造影导丝是什么请看:这是心脏支架真实的样子

新闻资讯2026-04-24 09:03:30

心脏支架(Stent)又称冠状动脉支架,是心脏介入手术中常用的医疗器械,具有疏通动脉血管的作用。心脏支架最早出现在20世纪80年代,经历了金属支架、镀膜支架、可溶性支架的研制历程,主要材料为不锈钢、镍钛合金或钴铬合金。

造影导丝是什么请看:这是心脏支架真实的样子_https://www.jmylbn.com_新闻资讯_第1张


支架实物

造影导丝是什么请看:这是心脏支架真实的样子_https://www.jmylbn.com_新闻资讯_第2张


支架实物

造影导丝是什么请看:这是心脏支架真实的样子_https://www.jmylbn.com_新闻资讯_第3张


支架实物

造影导丝是什么请看:这是心脏支架真实的样子_https://www.jmylbn.com_新闻资讯_第4张


支架植入过程

1.消毒、局部麻醉

造影导丝是什么请看:这是心脏支架真实的样子_https://www.jmylbn.com_新闻资讯_第5张


冠脉支架植入路径多是选择右手桡动脉,手术前需要对手臂进行全面的消毒处理,然后铺巾,保证手术台面处于无菌状态;

造影导丝是什么请看:这是心脏支架真实的样子_https://www.jmylbn.com_新闻资讯_第6张


注入适量麻醉剂,进行局部麻醉。

2.穿刺

造影导丝是什么请看:这是心脏支架真实的样子_https://www.jmylbn.com_新闻资讯_第7张


找准穿刺位置,先用破皮刀开个小口,然后使用穿刺针穿刺;

造影导丝是什么请看:这是心脏支架真实的样子_https://www.jmylbn.com_新闻资讯_第8张


见回血后,穿刺成功,送入穿刺导丝。

3.建立通道

造影导丝是什么请看:这是心脏支架真实的样子_https://www.jmylbn.com_新闻资讯_第9张


拔出穿刺针,沿着穿刺导丝,置入鞘管(包括内鞘与外鞘);之后拔出穿刺导丝及内鞘,留外鞘在血管,为后续导丝及导管的进入建立通道。

4.开始造影

造影导丝是什么请看:这是心脏支架真实的样子_https://www.jmylbn.com_新闻资讯_第10张


将造影导丝及造影导管通过外鞘送进血管,这里的导丝不是一般的金属丝,而是可以由医生操作进行灵活弯曲和转向的导丝,穿越复杂的血管路径,从桡动脉逆行到大血管。导管则能顺着导丝的路径在血管中蜿蜒穿梭,直到冠脉口;

造影导丝是什么请看:这是心脏支架真实的样子_https://www.jmylbn.com_新闻资讯_第11张


造影导管到达冠脉口后,连接造影导管与三联三通,三联三通分别连接压力传感器、肝素盐水(用于抗凝)及造影剂(用于造影);

造影导丝是什么请看:这是心脏支架真实的样子_https://www.jmylbn.com_新闻资讯_第12张


使用环柄注射器推入造影剂,通过X光透视可在电脑屏幕上显示血管形状;

造影导丝是什么请看:这是心脏支架真实的样子_https://www.jmylbn.com_新闻资讯_第13张


在一路抵达目的地的过程中,医生需要通过X光透视来掌握情况,通过导管推入造影剂,这种特殊的液体可以在X光下清楚的显示血管粗细及走向,从而找到闭塞病变部位,也就是常说的导致血管堵塞的“罪犯血管”。

5.球囊扩张

造影导丝是什么请看:这是心脏支架真实的样子_https://www.jmylbn.com_新闻资讯_第14张


造影完成,确定罪犯血管后,拔出造影导丝及造影导管,送入导引导管及导引导丝。导引导管与造影导管的主要区别是腔大,便于球囊与支架的进入;

造影导丝是什么请看:这是心脏支架真实的样子_https://www.jmylbn.com_新闻资讯_第15张


上图为刚拆封的球囊尚未张开,中间是空的,需要沿着导引导丝送入病变血管位置;

造影导丝是什么请看:这是心脏支架真实的样子_https://www.jmylbn.com_新闻资讯_第16张


球囊到达预定位置后,医生使用压力泵为球囊加压;

造影导丝是什么请看:这是心脏支架真实的样子_https://www.jmylbn.com_新闻资讯_第17张


右图为加压后的球囊,变得充盈。左图为使用后,撤出来的球囊(球囊和导丝都是一次性使用,出于安全考虑,避免交叉感染,不能重复使用);

以上过程,对医生的经验和手法要求非常高,确保球囊撑开得恰到好处。

6.植入支架

造影导丝是什么请看:这是心脏支架真实的样子_https://www.jmylbn.com_新闻资讯_第18张


通过导引导丝送入输送系统(球囊+支架),上图为电脑制作图,显示球囊预扩后,血管内的斑块被挤压紧贴血管内壁,球囊带支架可以顺利通过。输送系统到达预定位置后,医生使用压力泵加压,撑开支架;

造影导丝是什么请看:这是心脏支架真实的样子_https://www.jmylbn.com_新闻资讯_第19张


被球囊撑开的支架,形状呈网状;

造影导丝是什么请看:这是心脏支架真实的样子_https://www.jmylbn.com_新闻资讯_第20张


三张图片,左图展现了球囊带支架进入病变位置;中图展示加压后球囊扩张,支架被撑开;右图为撤出球囊和导丝后,支架留在血管内;

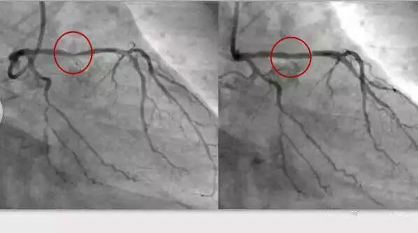
造影导丝是什么请看:这是心脏支架真实的样子_https://www.jmylbn.com_新闻资讯_第5张


电脑截图,红色区域为狭窄的血管放入支架后变粗,使得血流正常通过。近年来,为了避免支架术后再次狭窄和梗阻,新一代的支架表面有一层药物涂层,大大减少了再次狭窄的发生率。

7.切口包扎

造影导丝是什么请看:这是心脏支架真实的样子_https://www.jmylbn.com_新闻资讯_第22张


造影导丝是什么请看:这是心脏支架真实的样子_https://www.jmylbn.com_新闻资讯_第23张


清理干净手臂周围的血迹;

造影导丝是什么请看:这是心脏支架真实的样子_https://www.jmylbn.com_新闻资讯_第24张


拔出鞘管,用纱布加压;

造影导丝是什么请看:这是心脏支架真实的样子_https://www.jmylbn.com_新闻资讯_第25张


放置止血压迫器;

造影导丝是什么请看:这是心脏支架真实的样子_https://www.jmylbn.com_新闻资讯_第26张


固定完成。

以上是冠脉支架植入的主要过程,看起来并不复杂,甚至相对于传统的外科手术来说更简单。目前,国内地市级以上的医院均能成功开展支架置入手术,部分县级医院也在逐步开展,使得大量心肌梗死患者赢得了手术时间,为冠心病患者减轻了痛苦。

图文来自网络,旨在文化传播,尊重原创,如有侵权,请告知删除。

往期热点

中国十大山脉分别是?具体的位置?

解密为什么五粮液可以用透明玻璃瓶,茅台酒却不用?

古代的“诰命夫人”是什么意思?具体有什么作用?

为什么厉害的中医名家都是“算命”高手?

十个生活冷知识,啤酒瓶盖一定要有21个锯齿?

盘点2019年一些流行词语

户口本出现这“四个字”,你将与公务员无缘,信用卡也办不了

东北女人、山东女人、上海女人、江浙女人、你会更喜欢哪一个?

习近平检阅驻港部队

先有鸡还是先有蛋?6.1亿年前化石给出答案:先有蛋

解开“扎带”原来如此简单,用手一碰这地方,1秒轻松打开

男人跟女人聊天脸红经典话

东方的人体和西方有什么不同呢?

江苏各地城市面积比较(2)

江苏各地城市面积比较(1)

30强:全国重名最多的姓名

中国1980年-2018年人口出生情况

你知道那些情侣间不为人知的冷知识么?

2019年10月各省高铁里程

酒的说明书:一杯敬往事,三杯敬人生,愿君不复醒,一醉解千愁

原来府、宅、家、舍、庐、寓的涵义各不同,不可混用

“吹牛逼”一词有什么来历?

安卓系统曝漏洞!有人可能正在用你的手机秘密拍照

江苏地区人文地图汇总

关于历史的冷知识

男女之间为什么会相互吸引?

揭秘西藏一妻多夫的家庭:怎样同床共枕?

山东各城市二十大姓氏排名

二零二零年春联稿供诸君选用

▶第三代身份证要来了,太强大了

俗语:夫人死百将临门,将军死一卒不至,两句话道尽人性的现实

看看这江苏、山东两省有钱人都住在哪些城市

你买的奢侈品,有可能是假的

中国有多大?地图投影骗了你,我国一城市向西飞到欧洲非洲,向东还没有出国境

全国各地城市海拔高度

造影导丝是什么请看:这是心脏支架真实的样子_https://www.jmylbn.com_新闻资讯_第27张