去口腔科看牙,医生常会说先拍个片子看一看,很多人第一时间就会联想到辐射,下意识会担心对身体有没有影响,今天我们就带您 了解一下看牙为什么要拍片?对人体辐射大吗?


Q么是辐射?
什么是辐射?
A: 首先,我们来了解一下什么是辐射?辐射是一种能量传递方式。自然界的一切物体,只要温度在绝对零摄氏度以上,都会以波或粒子的形式向外传递能量。
Q射的分类有哪些?
辐射的分类有哪些?
A:我们日常说的辐射致癌,通常指人造辐射。人造辐射分为电离辐射和非电离辐射。
1.电离辐射能量较高,多用于医疗环境。比如X光、CT、PET-CT、放疗等。
2.非电离辐射能量较低,常见微波炉、电脑、空调、洗衣机、浴霸、电磁炉、电吹风、电灯等。

Q光、CT对身体伤害大么?
X光、CT对身体的伤害大么?
A: 离开剂量谈辐射,都是耍流氓!
公众个人所受当量剂量限制为5mSv/年,在生活中很多日常活动都会使我们接触各种各样的辐射,比如香蕉由于放射性钾的存在,会有辐射,而一年要吃约5万根香蕉,辐射量才能达到5mSv。高空大气相对稀薄,坐飞机容易受到宇宙放射辐射,10小时约0.05mSv。还有其他这些日常中存在的辐射,只有大量接触才有可能影响身体健康。
同样,在医院进行X光、CT这些检查时剂量也是很微弱的。比如:看牙时拍摄的小牙片,它的辐射吸收剂量仅有0.005mSv。拍个胸片,它的辐射吸收剂量约为0.1mSv。做头颅CT检查,它的辐射吸收剂量约为2mSv等等。
最重要的是在放射检查时,我们不是随意暴露,而是在医生指导下,受检者和陪检者做好个人防护,正确使用防护用品,尽量减少辐射。





所以说,只要不是天天做检查,根本没必要对X光、CT过度焦虑。至于已经得了病的人,检查该做就做,不要耽误病情才是最重要的。
Q
口腔科常见的放射检查有哪些?
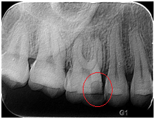
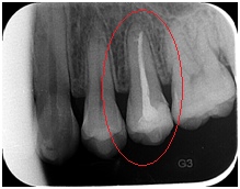
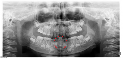
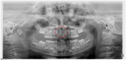
A: 口腔科较常拍的牙片有:根尖片、全景牙片、口腔侧位片、口腔颌面锥形束CT等。不同的检查有不同作用→

【根尖片】
◆磨牙龋齿

◆根管治疗完成后


【全景牙片】
◆乳牙的萌出和替换

◆多生牙

◆阻生智齿

◆牙周炎引起的牙槽骨吸收


【口腔侧位片】
◆地包天


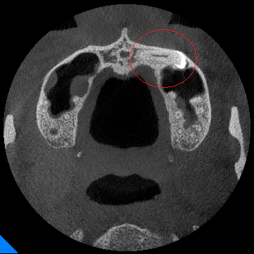
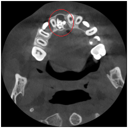
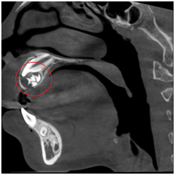
【口腔颌面锥形束CT(CBCT)】
◆埋伏牙


//
◆牙瘤


◆由囊肿引起的骨质破坏


//
Q
哪些人群需要拍摄牙片?
A:第一类人群“未成年儿童”——如果是未成年儿童,通常更需要拍牙片检查口腔情况,诸如龋齿、恒牙牙胚、恒牙萌出、颌骨发育、牙齿正畸这些都需要通过牙片来检查。
第二类人群“好甜食好酸食的人群”——这种人群往往是龋齿发生率较高的人,因为大量的甜食、酸食会腐蚀、酸蚀牙齿,拍牙片检查是为了更快断定是否患上蛀牙。
第三类人群“修复牙齿后的成年人”——大部分成年人或多或少有口腔问题,比如:修复后的龋齿、缺损修复的烤瓷牙、牙齿缺失后的种植牙。拍摄牙片就可以检测填充治疗修复后的牙齿是否有新的龋坏,根管治疗后的牙齿是否有感染、烤瓷牙内的天然牙是否有龋坏、种植牙的牙周是否健康等。
第四类人群“存在牙周疾病的人群”——这些患者拍摄牙片是必须的不能少的,目的是检查牙槽骨的骨量缺失情况。
第五类人群“烟民”——吸烟者患上牙周病的几率极高,因此如果接受口腔检查时一定记得拍牙片。
第六类人群“需要进行正畸治疗”——准备正畸治疗的患者在正畸治疗前一定要拍摄X光片及CBCT,以便准确评估存在的牙颌面畸型、牙根形态、牙齿周边骨组织,是否有埋伏牙多生牙,是否有关节病变,牙周是否健康等,这些都决定是否能进行正畸治疗,以及正畸治疗最终疗效是否健康稳定。

总之,口腔疾病种类多样,变化多端,口腔X线牙片的作用是为了术前用于发现病变程度、范围,为医生的诊断分析与治疗方案提供依据,术中用于引导治疗、确定治疗范围和治疗深度,术后用于观察疗效。
来源:口腔科 梅宁昭
编辑:宣教科全媒体编辑部