X光拍片为什么要等拍X光片的四种常见误区

新闻资讯2026-04-17 12:33:28


对于拍X光片人们通常存在着四种误区,即认为放射线对人体有伤害,坚持生病了也不拍片;不是金属不碍事;人体的两个侧面都要照;站着拍和躺着拍效果一样。医生提示,拍X光片是最常见的一种影像学检查,大家不必对此产生误解。

X光拍片为什么要等拍X光片的四种常见误区_https://www.jmylbn.com_新闻资讯_第1张

误区一:放射线对人体有伤害,坚持生病了也不拍片

据医生介绍,胸部正位摄片时接受的X线照射剂量为0.12mSv,约为造成人体损伤的单次最大接受剂量的1/20000,所以说,一次普通的X线摄片检查,对人的危害程度并不大,无需过多担心。“人们常说药有三分毒,任何一种药都有不良反应和毒副作用,但是只要正确用药并掌握它的用量,就能发挥药品的最大作用,从而为患者服务。”医生举例说,如晒太阳可以从中获取维生素D,但是皮肤过多的暴晒就会导致皮肤癌;此外,生活中也有很多的电器是有辐射的,难道我们就弃之不用吗?关键是要怎样用的问题。

X光拍片为什么要等拍X光片的四种常见误区_https://www.jmylbn.com_新闻资讯_第2张

误区二:不是金属不碍事

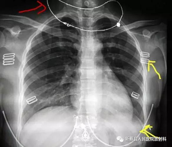
随着大众文化水平及对医疗知识的不断提高,人们逐渐认识金属及高密度物品会阻碍X线的穿透,如金属纽扣、项链、玉佩、文胸等,患者一般都会配合医生将其去除,但类似护膝、膏药、棉被及衣服上的油漆图案等,都会对X线的穿透造成影响,甚至在X光片上留下影像,从而给医生的诊断带来了困难。如患者王小姐,带着感冒发烧的小宝宝拍X光片,因担心脱掉毛衣会令小宝宝的感冒加重,王小姐说什么也不肯脱掉宝宝的衣服。使本来就难以诊断的小孩胸片,又因为几件毛衣的干扰留下了重重伪影,结果只能重照了。

X光拍片为什么要等拍X光片的四种常见误区_https://www.jmylbn.com_新闻资讯_第3张

误区三:人体的两个侧面都要照

我们通常所用的照相机如果拍左边面部就看不到右边。但是X光不一样,它具有穿透性,看清内部实质性内容。因此,如果是拍四肢骨和脊柱是一个侧位就可以了。这不像肺分为左肺和右肺,所以一旦哪边有问题就得哪边靠片,目的就是使病变侧能更清晰地显示在X光胶片上,以减少放大。如李先生不小心摔伤了小腿右侧,到医院拍片时医生只拍了一个侧位,李先生认为另一侧没有拍到,坚持要加拍另一侧。

X光拍片为什么要等拍X光片的四种常见误区_https://www.jmylbn.com_新闻资讯_第4张

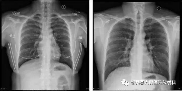
误区四:站着拍和躺着拍效果一样

站着拍和躺着拍出来的效果没有分别,这是种误解。以胸部照片为例,站着拍的目的可以在重力的作用下使心影自然,在大口吸气时可以使肺部扩张,前胸靠片可以减少心脏的模糊、减少心脏的放大率,且可因投照距离的增大使两侧肩胛骨投影在肺野之外并减少胸部的放大率。而躺着拍时就达不到这种效果。因此,该站着拍时,患者应该坚持站着,即便在亲友的搀扶下也要站着或坐着拍。当然,在危及生命时就要灵活变通了。

放射科检查的7项须知

1、空腹前往

有的医学影像检查在做之前不能吃喝,如上消化道钡餐检查,以及PET/CT、DSA检查。此外,怀疑有肠梗阻、肠穿孔、急性胰腺炎的患者及做CT血管成像或怀疑结石存在者,做检查前也要做到不吃不喝。还有的患者检查前非但不能进食,而且还要喝泻药,或从肛门灌肠,把肠内的粪渣排空,这叫肠道准备,避免影响泌尿系统结石的诊断或影响钡剂灌肠的效果。在进行腹部X线平片拍摄时,当肠腔有气体影响诊断或怀疑有粪石时,也得进行肠道准备。

2、除去异物

当你打算进医学影像科进行医学影像检查时,你要做的第一件事就是去除拍摄部位的一切异物,以防止异物伪影阻碍影像诊断。比如,你做胸部X线检查前,就要去除项链、玉佩,以及纽扣、拉链、胸罩,甚至带有油漆字、画的衣物都得去除。同理,拍摄骨盆时要去除项链、纽扣、皮带。如果是进行磁共振检查,这些金属异物不仅能严重影响影像质量,而且检查时金属异物会产生一定的热量而灼伤你的肌肤。因此,做医学影像检查时最好穿棉质服装。衣服以白色为佳,切忌黑色或深灰色,以便医生为你对摄影中心线。

X光拍片为什么要等拍X光片的四种常见误区_https://www.jmylbn.com_新闻资讯_第5张


3、配合医生

在拍摄胸片时,大夫会下达吸气、屏气的指令,你得照做。吸气的目的是为了让肺被气体充盈以形成良好的对比,屏气是为了避免呼吸移动产生移动模糊伪影。而CT、磁共振检查胸、腹部时屏气不仅仅是为了减少移动模糊伪影,更是为了避免因为你无规律呼吸造成扫描层面的改变,以至于遗漏病灶。因此,在做检查时,要听从医生的指令做相关动作。


4、吃饱喝足

另外,也有一些医学影像检查需要吃饱喝足才能进行。例如,腹部的CT检查,喝水的多少以及时间都很有讲究。上腹部CT检查时,就得喝稀释的造影剂300毫升,且喝完后片刻即可进行检查。而对肾脏进行CT检查时,分次喝水的量累计达800毫升,且要等20分钟方可进行检查。做前列腺、膀胱及妇科超声检查时也需要多喝水,且使膀胱充盈后方可进行检查。


5、注意次序

也正是因为有一些检查需要吃饱喝足,而另一些检查又需要空腹进行,因此同时做这些医学影像检查时是有先后顺序的。通常,不吃、不喝、不打针的检查可优先进行,而需要吃、喝甚至打针的就得放在之后进行。否则,检查次序一旦反了,先做了本应在后面做的检查,那本应前面做的检查就得等上一周才能进行。


6、善后工作

医学影像检查完毕并非就大功告成了,你还有不少善后工作需要做。例如,当你检查时注射过对比剂进行X线造影或CT增强扫描及造影后,你必须在检查完毕后,在休息室休息15分钟后方能离开医学影像科,谨防过敏反应的发生。回到家中,需换衣、洗澡,去除放射性污染。另外一点就是多喝茶水,促进代谢和排泄。


7、牢记禁忌

乱做医学影像检查也会造成不良后果,甚至死亡。因此,你要牢记医学影像检查的相关禁忌症。更主要的是,要如实地向医生反映自己的情况,如是否有过敏史,包括打青霉素过敏史或吃海带等含碘量较高的食物时有无过敏史。这会提示医生能否为你进行造影检查。若你装有心脏起搏器或体内有弹片、金属植入物、胰岛素泵等,这些都是磁共振检查的禁忌症。


来源:家庭医生在线





X光拍片为什么要等拍X光片的四种常见误区_https://www.jmylbn.com_新闻资讯_第6张



新蔡县人民医院放射科拥有医学影像室、CT室、磁共振室。经过医院和全体科室人员的共同努力,尤其是近几年高端影像设备和技术的引进,科室已发展成为集医疗、教学、科研于一体的临床平台学科。


拥有64排螺旋CT(低剂量CT)、1.5T、3.0T超导高场MR系统、数字化X线摄影系统(DR)、美国豪洛捷乳腺机、数字移动床旁机、韩国双能骨密度检测仪、互联网智能诊断及自助打印系统等设备;主要开展低剂量CT健康体检及高危人群普查、肺癌筛查、CT介入肺肿瘤穿刺活检、骨密度仪筛查骨质疏松、C型臂骨科手术应用、ICU辅助DR诊断、溶栓前急诊CT辅助诊断等项目。


放射科始终以标准化、规范化、高质量的影像为目标,实现影像清晰度高,成像快速、准确、数字化存储,既能满足“量”的需求且能保持“质”的水准。科室将继续秉承“技术优质,服务优良,关怀细微,流程快捷”的服务理念,为临床提供更多有价值的影像学检查信息,为患者提供满意的诊疗服务。


新蔡县人民医院放射科  

0396-2797383 /3721023

地址:新蔡县开元大道与华星路交叉口新蔡县人民医院

敬请关注“新蔡县人民医院“公众号,详情了解……

 

X光拍片为什么要等拍X光片的四种常见误区_https://www.jmylbn.com_新闻资讯_第7张

X光拍片为什么要等拍X光片的四种常见误区_https://www.jmylbn.com_新闻资讯_第8张