动物拍片腹部怎么摆【病例分享】犬-外科-股骨头切除术

新闻资讯2026-04-21 02:49:35

2023


动物拍片腹部怎么摆【病例分享】犬-外科-股骨头切除术_https://www.jmylbn.com_新闻资讯_第1张

病例分享:

犬-外科-股骨头切除术

伴侣动物医院华银园总院

朱金富(主治医生)


老黄,中华田园犬,七岁,长期在外流浪,后肢无法站立,触诊有疼痛感,经拍片后发现有股骨头脱出的情况。

动物拍片腹部怎么摆【病例分享】犬-外科-股骨头切除术_https://www.jmylbn.com_新闻资讯_第2张


 前言

股骨头切除由于圆韧带的断裂,股骨头脱出以后与骨盆其他骨骼的摩擦导致疼痛才是患肢疼痛的根本原因,因此我们可以选择通过切除股骨头的方式来解决。

此项手术优点在于手术相对简单,术后恢复较快,缺点在于股骨头切除后大转子与髋部形成了假关节,失去了原有的生理结构,对后期行走情况有轻微影响。

体重越大的动物影响越大,因此对于猫和小型犬(20kg以下)来说是最佳选择。



病例概述

宠物信息

品种:中华田园犬          年龄:7岁

性别:雄性                   体重:12.50kg

绝育免疫情况:未绝育、已免疫

喂养方式:狗粮、罐头


病情描述

动物拍片腹部怎么摆【病例分享】犬-外科-股骨头切除术_https://www.jmylbn.com_新闻资讯_第3张

该犬长期在外流浪,后肢无法站立,触诊有疼痛感,经拍片诊断后发现有股骨头脱出的情况。


疾病成因

股骨颈骨折多见于直接暴力或较强的间接暴力引发,如车轮撞击、从高处跌落、拉扯等。


治疗难度

股骨头切除是骨科基础手术,这需要手术医生对髋关节周边的解剖结构有充分的了解,手术时要注意对周围软组织及神经的保护,这样才能提高手术的成功率。


治疗过程

术前检查

1、面诊:了解动物的基本情况

动物拍片腹部怎么摆【病例分享】犬-外科-股骨头切除术_https://www.jmylbn.com_新闻资讯_第3张

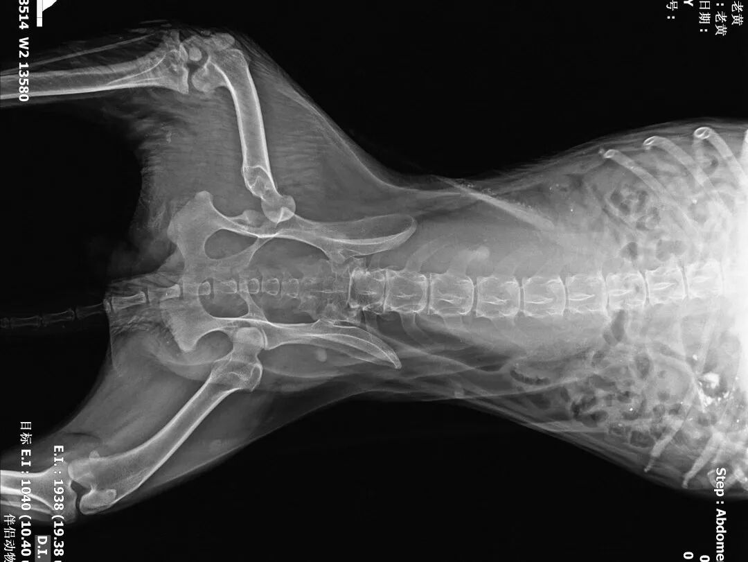
 2、血常规、生化、凝血、DR(正侧)

动物拍片腹部怎么摆【病例分享】犬-外科-股骨头切除术_https://www.jmylbn.com_新闻资讯_第5张
动物拍片腹部怎么摆【病例分享】犬-外科-股骨头切除术_https://www.jmylbn.com_新闻资讯_第6张
动物拍片腹部怎么摆【病例分享】犬-外科-股骨头切除术_https://www.jmylbn.com_新闻资讯_第7张
动物拍片腹部怎么摆【病例分享】犬-外科-股骨头切除术_https://www.jmylbn.com_新闻资讯_第8张
动物拍片腹部怎么摆【病例分享】犬-外科-股骨头切除术_https://www.jmylbn.com_新闻资讯_第9张

血常规检查:帮助了解动物的血细胞形态和数量以及贫血、脱水、感染、炎症等情况

生化检查:帮助了解动物的内脏器官功能及血脂情况

凝血功能检查:帮助了解动物的凝血功能,筛查手术出血风险


术前麻醉

1、签署麻醉协议

动物拍片腹部怎么摆【病例分享】犬-外科-股骨头切除术_https://www.jmylbn.com_新闻资讯_第10张

2、镇静

动物拍片腹部怎么摆【病例分享】犬-外科-股骨头切除术_https://www.jmylbn.com_新闻资讯_第11张

3、诱导麻醉

动物拍片腹部怎么摆【病例分享】犬-外科-股骨头切除术_https://www.jmylbn.com_新闻资讯_第12张

4、气管插管

动物拍片腹部怎么摆【病例分享】犬-外科-股骨头切除术_https://www.jmylbn.com_新闻资讯_第13张

5、血压检测

动物拍片腹部怎么摆【病例分享】犬-外科-股骨头切除术_https://www.jmylbn.com_新闻资讯_第14张

6、剃毛、消毒

动物拍片腹部怎么摆【病例分享】犬-外科-股骨头切除术_https://www.jmylbn.com_新闻资讯_第15张

7、铺创巾、洞巾,暴露手术视野

动物拍片腹部怎么摆【病例分享】犬-外科-股骨头切除术_https://www.jmylbn.com_新闻资讯_第16张

8、切开皮肤

动物拍片腹部怎么摆【病例分享】犬-外科-股骨头切除术_https://www.jmylbn.com_新闻资讯_第17张

9、钝性分离皮下组织

动物拍片腹部怎么摆【病例分享】犬-外科-股骨头切除术_https://www.jmylbn.com_新闻资讯_第18张

10、剪开阔筋膜张肌

动物拍片腹部怎么摆【病例分享】犬-外科-股骨头切除术_https://www.jmylbn.com_新闻资讯_第19张

11、分离肌肉

动物拍片腹部怎么摆【病例分享】犬-外科-股骨头切除术_https://www.jmylbn.com_新闻资讯_第20张

12、使用牵开器暴露手术视野

动物拍片腹部怎么摆【病例分享】犬-外科-股骨头切除术_https://www.jmylbn.com_新闻资讯_第21张

13、使用牵开器暴露股骨头

动物拍片腹部怎么摆【病例分享】犬-外科-股骨头切除术_https://www.jmylbn.com_新闻资讯_第22张

14、用骨勺切断圆韧带

动物拍片腹部怎么摆【病例分享】犬-外科-股骨头切除术_https://www.jmylbn.com_新闻资讯_第23张

15、用摆锯切除坏死的股骨头

动物拍片腹部怎么摆【病例分享】犬-外科-股骨头切除术_https://www.jmylbn.com_新闻资讯_第24张

16、切除的股骨头

动物拍片腹部怎么摆【病例分享】犬-外科-股骨头切除术_https://www.jmylbn.com_新闻资讯_第25张

17、缝合肌肉

动物拍片腹部怎么摆【病例分享】犬-外科-股骨头切除术_https://www.jmylbn.com_新闻资讯_第26张

18、缝合皮肤

动物拍片腹部怎么摆【病例分享】犬-外科-股骨头切除术_https://www.jmylbn.com_新闻资讯_第27张

19、缝合完成

动物拍片腹部怎么摆【病例分享】犬-外科-股骨头切除术_https://www.jmylbn.com_新闻资讯_第28张

20、手术完成

动物拍片腹部怎么摆【病例分享】犬-外科-股骨头切除术_https://www.jmylbn.com_新闻资讯_第29张

术后正位片

动物拍片腹部怎么摆【病例分享】犬-外科-股骨头切除术_https://www.jmylbn.com_新闻资讯_第30张

术后侧位片

动物拍片腹部怎么摆【病例分享】犬-外科-股骨头切除术_https://www.jmylbn.com_新闻资讯_第31张



医生建议

从源头上预防股骨颈骨折或脱出,外出应关好家里门窗,避免宠物从高处跌落,与宠物互动时不要使用暴力。当猫咪或小型犬发生股骨颈骨折时,应及时进行股骨头切除手术或髋关节置换,因为股骨颈血供较差,不适合进行股骨颈内固定手术。



检测仪器和设备

凝血:微点生物qLabs凝血分析仪

生化:微纳芯

血常规:迈瑞五分类血球计数仪

DR-X光:深圳迈瑞

手术室:万流层级手术室

麻醉机:深圳迈瑞

心电监护:深圳迈瑞

手术器械:安徽佰陆

多普勒血压计:合肥金脑人



治疗参与人员

主治医生:朱金富

主刀医生:王辉

麻醉师:陈星

保定医助:蒋理

器械医助:陈星

巡回医助:洪文

成案人:黄李红



医师简介

动物拍片腹部怎么摆【病例分享】犬-外科-股骨头切除术_https://www.jmylbn.com_新闻资讯_第32张

技术院长 陈亮 

国家注册执业兽医师

小动物骨科&牙科专科兽医师

小动物髋关节置换认证兽医

动物拍片腹部怎么摆【病例分享】犬-外科-股骨头切除术_https://www.jmylbn.com_新闻资讯_第33张

主治医师 黎滔

国家注册执业兽医师

擅长小动物超声、犬猫心脏病、犬猫传染病、软组织外科兽医师

多次参加小动物腹部超声、心脏彩超专题培训并荣获奖项

动物拍片腹部怎么摆【病例分享】犬-外科-股骨头切除术_https://www.jmylbn.com_新闻资讯_第34张

主治医师 廖亚静 

国家注册执业兽医师

擅长猫病学、皮肤科、牙科

多年动物临床诊疗工作

积累了丰富的临床经验

动物拍片腹部怎么摆【病例分享】犬-外科-股骨头切除术_https://www.jmylbn.com_新闻资讯_第35张

主治医师 向雪雯

国家注册执业兽医师

猫友好医师

擅长猫行为学、犬猫皮肤病、公猫泌尿系统疾病等内科疾病、小动物影像学


院内环境

动物拍片腹部怎么摆【病例分享】犬-外科-股骨头切除术_https://www.jmylbn.com_新闻资讯_第36张
动物拍片腹部怎么摆【病例分享】犬-外科-股骨头切除术_https://www.jmylbn.com_新闻资讯_第37张
动物拍片腹部怎么摆【病例分享】犬-外科-股骨头切除术_https://www.jmylbn.com_新闻资讯_第38张
动物拍片腹部怎么摆【病例分享】犬-外科-股骨头切除术_https://www.jmylbn.com_新闻资讯_第39张
动物拍片腹部怎么摆【病例分享】犬-外科-股骨头切除术_https://www.jmylbn.com_新闻资讯_第40张
动物拍片腹部怎么摆【病例分享】犬-外科-股骨头切除术_https://www.jmylbn.com_新闻资讯_第41张
动物拍片腹部怎么摆【病例分享】犬-外科-股骨头切除术_https://www.jmylbn.com_新闻资讯_第42张

更多精彩内容“阅读原文”

右边给我一朵小花花

动物拍片腹部怎么摆【病例分享】犬-外科-股骨头切除术_https://www.jmylbn.com_新闻资讯_第43张