


在我中心放射科的日常接诊中,经常会遇到患者问:“医生,拍个片子,还要脱内衣、取下项链,甚至换衣服?”“医生,我的内衣没有钢圈,还需要脱吗?”“医生我拉上去可以吗?脱了太麻烦。”......

为什么在一些放射检查中,医生会要求拍胸片的女性脱衣服、取首饰呢?今天我中心放射科医生就为您详细解答。
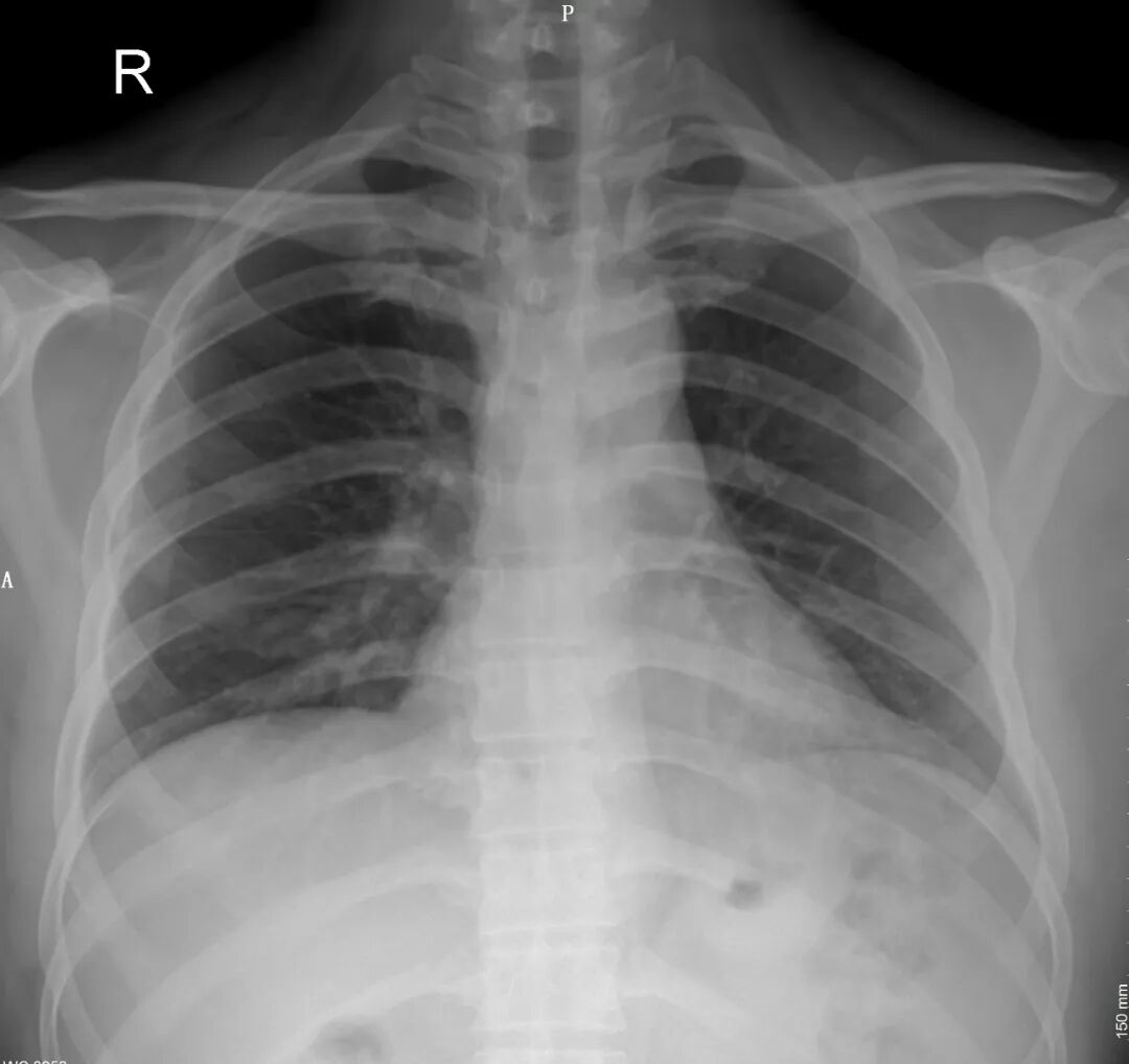
图1是一个张正常的胸部正位片。这是去除了内衣拍的标准片子,我们看到的肺野没有异物,双肺、心脏及骨头都显示得很清楚。
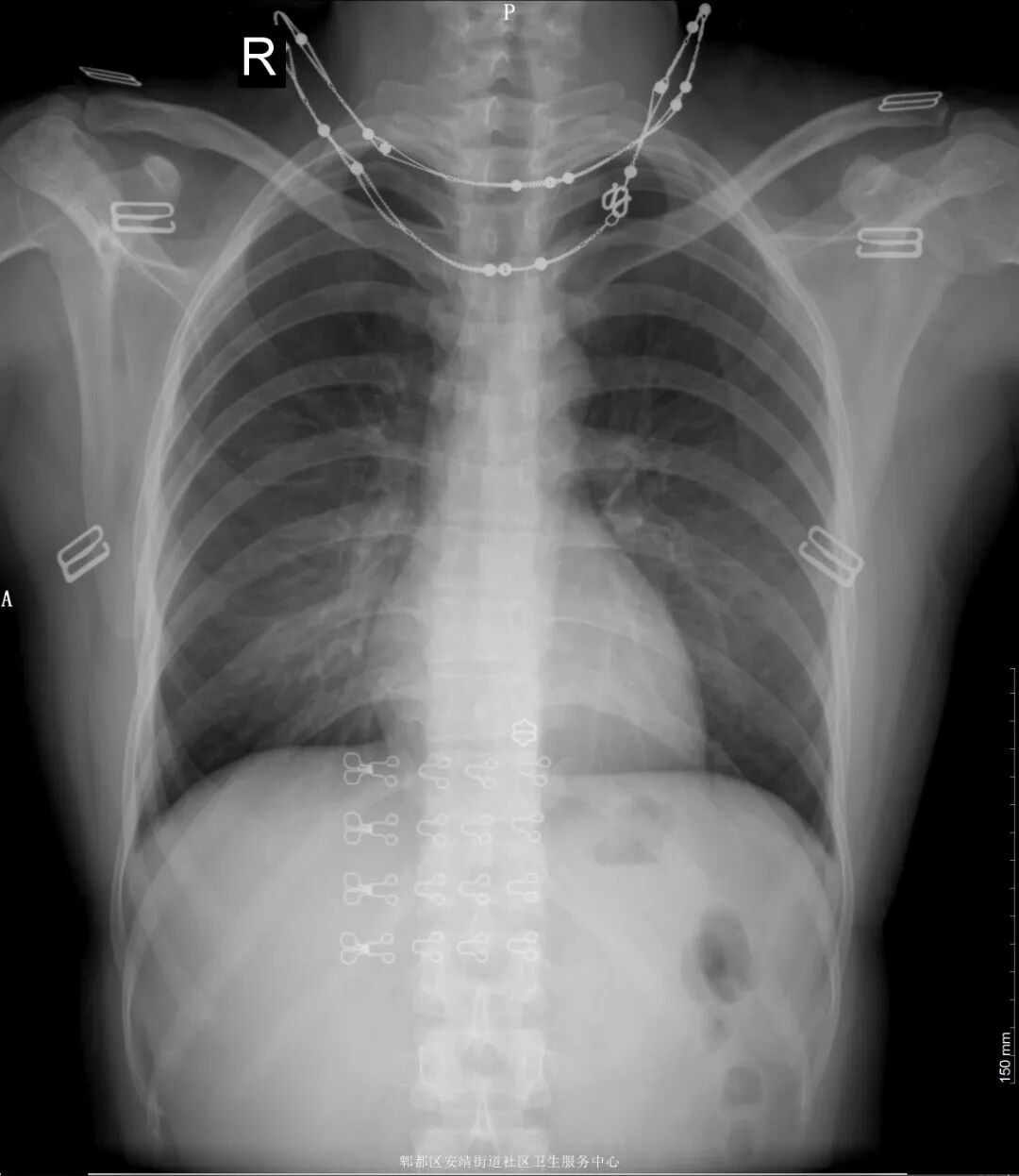
我在再来看看图2,这是没有脱掉内衣拍的胸片。对比第一张,我们可以清楚看到戴在脖子上的项链和内衣的扣子、钢圈。这些体外的异物跟我们要观察的骨头、肺部重叠了,如果刚好这些部位有病灶,这些体外的异物就会形成遮挡,容易导致漏诊及误诊。

随着现代医学影像技术的发展,采用DR数字影像技术拍片,分辨率极高,衣物上的很多非金属的异物(比如头绳、橡皮筋制的腰带,甚至某些衣料裤子的卷边等)都有可能在X光片上显影。所以,对于女性患者拍胸部X光平片时,内衣必须要去除。

当然,对于放射科的其他检查,拍哪个部位就需要那个部位及其附近区域没有金属异物。比如:要拍的是胸部,就需要胸部没有金属等不透X线的物体,比如内衣、衣服的金属扣子,这个时候就可能要求脱衣服,脱内衣。但是,要拍的是盆腔,那么很有可能会要求患者脱去带有金属拉链的外裤,保证相应的拍摄部分没有金属,而此时是不会要求去除内衣和项链的。如果,要拍的是手部,那么只需要去除检查部位的手链、戒指;如果拍的是踝关节、足等,则需要去除鞋子及袜子。
建议患者在可能的情况下,自备无扣及无花纹的汗衫,无拉链、无纽扣的棉质裤子,并且在检查前询问摄片医生,配合检查。
我中心放射科现有医护人员共12名,副主任医师1人、主治医师1人、医师4人、放射技师5人、护师1人,科内目前设置了登记室、DR摄片室2间、CT检查室及摄片操作间,科室主要设备有:16排螺旋CT机1台,数字化摄影DR机2台。
科室目前开展的主要业务:常规体检、X光拍片、CT检查,增强扫描及各种特殊造影(例如IVP、膀胱造影、子宫输卵管造影等)。

