X光拍片为什么要等看牙为什么要拍片?非专业人士如何看懂自己的牙片!

新闻资讯2026-04-17 12:33:39

前段时间,朋友跟我抱怨,“花钱在网上咨询一个牙科医生,聊了没几句,医生就让先去医院拍片检查一下,感觉钱花的太亏亏亏亏了”。


其实在日常接诊中,医生经常会遇到“拍片抗拒症”患者,他们认为看大病拍片还能理解,看个牙齿也要拍片,实在是不能理解🤔


牙看上去都好好的,为什么要拍片?

蛀牙而已,眼睛都能看到,为什么还要拍片?

拔个智齿还要拍片,辐射会不会影响我的身体?

……


这是不是也是屏幕前你的疑惑呢?今天来给大家讲讲看牙拍片子那些事儿!



Part 01

为啥去看牙医,总是要求我拍片?


去医院看牙总有一些人不愿意拍牙片,认为张开嘴就能看到牙齿情况,完全没必要拍牙片。


但我们要知道,牙齿的硬度比骨骼还高,结构也很复杂,如果牙齿里面出了问题,即便是经验再丰富的牙医,也无法单凭肉眼诊治,毕竟医生可没长X光透视眼~


X光拍片为什么要等看牙为什么要拍片?非专业人士如何看懂自己的牙片!_https://www.jmylbn.com_新闻资讯_第1张△牙齿结构剖面图


在不清楚牙齿真实状态时,只有通过拍摄「牙片」才可以了解到患牙的牙根形态、走向、长度,种植牙需要的骨量,以及根尖周有无病变、病变大小等情况。


也可以确认肉眼无法判断的这些口腔问题:


X光拍片为什么要等看牙为什么要拍片?非专业人士如何看懂自己的牙片!_https://www.jmylbn.com_新闻资讯_第2张


此外,正畸、治疗牙周病、种植牙等情况也需要拍片检查,往往还需要多次拍牙片对比。

X光拍片为什么要等看牙为什么要拍片?非专业人士如何看懂自己的牙片!_https://www.jmylbn.com_新闻资讯_第3张


*治疗前:用于发现病变程度、范围;

*治疗中:引导治疗、确定治疗范围和深度;

*治疗后:用于观察治疗效果是否达到预期。



再者,很多患者不能够清晰地描述自己的病情和症状,导致医生难以诊断,所以医生也通常会让你拍片检查口腔情况。


所以,不要再问医生为什么总是让你拍片!


Part 02

牙片不同,作用不同!


关于「牙片」是不是也有很多朋友疑惑,为什么都是“拍牙片”,有些医生说的“拍片”和有些医生说的“拍片”完全不一样?


我们常说的「拍牙片」只是一个统称,具体指一切口腔X线片检查并不是单指一张片子。需要根据不同情况来选择拍摄哪种牙片。


一般来说,我们所说的牙片由以下几种组成:


X光拍片为什么要等看牙为什么要拍片?非专业人士如何看懂自己的牙片!_https://www.jmylbn.com_新闻资讯_第4张

△其优点在于1:1精准还原牙齿的大小,成像速度快,对于单颗牙齿情况的检查相对精细。


X光拍片为什么要等看牙为什么要拍片?非专业人士如何看懂自己的牙片!_https://www.jmylbn.com_新闻资讯_第5张

△优点在于可以了解牙根下是否有囊肿,周围骨头是否吸收,牙槽骨内是否有埋伏牙、多生牙等。


X光拍片为什么要等看牙为什么要拍片?非专业人士如何看懂自己的牙片!_https://www.jmylbn.com_新闻资讯_第6张

△这种牙片在正畸领域应用更广泛,它为牙齿矫正提供重要的数据参考,可以帮助牙医清晰看到牙齿和骨头的相对关系,制定更加有效的矫正计划。


X光拍片为什么要等看牙为什么要拍片?非专业人士如何看懂自己的牙片!_https://www.jmylbn.com_新闻资讯_第7张

△优点在于空间分辨率高、成像更清晰,医生可360°旋转查看口腔状况,适用于埋伏智齿的拔除、种植牙、正颌手术等。


当然也不是什么治疗都需要拍这么多片子,需求不同,自然拍片方案也不一样。


Part 03

非专业人士,如何看懂牙片?


作为牙科非专业人士,大家拍完牙片后是不是一脸懵?今天手把手教你看牙片,get牙医同款“透视眼”!


首先我们要知道,牙片是镜像的,就像照镜子,牙片的左边是我们的右边。一般而言,全景片上会标注R或L来帮我们分辨方向。


牙片可以看出很多口腔问题,小贝教大家看看几个比较常见的牙齿问题。


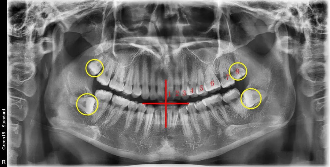
🔎智齿


与其费劲巴拉用舌头舔自己长没长智齿,不如拍片看一下,智齿如果完全埋伏,就舔不到,根本舔不到~


X光拍片为什么要等看牙为什么要拍片?非专业人士如何看懂自己的牙片!_https://www.jmylbn.com_新闻资讯_第8张

△全口牙齿一般有28-32颗,在牙片上从中间牙齿往后数第八颗就是智齿。


🔎蛀牙


X光拍片为什么要等看牙为什么要拍片?非专业人士如何看懂自己的牙片!_https://www.jmylbn.com_新闻资讯_第9张

△牙齿龋坏比较多,在牙片上会显示黑色阴影的缺损。


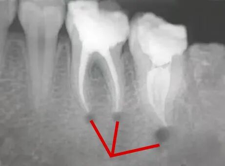
🔎根管治疗


X光拍片为什么要等看牙为什么要拍片?非专业人士如何看懂自己的牙片!_https://www.jmylbn.com_新闻资讯_第10张

△白色充填物充满整个牙根。


🔎种植牙


X光拍片为什么要等看牙为什么要拍片?非专业人士如何看懂自己的牙片!_https://www.jmylbn.com_新闻资讯_第11张

△种植牙等修复体在全景片上通常呈现白色。


🔎牙周情况


通常来说,健康的牙槽骨的牙齿周围是被牙龈包裹住没有很大缝隙的,牙间缝隙较大而且是黑色阴影,牙齿整体比较长,多半是牙周炎,且牙槽骨情况也不好。


X光拍片为什么要等看牙为什么要拍片?非专业人士如何看懂自己的牙片!_https://www.jmylbn.com_新闻资讯_第12张

△正常情况下,牙槽骨高度位于牙根与牙冠的交界处下方一点(白色线标注位置)。


🔎埋伏牙


X光拍片为什么要等看牙为什么要拍片?非专业人士如何看懂自己的牙片!_https://www.jmylbn.com_新闻资讯_第13张


🔎儿童恒牙萌出


X光拍片为什么要等看牙为什么要拍片?非专业人士如何看懂自己的牙片!_https://www.jmylbn.com_新闻资讯_第14张


🔎牙齿不齐


X光拍片为什么要等看牙为什么要拍片?非专业人士如何看懂自己的牙片!_https://www.jmylbn.com_新闻资讯_第15张


🔎根尖炎症


X光拍片为什么要等看牙为什么要拍片?非专业人士如何看懂自己的牙片!_https://www.jmylbn.com_新闻资讯_第16张

△根尖那里有黑色的阴影,说明牙根尖有炎症病变,这种多为根尖炎。


Part 04

“辐”色变?拒绝抛开剂量谈辐射!


即使明白了拍片的重要性,还是有朋友抗拒拍片。原因很简单:有!辐!射!


但是牙片的辐射并没有你想象中厉害。


国际放射防护委员会建议,一般人辐射限值一年不超过5毫西弗(即5000微西弗)。牙片的辐射属于电离辐射,牙片类型不同,辐射剂量不一样。


小牙片:1微西弗

全景片:5微西弗

牙科CT(锥形束CT):35-270微西弗



看不懂剂量单位?没关系,我们以香蕉为例!


香蕉作为生活中常见的水果,因其富含钾元素,而天然钾当中约有 0.0117% 的放射性钾——钾 40。

有数据表示,每吃一根香蕉,大约受到0.1微西弗的辐射,10小时航空飞行的辐射剂量为30微西弗


根据此算法,拍摄一张小牙片大概相当于一次吃下10根香蕉,拍摄3张小牙片也只与坐1小时飞机的辐射量相当。


X光拍片为什么要等看牙为什么要拍片?非专业人士如何看懂自己的牙片!_https://www.jmylbn.com_新闻资讯_第17张


而且每次拍摄牙片,都会穿铅衣或铅裙,这些抗辐措施可以将牙片带来的辐射影响,降低到微乎其微,所以不必过于担心~