X光拍片为什么要等小朋友看牙为什么要拍片?

新闻资讯2026-04-17 12:33:24


X光拍片为什么要等小朋友看牙为什么要拍片?_https://www.jmylbn.com_新闻资讯_第1张


很多家长不理解小朋友看牙为什么需要拍片,常常有家长会问“医生,我们宝贝就只是看个牙而已,为什么还要拍片啊?”“医生,你不可以不拍片就直接给我家小朋友看牙吗?”“医生,我们不想拍片,拍片有辐射,对孩子不好。”

X光拍片为什么要等小朋友看牙为什么要拍片?_https://www.jmylbn.com_新闻资讯_第2张

现在,有请晶晶来为大家讲讲,为什么看牙需要拍片呢。


首先,我们的牙齿是分为牙冠牙根


X光拍片为什么要等小朋友看牙为什么要拍片?_https://www.jmylbn.com_新闻资讯_第3张


牙冠就是暴露在口腔中,我们能够用肉眼直接看到的部分,牙冠发生龋坏或者缺损等情况时,我们可以直接看到或者用其它工具直接检查到。但有些时候牙冠的病变我们只用肉眼也不能很好地判断严重程度,比如牙发生了龋坏,我们用眼睛可以看到它龋坏了或者已经形成龋洞了,但是我们不能直观地看到它到底坏得有多深、距离牙髓有多远,这个时候通过拍摄X线片就可以看到牙齿龋坏的深度,进而更好地制定治疗方案,可以提前预判治疗时小朋友的感受——是否会疼痛,这样就可以提前帮助小朋友做好心理建设,帮助医生精准治疗,缩短治疗时间,减轻小朋友的不适感。

X光拍片为什么要等小朋友看牙为什么要拍片?_https://www.jmylbn.com_新闻资讯_第4张

而牙齿的牙根是被埋骨头里边,不能通过肉眼看到它(除非拥有透视眼O(∩_∩)O),当小朋友的牙发生龋坏或者受伤的时候,牙根有可能发生病变或者折断的,而这仅靠肉眼是无法看到的,需要借助X线片才可以看到。

X光拍片为什么要等小朋友看牙为什么要拍片?_https://www.jmylbn.com_新闻资讯_第5张
X光拍片为什么要等小朋友看牙为什么要拍片?_https://www.jmylbn.com_新闻资讯_第6张

另外,牙齿中间是“空心”的,牙齿内部“空心”的部分叫做根管系统,分为髓腔和根管,里边装有牙髓(包含血管和神经等),每颗牙的根管系统有差异,以及因为天生或者后天病变的原因,根管系统可能变异,但是这些情况都是用肉眼看不见的,也需要用X线片来帮助观察。

X光拍片为什么要等小朋友看牙为什么要拍片?_https://www.jmylbn.com_新闻资讯_第7张

此外,通过拍片,我们还可以看颌骨内的情况,可以通过X线片看颌骨内继承恒牙的发育情况,以及是否有多生牙、囊肿、颌骨吸收等,而以上这些都是没有拥有透视能力的儿童牙医用肉眼无法看到的。

儿童看牙常用的X线片有哪几种呢?

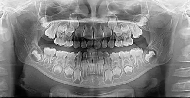
全景片


X光拍片为什么要等小朋友看牙为什么要拍片?_https://www.jmylbn.com_新闻资讯_第8张


以检查全口牙齿为目的,全景片可以观察到全口牙的形态、位置、颌骨等情况,比如乳牙下方是否有恒牙牙胚在发育、牙颌的畸形程度等等。全景片是儿童看牙最常用到的一种X线片。

小牙片


X光拍片为什么要等小朋友看牙为什么要拍片?_https://www.jmylbn.com_新闻资讯_第9张


以检查单颗牙齿为目的,一般图像上可显示2~4颗牙齿,能观察到牙根的情况,所以牙医们要检查单颗牙齿时,往往会选择拍摄小牙片(但是对于小朋友来说,拍摄难度比拍摄全景片大)。

CBCT


X光拍片为什么要等小朋友看牙为什么要拍片?_https://www.jmylbn.com_新闻资讯_第10张


可以展现牙齿及颌骨三维立体结构的影像。可多角度再现颌骨、牙齿内部结构和各组织结构间的关系。

每一种X光片针对的检查目的不同,牙医会根据孩子的具体情况选择需要拍摄的X光片的哟~

拍片的辐射量大吗?

会影响小朋友身体发育吗?

X光拍片为什么要等小朋友看牙为什么要拍片?_https://www.jmylbn.com_新闻资讯_第11张

牙科治疗中X光片对身体来说辐射量相当低,基本可以忽略不计,对小朋友基本没有影响哦,而且,即使在辐射剂量很低的前提下,在拍片是还是会使用铅衣等对小朋友的重要部位进行保护的,所以家长们不用担心拍片对小朋友有害的。     

所以,医生告诉家长“需要拍片来帮助诊断小朋友的牙的情况以及制定治疗方案”并不是因为医生技术不行哦,而是希望能够更好地为小朋友治疗。


李腾艳

职称: 医师

擅长: 儿童牙病、儿童牙外伤、口腔黏膜病、牙体牙髓病的诊治,以及儿童行为管理和儿童口腔健康管理。


X光拍片为什么要等小朋友看牙为什么要拍片?_https://www.jmylbn.com_新闻资讯_第12张


来源:儿童口腔科

编辑:李腾艳、陈顺鑫

校对:邓婕、杨天天

审核:冯燕、古元

X光拍片为什么要等小朋友看牙为什么要拍片?_https://www.jmylbn.com_新闻资讯_第13张
X光拍片为什么要等小朋友看牙为什么要拍片?_https://www.jmylbn.com_新闻资讯_第14张
X光拍片为什么要等小朋友看牙为什么要拍片?_https://www.jmylbn.com_新闻资讯_第15张
X光拍片为什么要等小朋友看牙为什么要拍片?_https://www.jmylbn.com_新闻资讯_第16张
X光拍片为什么要等小朋友看牙为什么要拍片?_https://www.jmylbn.com_新闻资讯_第17张