动脉长鞘怎么置入一技之“长”丨经桡及经股困难入路应用赛诺神畅APEX TRA GC™导引导管建立通路病例合集

新闻资讯2026-04-21 02:52:40
引 言

APEX TRA GC™导引导管赛诺神畅医疗科技有限公司于2023年7月上市的“长”规格的导引导管。



该产品适用于(经桡或经股不同入路)将介入器械或诊断器械引入外周和神经血管系统,拥有5F-130/140cm不同长度及多种头端(SIM2和MPA),具有强支撑、易成袢、软硬适中的特点,可常规辅助其它器械经股入路或经桡入路建立通路。



本次共分享APEX TRA GC™三个病例,分别为III型弓经股入路应用SIM2引导长鞘到位病例2例、经远桡动脉应用长SIM2同轴引导长鞘到位病例1例。


动脉长鞘怎么置入一技之“长”丨经桡及经股困难入路应用赛诺神畅APEX TRA GC™导引导管建立通路病例合集_https://www.jmylbn.com_新闻资讯_第1张






本期术者




朱斌

邢台医学院第一附属医院

动脉长鞘怎么置入一技之“长”丨经桡及经股困难入路应用赛诺神畅APEX TRA GC™导引导管建立通路病例合集_https://www.jmylbn.com_新闻资讯_第2张

神经内二科主任,副主任医师,副教授。

河北省老年医学会癫痫防治专业委员会常务委员;河北省血管健康与技术协会弓上血管疾病防治专业委员会常务委员;邢台市预防医学会神经变性病防治专业委员会主任委员;邢台市医学会神经内科专业委员会常务委员;邢台市医学会神经介入专业委员会常务委员;邢台市预防医学会睡眠障碍防治专业委员会常务委员;邢台市抗癫痫协会心脑同治专业委员会常务委员;邢台市卒中学会再灌注治疗专业委员会常务委员。

做为主研人完成省市级科研4项,其中3项获河北省中医药管理局科技进步三等奖,做为主编完成论著2部,发表论文9篇。擅长脑血管病的介入治疗。











科 室 简 介

动脉长鞘怎么置入一技之“长”丨经桡及经股困难入路应用赛诺神畅APEX TRA GC™导引导管建立通路病例合集_https://www.jmylbn.com_新闻资讯_第3张

邢台医学院第一附属医院(邢台市第一医院)神经内二科是治疗神经系统疾病的专业科室,为河北省脑血管病联络中心,是卒中地图成员单位、卒中120特别行动组、国家脑防委卒中防治中心。我科技术力量雄厚,现有医护人员25人,其中副主任医师1人、主治医师4人、医师2人,是一个功能齐全、技术全面、设备精良先进、人员素质全面的临床科室。


目前主要收治各种急慢性脑血管疾病、癫痫、神经系统感染、肌病、周围神经系统疾病、神经系统代谢性疾病、变性疾病、遗传学疾病、中毒性疾病、功能性疾病、疼痛性疾病、心理障碍、睡眠障碍、免疫及自身免疫性疾病等,特别是静脉溶栓治疗、脑血管介入治疗是科室特色。






01



股动脉III型弓中应用APEX TRA GC™引导长鞘
行RM1取栓治疗





01

 患者基本信息 


患者:,76岁。


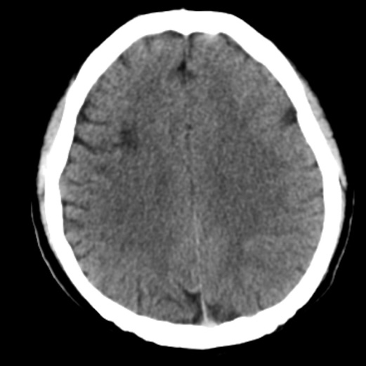
现病史:136分钟前突发左侧肢体无力,行走不能,伴尿失禁、左下肢不自主抖动,遂倒地,为进一步诊治来我院急诊。行头颅CT未见出血,血常规未见明显异常,排除溶栓禁忌,紧急给予TNK溶栓治疗,溶栓后患者症状未见明显好转,遂收入院治疗。


既往史:高血压病史10余年,口服降压药物治疗,具体不详;心房颤动病史10年。





02

 影像学资料 


动脉长鞘怎么置入一技之“长”丨经桡及经股困难入路应用赛诺神畅APEX TRA GC™导引导管建立通路病例合集_https://www.jmylbn.com_新闻资讯_第4张
头颅CT: 排除出血
动脉长鞘怎么置入一技之“长”丨经桡及经股困难入路应用赛诺神畅APEX TRA GC™导引导管建立通路病例合集_https://www.jmylbn.com_新闻资讯_第5张
头CTA: RM1闭塞
动脉长鞘怎么置入一技之“长”丨经桡及经股困难入路应用赛诺神畅APEX TRA GC™导引导管建立通路病例合集_https://www.jmylbn.com_新闻资讯_第6张
颈CTA: 无名动脉开口很低





03

 术前诊断 


1、急性脑梗死;

2、心房纤颤;

3、高血压。





04

 术前讨论 


拟行手术方案


经右侧股动脉入路,经皮穿刺脑血管造影+脑动脉腔内血栓取出术。


手术策略

通过长SIM2超选建立稳定通路,抽拉结合取栓。





05

 术中器械 



导管:

8F 股鞘;Cordis 5F 猪尾导管;088输送导管;068抽吸导管;0.021inch 微导管
赛诺神畅 APEX TRA GC™5F-130cm SIM2导引导管



导丝:

260cm 泥鳅导丝;0.014inch 微导丝



治疗器械:

取栓支架 6*30mm





06

 手术过程 


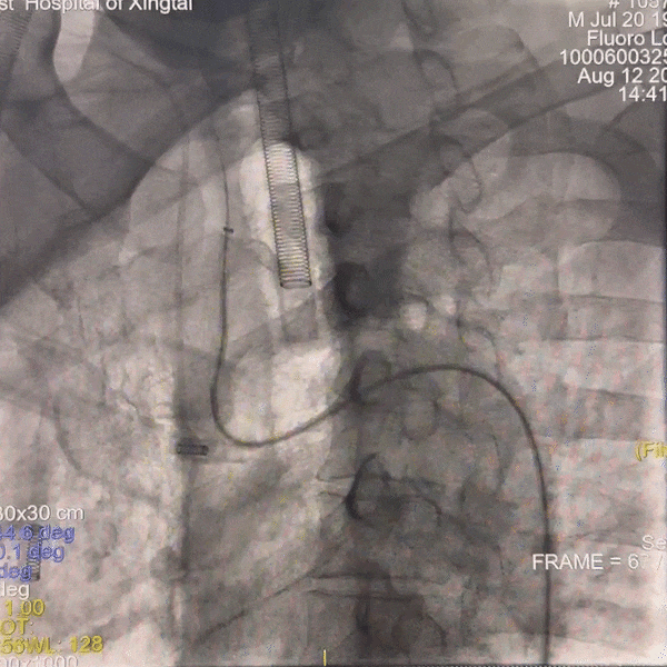
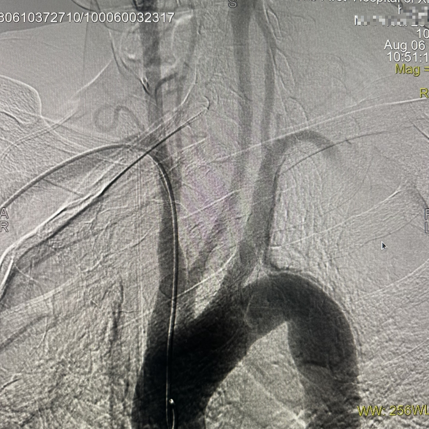
通路建立:患者主动脉弓造影显示Ⅲ型弓,病变为右侧大脑中动脉栓塞,故选择赛诺神畅APEX TRA GC™5F-130 SIM2导引导管同轴长鞘建立通路。

动脉长鞘怎么置入一技之“长”丨经桡及经股困难入路应用赛诺神畅APEX TRA GC™导引导管建立通路病例合集_https://www.jmylbn.com_新闻资讯_第7张
Ⅲ型弓
动脉长鞘怎么置入一技之“长”丨经桡及经股困难入路应用赛诺神畅APEX TRA GC™导引导管建立通路病例合集_https://www.jmylbn.com_新闻资讯_第8张
长SIM2导管成袢
动脉长鞘怎么置入一技之“长”丨经桡及经股困难入路应用赛诺神畅APEX TRA GC™导引导管建立通路病例合集_https://www.jmylbn.com_新闻资讯_第9张
顺利超选入无名动脉

跟进长鞘至右侧颈内动脉,输送068抽吸导管,释放6*30mm 取栓支架。

动脉长鞘怎么置入一技之“长”丨经桡及经股困难入路应用赛诺神畅APEX TRA GC™导引导管建立通路病例合集_https://www.jmylbn.com_新闻资讯_第10张
动脉长鞘怎么置入一技之“长”丨经桡及经股困难入路应用赛诺神畅APEX TRA GC™导引导管建立通路病例合集_https://www.jmylbn.com_新闻资讯_第11张
动脉长鞘怎么置入一技之“长”丨经桡及经股困难入路应用赛诺神畅APEX TRA GC™导引导管建立通路病例合集_https://www.jmylbn.com_新闻资讯_第12张

左右滑动查看更多


跟进抽吸导管,抽出血栓;开通血管,恢复血流。

动脉长鞘怎么置入一技之“长”丨经桡及经股困难入路应用赛诺神畅APEX TRA GC™导引导管建立通路病例合集_https://www.jmylbn.com_新闻资讯_第13张
动脉长鞘怎么置入一技之“长”丨经桡及经股困难入路应用赛诺神畅APEX TRA GC™导引导管建立通路病例合集_https://www.jmylbn.com_新闻资讯_第14张
动脉长鞘怎么置入一技之“长”丨经桡及经股困难入路应用赛诺神畅APEX TRA GC™导引导管建立通路病例合集_https://www.jmylbn.com_新闻资讯_第15张

左右滑动查看更多





07

 术后情况 


术后即刻影像

动脉长鞘怎么置入一技之“长”丨经桡及经股困难入路应用赛诺神畅APEX TRA GC™导引导管建立通路病例合集_https://www.jmylbn.com_新闻资讯_第16张

术后颅内正位造影

动脉长鞘怎么置入一技之“长”丨经桡及经股困难入路应用赛诺神畅APEX TRA GC™导引导管建立通路病例合集_https://www.jmylbn.com_新闻资讯_第17张

术后颅内侧位造影


患者术后即刻肢体肌力完全恢复。

动脉长鞘怎么置入一技之“长”丨经桡及经股困难入路应用赛诺神畅APEX TRA GC™导引导管建立通路病例合集_https://www.jmylbn.com_新闻资讯_第18张
动脉长鞘怎么置入一技之“长”丨经桡及经股困难入路应用赛诺神畅APEX TRA GC™导引导管建立通路病例合集_https://www.jmylbn.com_新闻资讯_第19张



手术总结




病例体会:

1、取栓就像开盲盒,各种形态的血管都有可能遇见,各种技术都要会,当然器械准备的更全面,技术的选择面越广;

2、通路建立成功,手术就成功了一半。



器械操作体会:

赛诺神畅APEX TRA GC™加长的SIM2导管,同轴配合长鞘可快速建立通路,减少了交换技术的步骤,缩短了手术时间,为患者快速开通血管打下基础。



手术技巧:

1、经股动脉入路,利用左侧锁骨下动脉使SIM2导管成袢技术;

2、SIM2超选后利用导丝和导管的牵引和支撑力,将长鞘带入靶血管。




02



股动脉III型弓中应用APEX TRA GC™引导长鞘
RC4动脉瘤栓塞





01

 患者基本信息 


患者:,71岁。


现病史:1月余前无明显诱因出现头晕,表现呈阵发性、非旋转性晕,无恶心、呕吐,未行特殊诊疗。4天前上述症状加重,性质同前;发病过程中无头痛,无言语不利,无耳聋、耳闷,无肢体麻木、无力。


既往史:“右肺小细胞癌”病史9月余;“小肠恶性肿瘤”病史3月余。


辅助检查:头MRA提示右侧颈内动脉C4段动脉瘤。





02

 术前诊断 


1、右侧颈内动脉C4段动脉瘤;

2、右肺癌;

3、小肠恶性肿瘤。





03

 术前讨论 


拟行手术方案


经右侧股动脉入路,经皮穿刺支架辅助下颅内动脉瘤栓塞术。


手术策略

APEX TRA GC™5F-130 SIM2导管同轴长鞘建立通路,交换中间导管到颈内动脉动脉瘤近端,支架辅助下进行动脉瘤栓塞。





04

 术中器械 



导管:

8F 股鞘;Cordis 5F 猪尾导管;088输送导管;6F 115cm 中间导管;Prowler select plus微导管;0.021inch 微导管
赛诺神畅 APEX TRA GC™5F-130cm SIM2导引导管



导丝:

260cm 泥鳅导丝;0.014inch 微导丝



治疗器械:

EP支架 4.5*14mm;NUMEN弹簧圈





05

 手术过程 


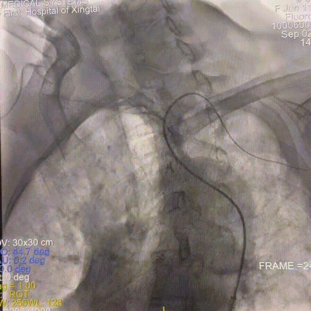
通路建立:经桡造影显示Ⅲ型弓,病变为右侧颈内动脉C4段动脉瘤,患者桡动脉纤细不适合经桡治疗,故选择经股动脉应用赛诺神畅APEX TRA GC™5F-130 SIM2导引导管超选右颈,同轴长鞘建立通路。
动脉长鞘怎么置入一技之“长”丨经桡及经股困难入路应用赛诺神畅APEX TRA GC™导引导管建立通路病例合集_https://www.jmylbn.com_新闻资讯_第20张
Ⅲ型弓
动脉长鞘怎么置入一技之“长”丨经桡及经股困难入路应用赛诺神畅APEX TRA GC™导引导管建立通路病例合集_https://www.jmylbn.com_新闻资讯_第21张
SIM2导管成袢
动脉长鞘怎么置入一技之“长”丨经桡及经股困难入路应用赛诺神畅APEX TRA GC™导引导管建立通路病例合集_https://www.jmylbn.com_新闻资讯_第22张
超选入无名动脉

跟进长鞘至右侧颈内动脉。

动脉长鞘怎么置入一技之“长”丨经桡及经股困难入路应用赛诺神畅APEX TRA GC™导引导管建立通路病例合集_https://www.jmylbn.com_新闻资讯_第23张


栓塞动脉瘤;致密栓塞AN后复查造影。

动脉长鞘怎么置入一技之“长”丨经桡及经股困难入路应用赛诺神畅APEX TRA GC™导引导管建立通路病例合集_https://www.jmylbn.com_新闻资讯_第24张
动脉长鞘怎么置入一技之“长”丨经桡及经股困难入路应用赛诺神畅APEX TRA GC™导引导管建立通路病例合集_https://www.jmylbn.com_新闻资讯_第25张



手术总结




病例体会:

1、患者桡动脉纤细,不适合经桡动脉入路;

2、相较于交换技术,同轴技术可以减少手术步骤、缩短手术时间、降低手术并发症的发生。



手术技巧:

1、经股动脉入路,利用左侧锁骨下动脉使SIM2导管成袢技术;

2、SIM2超选后利用导丝和导管的牵引和支撑能力,将长鞘带入靶血管。




03



经远桡动脉应用APEX TRA GC™引导长鞘
行RM1狭窄扩张+支架植入





01

 患者基本信息 


患者:,40岁。


现病史:近1年反复出现发作性头晕伴左侧肢体无力,经休息后症状能完全缓解。


既往史:高血压病史4年余,血压最高可达180/110mmHg;“2型糖尿病”病史2年余,血糖控制不详。





02

 影像资料 


DSA提示患者右侧大脑中动脉狭窄率约95%;PWI提示右额颞顶叶低灌注。

动脉长鞘怎么置入一技之“长”丨经桡及经股困难入路应用赛诺神畅APEX TRA GC™导引导管建立通路病例合集_https://www.jmylbn.com_新闻资讯_第26张
头颅CT
动脉长鞘怎么置入一技之“长”丨经桡及经股困难入路应用赛诺神畅APEX TRA GC™导引导管建立通路病例合集_https://www.jmylbn.com_新闻资讯_第27张
头DWI
动脉长鞘怎么置入一技之“长”丨经桡及经股困难入路应用赛诺神畅APEX TRA GC™导引导管建立通路病例合集_https://www.jmylbn.com_新闻资讯_第28张
头MRI
动脉长鞘怎么置入一技之“长”丨经桡及经股困难入路应用赛诺神畅APEX TRA GC™导引导管建立通路病例合集_https://www.jmylbn.com_新闻资讯_第29张
头MRA

动脉长鞘怎么置入一技之“长”丨经桡及经股困难入路应用赛诺神畅APEX TRA GC™导引导管建立通路病例合集_https://www.jmylbn.com_新闻资讯_第30张
动脉长鞘怎么置入一技之“长”丨经桡及经股困难入路应用赛诺神畅APEX TRA GC™导引导管建立通路病例合集_https://www.jmylbn.com_新闻资讯_第31张
动脉长鞘怎么置入一技之“长”丨经桡及经股困难入路应用赛诺神畅APEX TRA GC™导引导管建立通路病例合集_https://www.jmylbn.com_新闻资讯_第32张

头PWI

DSA





03

术前诊断 


1、短暂性脑缺血发作;

2、右侧大脑中动脉M1段狭窄;

3、高血压病3级(极高危);

4、2型糖尿病-2型糖尿病性周围神经病。





04

 术前讨论 


拟行手术方案


经右侧远桡动脉零交换技术脑血管狭窄球囊扩张+支架置入术。


手术策略


患者有明确的手术指征,无手术禁忌症,故拟行球囊扩张+支架置入术,开通血管,改善供血,缓解症状。

患者为右侧大脑中动脉狭窄,术前查右上肢血管彩超提示右侧桡动脉远端内径3.6mm、近端内径4.5mm,故选择经右侧远桡动脉入路进行手术。





05

 术中器械 



导管:

6F 桡鞘;Cordis 5F 多功能导管;088输送导管;6F 115cm 远端通路导管;0.017inch 微导管
赛诺神畅 APEX TRA GC™5F-130cm SIM2导引导管



导丝:

260cm 泥鳅导丝;0.014inch 微导丝



治疗器械:

输送型球囊扩张导管 2.0*15mm;EP支架 4.5*14mm





06

 手术过程 


通路建立:右侧远桡动脉置鞘成功,5F多功能导管尝试超选右侧颈总动脉失败。
撤出多功能导管和短鞘,交换088输送导管至右侧锁骨下动脉近端,沿输送导管送入赛诺神畅APEX TRA GC™5F-130cm SIM2至主动脉弓,成袢后轻松超选入右侧颈总动脉,同轴沿SIM2导管将输送导管送入右侧颈总动脉,撤出SIM2导管,沿导丝将6F 115cm远端通路导管送至右侧颈内动脉C4段。
动脉长鞘怎么置入一技之“长”丨经桡及经股困难入路应用赛诺神畅APEX TRA GC™导引导管建立通路病例合集_https://www.jmylbn.com_新闻资讯_第33张

路图下上导丝、导管


动脉长鞘怎么置入一技之“长”丨经桡及经股困难入路应用赛诺神畅APEX TRA GC™导引导管建立通路病例合集_https://www.jmylbn.com_新闻资讯_第34张

SIM2导引导管超选右侧颈总动脉


动脉长鞘怎么置入一技之“长”丨经桡及经股困难入路应用赛诺神畅APEX TRA GC™导引导管建立通路病例合集_https://www.jmylbn.com_新闻资讯_第35张
跟进输送导管
动脉长鞘怎么置入一技之“长”丨经桡及经股困难入路应用赛诺神畅APEX TRA GC™导引导管建立通路病例合集_https://www.jmylbn.com_新闻资讯_第36张
交换远端通路导管


动脉长鞘怎么置入一技之“长”丨经桡及经股困难入路应用赛诺神畅APEX TRA GC™导引导管建立通路病例合集_https://www.jmylbn.com_新闻资讯_第37张

3D造影 

动脉长鞘怎么置入一技之“长”丨经桡及经股困难入路应用赛诺神畅APEX TRA GC™导引导管建立通路病例合集_https://www.jmylbn.com_新闻资讯_第38张

病变血管放大造影 

动脉长鞘怎么置入一技之“长”丨经桡及经股困难入路应用赛诺神畅APEX TRA GC™导引导管建立通路病例合集_https://www.jmylbn.com_新闻资讯_第39张

微导丝、微导管通过狭窄处

左右滑动查看更多


后撤微导管至右侧大脑中动脉M1段分叉处,路图下微导丝超选入右侧大脑中动脉M2段上干,跟进微导管,撤出微导丝,手推造影显示微导管在血管真腔内,再次送入微导丝,撤出微导管,沿微导丝送入2.0*15mm 球囊扩张导管,由远及近分次进行扩张,扩张后显示狭窄段较前明显好转。
动脉长鞘怎么置入一技之“长”丨经桡及经股困难入路应用赛诺神畅APEX TRA GC™导引导管建立通路病例合集_https://www.jmylbn.com_新闻资讯_第40张
动脉长鞘怎么置入一技之“长”丨经桡及经股困难入路应用赛诺神畅APEX TRA GC™导引导管建立通路病例合集_https://www.jmylbn.com_新闻资讯_第41张
动脉长鞘怎么置入一技之“长”丨经桡及经股困难入路应用赛诺神畅APEX TRA GC™导引导管建立通路病例合集_https://www.jmylbn.com_新闻资讯_第42张
动脉长鞘怎么置入一技之“长”丨经桡及经股困难入路应用赛诺神畅APEX TRA GC™导引导管建立通路病例合集_https://www.jmylbn.com_新闻资讯_第43张

左右滑动查看更多


撤出微导丝,沿球囊扩张导管送入4.5*14mm 支架,精确定位后缓慢释放支架。
动脉长鞘怎么置入一技之“长”丨经桡及经股困难入路应用赛诺神畅APEX TRA GC™导引导管建立通路病例合集_https://www.jmylbn.com_新闻资讯_第44张

释放支架 

动脉长鞘怎么置入一技之“长”丨经桡及经股困难入路应用赛诺神畅APEX TRA GC™导引导管建立通路病例合集_https://www.jmylbn.com_新闻资讯_第45张

复查正位造影 

动脉长鞘怎么置入一技之“长”丨经桡及经股困难入路应用赛诺神畅APEX TRA GC™导引导管建立通路病例合集_https://www.jmylbn.com_新闻资讯_第46张

复查侧位造影

左右滑动查看更多





06

 术后情况 


支架植入后造影提示残余狭窄约0%, 右侧大脑中动脉供血区供血较前明显改善,前向血流达到3级。患者麻醉复苏后无不适,恢复良好出院,继续双联抗血小板聚集及他汀类药物治疗。


术后即刻复查头CT提示:支架张开良好无造影剂渗漏。

动脉长鞘怎么置入一技之“长”丨经桡及经股困难入路应用赛诺神畅APEX TRA GC™导引导管建立通路病例合集_https://www.jmylbn.com_新闻资讯_第47张



手术总结




病例体会:

此例患者为右侧大脑中动脉病变,且右侧桡动脉内径较粗,适合经桡动脉进行手术,但患者右侧颈总动脉与无名动脉夹角较大,增加了通路建立以及后续器械到位的难度。



器械操作体会:

首先SIM2导管特别适合经桡动脉进行弓上血管的超选,其次赛诺神畅APEX TRA GC™130cm的长度适合同轴技术引导输送导管或者经桡专用远端通路导引导管跟进,避免了短SIM2导管超选后还要使用交换技术进行导管的交换,减少了手术步骤,缩短了手术时间,减少了交换并发症的发生。




APEX TRA GC™导引导管

  


动脉长鞘怎么置入一技之“长”丨经桡及经股困难入路应用赛诺神畅APEX TRA GC™导引导管建立通路病例合集_https://www.jmylbn.com_新闻资讯_第48张













动脉长鞘怎么置入一技之“长”丨经桡及经股困难入路应用赛诺神畅APEX TRA GC™导引导管建立通路病例合集_https://www.jmylbn.com_新闻资讯_第49张

公司简介

动脉长鞘怎么置入一技之“长”丨经桡及经股困难入路应用赛诺神畅APEX TRA GC™导引导管建立通路病例合集_https://www.jmylbn.com_新闻资讯_第50张
赛诺神畅医疗科技有限公司(简称“赛诺神畅”或“公司”)由科创板上市公司赛诺医疗(688108.SH)于2020年在江苏苏州设立,注册资本1.25亿元人民币,经营面积一万余平米,拥有员工200余人,定位于高端神经介入器械的研发、生产及销售。
赛诺神畅业务覆盖神经介入缺血、出血、通路三大领域,目前已上市13款产品,公司依托核心科研团队及五大核心技术平台,开展研发二十余款创新产品,包括:自膨式颅内药物支架、新一代血流导向装置、颅内抽吸系统、颅内取栓支架、颅内药物球囊等,部分核心产品将填补国内空白,达到国际领先水平。
赛诺神畅致力于成为以创新为驱动的神经介入全产品线提供商,将始终聚焦神经介入前沿技术理念,以持续不断的创新和精益求精的品质,肩负中国高端医疗器械公司赶超世界同类产品行业巨头的担当。公司立志成为中国神经介入行业领军者,并将逐步进入国际市场,提高“中国创造”在国际范围内的影响力,向着世界一流神经介入医疗器械供应商的目标不懈努力奋斗!

说明:赛诺神畅医疗科技有限公司为赛诺医疗科学技术股份有限公司控股子公司。


动脉长鞘怎么置入一技之“长”丨经桡及经股困难入路应用赛诺神畅APEX TRA GC™导引导管建立通路病例合集_https://www.jmylbn.com_新闻资讯_第51张

声明:脑医汇旗下神外资讯、神介资讯、脑医咨询所发表内容之知识产权为脑医汇及主办方、原作者等相关权利人所有。未经许可,禁止进行转载、摘编、复制、裁切、录制等。经许可授权使用,亦须注明来源。欢迎转发、分享。

投稿/会议发布,请联系400-888-2526转3

动脉长鞘怎么置入一技之“长”丨经桡及经股困难入路应用赛诺神畅APEX TRA GC™导引导管建立通路病例合集_https://www.jmylbn.com_新闻资讯_第52张

脑医汇App(原神介资讯App短视频”功能全新上线,碎片化时间学习内容,长按识别二维码抢先体验!


请点击“阅读原文”进入赛诺神畅品牌专区。

动脉长鞘怎么置入一技之“长”丨经桡及经股困难入路应用赛诺神畅APEX TRA GC™导引导管建立通路病例合集_https://www.jmylbn.com_新闻资讯_第53张

点分享

动脉长鞘怎么置入一技之“长”丨经桡及经股困难入路应用赛诺神畅APEX TRA GC™导引导管建立通路病例合集_https://www.jmylbn.com_新闻资讯_第54张

点点赞

动脉长鞘怎么置入一技之“长”丨经桡及经股困难入路应用赛诺神畅APEX TRA GC™导引导管建立通路病例合集_https://www.jmylbn.com_新闻资讯_第55张

点在看