X光拍片为什么要等床边拍片“想拍就拍”?非必要,不要以床边拍片代替放射科拍片

新闻资讯2026-04-17 12:33:26
X光拍片为什么要等床边拍片“想拍就拍”?非必要,不要以床边拍片代替放射科拍片_https://www.jmylbn.com_新闻资讯_第1张
X光拍片为什么要等床边拍片“想拍就拍”?非必要,不要以床边拍片代替放射科拍片_https://www.jmylbn.com_新闻资讯_第2张


随着医疗技术日益发展,X线摄片技术得以不断提升,不仅可以在固定的影像科机房内进行,还可以推着移动式X线机(即床边拍片)去病房为危重患者直接拍摄。

床边拍片是机房拍片的补充,并不能完全替代机房拍片。但有的患者却“热衷”于床边拍片。

床边拍片究竟能不能“想拍就拍”?让我院医学影像中心曾丽婷护士长、陈杰文主管技师为大家展开说说。



Part.01

了解移动式X射线机

X光拍片为什么要等床边拍片“想拍就拍”?非必要,不要以床边拍片代替放射科拍片_https://www.jmylbn.com_新闻资讯_第3张

1

什么是移动式X射线机?

移动式X射线机,简称床边拍片,随着科学以及影像技术的日益发展,除了有固定在放射科机房内的X射线机,还有可以推着走的X射线机,它能为各病区里的急危重病人及不宜搬动、无法走动的病人提供床边X线检查。


2

移动式X射线机有哪些优势?

我们知道,常规X射线设备的体积较大,均安装在放射科检查室内,而移动式X射线机方便小巧,在紧急情况下可以作为辅助检查手段,能够为患者的诊断及治疗提供极大的便捷。


3

医学上对于移动式X射线机的使用有什么

规定吗?

  • 国家职业卫生标准《放射诊断放射防护要求GBZ 130—2020》中明确要求,移动式和便携式 X 射线设备不应用于常规检查,只有在不能实现或在医学上不允许把受检者送到固定设备进行检查的情况下才考虑使用;

  • 床旁摄影仅适用于:急诊室抢救,手术中必要的放射检查,危重而不能搬动的病人,骨科牵引病人等;

  • 凡属危重病人及检查中可能出现意外的病人,临床医师必须到场监护,与放射技术人员配合完成检查工作。

X光拍片为什么要等床边拍片“想拍就拍”?非必要,不要以床边拍片代替放射科拍片_https://www.jmylbn.com_新闻资讯_第4张

所以,床边拍片不是患者“想拍就拍”的。而且,床边拍片与放射科X线摄片完全没有区别吗?

陈杰文:

当然不是。首先,移动式X线机的技术参数一般较低,如电流量小,受电源波动影响大,图像质量较常规拍片差。其次,移动式X射线机注重轻巧、便于移动,没有配置附属设施,适用的检查部位有较大局限性,并不是任何部位的检查都可以用移动式X射线机来完成,最常用于患者的胸部摄影,站立位胸片和站立位腹部平片在床边摄片就难以完成。

X光拍片为什么要等床边拍片“想拍就拍”?非必要,不要以床边拍片代替放射科拍片_https://www.jmylbn.com_新闻资讯_第4张



“而且,众所周知,X线检查有辐射损害,所以放射科机房的墙壁、门窗都是按要求进行辐射防护处理的,而普通病房并无这些防护措施,床边拍片时患者和操作者都将接受更多的辐射剂量。”陈杰文补充说。

X光拍片为什么要等床边拍片“想拍就拍”?非必要,不要以床边拍片代替放射科拍片_https://www.jmylbn.com_新闻资讯_第6张
X光拍片为什么要等床边拍片“想拍就拍”?非必要,不要以床边拍片代替放射科拍片_https://www.jmylbn.com_新闻资讯_第7张

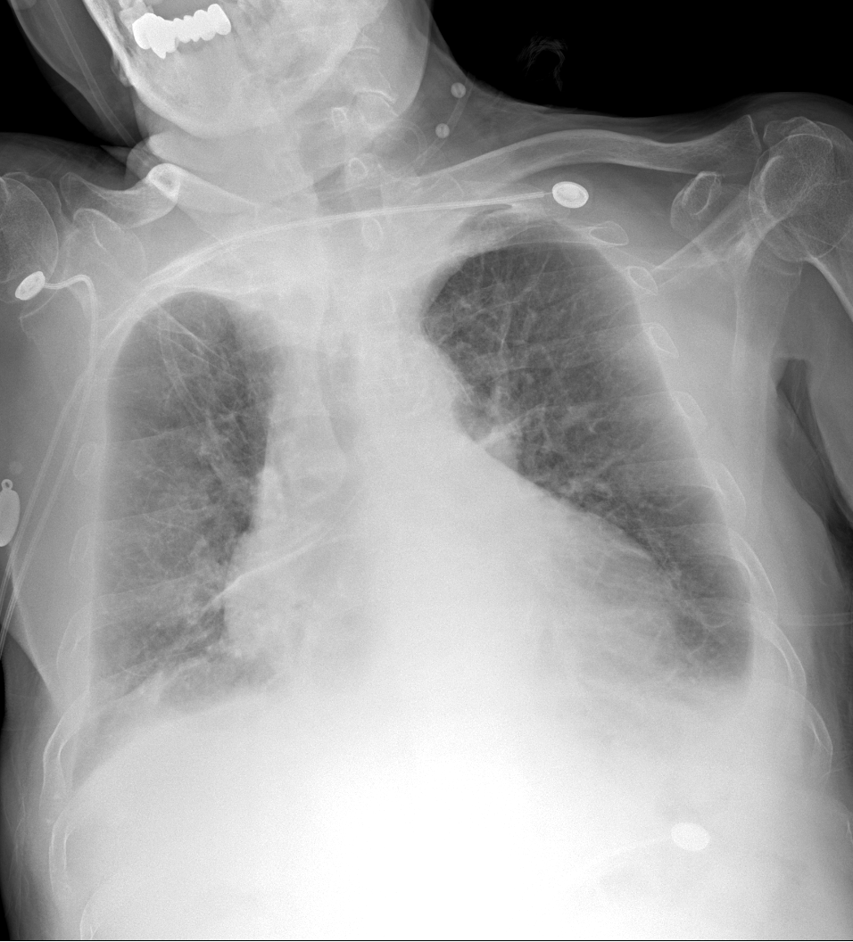
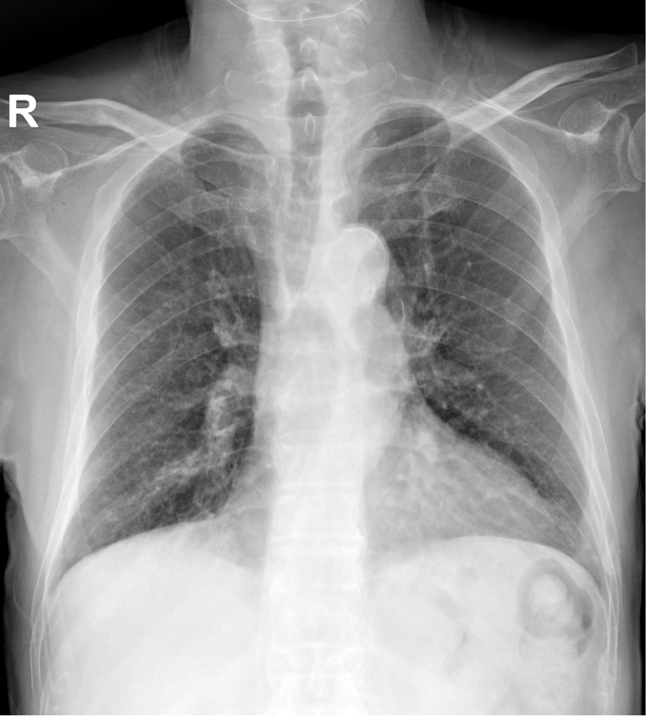
以上为同一位患者x光片。左图为床边拍片,右图为放射科固定机房设备拍摄的胸片,两图的清晰度及对病变的显示有区别。



X光拍片为什么要等床边拍片“想拍就拍”?非必要,不要以床边拍片代替放射科拍片_https://www.jmylbn.com_新闻资讯_第4张

那么,我们要害怕床边拍片吗?床边拍片产生的辐射很“厉害”吗?

曾丽婷:

  • 移动式X射线机移动过程中或停放时,不会产生辐射,只有在曝光瞬间(不到1秒的时间内)才有X线发出;而且,被检者照一次胸片的辐射剂量,差不多等于正常生活三天所接受的来自于自然界的辐射。

  • 当病房里有其他患者做床旁拍片时,也不用害怕。国家标准中要求“应对毗邻床位(2m范围内)受检者采取防护措施”,也就是说,床边拍片时,2米以外就是安全区域了!  

X光拍片为什么要等床边拍片“想拍就拍”?非必要,不要以床边拍片代替放射科拍片_https://www.jmylbn.com_新闻资讯_第4张


“所以,无需害怕床边拍片!但千万不能觉得去放射科太麻烦,任性要求床边拍片,应由临床医生决定是否进行床边拍片。”曾丽婷说。


供稿:医学影像中心

X光拍片为什么要等床边拍片“想拍就拍”?非必要,不要以床边拍片代替放射科拍片_https://www.jmylbn.com_新闻资讯_第10张

END