造影导丝是什么珍藏 冠脉造影从流程到诊断,基础必备!

新闻资讯2026-04-24 09:03:21





 造影导丝是什么珍藏 冠脉造影从流程到诊断,基础必备!_https://www.jmylbn.com_新闻资讯_第1张  各类心电资源大集合

造影导丝是什么珍藏 冠脉造影从流程到诊断,基础必备!_https://www.jmylbn.com_新闻资讯_第2张


冠心病发病率逐年升高,介入手术数量近年来也呈上升趋势,虽然支架降价带来一定影响,但是介入仍然是急性心梗的主流治疗手段,冠脉造影作为介入基础,无论是介入医生还是临床检查需要,都是必须要掌握的。

造影导丝是什么珍藏 冠脉造影从流程到诊断,基础必备!_https://www.jmylbn.com_新闻资讯_第3张

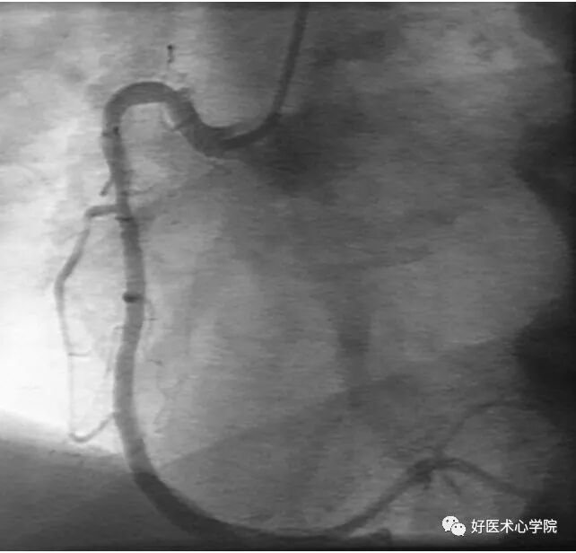
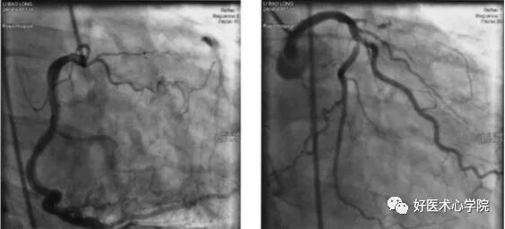
冠状动脉局部解剖

1. 冠状动脉开口与主动脉

造影导丝是什么珍藏 冠脉造影从流程到诊断,基础必备!_https://www.jmylbn.com_新闻资讯_第4张

冠状动脉开口于主动脉根部的冠状动脉窦,分为左冠窦、右冠窦和无冠窦。造影时,导管想要到达冠状动脉窦均需经过升主动脉,而想要到达升主动脉,无论从桡动脉还是股动脉途径入路,则需经过主动脉弓。主动脉弓分支有三——头臂干、左颈总动脉、左锁骨下动脉。如为桡动脉入路,通过头臂干或左锁骨下动脉进入;股动脉入路,则于降主动脉逆行到达主动脉弓。

故病人升主动脉或主动脉弓异常则影响导管到达。


2. 冠状动脉切口

造影导丝是什么珍藏 冠脉造影从流程到诊断,基础必备!_https://www.jmylbn.com_新闻资讯_第5张


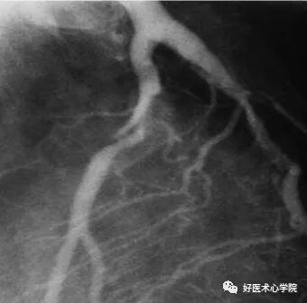
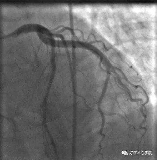
3. 冠状动脉正面观

造影导丝是什么珍藏 冠脉造影从流程到诊断,基础必备!_https://www.jmylbn.com_新闻资讯_第6张

前降支及回旋支从左主干发出后很快分支,前降支走行于室间沟,回旋支走行于左房室沟,右冠仅有一个主分支,从右冠开口后走行于右房室沟。


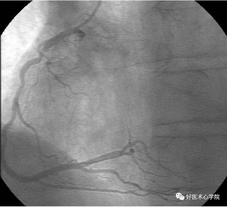
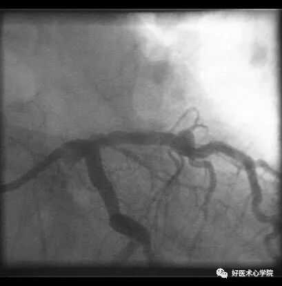
4.冠状动脉后面观(膈面)

造影导丝是什么珍藏 冠脉造影从流程到诊断,基础必备!_https://www.jmylbn.com_新闻资讯_第7张

膈面观主要有两个血管分布,一为回旋支分支,从左房室沟过来发出钝缘支支配左室侧壁;右冠从右房室沟过来发出后降支及左室后支到达左室侧壁。

所以左室侧壁有两个血管供血,如果病人发生下壁心肌梗死,则有两种可能——回旋支闭塞或右冠闭塞。


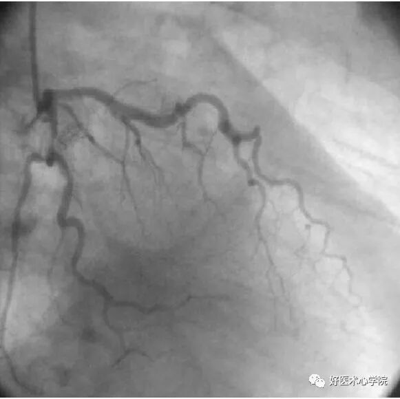
5. 冠状动脉及主要分支

造影导丝是什么珍藏 冠脉造影从流程到诊断,基础必备!_https://www.jmylbn.com_新闻资讯_第8张


6. 冠状动脉

造影导丝是什么珍藏 冠脉造影从流程到诊断,基础必备!_https://www.jmylbn.com_新闻资讯_第9张


7. 冠状动脉开口

造影导丝是什么珍藏 冠脉造影从流程到诊断,基础必备!_https://www.jmylbn.com_新闻资讯_第10张


造影导丝是什么珍藏 冠脉造影从流程到诊断,基础必备!_https://www.jmylbn.com_新闻资讯_第11张

冠脉造影流程

1. 血管造影机的组成

造影导丝是什么珍藏 冠脉造影从流程到诊断,基础必备!_https://www.jmylbn.com_新闻资讯_第12张


2. 造影剂

造影剂是一种诊断用药,最主要的成分是碘,碘的特点是不透X线。

造影剂被注射到动脉或静脉中,会很快分布于血管系统,但不会在体内代谢,必须通过泌尿系统排出体外。

① 离子型:如泛影葡胺、碘他拉葡胺、碘克沙酸等。离子型造影剂的副反应发生率高,耐受性差。现已很少应用。

② 非离子型:如威视派克、欧乃派克,优维显,碘必乐等。水溶性好,弥散力强,具有低渗透压、低化学毒性、低粘度和吸收快等优点。从而增强了组织对造影剂的耐受性,很少发生严重副反应。

对高危患者应使用低量、非离子型造影剂。


3. 冠状动脉造影导管

造影导丝是什么珍藏 冠脉造影从流程到诊断,基础必备!_https://www.jmylbn.com_新闻资讯_第13张

根据患者血管情况选择不同造影导管。


4. 操作流程

(1)准备

右臂外展45°,放于支撑板上,充分暴露穿刺点。

造影导丝是什么珍藏 冠脉造影从流程到诊断,基础必备!_https://www.jmylbn.com_新闻资讯_第14张


自指尖到肘关节消毒,铺盖洞巾。

造影导丝是什么珍藏 冠脉造影从流程到诊断,基础必备!_https://www.jmylbn.com_新闻资讯_第15张


整理手术台:桡动脉穿刺包、弯盘、造影导丝、造影导管、三联三通,输液器(2个)、测压导管、注射器、肝素盐水盘、硝酸甘油杯、冲洗盆、两袋普通生理盐水、纱布两包。

造影导丝是什么珍藏 冠脉造影从流程到诊断,基础必备!_https://www.jmylbn.com_新闻资讯_第16张


针管抽取利多卡因、硝酸甘油和肝素,心电监护的连接,配置肝素盐水预冲造影导管。导丝穿入造影导管备用,然后连接三联三通。

造影导丝是什么珍藏 冠脉造影从流程到诊断,基础必备!_https://www.jmylbn.com_新闻资讯_第17张


造影导丝是什么珍藏 冠脉造影从流程到诊断,基础必备!_https://www.jmylbn.com_新闻资讯_第18张

造影导丝是什么珍藏 冠脉造影从流程到诊断,基础必备!_https://www.jmylbn.com_新闻资讯_第19张

Terumo桡动脉穿刺套装


(2)穿刺

穿刺点选择第二腕横纹处,三指定位法,表皮浸润麻醉。

造影导丝是什么珍藏 冠脉造影从流程到诊断,基础必备!_https://www.jmylbn.com_新闻资讯_第20张


动脉搏动最强点,用指腹来感觉,指腹的中点,即穿刺点,与皮肤呈30°~45°进针

造影导丝是什么珍藏 冠脉造影从流程到诊断,基础必备!_https://www.jmylbn.com_新闻资讯_第21张


进针后,穿刺套管针将会有回血。

造影导丝是什么珍藏 冠脉造影从流程到诊断,基础必备!_https://www.jmylbn.com_新闻资讯_第22张


拔出针芯。

造影导丝是什么珍藏 冠脉造影从流程到诊断,基础必备!_https://www.jmylbn.com_新闻资讯_第23张


保留套管。

造影导丝是什么珍藏 冠脉造影从流程到诊断,基础必备!_https://www.jmylbn.com_新闻资讯_第24张


右手持导丝,左手缓慢退针。

造影导丝是什么珍藏 冠脉造影从流程到诊断,基础必备!_https://www.jmylbn.com_新闻资讯_第25张


见回血(喷血)后迅速送入导丝。

造影导丝是什么珍藏 冠脉造影从流程到诊断,基础必备!_https://www.jmylbn.com_新闻资讯_第26张


体外剩余5~10cm左右,刀片破皮,以便鞘管送入。

造影导丝是什么珍藏 冠脉造影从流程到诊断,基础必备!_https://www.jmylbn.com_新闻资讯_第27张


送入鞘管,导丝尾端必须露出鞘管尾端,以免导丝脱落入体内 。

造影导丝是什么珍藏 冠脉造影从流程到诊断,基础必备!_https://www.jmylbn.com_新闻资讯_第28张


送入后连同导丝一起拔出针芯,注射硝酸甘油+肝素或“鸡尾酒”,穿刺成功。 

造影导丝是什么珍藏 冠脉造影从流程到诊断,基础必备!_https://www.jmylbn.com_新闻资讯_第29张


(3)造影

原则:导丝永远在导管的前方。导丝不在前方时,导管会失去方向而在血管内乱撞,从而引起各种并发症。

造影导管头端塞入鞘管头,送入导丝,外露导丝10~15cm,踩线透视,小步快走送入造影导管,进入锁骨下动脉时,嘱病人深吸气并憋住(吸气可使纵膈拉直),导丝进入升主动脉。

造影导丝是什么珍藏 冠脉造影从流程到诊断,基础必备!_https://www.jmylbn.com_新闻资讯_第30张


下降至窦底,使导丝盘成U型时,导管跟进,固定导丝,导管进入窦底。

造影导丝是什么珍藏 冠脉造影从流程到诊断,基础必备!_https://www.jmylbn.com_新闻资讯_第31张


回撤导丝,导管进入冠脉前缓慢后撤,进入后可快速后撤,直至撤出体外,连接三联三通,回抽见血,正式开始造影。

造影导丝是什么珍藏 冠脉造影从流程到诊断,基础必备!_https://www.jmylbn.com_新闻资讯_第32张


左冠:进入,测压!踩线---出图像,缓慢注入---迅速注入---停止---排空—停止踩线。六个标准体位。

观察压力:压力是否下降,当有左主干病变时会有压力嵌顿,此时不能贸贸然注入造影剂,会出现风险。

造影导丝是什么珍藏 冠脉造影从流程到诊断,基础必备!_https://www.jmylbn.com_新闻资讯_第33张


右冠:导管L型头面向屏幕(使L成I)送入导管至窦底,一般在窦底后会自动回呈L型,此时顺时针旋转导管,使之旋转为I状时,轻微旋转即外提进入右冠;

造影导丝是什么珍藏 冠脉造影从流程到诊断,基础必备!_https://www.jmylbn.com_新闻资讯_第34张


右冠:左前斜45°及正头位造影。造影完成,透视下轻提导管,使之脱离右冠口,轻柔抽出导管至体外。结束。 

造影导丝是什么珍藏 冠脉造影从流程到诊断,基础必备!_https://www.jmylbn.com_新闻资讯_第35张


(4)穿刺点处置

造影导丝是什么珍藏 冠脉造影从流程到诊断,基础必备!_https://www.jmylbn.com_新闻资讯_第36张


造影导丝是什么珍藏 冠脉造影从流程到诊断,基础必备!_https://www.jmylbn.com_新闻资讯_第37张

冠脉造影的常用投照体位  

以增强器的位置来定义位置。

正位 (AP):增强器直接对着胸骨;

左、右侧位 (Lateral):增强器分别位于受检者左侧或右侧,其X线与正位垂直;

左、右前斜位 (LAO、RAO):增强器分别位于受检者左侧或右侧且斜向观测心脏;

头、足位 (Cranial、Caudal):增强器分别位于受检者的头部或足部;

左前斜+足位(脾位、蜘蛛位,LAO+CAU):从受检者脾区观测心脏;

右前斜+足位(肝位,RAO+CAU):从受检者肝区观测心脏;

左前斜+头位(左肩位,LAO+CRA):从受检者左肩观测心脏;

右前斜+头位(右肩位,RAO+CRA):从受检者右肩观测心脏;


造影导丝是什么珍藏 冠脉造影从流程到诊断,基础必备!_https://www.jmylbn.com_新闻资讯_第38张


常用投照角度(左) 

造影导丝是什么珍藏 冠脉造影从流程到诊断,基础必备!_https://www.jmylbn.com_新闻资讯_第39张


常用投照角度(右)

造影导丝是什么珍藏 冠脉造影从流程到诊断,基础必备!_https://www.jmylbn.com_新闻资讯_第40张


更加具体的造影体位图解,请点击查看→高清3D图片,轻松理解冠脉造影体位!

造影导丝是什么珍藏 冠脉造影从流程到诊断,基础必备!_https://www.jmylbn.com_新闻资讯_第41张


左冠造影体位

造影导丝是什么珍藏 冠脉造影从流程到诊断,基础必备!_https://www.jmylbn.com_新闻资讯_第42张

造影导丝是什么珍藏 冠脉造影从流程到诊断,基础必备!_https://www.jmylbn.com_新闻资讯_第43张


右冠造影体位

造影导丝是什么珍藏 冠脉造影从流程到诊断,基础必备!_https://www.jmylbn.com_新闻资讯_第44张


造影导丝是什么珍藏 冠脉造影从流程到诊断,基础必备!_https://www.jmylbn.com_新闻资讯_第45张

常用投照角度分析


造影导丝是什么珍藏 冠脉造影从流程到诊断,基础必备!_https://www.jmylbn.com_新闻资讯_第46张

后前位:可以显示左冠大致轮廓;

缺点:左主干、前降支、回旋支分叉处显示不清。


造影导丝是什么珍藏 冠脉造影从流程到诊断,基础必备!_https://www.jmylbn.com_新闻资讯_第47张

左侧位:可以显示全程前降支和对角支。

此体位可以明确前降支及对角支。


造影导丝是什么珍藏 冠脉造影从流程到诊断,基础必备!_https://www.jmylbn.com_新闻资讯_第48张

左肩位:非常清楚的显示前降支中远段和对角支中远段,及前降支和对角支分叉处。


造影导丝是什么珍藏 冠脉造影从流程到诊断,基础必备!_https://www.jmylbn.com_新闻资讯_第49张

蜘蛛位:可以将上述位置不能看清的分叉看清楚。


造影导丝是什么珍藏 冠脉造影从流程到诊断,基础必备!_https://www.jmylbn.com_新闻资讯_第50张

肝位:可以清楚看到回旋支全程、前降支近中段以及左主干分叉。


造影导丝是什么珍藏 冠脉造影从流程到诊断,基础必备!_https://www.jmylbn.com_新闻资讯_第51张

右肩位:清楚显示前降支中远段、回旋支远段,方便观察中远段病变。


造影导丝是什么珍藏 冠脉造影从流程到诊断,基础必备!_https://www.jmylbn.com_新闻资讯_第52张

左前斜位:观察右冠全长,但难以看到远段分叉。

此时可以加足位可以观察。

造影导丝是什么珍藏 冠脉造影从流程到诊断,基础必备!_https://www.jmylbn.com_新闻资讯_第53张

△左前斜位下的右冠


造影导丝是什么珍藏 冠脉造影从流程到诊断,基础必备!_https://www.jmylbn.com_新闻资讯_第54张

右前斜位:观察右冠近中段的体位。


造影导丝是什么珍藏 冠脉造影从流程到诊断,基础必备!_https://www.jmylbn.com_新闻资讯_第55张

辨认造影投照角度

讲了这么多,尤其是对于新手拿到片子还是不知道如何辨别投照角度,该怎么办呢?我们有以下五个实用方法来辨别——

  • 肋骨的走行角度如何?

  • 脊柱在哪边?

  • 指引导管指向何方?

  • 血管是否具有 “卷须”?

  • 右冠是 C 型还是 L型?


1. 肋骨的走行角度如何?

通过肋骨的走行角度进行判断:右手拇指收拢,掌心面对自己 ,拿到自己面前,再去看片子

造影导丝是什么珍藏 冠脉造影从流程到诊断,基础必备!_https://www.jmylbn.com_新闻资讯_第56张

LAO位↑

  • 如果肋骨类似右手的角度——RAO 位

  • 如果肋骨类似左手的角度——LAO位


2. 脊柱在哪里?

通过脊柱与血管的位置进行判断:

造影导丝是什么珍藏 冠脉造影从流程到诊断,基础必备!_https://www.jmylbn.com_新闻资讯_第57张

LAO位↑

  • 脊柱在左侧——RAO

  • 脊柱在右侧——LAO


3. 指引导管指向何方?

通过指引导管的指向进行判断:

造影导丝是什么珍藏 冠脉造影从流程到诊断,基础必备!_https://www.jmylbn.com_新闻资讯_第58张

左冠↑

  • 指引导管指向患者的右侧,一般就是右冠

  • 指引导管指向患者的左侧,一般就是左冠


4. 血管是否有“卷须”?

前降支与对角支难以分别时,从解剖图可以看出,前降支会发出很多间隔支支配室间隔,而对角支是没有的。

造影导丝是什么珍藏 冠脉造影从流程到诊断,基础必备!_https://www.jmylbn.com_新闻资讯_第59张

左冠的右前斜位↑

左前降支水平走行于心脏上方,而左回旋支走行方向与左前降支垂直。在此位左前降支和对角支可能重叠。为确定是否为左前降支可以寻找间隔支(类似“卷须”或“梳齿”,或者找出指向心尖的血管。


造影导丝是什么珍藏 冠脉造影从流程到诊断,基础必备!_https://www.jmylbn.com_新闻资讯_第60张

左冠的左前斜位↑

左前降支向左侧走行, 对角支位于中下方, 而左回旋支位于右上方,然后向下走行。


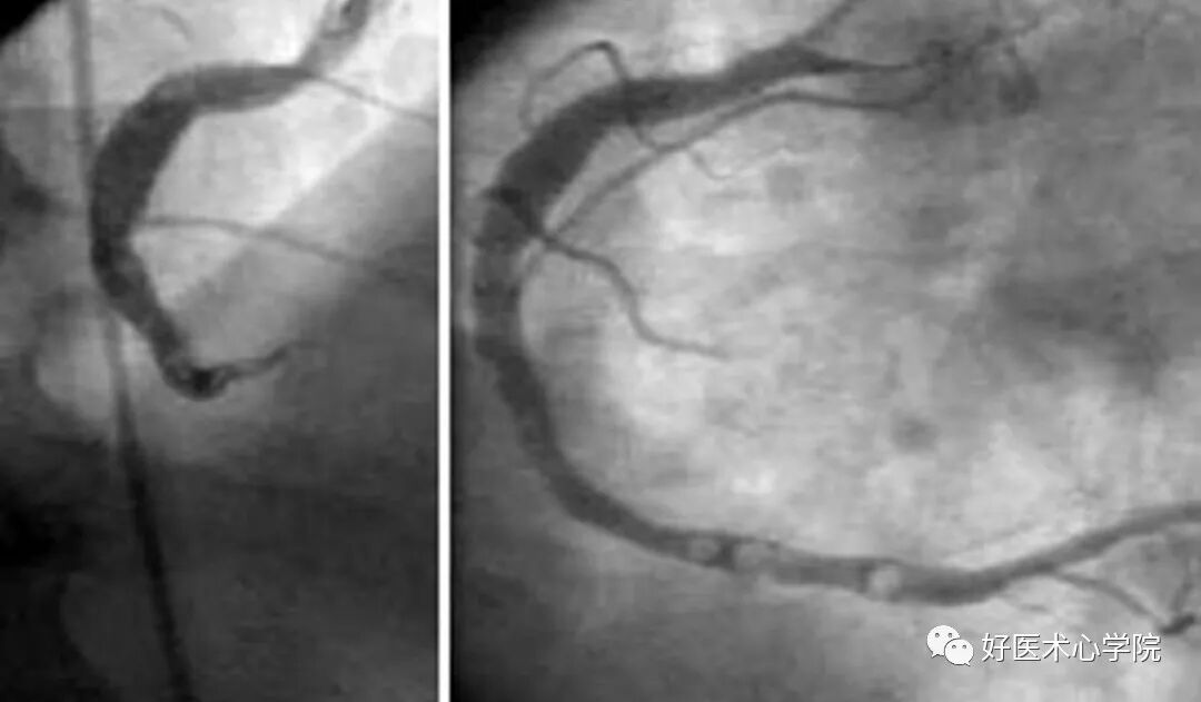
5. 右冠是 “C” 或 “L”型?

这是观察右冠的方法:

  • 右冠的右前斜位——右冠似字母 “L”

造影导丝是什么珍藏 冠脉造影从流程到诊断,基础必备!_https://www.jmylbn.com_新闻资讯_第61张


  • 冠的左前斜位——右冠似字母 “C”

造影导丝是什么珍藏 冠脉造影从流程到诊断,基础必备!_https://www.jmylbn.com_新闻资讯_第62张


造影导丝是什么珍藏 冠脉造影从流程到诊断,基础必备!_https://www.jmylbn.com_新闻资讯_第63张

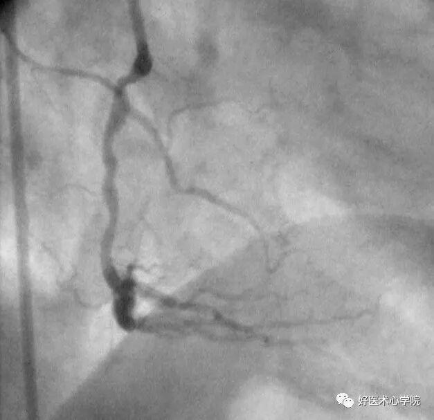
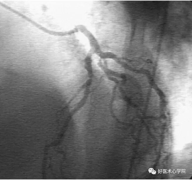
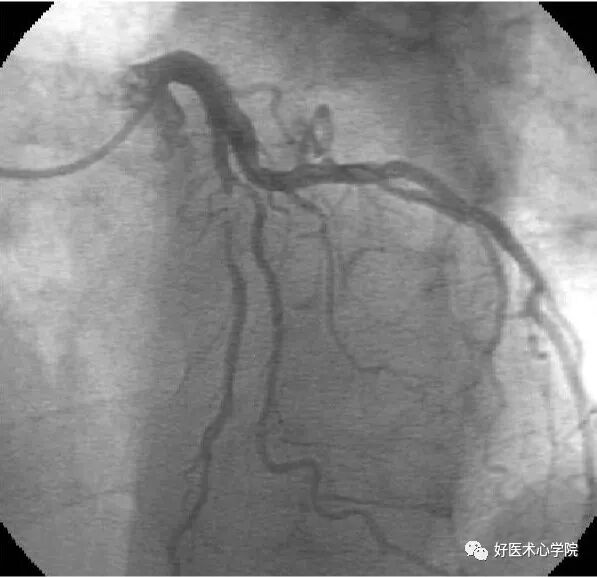
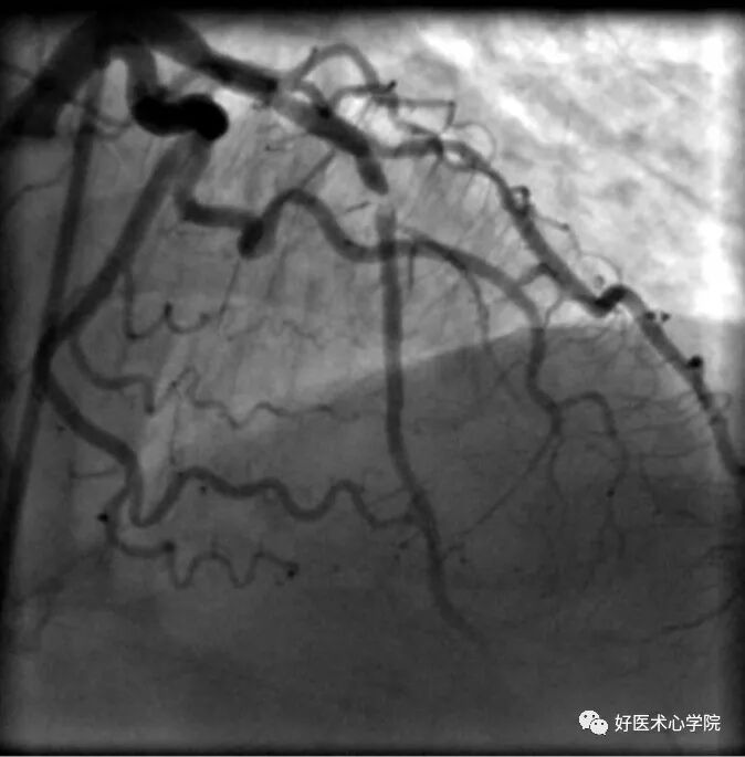
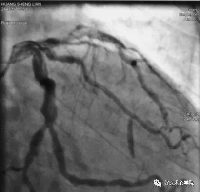
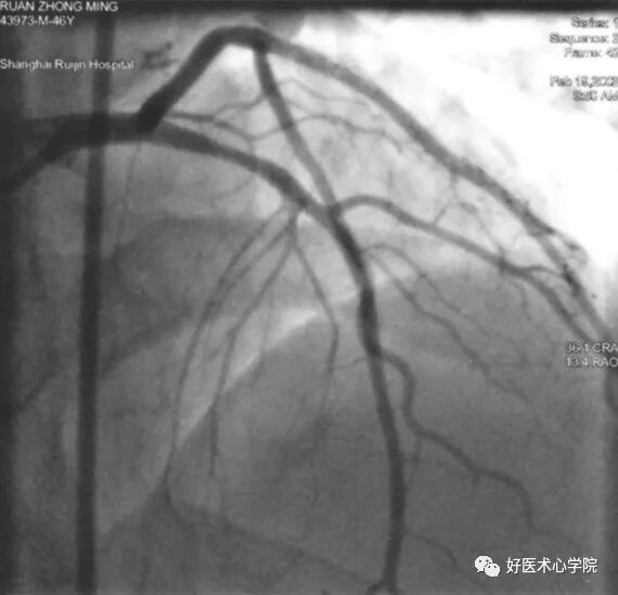
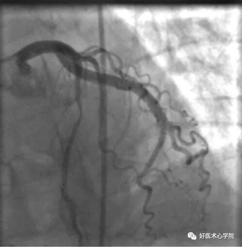
分支辨别

造影导丝是什么珍藏 冠脉造影从流程到诊断,基础必备!_https://www.jmylbn.com_新闻资讯_第64张

造影导丝是什么珍藏 冠脉造影从流程到诊断,基础必备!_https://www.jmylbn.com_新闻资讯_第65张

造影导丝是什么珍藏 冠脉造影从流程到诊断,基础必备!_https://www.jmylbn.com_新闻资讯_第66张

造影导丝是什么珍藏 冠脉造影从流程到诊断,基础必备!_https://www.jmylbn.com_新闻资讯_第67张

造影导丝是什么珍藏 冠脉造影从流程到诊断,基础必备!_https://www.jmylbn.com_新闻资讯_第68张

造影导丝是什么珍藏 冠脉造影从流程到诊断,基础必备!_https://www.jmylbn.com_新闻资讯_第69张

造影导丝是什么珍藏 冠脉造影从流程到诊断,基础必备!_https://www.jmylbn.com_新闻资讯_第70张

造影导丝是什么珍藏 冠脉造影从流程到诊断,基础必备!_https://www.jmylbn.com_新闻资讯_第71张


造影导丝是什么珍藏 冠脉造影从流程到诊断,基础必备!_https://www.jmylbn.com_新闻资讯_第72张

进阶技巧

造影导丝是什么珍藏 冠脉造影从流程到诊断,基础必备!_https://www.jmylbn.com_新闻资讯_第73张

造影导丝是什么珍藏 冠脉造影从流程到诊断,基础必备!_https://www.jmylbn.com_新闻资讯_第74张

造影导丝是什么珍藏 冠脉造影从流程到诊断,基础必备!_https://www.jmylbn.com_新闻资讯_第75张

造影导丝是什么珍藏 冠脉造影从流程到诊断,基础必备!_https://www.jmylbn.com_新闻资讯_第76张

造影导丝是什么珍藏 冠脉造影从流程到诊断,基础必备!_https://www.jmylbn.com_新闻资讯_第77张

造影导丝是什么珍藏 冠脉造影从流程到诊断,基础必备!_https://www.jmylbn.com_新闻资讯_第78张


造影导丝是什么珍藏 冠脉造影从流程到诊断,基础必备!_https://www.jmylbn.com_新闻资讯_第79张

影像评估简述

1. 狭窄(stenosis)


(1)狭窄分类

向心性狭窄:

冠状动脉粥样斑块以管腔中心线为中心均匀向中心缩窄,不同投照角度狭窄程度相同。少见,70%造影提示向心性病变IVUS证明为偏心性狭窄


偏心性狭窄:

冠状动脉粥样斑块以管腔中心线为中心不均匀向中心缩窄,或在中心线一侧缩窄;不同投照角度狭窄程度不相同,合理选择投照角度、以最重狭窄为准,已证明的偏心病变IVUS中仅63%显示为偏心性斑块,IVUS和造影评价病变偏心性的一致性仅为53%

造影导丝是什么珍藏 冠脉造影从流程到诊断,基础必备!_https://www.jmylbn.com_新闻资讯_第80张


局限性狭窄

定义:长度<10毫米的狭窄

特点:最常见


管状狭窄

长度10—20毫米之间的狭窄,发生率仅次于局限性狭窄


弥漫性狭窄

长度> 20毫米的狭窄,多合并高龄和糖尿病、常伴明显钙化、对血流动力学影响明显


管腔不规则

定义:狭窄程度<25%的弥漫性狭窄,造影提示长段管壁不规则或不光滑

特点:易痉挛、血栓、急性进展


管腔闭塞

定义:冠状动脉管腔完全闭塞,血流中断,远端无造影剂充盈

特点:分支难发现、多于近中段,多于分叉处

造影导丝是什么珍藏 冠脉造影从流程到诊断,基础必备!_https://www.jmylbn.com_新闻资讯_第81张


(2)冠脉狭窄程度的测定

计算机辅助的定量分析法(QCA):

以造影导管为参考(通常选用6F造影导管,1F=0.33mm),通过密度法由计算机辅助测定参考血管直径、病变节段直径狭窄百分数和病变长度,推算面积狭窄百分数。

造影导丝是什么珍藏 冠脉造影从流程到诊断,基础必备!_https://www.jmylbn.com_新闻资讯_第82张


目测法:

以造影导管为参考,估测参考血管直径,病变节段直径狭窄程度和病变长度。

造影导丝是什么珍藏 冠脉造影从流程到诊断,基础必备!_https://www.jmylbn.com_新闻资讯_第83张


2. 冠脉内血栓(Thrombus)

管腔内一个或数个造影剂包裹的椭圆形、条索状、不规则低密度影象或充盈缺损,交叉体位投照时均显示管腔模糊,有造影剂残留,急性心梗4小时87%、12-24小时57%存在。

造影导丝是什么珍藏 冠脉造影从流程到诊断,基础必备!_https://www.jmylbn.com_新闻资讯_第84张

造影导丝是什么珍藏 冠脉造影从流程到诊断,基础必备!_https://www.jmylbn.com_新闻资讯_第85张


3. 钙化(calcification)

钙质在管壁内或粥样斑块内沉积,显示密度不均的高密度影象。病理检查提示79%冠心病患者钙化,影象提示14-58%钙化影响介入结果。

造影导丝是什么珍藏 冠脉造影从流程到诊断,基础必备!_https://www.jmylbn.com_新闻资讯_第86张


4. 冠脉痉挛(Coronary Spasm)

通常由器械诱发所致。 表现为表面光滑的狭窄节段,且远段冠脉节段无病变。

造影导丝是什么珍藏 冠脉造影从流程到诊断,基础必备!_https://www.jmylbn.com_新闻资讯_第87张

造影导丝是什么珍藏 冠脉造影从流程到诊断,基础必备!_https://www.jmylbn.com_新闻资讯_第88张


5. 心肌桥(Myocardial Bridging)

心肌覆盖冠脉所致,仅在收缩期出现某一节段冠状动脉狭窄,舒张期则恢复正常。提示该冠状动脉节段受心肌压迫。

造影导丝是什么珍藏 冠脉造影从流程到诊断,基础必备!_https://www.jmylbn.com_新闻资讯_第89张

造影导丝是什么珍藏 冠脉造影从流程到诊断,基础必备!_https://www.jmylbn.com_新闻资讯_第90张


6. 冠状动脉瘤样扩张(Coronary Artery Ectasia)

指冠脉直径≥7mm或超过邻近冠状动脉直径50%的局部或弥漫性扩张。发生原因为先天性或动脉粥样硬化,冠状动脉血管内膜及弹力纤维层破坏,管壁向外扩张。

造影导丝是什么珍藏 冠脉造影从流程到诊断,基础必备!_https://www.jmylbn.com_新闻资讯_第91张

造影导丝是什么珍藏 冠脉造影从流程到诊断,基础必备!_https://www.jmylbn.com_新闻资讯_第92张


7. 夹层( Dissection)

内膜或斑块自发或外力引起的动脉内膜损伤,造成冠状动脉内膜撕裂,并可伴有局部血栓形成。提示线形充盈缺损。介入手术发生率12.9%,少数引起急性心梗。

造影导丝是什么珍藏 冠脉造影从流程到诊断,基础必备!_https://www.jmylbn.com_新闻资讯_第93张

冠状动脉造影特点:

①冠脉腔内可见因内膜分离而形成的薄而透亮的线状影,该线状影可平行、斜行于管腔或呈螺旋形。

②线状影两侧均有造影剂充盈,真腔受压变窄或无改变,假腔内造影剂可排空延迟或滞留。

③冠脉管腔内可见随血流摆动的血管内膜撕裂片。

④冠脉管腔不规则伴节段性增宽。

造影导丝是什么珍藏 冠脉造影从流程到诊断,基础必备!_https://www.jmylbn.com_新闻资讯_第94张


8. 气栓(aeroembolism)

气体在冠脉内滞留形成栓子,造影剂包裹的边缘清楚的圆形透亮区。

大量气栓可引发室颤乃至死亡。

造影导丝是什么珍藏 冠脉造影从流程到诊断,基础必备!_https://www.jmylbn.com_新闻资讯_第95张


9. 侧支循环(Collateral Circulation)

当冠状动脉严重狭窄或阻塞时,近端灌注压明显下降,刺激侧支循环形成,血管远端被侧支循环逆向供血而显影。

造影导丝是什么珍藏 冠脉造影从流程到诊断,基础必备!_https://www.jmylbn.com_新闻资讯_第96张

侧枝:右冠脉→左前降支


10. 冠脉血流TIMI分级(TIMI Flow Grade)

造影导丝是什么珍藏 冠脉造影从流程到诊断,基础必备!_https://www.jmylbn.com_新闻资讯_第97张


11. 冠状动脉病变分型

(ACC/AHA Classification of Coronary Lesions)

造影导丝是什么珍藏 冠脉造影从流程到诊断,基础必备!_https://www.jmylbn.com_新闻资讯_第98张


12. SYNTAX积分(SYNTAX Score)

SYNTAX研究是一项:针对左主干病变和/或三支血管病变的“全员纳入”研究。比较CABG和PCI的MACE发生率。在此项研究中,SYNTAX积分被用来描述冠脉病变的特点。


该积分综合考虑了冠脉病变的数目、功能影响、部位和复杂性。SYNTAX积分越高说明病变越复杂,治疗难度可能更大,预后可能也就更差。

造影导丝是什么珍藏 冠脉造影从流程到诊断,基础必备!_https://www.jmylbn.com_新闻资讯_第99张


SYNTAX积分计算法则(SYNTAX Score Algorithm)

SYNTAX评分需要综合考虑以下12个问题:

Q1:  Dominance   左右优势

Q2:  Number of lesions    病变数量

Q3:  Segments involved per lesion  病变节段 

Q4:  Total occlusion    完全闭塞

Q5:  Trifurcation           三分叉

Q6:   Bifurcation           分叉

Q7:   Aorta ostial         主动脉开口病变

Q8:  Severe tortuosity       严重弯曲

Q9:   Lesion length             长度

Q10: Heavy calcification   严重钙化

Q11: Thrombus                   血栓

Q12: Diffusely diseased and small vessels

                                         弥散病变和小血管

造影导丝是什么珍藏 冠脉造影从流程到诊断,基础必备!_https://www.jmylbn.com_新闻资讯_第100张


SYNTAX积分计算公式(SYNTAX Score Formula)

造影导丝是什么珍藏 冠脉造影从流程到诊断,基础必备!_https://www.jmylbn.com_新闻资讯_第101张


SYNTAX积分算分器(SYNTAX Score Calculator)

SYNTAX积分可由计算机程序根据公式对一系列问题进行计算而得到。

造影导丝是什么珍藏 冠脉造影从流程到诊断,基础必备!_https://www.jmylbn.com_新闻资讯_第102张


造影导丝是什么珍藏 冠脉造影从流程到诊断,基础必备!_https://www.jmylbn.com_新闻资讯_第103张

可以从  http://www.syntaxscore.com  下载最新版本算分器


13. 冠脉节段编号及权重Coronary Artery Segments and Weight Factor)

造影导丝是什么珍藏 冠脉造影从流程到诊断,基础必备!_https://www.jmylbn.com_新闻资讯_第104张

本文根据黄东老师在【好医术】主讲《冠状动脉造影诊断》公开课部分内容整理而成。


END
造影导丝是什么珍藏 冠脉造影从流程到诊断,基础必备!_https://www.jmylbn.com_新闻资讯_第105张

造影导丝是什么珍藏 冠脉造影从流程到诊断,基础必备!_https://www.jmylbn.com_新闻资讯_第106张造影导丝是什么珍藏 冠脉造影从流程到诊断,基础必备!_https://www.jmylbn.com_新闻资讯_第107张造影导丝是什么珍藏 冠脉造影从流程到诊断,基础必备!_https://www.jmylbn.com_新闻资讯_第108张