动脉长鞘怎么置入健谈卒中|张志勇教授:伐竹取道,另辟蹊径 一例桡动脉入路经NeuronMax长鞘行左侧锁骨下动脉支架置入治疗

新闻资讯2026-04-21 02:52:48

动脉长鞘怎么置入健谈卒中|张志勇教授:伐竹取道,另辟蹊径  一例桡动脉入路经NeuronMax长鞘行左侧锁骨下动脉支架置入治疗_https://www.jmylbn.com_新闻资讯_第1张




动脉长鞘怎么置入健谈卒中|张志勇教授:伐竹取道,另辟蹊径  一例桡动脉入路经NeuronMax长鞘行左侧锁骨下动脉支架置入治疗_https://www.jmylbn.com_新闻资讯_第2张

伐竹取道,出自柳宗元的《小石潭记》;另辟蹊径,来源于叶圣陶《倪焕之》,这两个成语的寓意均为转换思路,巧用策略,让天堑变通途….. 本例患者是一例左侧锁骨下动脉重度狭窄伴盗血综合征的患者。患者长期头晕,入院后明确病因为锁骨下动脉狭窄继发盗血所致,遂计划经股动脉入路造影并支架置入,术中穿刺发现右侧股动脉血管畸形无法入路,左侧搏动不佳,改右侧桡动脉造影,造影提示左侧锁骨下动脉重度狭窄,但患者III型弓,考虑到经右桡动脉支架置入通路无法建立,改左侧桡动脉穿刺,并利用 6F NeuronMax当长鞘做支撑通路,患者左上肢血管无痉挛且顺利置入支架。这个病例综合体现了术者在术中冷静的思考与合理的决策,关键是“工欲善其事必先利其器”,6F NeuronMax导引导管为桡动脉入路支架置入术提供了更柔顺的通过性、更稳定的支撑性及更大容量的内腔方便其他介入材料的顺利应用。




动脉长鞘怎么置入健谈卒中|张志勇教授:伐竹取道,另辟蹊径  一例桡动脉入路经NeuronMax长鞘行左侧锁骨下动脉支架置入治疗_https://www.jmylbn.com_新闻资讯_第3张

病例介绍

动脉长鞘怎么置入健谈卒中|张志勇教授:伐竹取道,另辟蹊径  一例桡动脉入路经NeuronMax长鞘行左侧锁骨下动脉支架置入治疗_https://www.jmylbn.com_新闻资讯_第3张

患者,男,66岁

主诉:头晕半年余

病史:半年多前患者出现头晕,无视物旋转与视物成双,无肢体麻木、活动障碍等,有时伴恶心,无呕吐,头晕往往在起身或活动上肢时出现或加重,自服止晕药物效果不佳,于我院门诊就诊行颈部血管彩超提示:左侧锁骨下动脉起始段血流增快(收缩期峰值流速305cm/s),左侧椎动脉高位入突,双侧椎动脉频谱形态异常、阻力指数增加——符合”锁骨下动脉狭窄并盗血形成”。于是患者为求进一步诊治门诊以“头晕、锁骨下动脉盗血”收入我科。

既往史高血压、冠心病30年,高脂血症、动脉粥样硬化病史20年余,发现糖尿病1年。

入院查体及用药

体格检查:

双侧血压不对称(左侧140/80mmHg;右侧165/90mmHg);左侧脉搏较对侧减弱;左侧锁骨下动脉听诊区可闻及收缩期杂音。

颅神经检查(-)

四肢肌力V级

双侧深浅感觉对称

双侧病理征(-)

神经系统评分  NIHSS 0分,mRS 0分

给药方案:

阿司匹林 100mg,Qd

氯吡格雷 75mg,Qd

匹伐他汀 2mg,Qn

入院辅助检查

血管超声:左侧锁骨下动脉起始段血流增快(收缩期峰值流速305cm/s),左侧椎动脉高位入突,双侧椎动脉频谱形态异常、阻力指数增加——符合锁骨下动脉狭窄并盗血形成。

心脏彩超:左侧室壁增厚;左侧舒张功能减低;二尖瓣与主动脉瓣少量返流。

颈椎MRI:轻微颈椎退行性改变。

头颅MRI:脑白质病;多发腔隙性脑梗塞。

前庭功能检查:无明显异常。

主要诊断:锁骨下动脉狭窄、盗血综合征;高血压病;高脂血症;冠心病;糖尿病

术前讨论

拟行手术方案:经股动脉全脑血管造影+左侧锁骨下动脉支架植入术

手术指征:

1.血管病变狭窄大于70%;

2.患者反复头晕排除前庭周围性及颈椎源性后结合血管检查,考虑病因为“锁骨下动脉重度狭窄并盗血”所致,且内科治疗效果不佳。

治疗策略

1.单纯球扩式支架植入术

2.球囊预扩张+自膨支架或球扩支架植入术(替代方案

可能的手术并发症

出血;夹层;置入失败

使用耗材

0.035 inch 泥鳅超滑导丝 

5F PIG导管

5F SIM导管

5F 多功能导管

6F NeuronMax(Penumbra公司) 

V18 波科微导丝

9mm*19mm 美创球扩支架

数字式可控压力泵

术中影像

动脉长鞘怎么置入健谈卒中|张志勇教授:伐竹取道,另辟蹊径  一例桡动脉入路经NeuronMax长鞘行左侧锁骨下动脉支架置入治疗_https://www.jmylbn.com_新闻资讯_第5张

右侧股动脉穿刺针造影发现股动脉周围畸形血管团,入路困难

动脉长鞘怎么置入健谈卒中|张志勇教授:伐竹取道,另辟蹊径  一例桡动脉入路经NeuronMax长鞘行左侧锁骨下动脉支架置入治疗_https://www.jmylbn.com_新闻资讯_第6张

经右桡动脉穿刺上肢路图造影

动脉长鞘怎么置入健谈卒中|张志勇教授:伐竹取道,另辟蹊径  一例桡动脉入路经NeuronMax长鞘行左侧锁骨下动脉支架置入治疗_https://www.jmylbn.com_新闻资讯_第7张

III型弓;左侧锁骨下动脉重度狭窄

动脉长鞘怎么置入健谈卒中|张志勇教授:伐竹取道,另辟蹊径  一例桡动脉入路经NeuronMax长鞘行左侧锁骨下动脉支架置入治疗_https://www.jmylbn.com_新闻资讯_第8张

经左桡动脉穿刺上肢路图造影

动脉长鞘怎么置入健谈卒中|张志勇教授:伐竹取道,另辟蹊径  一例桡动脉入路经NeuronMax长鞘行左侧锁骨下动脉支架置入治疗_https://www.jmylbn.com_新闻资讯_第9张

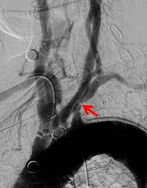
经左桡动脉逆向造影显示左侧锁骨下动脉重度狭窄

动脉长鞘怎么置入健谈卒中|张志勇教授:伐竹取道,另辟蹊径  一例桡动脉入路经NeuronMax长鞘行左侧锁骨下动脉支架置入治疗_https://www.jmylbn.com_新闻资讯_第10张

6F NeuronMax 建立良好的支撑【白箭头】,支架顺利对位

动脉长鞘怎么置入健谈卒中|张志勇教授:伐竹取道,另辟蹊径  一例桡动脉入路经NeuronMax长鞘行左侧锁骨下动脉支架置入治疗_https://www.jmylbn.com_新闻资讯_第11张

NeuronMax头端顺应性良好【白箭头】,球囊扩张支架充分

动脉长鞘怎么置入健谈卒中|张志勇教授:伐竹取道,另辟蹊径  一例桡动脉入路经NeuronMax长鞘行左侧锁骨下动脉支架置入治疗_https://www.jmylbn.com_新闻资讯_第12张

球扩后造影支架成形好,无残余狭窄,椎动脉显影


术后影像

动脉长鞘怎么置入健谈卒中|张志勇教授:伐竹取道,另辟蹊径  一例桡动脉入路经NeuronMax长鞘行左侧锁骨下动脉支架置入治疗_https://www.jmylbn.com_新闻资讯_第13张

术前左侧锁骨下起始段重度狭窄

动脉长鞘怎么置入健谈卒中|张志勇教授:伐竹取道,另辟蹊径  一例桡动脉入路经NeuronMax长鞘行左侧锁骨下动脉支架置入治疗_https://www.jmylbn.com_新闻资讯_第14张

术后狭窄解除,血管恢复正常形态

术后给药方案:

低分子肝素4000iu Q12h 6次

后过渡为阿司匹林100mg+氯吡格雷75mg,Qd

术后病情:

术后患者头晕症状明显改善,已基本恢复正常;查体:双侧血压及脉搏对称,左侧锁骨下动脉听诊区收缩期杂音消失。神经系统查体仍阴性。


动脉长鞘怎么置入健谈卒中|张志勇教授:伐竹取道,另辟蹊径  一例桡动脉入路经NeuronMax长鞘行左侧锁骨下动脉支架置入治疗_https://www.jmylbn.com_新闻资讯_第15张

手术心得


经桡动脉入路介入诊疗目前是心血管介入最常用入路方式。相比心脏介入,由于血管解剖复杂及介入材料的匮乏,经桡动脉神经介入诊疗一直为非主流手术操作。

近年来,在神经血管介入领域,经桡动脉造影呈增长态势,但是经桡动脉治疗仍相对较少,主要的原因是经桡动脉-主动脉弓-颈部血管-脑血管这条血管通路迂曲复杂,经桡动脉神经介入专用材料欠缺。

本例患者经桡动脉成功置入支架得益于NeuronMax良好的支撑性,该材料具备头端柔软,近端支撑力强,且可做导引导管也可做长鞘应用。由于其较常规的8F的导引导管外径小,且自配的单独的鞘芯,可较轻松的通过桡动脉及上肢血管来作为通路支撑。另外,其0.088英寸的大内腔基本能兼容绝大多数球囊与支架。所以说:“工欲善其事必先利其器”,随着更优秀的神经介入材料的研发,经桡动脉神经介入治疗必将成为常态。


动脉长鞘怎么置入健谈卒中|张志勇教授:伐竹取道,另辟蹊径  一例桡动脉入路经NeuronMax长鞘行左侧锁骨下动脉支架置入治疗_https://www.jmylbn.com_新闻资讯_第16张






动脉长鞘怎么置入健谈卒中|张志勇教授:伐竹取道,另辟蹊径  一例桡动脉入路经NeuronMax长鞘行左侧锁骨下动脉支架置入治疗_https://www.jmylbn.com_新闻资讯_第17张








动脉长鞘怎么置入健谈卒中|张志勇教授:伐竹取道,另辟蹊径  一例桡动脉入路经NeuronMax长鞘行左侧锁骨下动脉支架置入治疗_https://www.jmylbn.com_新闻资讯_第18张

作者简介


动脉长鞘怎么置入健谈卒中|张志勇教授:伐竹取道,另辟蹊径  一例桡动脉入路经NeuronMax长鞘行左侧锁骨下动脉支架置入治疗_https://www.jmylbn.com_新闻资讯_第19张


动脉长鞘怎么置入健谈卒中|张志勇教授:伐竹取道,另辟蹊径  一例桡动脉入路经NeuronMax长鞘行左侧锁骨下动脉支架置入治疗_https://www.jmylbn.com_新闻资讯_第20张

张志勇


北京老年医院

神经血管介入中心


医学博士,副主任医师,北京老年医院神经血管介入中心主任兼神经内科副主任

学术兼职:首都医科大学神经病学系青委会副主任委员;国家卫计委脑卒中防治专家委员会委员;中国研究型医院学会脑血管病青委会常委;中国卒中学会卒中综合培训专家;北京神经内科学会神经介入分会委员;北京市缺血性卒中血管内治疗质控专家;北京医学会神经病学分会脑血管病学组及脑小血管病学组委员;中国老年医学会院校教育分会卒中学术工作委员会委员等。

工作经历:在卫生部中日友好医院神经科工作10余年,累计完成神经介入诊疗手术5000余例,技术成功率100%,挽救了大量的急危重症的脑血管病患者。曾在日本、澳大利亚知名神经疾病中心学习深造,并获部属医院“优秀共产党员”及“优秀医生”、海淀区“优秀医师”等荣誉。于2020.11人才引进至北京老年医院神经内科,并组建神经血管介入中心。

专业擅长:1. 脑血管病血管内介入手术(脑脊髓血管造影、脑动脉狭窄支架置入、急慢性脑动脉闭塞取栓及血管再通、动脉瘤栓塞等);2. 脑血管病病因分析及内科药物综合管理(头晕鉴别、脑梗塞、脑动脉硬化性狭窄、房颤脑栓塞、脑动脉夹层及动脉炎、脑动脉盗血等);3. 各种神经系统疑难病例的影像学诊断。





动脉长鞘怎么置入健谈卒中|张志勇教授:伐竹取道,另辟蹊径  一例桡动脉入路经NeuronMax长鞘行左侧锁骨下动脉支架置入治疗_https://www.jmylbn.com_新闻资讯_第21张
动脉长鞘怎么置入健谈卒中|张志勇教授:伐竹取道,另辟蹊径  一例桡动脉入路经NeuronMax长鞘行左侧锁骨下动脉支架置入治疗_https://www.jmylbn.com_新闻资讯_第22张

神经介入在线作为中国卒中学会神经介入分会的官方公众号,现已成立六年。作为最早创建的神经介入专业的学术交流平台,由缪中荣教授团队倾力打造,秉承合作、创新、交流的宗旨,为医务工作者提供国内外神经介入领域最新资讯、指南,聚焦难点深度评论,引领学术前沿。2022年致力搭建神经介入领域国内外最新医学资讯、研究进展、病例讨论、趣味科普等各项学术交流互动共享平台,整合医疗资源,发挥联盟优势,风雨共济,守候健康,我们在这里等你!




动脉长鞘怎么置入健谈卒中|张志勇教授:伐竹取道,另辟蹊径  一例桡动脉入路经NeuronMax长鞘行左侧锁骨下动脉支架置入治疗_https://www.jmylbn.com_新闻资讯_第23张
神经介入在线投稿:sjjrzx@hh-medic.com
动脉长鞘怎么置入健谈卒中|张志勇教授:伐竹取道,另辟蹊径  一例桡动脉入路经NeuronMax长鞘行左侧锁骨下动脉支架置入治疗_https://www.jmylbn.com_新闻资讯_第24张