动脉长鞘怎么置入健谈•一鞘双能|温昌明教授团队:BMAX088球囊长鞘治疗左侧大脑中动脉闭塞一例

新闻资讯2026-04-21 02:52:47
动脉长鞘怎么置入健谈•一鞘双能|温昌明教授团队:BMAX088球囊长鞘治疗左侧大脑中动脉闭塞一例_https://www.jmylbn.com_新闻资讯_第1张

动脉长鞘怎么置入健谈•一鞘双能|温昌明教授团队:BMAX088球囊长鞘治疗左侧大脑中动脉闭塞一例_https://www.jmylbn.com_新闻资讯_第2张

扫描左侧二维码

进入健适医疗品牌专区


CASE

本期病例




病例简介 




患者:女,72岁,突发意识障碍伴右侧肢体无力半小时余。


既往史:高血压、冠心病史。


查体:意识模糊,混合性失语,双眼向左侧凝视,右下肢肌力3级,上肢0级,右侧病理征阳性。NIHSS评分15分。


辅助检查:

  • 入院心电图:房颤;

  • 入院后tnk溶栓。


术前影像 




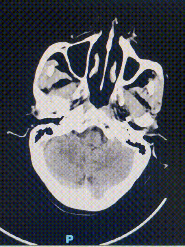
房颤栓塞致左侧大脑中动脉闭塞。

动脉长鞘怎么置入健谈•一鞘双能|温昌明教授团队:BMAX088球囊长鞘治疗左侧大脑中动脉闭塞一例_https://www.jmylbn.com_新闻资讯_第3张

无急性大面积脑梗死早期表现


动脉长鞘怎么置入健谈•一鞘双能|温昌明教授团队:BMAX088球囊长鞘治疗左侧大脑中动脉闭塞一例_https://www.jmylbn.com_新闻资讯_第4张
动脉长鞘怎么置入健谈•一鞘双能|温昌明教授团队:BMAX088球囊长鞘治疗左侧大脑中动脉闭塞一例_https://www.jmylbn.com_新闻资讯_第5张

CTA提示左侧大脑中动脉闭塞


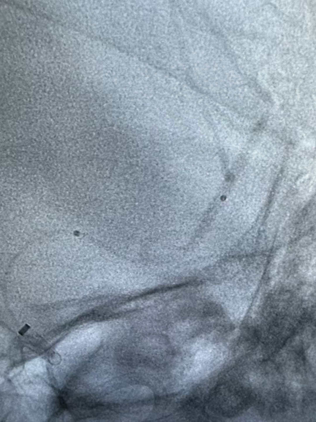
弓上造影:II型弓,大脑中动脉栓塞。

动脉长鞘怎么置入健谈•一鞘双能|温昌明教授团队:BMAX088球囊长鞘治疗左侧大脑中动脉闭塞一例_https://www.jmylbn.com_新闻资讯_第6张


术前讨论 






术前诊断


1.左侧大脑中动脉闭塞

2.高血压

3.冠心病

4.房颤



病史特点

突发疾病,偏瘫凝视意识障碍,既往房颤病史。



发病机制推断

提示房颤栓塞可能。



手术策略

首选抽吸,必要时抽拉结合,近端球囊导管血流阻断,防止血栓逃逸,提高一次再通率。


手术器械 




  • 健适 BMAX088球囊长鞘(BGC)

  • 6F 中间导管

  • 微导管

  • 取栓支架

  • 神经微导丝


手术过程 




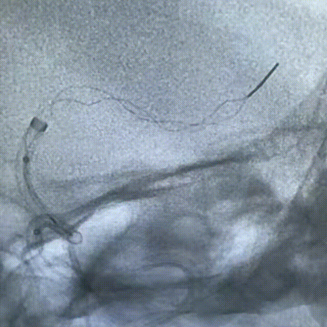
BMAX088球囊长鞘在泥鳅导丝及多功能管导引下顺利到达颈内动脉C1段。


微导丝微导管辅助下,6F中间导管前行,因海绵窦段血管较为迂曲,采用支架锚定跟进中间导管至血栓近端。

动脉长鞘怎么置入健谈•一鞘双能|温昌明教授团队:BMAX088球囊长鞘治疗左侧大脑中动脉闭塞一例_https://www.jmylbn.com_新闻资讯_第7张
动脉长鞘怎么置入健谈•一鞘双能|温昌明教授团队:BMAX088球囊长鞘治疗左侧大脑中动脉闭塞一例_https://www.jmylbn.com_新闻资讯_第8张


计划撤出内部器械前充盈近端BMAX088球囊长鞘,阻断前向血流,并持续抽吸提供负压。


取栓支架置于大脑中动脉水平段,中间导管在闭塞近端持续抽吸,在BMAX088球囊长鞘近端负压保护下,将支架及中间导管撤出。

动脉长鞘怎么置入健谈•一鞘双能|温昌明教授团队:BMAX088球囊长鞘治疗左侧大脑中动脉闭塞一例_https://www.jmylbn.com_新闻资讯_第9张
动脉长鞘怎么置入健谈•一鞘双能|温昌明教授团队:BMAX088球囊长鞘治疗左侧大脑中动脉闭塞一例_https://www.jmylbn.com_新闻资讯_第10张
动脉长鞘怎么置入健谈•一鞘双能|温昌明教授团队:BMAX088球囊长鞘治疗左侧大脑中动脉闭塞一例_https://www.jmylbn.com_新闻资讯_第11张


确认血栓完全取出后,球囊泄压,术后即刻造影显示大脑中动脉闭塞再通, mTICI评分3级。

动脉长鞘怎么置入健谈•一鞘双能|温昌明教授团队:BMAX088球囊长鞘治疗左侧大脑中动脉闭塞一例_https://www.jmylbn.com_新闻资讯_第12张
动脉长鞘怎么置入健谈•一鞘双能|温昌明教授团队:BMAX088球囊长鞘治疗左侧大脑中动脉闭塞一例_https://www.jmylbn.com_新闻资讯_第13张


无明显造影剂渗漏及脑梗死表现。

动脉长鞘怎么置入健谈•一鞘双能|温昌明教授团队:BMAX088球囊长鞘治疗左侧大脑中动脉闭塞一例_https://www.jmylbn.com_新闻资讯_第14张



动脉长鞘怎么置入健谈•一鞘双能|温昌明教授团队:BMAX088球囊长鞘治疗左侧大脑中动脉闭塞一例_https://www.jmylbn.com_新闻资讯_第15张

总 结






房颤栓塞占急性大血管闭塞的20%左右,预防更主要。患者一旦发病,代偿不充分,抢救时间窗更短,对时间依赖性更高。快速通道通畅以及快速高效实现再通是关键。



新一代BMAX088球囊长鞘具备0.088" 大内腔,因此可使用6F中间导管配合抽拉结合,提高抽吸效率。



本病例中,病人为年长女性,血管路径较为迂曲,难点在于如何在困难路径下,快速建立通路,以及后续中间管如何通过迂曲的海绵窦段。



术中使用BMAX088球囊长鞘到位性、支撑性、抗折性优秀,在三型弓下能快速到位,提供稳定支撑,满足临床使用需求。







动脉长鞘怎么置入健谈•一鞘双能|温昌明教授团队:BMAX088球囊长鞘治疗左侧大脑中动脉闭塞一例_https://www.jmylbn.com_新闻资讯_第16张

术者简介



动脉长鞘怎么置入健谈•一鞘双能|温昌明教授团队:BMAX088球囊长鞘治疗左侧大脑中动脉闭塞一例_https://www.jmylbn.com_新闻资讯_第17张

汪宁

南阳市中心医院 

  • 神经内科介入二病区副主任,副主任医师,硕士研究生

  • 河南省医学会神经病学分会神经介入学组委员

  • 河南省医师协会神经介入青年委员会委员

  • 河南省中医结合学会神经介入分会委员

  • 南阳市医师协会神经介入分会秘书

  • 南阳市脑心同治委员会委员

  • 擅长急诊缺血性脑血管病血管內治疗、颅内外大血管慢性闭塞再通、颅内外支架治疗、颅内动脉瘤介入栓塞等神经介入治疗;年完成颅内外神经介入手术四百余例

  • 在国内一、二类杂志共发表论文20余篇;主持省科技厅科技公关项目一项;获省科技进步奖三项


动脉长鞘怎么置入健谈•一鞘双能|温昌明教授团队:BMAX088球囊长鞘治疗左侧大脑中动脉闭塞一例_https://www.jmylbn.com_新闻资讯_第18张

孙军

南阳市中心医院 

  • 神经内科副主任医师,中共党员,南阳市中心医院神经内科脑血管病介入二病区主任

  • 南阳市学术技术带头人

  • 河南省医学会神经病学分会青年委员、河南省医学会神经介入学组委员、河南省卒中学会青年理事会理事、河南省中医结合神经介入委员会委员、河南省医师协会神经介入专委会急性缺血性卒中血管内治疗学组委员、南阳市医师协会神经介入分会副主任委员、南阳市脑心同治委员会委员、南阳市高压氧学会委员

  • 曾在北京天坛医院、北京宣武医院、长海医院、河南省人民医院学习脑血管病介入技术。南阳市中心医院神经内科脑血管病介入团队主要成员

  • 近年来完成脑动脉取栓术、眼动脉溶栓、脑动脉支架植入术、脑动脉慢闭再通术、脑动脉瘤栓塞术、脑动静脉畸形栓塞术、脑动静脉瘘栓塞术、血流导向装置植入术、瘤内扰流装置植入术等介入手术4000余例。擅长脑血管病的介入治疗


动脉长鞘怎么置入健谈•一鞘双能|温昌明教授团队:BMAX088球囊长鞘治疗左侧大脑中动脉闭塞一例_https://www.jmylbn.com_新闻资讯_第19张

温昌明

南阳市中心医院 

  • 神经内科主任医师,硕士研究生导师,南阳市中心医院副院长

  • 河南省学术技术带头人,南阳市学术技术带头人,南阳市拔尖人才

  • 南阳市医师协会神经介入分会主任委员、河南省医师协会神经介入专业委员会副主任委员、河南省医学会神经介入分会常委兼神经介入学组副组长、河南省中西医结合学会介入分会副主任委员、中国医师协会神经介入分会青年委员会委员、河南省神经内科学会委员、河南省神经内科医师协会神经介入学组委员、南阳市介入治疗学会副主委、南阳市神经脑血管学会常委兼学术秘书/神经介入学组组长

  • 在急性缺血性卒中的静脉溶栓以及桥接介入取栓方面,做了大量开拓性和探索性的工作,在脑动脉狭窄支架植入、脑动脉瘤介入治疗等方面,均有较高造诣。2017年,获河南省第八届优秀医师奖





南阳市中心医院

神经内科脑血管病介入二病区团队

动脉长鞘怎么置入健谈•一鞘双能|温昌明教授团队:BMAX088球囊长鞘治疗左侧大脑中动脉闭塞一例_https://www.jmylbn.com_新闻资讯_第20张
动脉长鞘怎么置入健谈•一鞘双能|温昌明教授团队:BMAX088球囊长鞘治疗左侧大脑中动脉闭塞一例_https://www.jmylbn.com_新闻资讯_第21张

动脉长鞘怎么置入健谈•一鞘双能|温昌明教授团队:BMAX088球囊长鞘治疗左侧大脑中动脉闭塞一例_https://www.jmylbn.com_新闻资讯_第22张

声明:脑医汇旗下神外资讯、神介资讯、脑医咨询所发表内容之知识产权为脑医汇及主办方、原作者等相关权利人所有。未经许可,禁止进行转载、摘编、复制、裁切、录制等。经许可授权使用,亦须注明来源。欢迎转发、分享。

投稿/会议发布,请联系400-888-2526转3

动脉长鞘怎么置入健谈•一鞘双能|温昌明教授团队:BMAX088球囊长鞘治疗左侧大脑中动脉闭塞一例_https://www.jmylbn.com_新闻资讯_第23张

脑医汇App全新功能“AI问答”正式上线,您临床实践中的得力助手!长按识别二维码抢先体验!


请点击“阅读原文”进入健适医疗品牌专区
动脉长鞘怎么置入健谈•一鞘双能|温昌明教授团队:BMAX088球囊长鞘治疗左侧大脑中动脉闭塞一例_https://www.jmylbn.com_新闻资讯_第24张

点分享

动脉长鞘怎么置入健谈•一鞘双能|温昌明教授团队:BMAX088球囊长鞘治疗左侧大脑中动脉闭塞一例_https://www.jmylbn.com_新闻资讯_第25张

点点赞

动脉长鞘怎么置入健谈•一鞘双能|温昌明教授团队:BMAX088球囊长鞘治疗左侧大脑中动脉闭塞一例_https://www.jmylbn.com_新闻资讯_第26张

点在看