颈内动脉闭塞等。目前开展缺血性血管病的临床和基础研究。


动脉长鞘怎么置入术说·第十七期丨Infinity长鞘助力Surpass Streamline血流导向密网支架治疗双侧颈内迂曲路径动脉瘤一例_https://www.jmylbn.com_新闻资讯_第6张

陈远兵

中南大学湘雅医院

博士研究生,从事脑血管疾病的相关临床诊疗。目前开展缺血性血管病的临床和基础研究,以及胶质瘤发生发展的相关分子机制研究。


本期病例

01

病例简介

基本信息

患者女性,59岁。

主诉

左眼复视1月。

现病史

患者1月余前无明显诱因出现左眼复视,遂到当地医院就诊行MRA检查提示颅内双侧颈内动脉动脉瘤,一直未予以特殊处理。为求进一步诊疗予以我院门诊就诊,门诊以“颅内动脉瘤”收住院。

既往病史及个人史

既往无特殊病史,无烟酒等不良嗜好。

查体

BP:126/88mmHg,T:36.2℃,P:82次/分,R:19次/分。神清,语利,双侧瞳孔等大等圆直径约3.0mm,对光反射灵敏,眼球运动可,伸舌居中,咽反射存在,四肢肌力5级,肌张力正常,病理征阴性。

术前准备

  • 术前口服双抗(阿司匹林+氯吡格雷)5天;

  • 术前抑制率检测:阿司匹林抑制为93.3%,氯吡格雷抑制率为64%;

  • 术前基因检测:CYP2C19(636 GA, 681 GA )慢型代谢。


02

术前影像结果

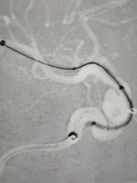
术前弓上造影显示:

双侧颈总起始段极度迂曲,需要好的长鞘在弓上强支撑。

动脉长鞘怎么置入术说·第十七期丨Infinity长鞘助力Surpass Streamline血流导向密网支架治疗双侧颈内迂曲路径动脉瘤一例_https://www.jmylbn.com_新闻资讯_第7张


术前3D造影显示:右侧眼动脉段背侧非分叉部动脉瘤(血泡样动脉瘤可疑)和眼动脉处起始部动脉瘤样扩张,且颈内路径迂曲。

动脉长鞘怎么置入术说·第十七期丨Infinity长鞘助力Surpass Streamline血流导向密网支架治疗双侧颈内迂曲路径动脉瘤一例_https://www.jmylbn.com_新闻资讯_第8张
动脉长鞘怎么置入术说·第十七期丨Infinity长鞘助力Surpass Streamline血流导向密网支架治疗双侧颈内迂曲路径动脉瘤一例_https://www.jmylbn.com_新闻资讯_第9张


左侧交通段囊状动脉瘤,且颈内路径迂曲。

动脉长鞘怎么置入术说·第十七期丨Infinity长鞘助力Surpass Streamline血流导向密网支架治疗双侧颈内迂曲路径动脉瘤一例_https://www.jmylbn.com_新闻资讯_第10张
动脉长鞘怎么置入术说·第十七期丨Infinity长鞘助力Surpass Streamline血流导向密网支架治疗双侧颈内迂曲路径动脉瘤一例_https://www.jmylbn.com_新闻资讯_第11张


03

手术方案

术前讨论:按照海绵窦段分型:此病例双侧颈内路径迂曲,且为海绵窦III型。需考虑长鞘高到位。

动脉长鞘怎么置入术说·第十七期丨Infinity长鞘助力Surpass Streamline血流导向密网支架治疗双侧颈内迂曲路径动脉瘤一例_https://www.jmylbn.com_新闻资讯_第12张


建议使用近端支撑强、远端柔软可高到位的AXS Infinity 6F 90cm长鞘


动脉长鞘怎么置入术说·第十七期丨Infinity长鞘助力Surpass Streamline血流导向密网支架治疗双侧颈内迂曲路径动脉瘤一例_https://www.jmylbn.com_新闻资讯_第13张
动脉长鞘怎么置入术说·第十七期丨Infinity长鞘助力Surpass Streamline血流导向密网支架治疗双侧颈内迂曲路径动脉瘤一例_https://www.jmylbn.com_新闻资讯_第14张


04

手术器械

  • 基础通路:6F 90cm Infinity长鞘、150cm泥鳅导丝、5F 125cm 单弯 

  • 中间导管:CAT 5  115cm

  • 微导丝:200cm Synchro2

  • 微导管:XT-27

  • 密网支架 :

    4*25mm Surpass Streamline血流导向密网支架2枚

  • 球囊:3.5*15mm Gateway

动脉长鞘怎么置入术说·第十七期丨Infinity长鞘助力Surpass Streamline血流导向密网支架治疗双侧颈内迂曲路径动脉瘤一例_https://www.jmylbn.com_新闻资讯_第15张

AXS Infinity 6F长鞘特点:

  • 远端柔顺性好,可高到位

  • 杆身中段弓上支撑强

  • 近端提供推送力和整体稳定性


05

手术过程

右侧颈内动脉:

Synchro 2导丝和XT-27同轴带CAT5到大脑中M1段远端

动脉长鞘怎么置入术说·第十七期丨Infinity长鞘助力Surpass Streamline血流导向密网支架治疗双侧颈内迂曲路径动脉瘤一例_https://www.jmylbn.com_新闻资讯_第16张
动脉长鞘怎么置入术说·第十七期丨Infinity长鞘助力Surpass Streamline血流导向密网支架治疗双侧颈内迂曲路径动脉瘤一例_https://www.jmylbn.com_新闻资讯_第16张


动脉长鞘怎么置入术说·第十七期丨Infinity长鞘助力Surpass Streamline血流导向密网支架治疗双侧颈内迂曲路径动脉瘤一例_https://www.jmylbn.com_新闻资讯_第18张

路径迂曲,海绵窦III型导致基础支撑不足,长鞘下坠,Surpass Streamline血流导向密网支架无法到位。


Infinity长鞘轻松推送至海绵窦段高到位,微导丝和CAT 5送高,增强系统支撑,支架顺利到位。

动脉长鞘怎么置入术说·第十七期丨Infinity长鞘助力Surpass Streamline血流导向密网支架治疗双侧颈内迂曲路径动脉瘤一例_https://www.jmylbn.com_新闻资讯_第19张


退支架外鞘管,将Surpass Streamline血流导向密网支架先释放到CAT 5里6-7mm

动脉长鞘怎么置入术说·第十七期丨Infinity长鞘助力Surpass Streamline血流导向密网支架治疗双侧颈内迂曲路径动脉瘤一例_https://www.jmylbn.com_新闻资讯_第20张


再退CAT5到外鞘管以下2mm,让支架锚定于远端。


固定支架外管,加力推支架内杆,增加系统张力将支架从外鞘管中推挤出来


支架没打开,只要大弯侧贴壁,就无需担心,持续保持张力推挤支架直至完全释放,再拉内杆减张,CAT5爬回远端。


由于回拉内杆减张动作较缓,没有给与支架小弯侧足够外力,支架没有完全贴壁,用导丝和CAT5按摩。

动脉长鞘怎么置入术说·第十七期丨Infinity长鞘助力Surpass Streamline血流导向密网支架治疗双侧颈内迂曲路径动脉瘤一例_https://www.jmylbn.com_新闻资讯_第21张


动脉长鞘怎么置入术说·第十七期丨Infinity长鞘助力Surpass Streamline血流导向密网支架治疗双侧颈内迂曲路径动脉瘤一例_https://www.jmylbn.com_新闻资讯_第22张

按摩后支架近端及中段小弯侧贴壁满意。


左侧颈内动脉:

Synchro 2导丝和X-T27同轴带CAT5到大脑中M1段远端。

动脉长鞘怎么置入术说·第十七期丨Infinity长鞘助力Surpass Streamline血流导向密网支架治疗双侧颈内迂曲路径动脉瘤一例_https://www.jmylbn.com_新闻资讯_第23张


左侧同样路径迂曲,海绵窦III型导致基础支撑不足,Surpass Streamline血流导向密网支架无法到位,至海绵窦段高到位,微导丝和CAT5送高,增强系统支撑,支架顺利跨过虹吸弯到位

动脉长鞘怎么置入术说·第十七期丨Infinity长鞘助力Surpass Streamline血流导向密网支架治疗双侧颈内迂曲路径动脉瘤一例_https://www.jmylbn.com_新闻资讯_第24张
动脉长鞘怎么置入术说·第十七期丨Infinity长鞘助力Surpass Streamline血流导向密网支架治疗双侧颈内迂曲路径动脉瘤一例_https://www.jmylbn.com_新闻资讯_第25张


动脉长鞘怎么置入术说·第十七期丨Infinity长鞘助力Surpass Streamline血流导向密网支架治疗双侧颈内迂曲路径动脉瘤一例_https://www.jmylbn.com_新闻资讯_第26张

退支架外鞘管,将Surpass Streamline血流导向密网支架先释放到CAT5里6-7mm。


再退CAT5到外鞘管以下2mm,让支架锚定于远端。但发现支架远端定位过高,覆盖了脉前动脉,遂用CAT5回收支架,重新定位后释放。

动脉长鞘怎么置入术说·第十七期丨Infinity长鞘助力Surpass Streamline血流导向密网支架治疗双侧颈内迂曲路径动脉瘤一例_https://www.jmylbn.com_新闻资讯_第27张


动脉长鞘怎么置入术说·第十七期丨Infinity长鞘助力Surpass Streamline血流导向密网支架治疗双侧颈内迂曲路径动脉瘤一例_https://www.jmylbn.com_新闻资讯_第28张

由于血管迂曲,支架推出困难,遂进行远端减张释放,推出支架后再增张,因此导致支架远端打开不良,用3.5*15mm Gateway球囊在支架远端扩张。


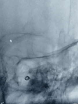
球囊扩张后再进行导丝按摩支架,工作位造影显示支架贴壁有所改善,动脉瘤内造影剂滞留明显。

动脉长鞘怎么置入术说·第十七期丨Infinity长鞘助力Surpass Streamline血流导向密网支架治疗双侧颈内迂曲路径动脉瘤一例_https://www.jmylbn.com_新闻资讯_第29张


06

术后造影

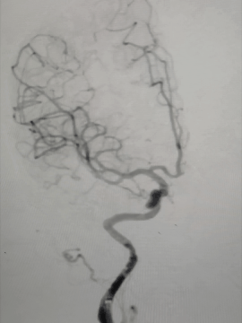
术后正位即刻造影显示:Surpass Streamline血流导向密网支架整体贴壁良好,瘤腔内造影剂明显滞留。

动脉长鞘怎么置入术说·第十七期丨Infinity长鞘助力Surpass Streamline血流导向密网支架治疗双侧颈内迂曲路径动脉瘤一例_https://www.jmylbn.com_新闻资讯_第30张
动脉长鞘怎么置入术说·第十七期丨Infinity长鞘助力Surpass Streamline血流导向密网支架治疗双侧颈内迂曲路径动脉瘤一例_https://www.jmylbn.com_新闻资讯_第31张

术后Dyna CT重建:

动脉长鞘怎么置入术说·第十七期丨Infinity长鞘助力Surpass Streamline血流导向密网支架治疗双侧颈内迂曲路径动脉瘤一例_https://www.jmylbn.com_新闻资讯_第32张
动脉长鞘怎么置入术说·第十七期丨Infinity长鞘助力Surpass Streamline血流导向密网支架治疗双侧颈内迂曲路径动脉瘤一例_https://www.jmylbn.com_新闻资讯_第33张


术者体会

  • Surpass Streamline血流导向密网支架是目前国内所有密网支架中网丝最多(72/96根网丝)的一款产品,导流效果明显,术后造影剂显著滞留,大多数情况下无需填弹簧圈,是一款较好的血流导向装置。其贴壁性较好,是目前FD中较容易打开的密网支架。

  • Surpass Streamline血流导向密网支架释放操作相对简单,只需要给足系统张力将支架推出,后续拉动内杆释放张力其支架将会自动打开并贴壁,必要时做个支架按摩。

  • Surpass Streamline血流导向密网支架系统是OWT结构,内杆中间始终保留一根导丝在远端,支架在可控范围内可随时回收后沿导丝送至远端再重新定位再释放,降低了术者的使用门槛和学习曲线。

  • Surpass Streamline血流导向密网支架支系统本身较硬,在迂曲的血管条件下建立通路并跨越瘤颈到达远端难度较大,因此良好的通路建立是Surpass Streamline血流导向密网支架释放成功的一半,史赛克Infinity长鞘近端径向支撑力更好,远端有9.5cm柔顺段可高到位,为Catalyst 5 翻越虹吸弯或支架输送过程中提供更稳定、更强有力的支撑。


业专攻 往论今


动脉长鞘怎么置入术说·第十七期丨Infinity长鞘助力Surpass Streamline血流导向密网支架治疗双侧颈内迂曲路径动脉瘤一例_https://www.jmylbn.com_新闻资讯_第34张
动脉长鞘怎么置入术说·第十七期丨Infinity长鞘助力Surpass Streamline血流导向密网支架治疗双侧颈内迂曲路径动脉瘤一例_https://www.jmylbn.com_新闻资讯_第35张
动脉长鞘怎么置入术说·第十七期丨Infinity长鞘助力Surpass Streamline血流导向密网支架治疗双侧颈内迂曲路径动脉瘤一例_https://www.jmylbn.com_新闻资讯_第36张


动脉长鞘怎么置入术说·第十七期丨Infinity长鞘助力Surpass Streamline血流导向密网支架治疗双侧颈内迂曲路径动脉瘤一例_https://www.jmylbn.com_新闻资讯_第37张