动脉长鞘怎么置入一鱼多吃,长鞘巧用抽吸术 | 颈总动脉大负荷血栓取栓一例

新闻资讯2026-04-21 02:52:41
动脉长鞘怎么置入一鱼多吃,长鞘巧用抽吸术 | 颈总动脉大负荷血栓取栓一例_https://www.jmylbn.com_新闻资讯_第1张
动脉长鞘怎么置入一鱼多吃,长鞘巧用抽吸术 | 颈总动脉大负荷血栓取栓一例_https://www.jmylbn.com_新闻资讯_第2张


急性颈总动脉大负荷血栓栓塞性串联病变具有较高的致残率和致死率,是目前血管内介入治疗的难点,具有很强的个体化治疗特点,目前缺乏高级别的RCT试验研究结果支持。根据西安交通大学第一附属医院神经介入团队对于急性颈总(内)动脉串联病变血管内治疗也做了一些工作,对于这类病变因根据多模影像评估及DSA造影结果有效判断闭塞性质,然后选择合适的开通顺序及策略,现汇报该中心近期一例颈总动脉栓塞性串联病变急诊血管内治疗病例。


01

病史介绍

患者女性,78岁,以“右侧肢体无力伴言语不清12小时”收住入院,12小时休息时出现突发言语不利,吐字不清,右侧肢体不能抬举,口角歪斜,症状进行性加重,伴小便失禁,就诊于当地医院考虑急性大血管闭塞性脑梗死,为求进一步就诊来我院。

查体:神志嗜睡,部分混合性失语,不全凝视,中枢性面舌瘫,右上肢肌力1级,右下肢体肌力2级,右侧感觉功能减退,右侧Babinski征阳性。NIHSS评分:11分,GCS评分:12分;

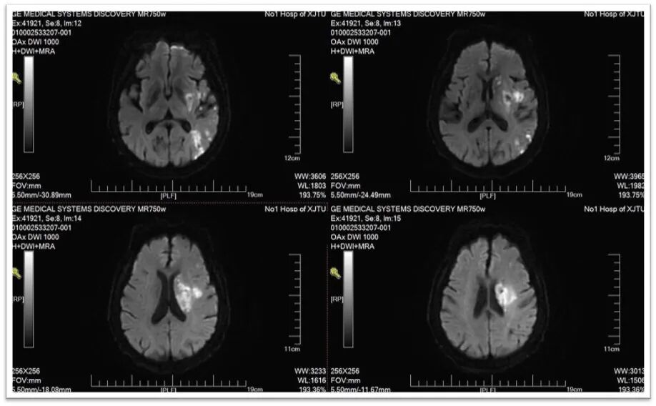
头颅MRI示:左侧基底节区及侧脑室旁新新鲜梗死灶,左侧颈总动脉闭塞。


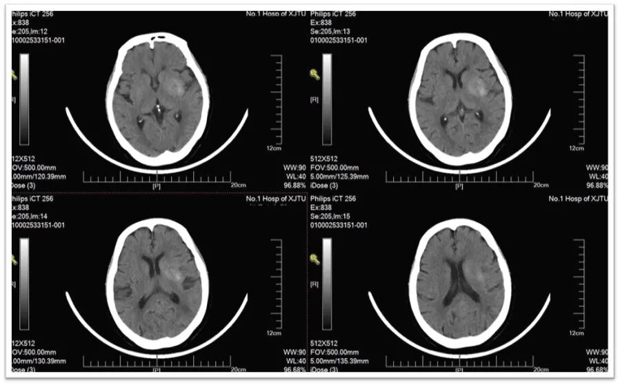
图1:头颅CT提示颅内多发腔隙性脑梗死,脑萎缩;

动脉长鞘怎么置入一鱼多吃,长鞘巧用抽吸术 | 颈总动脉大负荷血栓取栓一例_https://www.jmylbn.com_新闻资讯_第3张


图2:头颅DWI提示左侧侧脑室旁基底节区新鲜脑梗死;

动脉长鞘怎么置入一鱼多吃,长鞘巧用抽吸术 | 颈总动脉大负荷血栓取栓一例_https://www.jmylbn.com_新闻资讯_第4张


图3:头颈部MRA提示左侧颈总动脉闭塞,右侧双干大脑前动脉,左侧后交通动脉未开放;

动脉长鞘怎么置入一鱼多吃,长鞘巧用抽吸术 | 颈总动脉大负荷血栓取栓一例_https://www.jmylbn.com_新闻资讯_第5张
动脉长鞘怎么置入一鱼多吃,长鞘巧用抽吸术 | 颈总动脉大负荷血栓取栓一例_https://www.jmylbn.com_新闻资讯_第6张


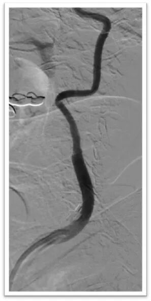
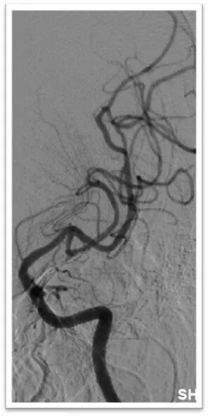
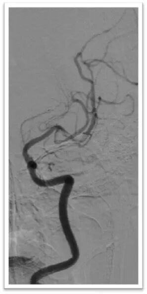
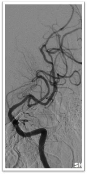
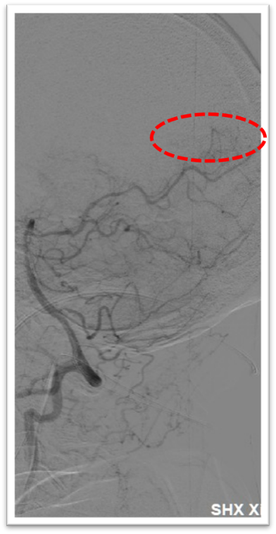
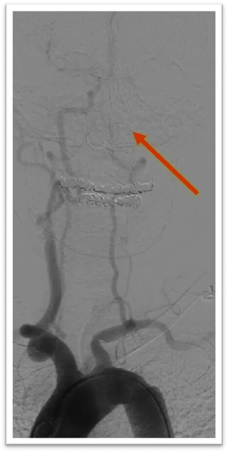
图4:DSA提示主动脉弓为牛角弓,左侧颈总动脉发自头臂干动脉,右侧颈内动脉造影提示前交通动脉开放,呈双干大脑前动脉,左侧大脑前动脉通过软膜支向左侧大脑中动脉供血区域代偿,双侧椎动脉均势供血,左侧大脑后动脉通过软膜支向前代偿供血;左侧颈总动脉闭塞,残端呈杯口状,近端可见白色血栓影,初步考虑栓塞性闭塞。

动脉长鞘怎么置入一鱼多吃,长鞘巧用抽吸术 | 颈总动脉大负荷血栓取栓一例_https://www.jmylbn.com_新闻资讯_第7张
动脉长鞘怎么置入一鱼多吃,长鞘巧用抽吸术 | 颈总动脉大负荷血栓取栓一例_https://www.jmylbn.com_新闻资讯_第8张
动脉长鞘怎么置入一鱼多吃,长鞘巧用抽吸术 | 颈总动脉大负荷血栓取栓一例_https://www.jmylbn.com_新闻资讯_第9张
动脉长鞘怎么置入一鱼多吃,长鞘巧用抽吸术 | 颈总动脉大负荷血栓取栓一例_https://www.jmylbn.com_新闻资讯_第10张
动脉长鞘怎么置入一鱼多吃,长鞘巧用抽吸术 | 颈总动脉大负荷血栓取栓一例_https://www.jmylbn.com_新闻资讯_第11张
动脉长鞘怎么置入一鱼多吃,长鞘巧用抽吸术 | 颈总动脉大负荷血栓取栓一例_https://www.jmylbn.com_新闻资讯_第12张

 左右滑动查看更多 


患者既往高血压病病史,目前诊断为左侧颈总动脉闭塞性脑梗死(心源性栓塞),闭塞机制考虑心脏内血栓或赘生物脱落堵塞颈动脉血管,经多模影像评估存在明显不匹配区,符合DAWN研究入组条件,拟急诊局麻下行颈总动脉开通术。


02

手术预案

1

患者老年女性,长期高血压病史,主动脉弓呈牛角弓,应建立良好的通路保证稳定性,首选Neuron Max长鞘;

2

该例患者心源性栓塞引起的大血管闭塞,血栓负荷量大,可考虑顺行法开通,防止通过中间导管时血栓逃逸造成远端栓塞;

3

长鞘、取栓支架、远端保护,替罗非班等有效搭配确保血管良好再通;


03

手术过程

1

同轴技术建立良好通道

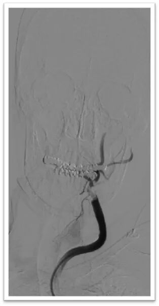
该患者胸主动脉迂曲,主动脉弓呈牛角弓,选择5F 125cm蒸汽塑形后在泥鳅导丝引导下同轴引导6F Neuron Max长鞘顺利置于左侧颈总动脉;

动脉长鞘怎么置入一鱼多吃,长鞘巧用抽吸术 | 颈总动脉大负荷血栓取栓一例_https://www.jmylbn.com_新闻资讯_第13张
动脉长鞘怎么置入一鱼多吃,长鞘巧用抽吸术 | 颈总动脉大负荷血栓取栓一例_https://www.jmylbn.com_新闻资讯_第14张
动脉长鞘怎么置入一鱼多吃,长鞘巧用抽吸术 | 颈总动脉大负荷血栓取栓一例_https://www.jmylbn.com_新闻资讯_第15张

 左右滑动查看更多 


2

采用ADAPT技术长鞘直接抽吸

   将6F Neuron Max长鞘抵近血栓近端后持续负压吸引抽出部分暗红色血栓,造影显示血栓完全栓塞颈总动脉分叉处,颈内动脉C1段可惨淡显影,由于路径迂曲长鞘长度受限,无法完全抵近血栓核心。

动脉长鞘怎么置入一鱼多吃,长鞘巧用抽吸术 | 颈总动脉大负荷血栓取栓一例_https://www.jmylbn.com_新闻资讯_第16张
动脉长鞘怎么置入一鱼多吃,长鞘巧用抽吸术 | 颈总动脉大负荷血栓取栓一例_https://www.jmylbn.com_新闻资讯_第17张
动脉长鞘怎么置入一鱼多吃,长鞘巧用抽吸术 | 颈总动脉大负荷血栓取栓一例_https://www.jmylbn.com_新闻资讯_第18张

 左右滑动查看更多 


3

支架长鞘在远端保护下采取抽拉结合技术

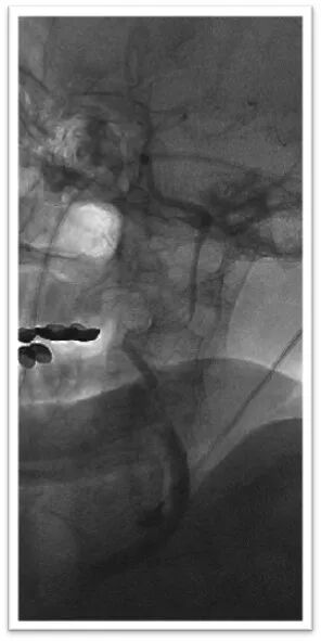
Synchro2微导丝引导微导管通过闭塞段后造影位于血管真腔,交换长导丝Synchro 300mm,顺利置入保护伞Spider 4mm于岩骨段,微导管释放6-30mm支架后造影显示支架完全覆盖血栓,正向血流未完全恢复,停留5分钟后在支架锚定下前推长鞘,使用抽拉结合取栓术取出大量血栓;

动脉长鞘怎么置入一鱼多吃,长鞘巧用抽吸术 | 颈总动脉大负荷血栓取栓一例_https://www.jmylbn.com_新闻资讯_第19张
动脉长鞘怎么置入一鱼多吃,长鞘巧用抽吸术 | 颈总动脉大负荷血栓取栓一例_https://www.jmylbn.com_新闻资讯_第20张
动脉长鞘怎么置入一鱼多吃,长鞘巧用抽吸术 | 颈总动脉大负荷血栓取栓一例_https://www.jmylbn.com_新闻资讯_第21张

 左右滑动查看更多 


4

动脉推注替罗非班

   取栓后造影显示左侧颈内动脉血流恢复,管腔内局部可见白色血栓影,左侧颈外动脉闭塞,左侧大脑中动脉M2段上干长节段血栓影,下干闭塞,动脉缓慢推注替罗非班10ml,造影显示颈内动脉管腔通畅,大脑中动脉下干血流恢复,上下干仍可见血栓。

动脉长鞘怎么置入一鱼多吃,长鞘巧用抽吸术 | 颈总动脉大负荷血栓取栓一例_https://www.jmylbn.com_新闻资讯_第22张
动脉长鞘怎么置入一鱼多吃,长鞘巧用抽吸术 | 颈总动脉大负荷血栓取栓一例_https://www.jmylbn.com_新闻资讯_第23张
动脉长鞘怎么置入一鱼多吃,长鞘巧用抽吸术 | 颈总动脉大负荷血栓取栓一例_https://www.jmylbn.com_新闻资讯_第24张

 左右滑动查看更多 


5

M2段支架半释放直接取栓

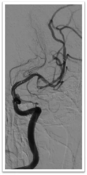
微导丝引导微导管顺利置于左侧大脑中动脉上干,半释放6-30mm支架,停留5分钟后完全取出血栓,造影显示左侧大脑中动脉血流完全恢复,mTICI:3级。

动脉长鞘怎么置入一鱼多吃,长鞘巧用抽吸术 | 颈总动脉大负荷血栓取栓一例_https://www.jmylbn.com_新闻资讯_第25张
动脉长鞘怎么置入一鱼多吃,长鞘巧用抽吸术 | 颈总动脉大负荷血栓取栓一例_https://www.jmylbn.com_新闻资讯_第26张
动脉长鞘怎么置入一鱼多吃,长鞘巧用抽吸术 | 颈总动脉大负荷血栓取栓一例_https://www.jmylbn.com_新闻资讯_第27张

 左右滑动查看更多 


04

术后即刻造影结果

动脉长鞘怎么置入一鱼多吃,长鞘巧用抽吸术 | 颈总动脉大负荷血栓取栓一例_https://www.jmylbn.com_新闻资讯_第28张
动脉长鞘怎么置入一鱼多吃,长鞘巧用抽吸术 | 颈总动脉大负荷血栓取栓一例_https://www.jmylbn.com_新闻资讯_第29张
动脉长鞘怎么置入一鱼多吃,长鞘巧用抽吸术 | 颈总动脉大负荷血栓取栓一例_https://www.jmylbn.com_新闻资讯_第30张

 左右滑动查看更多 


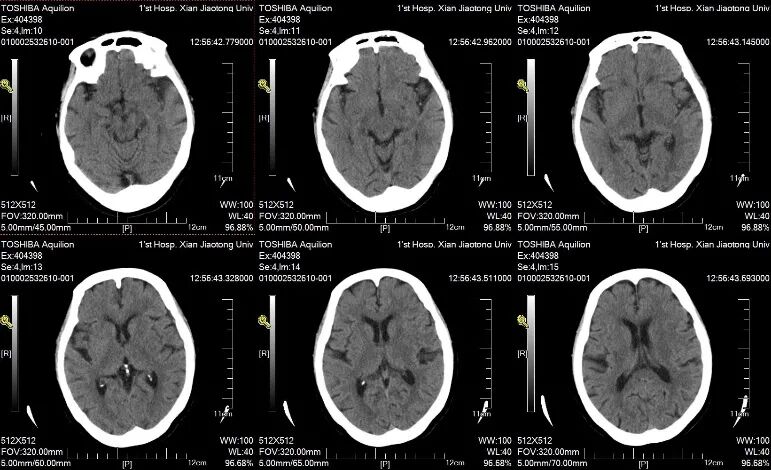
术后即刻NCCT:左侧侧脑室旁基底节区造影剂外渗;

动脉长鞘怎么置入一鱼多吃,长鞘巧用抽吸术 | 颈总动脉大负荷血栓取栓一例_https://www.jmylbn.com_新闻资讯_第31张


术后6小时NCCT

动脉长鞘怎么置入一鱼多吃,长鞘巧用抽吸术 | 颈总动脉大负荷血栓取栓一例_https://www.jmylbn.com_新闻资讯_第32张


术后24小时NCCT

动脉长鞘怎么置入一鱼多吃,长鞘巧用抽吸术 | 颈总动脉大负荷血栓取栓一例_https://www.jmylbn.com_新闻资讯_第33张


术后3天DWI:左侧大脑半球额颞顶叶多发散在新鲜梗死灶。

动脉长鞘怎么置入一鱼多吃,长鞘巧用抽吸术 | 颈总动脉大负荷血栓取栓一例_https://www.jmylbn.com_新闻资讯_第34张


术后3T天ADC:

动脉长鞘怎么置入一鱼多吃,长鞘巧用抽吸术 | 颈总动脉大负荷血栓取栓一例_https://www.jmylbn.com_新闻资讯_第35张


术后3天MRA:

动脉长鞘怎么置入一鱼多吃,长鞘巧用抽吸术 | 颈总动脉大负荷血栓取栓一例_https://www.jmylbn.com_新闻资讯_第36张


05

临床随访

术后24小时NIHSS:6分,出院时NIHSS:4分,出院时mRS:1

一月后mRS:1。


06

思考总结

(1)急性串联病变主要病因为动脉粥样硬化性狭窄(51-55%)、房颤栓塞(14-19%)、夹层(10-13%)等;

(2)急性串联病变相对于单纯颅内血管闭塞患者预后更差,具有较高的致残和致死率,目前治疗决策相对复杂,治疗方案个体化明显;

(3)急性串联病变血管内介入治疗方式包括顺行法,逆行法,半顺行法(REARs技术);

(4)急性串联病变血管内治疗应根据病变性质选择合适的开通方案;

(5)急性串联病变血管内治疗围手术期管理尤为重要;

(6)急性串联病变治疗研究结果循证等级不高,期待高质量的RCT研究结果。



术者信息

 动脉长鞘怎么置入一鱼多吃,长鞘巧用抽吸术 | 颈总动脉大负荷血栓取栓一例_https://www.jmylbn.com_新闻资讯_第37张

刘福德


西安交通大学第一附属医院神经内科医师,主治医师,医学博士,援鄂国家医疗队医师,陕西省医师协会神经介入分会委员,西安医学会神经介入学组委员,西北取栓俱乐部总干事,师从著名脑血管病专家赵振伟教授,擅长缺血性脑血管病的诊断和介入治疗,主持陕西省重点科技攻关项目一项。


 动脉长鞘怎么置入一鱼多吃,长鞘巧用抽吸术 | 颈总动脉大负荷血栓取栓一例_https://www.jmylbn.com_新闻资讯_第38张

李艳波


西安交通大学第一附属医院神经内科医师,住院医师,助理研究员,医学博士,国家示范高级卒中中心骨干成员。



团队领导
 动脉长鞘怎么置入一鱼多吃,长鞘巧用抽吸术 | 颈总动脉大负荷血栓取栓一例_https://www.jmylbn.com_新闻资讯_第39张

韩建峰教授


西安交通大学第一附属医院院长助理,主任医师,硕士研究生导师,中华医学会神经病学会脑血管病学组委员,国家脑卒中防治工程委员会指导及督察专家,中国卒中专科联盟副秘书长,中国卒中学会脑静脉病变分会常委,陕西省医师协会腔内治疗专业委员会副主委,陕西省医师协会神经介入分会副主委,陕西卒中学会神经介入分会副主委,陕西省保健学会周围血管专业委员会副主委。





动脉长鞘怎么置入一鱼多吃,长鞘巧用抽吸术 | 颈总动脉大负荷血栓取栓一例_https://www.jmylbn.com_新闻资讯_第40张
动脉长鞘怎么置入一鱼多吃,长鞘巧用抽吸术 | 颈总动脉大负荷血栓取栓一例_https://www.jmylbn.com_新闻资讯_第41张

神经介入在线作为中国卒中学会神经介入分会的官方公众号,现已成立五年。作为最早创建的神经介入专业的学术交流平台,由缪中荣教授团队倾力打造,秉承合作、创新、交流的宗旨,为医务工作者提供国内外神经介入领域最新资讯、指南,聚焦难点深度评论,引领学术前沿。2021年致力搭建神经介入领域国内外最新医学资讯、研究进展、病例讨论、趣味科普等各项学术交流互动共享平台,整合医疗资源,发挥联盟优势,风雨共济,守候健康,我们在这里等你!




动脉长鞘怎么置入一鱼多吃,长鞘巧用抽吸术 | 颈总动脉大负荷血栓取栓一例_https://www.jmylbn.com_新闻资讯_第42张
神经介入在线投稿:sjjrzx@hh-medic.com
动脉长鞘怎么置入一鱼多吃,长鞘巧用抽吸术 | 颈总动脉大负荷血栓取栓一例_https://www.jmylbn.com_新闻资讯_第43张