胎儿mt是什么检查什么疼吗【文献学习/规范指南】ISUOG实践指南(2023更新): 11-14周胎儿超声检查(全文)

新闻资讯2026-04-24 07:22:27

胎儿mt是什么检查什么疼吗【文献学习/规范指南】ISUOG实践指南(2023更新): 11-14周胎儿超声检查(全文)_https://www.jmylbn.com_新闻资讯_第1张

ISUOG实践指南(更新):11-14周胎儿超声检查

临床标准委员会(Clinical Standards Committee)

       国际妇产科超声学会(ISUOG)是以推进安全的临床实践、提供高质量的医学教学、推动与妇女健康相关的影像学诊断研究为宗旨的科学组织。ISUOG临床标准委员会(CSC)的工作范畴包括制订实践指南、发布共识声明,为医疗工作者提供基于业内共识的影像学诊断方法。这些指南和共识是ISUOG在其发表时确认的最优方案。虽然ISUOG会尽力确保发布内容的准确性,但学会及其雇员或会员均不会为CSC所发表的不准确或具误导性的资料、意见或陈述所造成的后果承担任何责任。ISUOG CSC所发表的文件并不是要为医疗水平订立法律标准,因为不同地区依据自身的不同情况,在诠释和实践指南的内容时会有所不同。已核准的指南可以在ISUOG (info@isuog.org ) 同意后自由分发。



         在妊娠11+0至14+0周时进行常规的孕早期超声检查,对于确认生存能力和多胎性、准确的孕龄测定、非整倍体筛查、主要结构异常的识别和早产先兆子痫筛查具有重要价值。本文件旨在为在11+0至14+0周进行或计划进行妊娠扫描的医护人员提供指导。

     附录1给出了ISUOG指南中使用的建议等级和证据等级的详细信息。



What is the purpose of a fifirst-trimester ultrasound scan?

早孕期超声检查的目的是什么?

    通常来说,胎儿超声的主要目的是提供准确的信息,优化产前检查,保障母亲和胎儿尽可能获取最好的妊娠结果。在妊娠早期,重要的是确认生存能力,准确确定胎龄,确定胎儿数量,在多胎妊娠的情况下,评估绒毛膜和羊膜。在早孕期末,扫描还提供了检测主要胎儿异常的机会,并且在提供孕早期非整倍体筛查的医疗系统中,可以测量颈部半透明(NT)厚度。然而,许多主要畸形可能会在怀孕后期发展,或者即使使用适当的设备和最有经验的手也可能无法检测到。超声还可以有机会去发现胎儿大体的异常,并在提供早孕期非整倍体筛查的医疗系统内,测量颈部透明层厚度(NT)。然而,我们知道,许多胎儿结构异常会在妊娠后期形成,即使使用适当的设备和最有经验的手法也可能无法检测到。


When should a fifirst-trimester ultrasound scan be performed?

早孕期超声检查应该何时进行?

    如果孕早期未进行超声检查,建议在孕龄预计为11+0至14+0周时进行第一次超声检查,因为这提供了实现上述目标的机会,即确认生存能力,准确确定孕龄,确定存活胎儿的数量,如果需要,评估胎儿解剖结构和非整倍体风险。

    在超声检查开始之前,要有医生为孕妇/孕妇夫妇提供咨询,告诉他们早孕期超声的可能益处以及局限性。(GOOD PRACTICEPOINT,良好的实践 要点)

  

Who should perform the first-trimester ultrasound can?

早孕期超声检查应该由谁来操作?

     进行常规产科超声扫描的人应该具有孕期超声诊断的专科培训。(GOOD PRACTICEPOINT,良好的实践 要点)

为使常规超声检查达到最优化的结果,建议进行早孕期超声的个人应该符合以下条件:

  • 已经完成了超声诊断的使用和相关安全问题的培训;

  • 参加继续医学教育活动;

  • 遵循既定的适当会诊及转诊路径来处理 可疑或异常的发现。

  • 定期参加既定的质量控制体系。


What ultrasonographic equipment should be used?

应该使用什么超声设备?

建议使用定期维护和保养且至少具有以下功能的设备:


  • 实时灰价二维(2D)超声;

  • 彩色(能量)和频谱多普勒;

  • M模式;

  • 经腹超声探头;

  • 经阴道超声探头;

  • 可调节声能输出及输出显示标准;

  • 有图像冻结和放大功能;

  • 电子卡尺;

  • 打印/存储图像的能力。


How should the scan be documented?

应如何记录检查?

      检查报告应该以电子和/或纸张报告的形式被记录下来(例子见附件),这样的报告应该按照本地操作手册在当地被保存,使孕妇和转诊机构可以获得。(GOOD PRACTICEPOINT,良好的实践 要点)

Is prenatal ultrasonography safe during the fifirst trimester?

早孕期产前超声检查是否安全?

     由于其有限的声能输出,没有迹象表明使用B型或M型产前超声检查可能在早孕期有害。

    然而,应限制扫描时间,并根据ALARA(尽可能低)原则(GOOD PRACTICEPOINT,良好的实践 要点),使用尽可能低的功率输出来获取诊断信息。

      然而,多普勒超声,与更大的能量输出相关,因此有更大的潜在生物效应,特别是应用于一个小的感兴趣的区域 的时候,尤其是在孕11周前的胚胎期。

     从11+0到14+0周,频普多普勒、彩色血流成像、能量多普勒成像和其他多普勒超声模式可常规用于某些临床适应症,例如筛查非整倍体和心脏异常。

    进行多普勒超声时,显示的热指数(TI)应≤1.0,并且暴露时间应尽可能短(通常不超过5–10分钟)。

    只要胚胎/胎儿位于多普勒超声波束之外,在妊娠早期的任何时候对母体子宫动脉(UtA)进行检查都不可能对胎儿安全产生任何影响。


What if the examination cannot be performed in accordance with these Guidelines?

若不能完全按照这些指南进行早孕期超声检查,应该怎么办?

 这些指南代表了妊娠早期超声检查的国际水准,但必须考虑当地情况、协议和医疗实践。

  如果无法按照本指南完成检查,建议记录原因。

在大多数情况下,重复扫描或将病例转介给另一名医疗保健从业者是合适的。这应尽快完成,以尽量减少不必要的患者焦虑和实现初始检查预期目标的任何相关延迟(GOOD PRACTICEPOINT)(良好的实践 要点)


What should be done in case of multiple pregnancy?

如果是多胎妊娠,应该如何处理?

     确定绒毛膜和羊膜的测定对于多胎妊娠的护理、检测和管理至关重要。绒毛膜性应在妊娠早期确定,因为此时的特征最可靠。

      这些一旦确定,进一步的产前检查,包括超声检查的时间和频率,应根据现有的医疗资源和ISUOG或当地的指导方针来计划。(GOOD PRACTICEPOINT)(良好的实践 要点)



生存能力评估(Assessment of viability)

  • 在早期妊娠中,生存能力的定义是通过鉴定胎儿的心跳,这是使用超声检查最容易实现的。

  • 胎儿的心脏活动可以用二维B型超声可以识别胎儿的心脏活动,用频谱多普勒可以听到胎儿的心跳。

  • 心率应该被记录下来,可以用M-模式或频谱多普勒测量,最好在若干个周期内进行评估。(GOOD PRACTICEPOINT,良好的实践 要点)。

  • 心脏活动通常在孕5-6周内可见;心率随孕龄增加至孕10周(平均171 bpm),然后下降至孕14+0周(平均156 bpm)。

  • 胎儿心动过速或心动过缓可能指示非整倍体或与结构性心脏异常相关

  • 如果胎儿心率超出正常范围,应在稍后的检查中重新评估。


宫内妊娠/子宫完整性的确认Confirmation of intrauterine pregnancy/uterine integrity)

  •   一旦证明有生存能力,重要的是确认妊娠的宫内性质。宫内孕囊应完全被子宫肌层所包围。最好的评估方法是进行覆盖整个子宫的扫查(GOOD PRACTICEPOINT,良好的实践 要点)

  • 当妊娠位于剖腹产疤痕(见 "产科并发症风险评估")或与残角子宫有关时,子宫的完整性可能被破坏。


胎儿生物测量(Fetal biometry)


  • 有专门的图表用于评估早孕期的胎儿生物测量。

  • 对头部、腹部和股骨生物测量的系统测量能够记录重要解剖标志的存在,测量中的异常可以揭示严重病理的早期表现。

  • 然而,要使用的临界值和随访程序必须是 根据当地协议决定判断,以避免出现过多的假阳性结果或随访。


头臀长测量(CRL)

  •  头臀长度(CRL)应作为常规孕早期检查的一部分进行测量,无论是经腹还是经阴道(图1-a)。

  • 这种测量应该 应按照标准切面进行。


         --胎儿在屏幕上的方向是水平的, 胎头和胎臀之间的测量线与超声束的约为成90度角。

       --胎儿应处于自然状态(即既不弯曲也不过度伸展)。

      --图像应该充分放大,充满超声屏幕的大部分宽度;

      --卡尺应放在头冠和臀部的端点,需要清晰地观察;

  • CRL的测量应用于估计所有情况下的胎龄,体外受精妊娠除外;

  • 当进行多次CRL测量时,应根据45至84 mm之间的最佳CRL测量值评估胎龄;

  • 已经发表了许多不同的图表,报告的胎龄测量值存在微小但显著的差异;虽然旧的图表仍被广泛使用,但建议使用最近的国际规范性图表,因为这些图表 考虑到图像和机器质量的改进,旨在避免可能的统计偏差;

  • CRL(而不是计算的胎龄)应作为妊娠参考,以确定NT、UtA多普勒脉动指数(PI)和无生化标志物β-人绒毛膜促性腺激素(β-hCG)、妊娠相关血浆蛋白-a(PAPP-a)和胎盘生长因子(PlGF)的测量值与正常范围的关系;

  • 受18三体和三倍体影响的胎儿CRL降低,在有明显结构异常的胎儿中,应注意不要通过改变日期来 "正常化 "研究结果。如果CRL小于早期超声测量的预期值,则应特别注意。


胎儿mt是什么检查什么疼吗【文献学习/规范指南】ISUOG实践指南(2023更新): 11-14周胎儿超声检查(全文)_https://www.jmylbn.com_新闻资讯_第2张

图1 11+0至14+0周胎儿超声检查可获得的测量值。(a)用于评估胎龄 测量胎儿的头臀长度(CRL),以评估胎龄。在测量CRL时,卡尺的位置应对应于从胎儿头顶到臀部的最长直线。 


双顶径和头围的测量


   双顶径(BPD)和头围是指 胎儿头部的最大对称轴位测量(图1-b)

已经描述了两种测量BPD的技术,将卡尺从外到内(前缘)或从外到外,垂直于中线镰。应根据用于建立诺模图的方法进行测量。


      根据CRL和/或腹围(AC)或腹横径调整BPD测量值(TAD)可能有助于早期筛查脊髓脊膜膨出和前脑无裂畸形。

胎儿mt是什么检查什么疼吗【文献学习/规范指南】ISUOG实践指南(2023更新): 11-14周胎儿超声检查(全文)_https://www.jmylbn.com_新闻资讯_第3张

图1 11+0至14+0周胎儿超声检查可获得的测量值。(b) 丘脑水平的胎儿头部横断切面,显示双顶径(BPD)的测量值,卡尺从外到外放置,和头围。在这个平面上可以看到中线大脑镰和丘脑。在一些国家指南中,BPD测量是通过测量外径到内径来实现的。


腹围的测量(AC)

AC的测量是在胎儿腹部的横断切面上进行的。在胃部可见的位置(图1-c)。在皮肤线的外表面。

它可以直接用椭圆游标测量,也可以通过垂直的线性测量计算,通常是前后腹部直径(APAD)和TAD。

为了测量APAD,卡尺被放置在身体轮廓的外部边界上,从背部(覆盖脊柱的皮肤)到腹部前壁。

为了测量TAD,卡尺被放置在身体轮廓的外边缘,在腹部最宽的地方。

AC可使用以下公式计算:AC π(APAD TAD)/2 1.57 (APAD TAD).

 进行这种测量的一个优点是,用于记录它的图像还显示了胃的位置。

胎儿mt是什么检查什么疼吗【文献学习/规范指南】ISUOG实践指南(2023更新): 11-14周胎儿超声检查(全文)_https://www.jmylbn.com_新闻资讯_第4张

图1 11+0至14+0周胎儿超声检查可获得的测量值。(c) 胎儿上腹部的横断切面。显示腹围的测量。注意腹腔气泡和脐静脉的存在,脊柱横切面在三点钟位置, 每侧可见一根肋骨。在这个平面上不应该看到胎儿的肾脏。

股骨测量(FL)

股骨长度在股骨长轴平面内测量(图1d)。卡尺放置在骨化骨干的两端,清晰可见。

进行这种测量的一个优点是,它可以确保超声医生检查下肢的发育情况,这可能会早期发现严重骨骼异常的存在。

胎儿mt是什么检查什么疼吗【文献学习/规范指南】ISUOG实践指南(2023更新): 11-14周胎儿超声检查(全文)_https://www.jmylbn.com_新闻资讯_第5张

图1 11+0至14+0周胎儿超声检查可获得的测量值。(d股骨长度测量。整个股骨干是可见的。卡尺放置在两端。应测量可见的最长骨干。

胎儿解剖结构评估(Assessment of fetal anatomy)

      在早孕11+0至14+0周时,通过对胎儿解剖的详细系统检查,可以检测到相当大比例的结构异常。

只有在以下情况下,才能可靠地检测到这些异常:

  • 结构检查包括在常规评估方案中;

  • 分配足够的时间进行详细的结构检查。


    成功早期发现胎儿结构异常还取决于可用于筛查的设备标准、超声医生和超声学家的技能以及人群中异常的患病率。

      一些结构异常的超声特征最近才被描述出来,目前还不清楚这些标志物在人群中的筛查效果如何。

      因此,我们描述了两个级别的筛查,包括在妊娠11+0至14+0周时进行基本结构调查的“最低要求”清单(表1),以及在妊娠早期对胎儿进行全面详细检查的更高级的“最佳实践”(表2)。目前,描述早期识别胎儿结构异常的健康经济效益的证据有限。

11+0至14+0周的胎儿最低要求基本检查:

11+0至14+0周扫描提供了评估胎儿解剖的机会,不应局限于评估胎儿CRL和NT。虽然无细胞(cf)DNA提供了筛选常见非整倍体的高效手段,但该测试无法识别结构缺陷,这可能与更广泛的罕见染色体异常有关。结构性异常的鉴定可能支持采用侵入性方法而不是非侵入性方法来测试。一些严重的结构异常可能几乎在所有的病例中都能检测到,它们的存在或不存在应作为医疗机构的最低标准来评估所有接受11+0至14+0周检查的患者。(GOOD PRACTICEPOINT,良好的实践 要点)

表1 11+0至14+0周妊娠检查的最低标准


解剖部位 超声检查的最低要求

一般

头部和大脑






颈部



心脏


腹部






手足(四肢)


胎盘


生物测量




确认单胎妊娠

头部横断切面:

    -颅骨钙化

   -颅骨轮廓/形状(无骨缺损)

   -由半球间镰分隔的两半大脑

   -脉络丛几乎填满后三分之二的侧脑室(蝴蝶征)

头部和颈部的纵切面:

   -确认颈部半透明厚度是否小于95百分位

心脏横断四腔心切面:

   -胸内心脏有规律的节律

横断切面:

  -胃可见

  -腹壁完整

横断或纵切面图:

  -膀胱可见且未扩张

 

想象出四条肢体,每条都有三个节段

确定外观正常,无囊性结构


纵切面:

 -头-臀部长度和颈部半透明厚度

横断切面:

-双顶径

相应的图像如图1和图2所示。


11+0至14+0周超声胎儿解剖的系统评估


大多数结构性畸形发生在被传统的(基于病史的)筛查方法归类为 "低风险 "的孕妇身上。因此,有效检测结构性异常有赖于对整个人群的常规检查,而不是只对预定的风险群体进行检查。

11+0至14+0周时的正常解剖显示为大多数孕妇提供了早期超声检查的保证。早期发现一个重大异常,可以更早地进行基因诊断,并有更多的时间进行父母咨询和决策。

在11+0至14+0周时,最好使用高分辨率经腹和经阴道探头对胎儿解剖进行详细评估。

  在11+0至14+0周时,最好使用高分辨率经腹和经阴道探头对胎儿解剖进行详细评估。可能需要经阴道和经阴道途径来完成胎儿器官的系统检查,并且需要安排足够的时间进行评估。虽然经阴道检查不是强制性的,但它可以为评估胎儿解剖结构提供更好的图像分辨率,尤其是在体型肥胖、子宫肌瘤和/或子宫后倾的妇女中。在这3周的时间间隔内,胎儿的大小几乎翻倍(CRL,45-84毫米)。通过超声对许多解剖细节的显示最好在妊娠13周左右实现(GOOD PRACTICEPOINT,良好的实践 要点)


几项研究表明,采用包括标准化方案在内的系统检查可显著提高早期妊娠异常的检出率;随着超声医生和超声学家在11+0至14+0周时获得更多的筛查经验,从基于“最低要求”的方案转变为更广泛的“最佳实践”系统检查将允许检测更高比例和更广泛的结构异常。

在11+0至14+0周时详细评估胎儿解剖结构的系统方法应包括以下内容(表2):


表2孕11+0至14+0周时可在详细的胎儿扫描中看到的解剖结构(根据需要,在矢状、横断或冠状面切面中)

解剖部位 可能在详细解剖调查中可显示的结构

一般项目


胎盘





羊水和羊膜

确认单胎妊娠,胎儿、子宫和胎盘概述

  • 大小和质地正常,无囊性外观

  • 与子宫颈和先前子宫剖宫产疤痕相关的位置

  • 脐带插入胎盘


  • 羊水量

  • 生理上羊膜和绒毛膜分离


1.胎儿、胎盘和子宫概况:

(1.1)应评估胎儿概况(图2a):

胎儿mt是什么检查什么疼吗【文献学习/规范指南】ISUOG实践指南(2023更新): 11-14周胎儿超声检查(全文)_https://www.jmylbn.com_新闻资讯_第6张

图2 11+0至14+0周时,可作为详细胎儿超声检查的一部分获得的解剖图。

(a) 孕早期胎儿的中矢面图。在这个平面上可以看到许多结构,包括面部轮廓、鼻骨、后脑和颅内半透明(IT)、颈项半透明、心脏活动、脊柱、腹壁、横膈和膀胱。头部与身体的比例是主观评估的


1.2.评估胎盘:

      (1.2.1)胎盘应该 出现轻微的回声,具有均匀的、均质的 回声纹理,没有小的或大的囊肿或腔隙。(图2b)。

    (1.2.2) 应评估是否存在绒毛膜下血肿。 

     (1.2.3)胎盘与宫颈内口的最终位置的预测,在怀孕早期是很有挑战性的,并且会出现 低位胎盘的假阳性报告。

     (1.2.4)然而。对于以前有剖腹产史的患者。仔细评估胎盘可有助于 早期发现异常的侵入性胎盘。这一点 在 "产科并发症的风险评估 "一节中讨论。

胎儿mt是什么检查什么疼吗【文献学习/规范指南】ISUOG实践指南(2023更新): 11-14周胎儿超声检查(全文)_https://www.jmylbn.com_新闻资讯_第7张

图2 11+0至14+0周时,可作为详细胎儿超声检查的一部分获得的解剖图。

(b) 评估胎盘外观和位置。胎盘呈均质,无囊性外观。此外,如果需要,彩色多普勒可以帮助显示脐带的胎盘附着。

 (1.3)在子宫内, 应进行评估是否存在 肌瘤、羊膜带和粘连的存在或不存在。

2.羊水和羊膜

(2.1)在妊娠早期很少观察到羊水量的变化,因此,与孕中期检查不同,这不能作为异常的提示。

(2.2)羊膜通常被很好地视为胎儿周围的囊,尚未与绒毛膜融合。

  (2.3)当有出血史时,通常会在羊水后间隙发现血块。

(2.4)在多胎妊娠中,应确定并记录绒毛膜和羊膜性(图2c)。

胎儿mt是什么检查什么疼吗【文献学习/规范指南】ISUOG实践指南(2023更新): 11-14周胎儿超声检查(全文)_https://www.jmylbn.com_新闻资讯_第8张

图2 11+0至14+0周时,可作为详细胎儿超声检查的一部分获得的解剖图。

(c)在多胎妊娠中,应通过寻求λ征(如双胎妊娠所示)或T来评估绒毛膜和羊膜。

3.头和大脑:

表2孕11+0至14+0周时可在详细的胎儿扫描中看到的解剖结构(根据需要,在矢状、横断或冠状面切面中)

解剖部位 可能在详细解剖调查中可显示的结构
头部和大脑
  • 颅骨钙化

  • 颅骨轮廓/形状(无骨缺损)

  • 由半球间镰分隔的两半大脑

  • 脉络丛丛几乎填满后三分之二(蝶征)丘脑的侧脑室

  • 脑干

  • 带西尔维乌斯导水管的大脑脚

  • 颅内半透明(第四脑室)

  • 枕大池



(3.1)胎儿头部和中枢神经系统的检查最好使用横断和正中纵切面的组合。

(3.2)横断平面用于显示颅骨骨化和发育中大脑结构的对称性。

(3.3)颅骨骨化应在妊娠11周时可见。

(3.4)大脑区域主要由侧脑室构成,侧脑室看起来很大,其后部三分之二几乎被轻微不对称的回声脉络丛填满(图2d)。


胎儿mt是什么检查什么疼吗【文献学习/规范指南】ISUOG实践指南(2023更新): 11-14周胎儿超声检查(全文)_https://www.jmylbn.com_新闻资讯_第9张

图2 11+0至14+0周时,可作为详细胎儿超声检查的一部分获得的解剖图。

(d)经脑室平面的胎儿头部横断,显示正常的椭圆形头部,胎儿颅骨骨化,半球间镰将胎儿大脑分成两个相对对称的半球,脉络丛几乎填满后三分之二的侧脑室(蝶形征)。

(3.5)大脑半球看起来是对称的,由半球间裂和镰分开。大脑皮层非常薄,最能观察到到它的前部,衬着充满液体的大心室(图2e)

胎儿mt是什么检查什么疼吗【文献学习/规范指南】ISUOG实践指南(2023更新): 11-14周胎儿超声检查(全文)_https://www.jmylbn.com_新闻资讯_第10张

图2 11+0至14+0周时,可作为详细胎儿超声检查的一部分获得的解剖图。

(e)经丘脑平面的胎儿头部横断切面,显示正常的椭圆形头部、胎儿颅骨骨化、半球间镰、丘脑、侧脑室和大脑脚。

(3.6)头部下方的平面显示了两个丘脑和后颅窝区域,其中大脑脚和西尔维乌斯导水管、第四脑室和未来的大池为充液结构(图2f)。

胎儿mt是什么检查什么疼吗【文献学习/规范指南】ISUOG实践指南(2023更新): 11-14周胎儿超声检查(全文)_https://www.jmylbn.com_新闻资讯_第11张

图2 11+0至14+0周时,可作为详细胎儿超声检查的一部分获得的解剖图。

(f) 胎儿头部的横断后颅窝切面,显示丘脑、小脑、第四脑室、脑室导水管和大池。

(3.6)头部/面部的中矢面也可用于评估后颅窝,并可显示颅内半透明(第四脑室)和脑干,作为开放性神经管缺陷和囊性后颅窝畸形的筛查切面(图2g)。

胎儿mt是什么检查什么疼吗【文献学习/规范指南】ISUOG实践指南(2023更新): 11-14周胎儿超声检查(全文)_https://www.jmylbn.com_新闻资讯_第12张

图2 11+0至14+0周时,可作为详细胎儿超声检查的一部分获得的解剖图。

(g) 胎儿头部正中矢状图,显示面部轮廓。在这个平面上可以评估许多结构,包括前额、鼻梁、鼻骨、上颌骨和下颌骨。后颅窝的解剖结构也可以通过丘脑、脑干、IT、脉络丛和大池的显示来检查

4.胎儿面部

表2孕11+0至14+0周时可在详细的胎儿扫描中看到的解剖结构(根据需要,在矢状、横断或冠状面切面中)

解剖部位 可能在详细解剖调查中可显示的结构

面颈部



  • 前额

  • 双眼眶

  • 鼻骨

  • 上颌骨

  • 鼻后三角

  • 上唇

  • 下颌骨

  • 颈项透明层厚度

  • 无颈部囊肿



4.1胎儿面部的显示最好在中矢状面实现,应辅以横断或冠状面检查。

4.2头部和颈部的放大中矢面可以评估面部的几个解剖区域,包括前额、鼻骨、上颌骨、下颌骨和嘴巴(图2g)。

胎儿mt是什么检查什么疼吗【文献学习/规范指南】ISUOG实践指南(2023更新): 11-14周胎儿超声检查(全文)_https://www.jmylbn.com_新闻资讯_第12张

图2 11+0至14+0周时,可作为详细胎儿超声检查的一部分获得的解剖图。

(g) 胎儿头部正中矢状图,显示面部轮廓。在这个平面上可以评估许多结构,包括前额、鼻梁、鼻骨、上颌骨和下颌骨。后颅窝的解剖结构也可以通过丘脑、脑干、IT、脉络丛和大池的显示来检查


4.3提出了不同的面部角度和标记(如上颌间隙、叠加线标记),以评估中矢面视图中是否存在面部裂缝,但这些需要在其他平面中进行确认。

4.4在横断或冠状位切面中,应尝试通过眶间距离和鼻后三角来显示眼睛,以显示上颌骨和下颌骨(图2h和2i)。

胎儿mt是什么检查什么疼吗【文献学习/规范指南】ISUOG实践指南(2023更新): 11-14周胎儿超声检查(全文)_https://www.jmylbn.com_新闻资讯_第14张

胎儿mt是什么检查什么疼吗【文献学习/规范指南】ISUOG实践指南(2023更新): 11-14周胎儿超声检查(全文)_https://www.jmylbn.com_新闻资讯_第15张


图2 11+0至14+0周时,可作为详细胎儿超声检查的一部分获得的解剖图。

(h) 胎儿头部的横断切面视图,显示眼眶和晶状体、上颌突和鼻。

(i) 胎儿面部的斜冠状切面显示眼眶和鼻后三角,包括鼻骨、上颌突和前上颌骨的牙槽嵴。在这个平面上也可以看到下颌间隙。

4.5 50-60%的21三体胎儿的鼻骨“缺失”或发育不全,这可以作为一个额外的标记物,以提高基于超声的筛查效果。

5.颈部

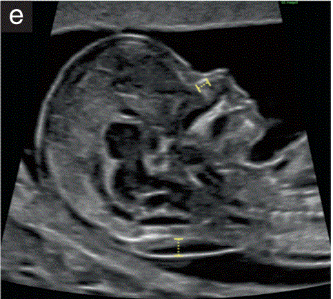
5.1NT的超声评估和测量应是筛查方案的一部分(图1e),与是否用于非整倍体风险评估无关。

5.2NT增加可能是妊娠期罕见非整倍体的一个标志,而cfDNA主要用于筛查更有限范围的常见非整倍体。 

5.3NT的标准化测量方法在本指南的非整倍体部分进行了回顾。

5.4 在颈部两侧可以看到其他孤立的的充满液体的积聚,并与扩张的颈淋巴囊和囊性水囊瘤有关。

5.5高达40%的患有严重心脏异常的胎儿NT增加,并与其他结构和遗传异常以及宫内胎儿死亡风险增加有关

胎儿mt是什么检查什么疼吗【文献学习/规范指南】ISUOG实践指南(2023更新): 11-14周胎儿超声检查(全文)_https://www.jmylbn.com_新闻资讯_第16张

图1 11+0至14+0周胎儿超声检查可获得的测量值。

(e)胎儿面部正中矢状面图,显示颈部半透明和鼻骨测量。

6.胸部和心脏

表2孕11+0至14+0周时可在详细的胎儿扫描中看到的解剖结构(根据需要,在矢状、横断或冠状面切面中)

解剖部位 可能在详细解剖调查中可显示的结构

胸部




心脏



  • 胸壁形状

  • 肺野

  • 隔肌连续性


  • 有规律心律的心脏活动

  • 心脏位置

  • 位置:胸内心脏位置,心脏轴向(30-60◦)

  • 大小:胸腔的三分之一

  • 四室切面,两个不同的心室灰阶和舒张彩色多普勒

  • 左心室流出道灰阶或彩色多普勒切面

  • 灰阶或彩色多普勒上的三血管和气管切面

  • 脉冲波多普勒上无三尖瓣反流/顺行静脉导管a波



5.1胎儿面部的显示最好在中矢状面实现,应辅以横断或冠状面检查。


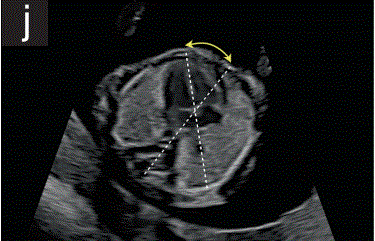
6.1在胎儿四腔平面上评估胸腔、肺和心脏(图2j),在此平面中,评估肋骨、肺、胸部和心脏位置,心脏轴指向左侧(正常轴位于30-60◦)肺部应呈现均匀回声,且应无胸腔积液。

胎儿mt是什么检查什么疼吗【文献学习/规范指南】ISUOG实践指南(2023更新): 11-14周胎儿超声检查(全文)_https://www.jmylbn.com_新闻资讯_第17张

2 11+0至14+0周时,可作为详细胎儿超声检查的一部分获得的解剖图。

(j)胎儿胸腔在心脏四腔切面水平的横断切面,显示胎儿肺、胸腔和胸主动脉及心脏的胸内位置。注意正常的心脏轴(虚线和黄色箭头)和心房和心室的相对对称性。

6.2 在横断、矢状面/旁矢状面或冠状面上评估横膈的连续性,注意胃和肝脏的正常腹内位置。

6.3 通过结合灰阶和彩色多普勒成像,可以更可靠地实现胎儿心脏的早期评估。

6.4 彩色多普勒有助于确认在舒张期存在两个不同的心室,并有助于排除明显的房室瓣反流(图2k)。

胎儿mt是什么检查什么疼吗【文献学习/规范指南】ISUOG实践指南(2023更新): 11-14周胎儿超声检查(全文)_https://www.jmylbn.com_新闻资讯_第18张

2 11+0至14+0周时,可作为详细胎儿超声检查的一部分获得的解剖图。

(k)采用彩色多普勒检查的胎儿心脏四腔切面,显示舒张压流分别从左右心房进入右心室和左心室。

6.5 通过识别左心室流出道和彩色多普勒的三血管和气管切面检查大血管,可显示大血管的存在、数量和大小、它们的解剖关系和血流方向,以及导管和主动脉弓的连续性,能够排除影响大血管的大多数复杂异常(图2l)。

胎儿mt是什么检查什么疼吗【文献学习/规范指南】ISUOG实践指南(2023更新): 11-14周胎儿超声检查(全文)_https://www.jmylbn.com_新闻资讯_第19张

2 11+0至14+0周时,可作为详细胎儿超声检查的一部分获得的解剖图。

(l)采用彩色多普勒观察胎儿心脏的三支血管和气管切面,分别显示主动脉和肺动脉的血流方向,两条血管均指向左侧

6.6 多中心研究表明,除了使用彩色多普勒外,使用多个平面时,心脏异常的检出率更高。

7. 腹部

表2孕11+0至14+0周时可在详细的胎儿扫描中看到的解剖结构(根据需要,在矢状、横断或冠状面切面中)

解剖部位 可能在详细解剖调查中可显示的结构

腹部







  • 胃:左上腹部位置正常

  • 膀胱:通常填充于骨盆(纵向直径< 7 mm)

  • 腹壁:脐带插入完整

  • 与膀胱相邻的两条脐带动脉

  • 肾脏:双侧存在



7.1 腹部内容:

7.1.1胃和膀胱是腹部和骨盆中唯一的充满液体的回声结构。胃在腹部左侧的位置,连同左位心,有助于确定正常的内脏位置(图2m)。

胎儿mt是什么检查什么疼吗【文献学习/规范指南】ISUOG实践指南(2023更新): 11-14周胎儿超声检查(全文)_https://www.jmylbn.com_新闻资讯_第20张

图2 11+0至14+0周时,可作为详细胎儿超声检查的一部分获得的解剖图。

(m)胎儿腹部在胃水平处的横断切面。注意在左象限有充满液体的胃,以及胎儿肝脏和肋骨的正常外观和位置。

7.1.2 胎儿肾脏通常在其预期的脊柱旁位置可见为豆形,轻微回声结构,典型的肾盂中央低回声(图2r)。

胎儿mt是什么检查什么疼吗【文献学习/规范指南】ISUOG实践指南(2023更新): 11-14周胎儿超声检查(全文)_https://www.jmylbn.com_新闻资讯_第21张

(r)胎儿胸腹部冠状面图,双侧胎儿肾脏(轻微回声)、胸椎和脊柱和骨盆骨

图2 11+0至14+0周时,可作为详细胎儿超声检查的一部分获得的解剖图。


7.1.3  到妊娠12周时,胎儿膀胱在下腹部正中可见低回声圆形结构,纵向直径<为7mm(图2p和2q)。

胎儿mt是什么检查什么疼吗【文献学习/规范指南】ISUOG实践指南(2023更新): 11-14周胎儿超声检查(全文)_https://www.jmylbn.com_新闻资讯_第22张

胎儿mt是什么检查什么疼吗【文献学习/规范指南】ISUOG实践指南(2023更新): 11-14周胎儿超声检查(全文)_https://www.jmylbn.com_新闻资讯_第23张


图2 11+0至14+0周时,可作为详细胎儿超声检查的一部分获得的解剖图。

(p)胎儿骨盆的横断切面,显示存在胎儿膀胱。

(q)胎儿腹部矢状面图,显示胎儿膀胱、生殖器结节、膈肌和脊柱。在该胎龄时,对胎儿膀胱的任何测量都应在纵向和矢状面上进行。

7.2 腹壁

7.2.1 12周后应记录脐带的正常插入情况(图2n)。生理性中肠疝出现长达11周,应与脐膨出和腹裂区分。

胎儿mt是什么检查什么疼吗【文献学习/规范指南】ISUOG实践指南(2023更新): 11-14周胎儿超声检查(全文)_https://www.jmylbn.com_新闻资讯_第24张

图2 11+0至14+0周时,可作为详细胎儿超声检查的一部分获得的解剖图。

(n)胎儿腹部横断切面,显示完整的前腹壁和脐带插入部位。

73 脐带

73.1 应注意脐带血管的数量和脐带处的插入情况。

7.3.2 用彩色或能量多普勒对膀胱旁区域进行简要评估,有助于确认两条脐带动脉的存在(图2o)。

胎儿mt是什么检查什么疼吗【文献学习/规范指南】ISUOG实践指南(2023更新): 11-14周胎儿超声检查(全文)_https://www.jmylbn.com_新闻资讯_第25张

图2 11+0至14+0周时,可作为详细胎儿超声检查的一部分获得的解剖图。

(o)彩色多普勒横断切面,显示胎儿膀胱周围有两条脐动脉,从而建立了三条血管脐带,此外,使用彩色多普勒证实了完整的前腹壁。

7.3.3 单脐动脉(SUA)不构成异常,但与先天性异常和胎儿生长受限有关。如果在妊娠早期的扫描中未发现重大异常,当发现SUA时,应注意不要对父母造成焦虑。到目前为止,关于SUA对妊娠结局的潜在影响尚未达成共识。

7.3.4 胎盘脐带插入也可以在这个阶段使用彩色多普勒可靠地评估。

8.脊柱

表2孕11+0至14+0周时可在详细的胎儿扫描中看到的解剖结构(根据需要,在矢状、横断或冠状面切面中)

解剖部位 可能在详细解剖调查中可显示的结构

脊柱


手足



  • 脊柱的规则形状和连续性


  • 上肢有三节段,可自由活动

  • 下肢有三节段,可自由活动



8.1如果可能的话,应在矢状切面下检查脊柱,评估椎体对齐和皮肤覆盖物的完整性(图2s)。

胎儿mt是什么检查什么疼吗【文献学习/规范指南】ISUOG实践指南(2023更新): 11-14周胎儿超声检查(全文)_https://www.jmylbn.com_新闻资讯_第26张

图2 11+0至14+0周时,可作为详细胎儿超声检查的一部分获得的解剖图。

(s)矢状面图显示胎儿脊柱从颈部到骶骨的长度。注意可见完整的皮肤覆盖物和椎体骨化,这已经开始于骶骨和腰椎和胸椎。

8.2 妊娠12周后,椎体发生骨化。

8.3 当发现任何可疑的开放性脊柱裂的颅内征象时,应特别注意脊柱的外观。

9 四肢

9.1 在11+0~14+0周超声检查中,应注意上肢和下肢三段的存在和双脚的存在和正常方向(图2t和2u)。

胎儿mt是什么检查什么疼吗【文献学习/规范指南】ISUOG实践指南(2023更新): 11-14周胎儿超声检查(全文)_https://www.jmylbn.com_新闻资讯_第27张

胎儿mt是什么检查什么疼吗【文献学习/规范指南】ISUOG实践指南(2023更新): 11-14周胎儿超声检查(全文)_https://www.jmylbn.com_新闻资讯_第28张


图2 11+0至14+0周时,可作为详细胎儿超声检查的一部分获得的解剖图。

(t)双下肢冠状面图,上肢、小腿、足三节段清晰可见。

(u)双侧上肢切面,上臂、下臂、手三节段清晰可见。妊娠早期的胎儿通常表现为张开的手,这可能有助于评估胎儿的手和手指。

10.生殖器

10.1 对外生殖器和胎儿性别的评估是基于在矢状面的方向的生殖器结节(图2q)。

胎儿mt是什么检查什么疼吗【文献学习/规范指南】ISUOG实践指南(2023更新): 11-14周胎儿超声检查(全文)_https://www.jmylbn.com_新闻资讯_第29张

图2 11+0至14+0周时,可作为详细胎儿超声检查的一部分获得的解剖图。

(q)胎儿腹部矢状面图,显示胎儿膀胱、生殖器结节、膈肌和脊柱。在该胎龄时,对胎儿膀胱的任何测量都应在纵向和矢状面上进行。


11 三维(3D)和四维(4D)超声的作用

11.13D和4D超声目前并不用于常规的妊娠早期胎儿解剖评估。

11.2然而,在经验丰富的手中,这些方法可能有助于评估异常,特别是在多平面重建选定的诊断平面.


常见的非整倍体形式的风险(21、18和13三体)评估

检查前咨询

在进行这种评估之前,应让妇女了解并同意筛查常见的非整倍体。这需要:

  • 正在进行测试和未进行的条件的说明;

  • 澄清筛查和诊断性检测之间的差异;

  • 识别将影响测试适当性的患者特定因素;

  • 讨论基于母亲年龄和家族史的基线风险水平;

  • 共享决策;

  • 说明测试后如何传达测试结果;

  • 讨论各种筛查和诊断选择及其优点和局限性。



妊娠11 + 0至14 + 0周时的超声评估

     有两种测试通常用于筛选常见的非整倍体:妊娠早期联合筛查(包括来自母亲病史、超声和母亲血清生物化学的风险);以及cfDNA检测(也称为无创产前检测(NIPT)或无创产前筛查(NIPS))。常见三体的早期妊娠联合筛查试验,约占通过阵列基因组评估在产前可识别的所有遗传畸变的50%。联合妊娠早期筛查也能有效诊断特纳综合征。cfDNA检测可以扩展到包括其他非整倍体,包括微缺失和微复制。进行测试的条件范围取决于测试提供者。

      大多数临床医生使用早期妊娠期联合筛查来计算常见非整倍体的风险,即21、18和13三体,使用一种可从胎儿医学基金会免费获得的风险算法;该基本算法结合了基于母亲年龄、胎龄和母亲既往妊娠史的21、18或13三体的先验风险、超声测量NT厚度和评估母亲无血清β-hCG和PAPP-A。先验风险是通过乘以每个这些因素的似然比来改变的。通过比较染色体正常和异常群体中每个特定标记的频率分布来计算似然比。

颈半透明层厚度

    术语NT描述了在超声评估中看到的胎儿颈部后面的回声区域。NT应在中矢状面进行测量(图1e),使用以下图像:

  • 已经被放大到只包括胎儿的头部和胸部;

  • 放大,卡尺测量0.1毫米的增量;

  • 允许评估颈部区域的整个长度,并测量其最大厚度;

  • 显示胎儿处于自然舒展位置(颈部的伸展或屈曲影响测量);

  • 显示胎儿与羊膜分开,以确保适当的空间被测量。



      用放置在其回声边缘的交叉卡尺测量NT。应进行三次测量(在单独的图像上),最大的一次用于风险评估。

     尼古莱德斯Nicolaides描述了正确的、标准化的NT测量技术。由于这种测量方法用于计算风险计算的似然比,因此准确的评估是必不可少的。这是通过将NT测量的性能限制在经过培训的人员身上,他们同意接受一个持续的质控制培训过程,将报告的措施与公认的国际标准进行比较。一些质量保证项目是在全国范围内进行的;其他的则允许超声医生参与国际活动(www .fetalmedicine.org)。

妊娠早期生化:

   通过结合基于超声的NT测量与母亲游离β-hCG和PAPP-A评估,提高妊娠早期筛查疗效。大多数国家指南建议在筛查21、18和13三体时结合这些标记物。

   这些标记物在三种常见的三体中表现出不同的上调或下调模式,这使得对这些非整倍体的个体化风险评估成为可能。

  最近,数据表明,低产妇血清浓度的PlGF11+0到14 + 0周妊娠与常见的三体,表明PlGF可以纳入风险计算,特别是当它已经测量筛选早产先兆子痫(见部分“产科并发症的风险评估”)。

    额外的超声标记物:

鼻骨:

       其他几种检测非整倍体的超声标记物已经被描述过。鼻骨延迟骨化,在妊娠11+0-14+0周时被报道为“发育不良”或“鼻骨缺失”,是筛查21三体的一个强有力的标记。在整倍体胎儿中,鼻骨很少发育不全或缺失,因此这种二分变量与大的正和负似然比相关。这可能在提高特异性的同时保持高灵敏度,显著提高特异性。

    鼻骨与NT在相同的中矢状面进行评估,放大图像包括鼻尖和前颚的矩形。在它的后面,在大脑的中央,半透明的间脑和颈项膜可以被识别出来。鼻骨位于面部回声皮肤线的下面。鼻骨通常比鼻尖和鼻桥的皮肤更高回声,鼻桥位于骨本身的正上方(图1e)。如果鼻骨不能被证明比上面皮肤更高回声,那么它被认为是发育不全或缺失。


胎儿mt是什么检查什么疼吗【文献学习/规范指南】ISUOG实践指南(2023更新): 11-14周胎儿超声检查(全文)_https://www.jmylbn.com_新闻资讯_第16张

图1 11+0至14+0周胎儿超声检查可获得的测量值。

(e)胎儿面部正中矢状面图,显示颈部半透明和鼻骨测量。

静脉导管血流

   受非整倍体影响的胎儿在妊娠11 + 0至14 + 0周时更有可能出现心脏结构或功能缺陷。功能异常包括静脉导管血流异常和三尖瓣反流。

  最初的研究表明,静脉导管a波的逆转和非整倍体之间的关系,但最近的研究表明,静脉导管脉动指数(PIV)的增加与常见三体的风险增加有关。后一种超声标记物可以作为一个连续变量,其似然比变化较小,因此更容易纳入筛查程序。

    静脉导管通常在偏右侧切面上进行评估。彩色多普勒用于识别通过脐静脉和静脉导管返回到右心房的血流。一个1mm的脉冲波多普勒门可以用来显示波形,它具有一个典型的外观(图1f)。PIV是通过自动跟踪来测量的。


胎儿mt是什么检查什么疼吗【文献学习/规范指南】ISUOG实践指南(2023更新): 11-14周胎儿超声检查(全文)_https://www.jmylbn.com_新闻资讯_第31张

图1 11+0至14+0周胎儿超声检查可获得的测量值。

(f)胎儿胸部和腹部的旁矢状面图,彩色和脉冲多普勒,显示脐静脉和静脉导管(DV)的血流。在正常情况下,DV速度波形是三相的,在收缩期(S)、舒张期和舒张期末(a波)有顺行流动。

三尖瓣血流

通过识别胸腔横断面四腔切面,使心脏心尖出现在12点或6点位置来评估通过三尖瓣的流量。在三尖瓣前瓣上放置一个2-4mm的脉冲取样框,取得波形(图1g)。

  三尖瓣反流被定义为血流>为60 cm/s,>为50%的心周期。这种二分变量在整倍体胎儿中很少异常,并与高阳性和负似然比相关。

胎儿mt是什么检查什么疼吗【文献学习/规范指南】ISUOG实践指南(2023更新): 11-14周胎儿超声检查(全文)_https://www.jmylbn.com_新闻资讯_第32张

图1 11+0至14+0周胎儿超声检查可获得的测量值。

(g)胎儿胸部心脏四腔水平横断切面,脉冲多普勒检查显示三尖瓣速度波形正常,无三尖瓣反流。心脏轴见图2j。

筛选性能:

由胎儿医学基金会提出的混合模型(并免费提供)已经进行了前瞻性评估,发现在筛查21三体时,它对97%的特异性具有90%的敏感性;在第二个国家筛查项目中也报道了对21三体的类似筛查效果;

   胎儿医学基金会也在一项包括>10万怀孕的研究中报告了对更广泛的染色体异常进行筛查的有效性。当特异性为96%时,21三体的检出率为90%,18三体为97%,13三体为92%,特纳综合征为>95%62(证据水平:2+)。

   虽然纳入其他标记物可能提高筛查效果,最重要的是提高特异性,但这些超声标记物需要额外的技能来进行可靠的评估,如果它们应用不佳,有可能降低筛查效果。因此,在临床实践中,许多检查人员继续结合使用NT厚度和无β-hCG和PAPP-A的生化标志物。

   对21三体和其他常见三体的筛选多年来不断发展,试图提高检出率和减少假阳性率。近年来,cfDNA的筛选已被证明对常见的非整倍体具有良好的性能。对于21三体,cfDNA检测可检测到99.7%的病例,假阳性率为0.04%;对于18三体,它可以检测到97.9%的病例,假阳性率为0.04%;对于13三体,它可以检测出99.0%的病例,假阳性率为0.04%;目前,cfDNA检测已被引入作为二线筛查,在妊娠早期联合筛查之后(证据水平:1+)。如果没有11 + 0到14+0周扫描,不建议作为独立测试。

有不同的筛选算法可用,其选择将取决于可用的资源(表3)。解释了不同的筛查策略,并根据现有的研究报告了检出率和假阳性率。


表3选择了21三体和其他染色体异常的妊娠早期筛查策略

筛选策略 描述

DR / FPR (%)

----------------

21三体

DR / FPR (%)

-------------

18三体和13三体

联合筛选







中危组联合筛查




cfDNA和NT异常扫描








与cfDNA进行偶然联合筛选

MA + GA,胎儿NT,游离β-hCG,PAPP-A

在所有的病人

Cut-off: 1 in 100

证据水平:2+



与NB、DV或TR联合筛查,只有50比1000的风险为50比1000

证据水平:2+


所有患者在cfDNA筛查前的异常扫描和NT评估;

   如果NT >为3.5 mm或超声波异常;否则,cfDNA

(cfDNA检测失败,=反射检测*)

证据水平:1+



与cfDNA联合筛查的女性风险为1/10至1/1000

证据水平:2+


92 / 4.6







93–96 / 2.5





如果NT >为3.5 mm或出现异常,则为100 / 0.1 +,额外增加2.5% FPR






98.4 / 0.7

96.4和92.9

(FPR无增加)






三体18:91.8三体13:100




三体18:100

三体13:100








No data


*在颈部半透明(NT)测量时,使用额外的血浆样本进行联合筛查。

β-hCG,-人绒毛膜促性腺激素、cfDNA、无细胞DNA、CVS、绒毛膜绒毛取样、DR、检出率、DV、静脉导管血流、FPR、假阳性率、GA、孕龄、孕龄、NB、鼻骨评估、PAPP-A、妊娠相关血浆蛋白A、TR、三尖瓣血流(用于评估反流情况)。

测试后咨询:

在测试后的咨询期间,应提供结果和持续的风险为病人解释。如果一个筛查试验描述了一个“增加的机会”,那么就应该讨论怀孕真正受到影响的可能性(阳性预测值)。咨询应包括:

  • 讨论进一步检测的选择,包括与侵入性程序相关的好处和限制和风险;

  • 确定个人是否希望继续进行进一步的测试;

  • 确保参与管理怀孕情况的其他保健专业人员了解已进行的检测及其结果。

产科并发症的风险的评估

疤痕妊娠和胎盘异常

     应评估胎盘的回声结构。异常表现,如肿块、单个或多个囊性间隙或较大的绒毛膜下积液(> 5 cm),应注意并随访。

      胎盘在妊娠的这一阶段与宫颈的相对的位置不那么重要,因为大多数胎盘直到妊娠中期才处于低位。本阶段不应报告前置胎盘 (GOOD PRACTICE POINT)(良好实践要的)


应特别注意越来越多的患者既往剖宫产,他们可能容易发生疤痕妊娠或胎盘植入谱(PAS)疾病,并有明显的并发症;

     任何胎龄的这些胎盘异常的产前诊断都与改善产妇预后相关,允许在有专业知识的中心进行治疗在外科管理。此外,剖宫产瘢痕妊娠的早期妊娠早期诊断与较低的孕产妇不良结局风险相关。

   因此,一些作者最近提出,对既往有剖宫产史的妇女进行早期(5-7周)经阴道超声筛查的政策,可以可靠地预测PAS疾病的超声分期。然而,这些指南仅参考了一个“标准的”早期妊娠晚期超声检查,即在11 + 0至14 + 0周时进行,并没有解决非常早期扫描的问题。

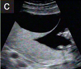
     胎盘/妊娠囊的低前部植入,靠近或位于瘢痕憩室中,是与PAS疾病相关的最常见的早期超声征象(图3a)。根据当地资源的不同,可以在有剖宫产史的妇女在妊娠早期扫描时使用经阴道超声进行检查。在暴露疤痕上植入PAS的风险,具有极好的阴性预测价值。


在早孕期,可能早产的妇女往往比足月分娩的妇女子宫颈更短;妊娠早期和中期宫颈长度测量相关。在妊娠的早期测量子宫颈(图3b),可能结合个人病史,可以确定一组早产风险增加的人。

  然而,尚未有人证明在妊娠早期测量子宫颈可以改善预后。这种方法需要完全标准化,在常规推荐之前应该获得更多的数据;

妇科病理,包括良性和恶性,可以在任何妊娠早期的扫描中发现。子宫形态异常,如子宫纵隔和双子宫,应描述。附件应检查有无异常和肿块。这些检查结果的相关性和管理范围超出了本准则的范围。

胎儿mt是什么检查什么疼吗【文献学习/规范指南】ISUOG实践指南(2023更新): 11-14周胎儿超声检查(全文)_https://www.jmylbn.com_新闻资讯_第33张

胎儿mt是什么检查什么疼吗【文献学习/规范指南】ISUOG实践指南(2023更新): 11-14周胎儿超声检查(全文)_https://www.jmylbn.com_新闻资讯_第34张


图3 (a)剖宫产疤痕妊娠超声图像,位于宫颈顶部,膨入膀胱。确定胎盘位置与既往剖宫产瘢痕可能有助于早期发现异常侵入性胎盘。(b)超声图像显示了妊娠11 + 0至14+00周时宫颈长度(A至B)和峡部(B至C)的测量。


在11 + 0至14+0周扫描时的先兆子痫筛查

     有大量证据支持使用各种生物标志物对早产儿进行风险子痫前期筛查。最成熟的筛查方法,即妊娠早期子痫前期联合检测,结合了来自母亲特征和病史的先验风险(表4)与UtA-PI、血清PlGF和平均动脉压(MAP)的测量。这种筛查方法已在欧洲内外的国家进行了前瞻性的验证。

表4子痫前期的筛查:孕产妇因素

  • 孕产妇的人口统计学特征

       -年龄(年)、体重(公斤)、身高(厘米)

      -母亲种族:白种人,非洲-加勒比,南亚,东亚,混血儿

  • 产科病史

      生育史:未分娩的,分娩的

      经产的:没有先兆子痫,也有先兆子痫

     前一个孩子出生与指数怀孕之间的妊娠间隔(年)

     分娩时的胎龄(周)和上次妊娠时的出生体重(g)>24周

     受孕方法:自发性、促排卵、体外受精

   子痫前期家族史(母亲)

  • 病史

      吸烟习惯

      慢性高血压病史

      糖尿病病史:1型、2型、胰岛素摄入量

    有系统性红斑狼疮或抗磷脂综合征的病史



   参加11+0-14+0周扫描的单胎妊娠孕妇应通过妊娠早期联合试验筛查早产前期子痫,以孕产妇因素(表4)和生物标志物作为一步步骤。这个风险计算器可以在https://fetalmedicine.org/research/assess/pre-eclampsia网站上免费获得。

   最好的联合检测是包括母体因素和UtA-PI、PlGF和MAP104的测量,风险截止值为≥1/100,以确定筛查阳性104,105(证据水平:1+)


   UtA-PI应与妊娠11+0~14+0周测量胎儿NT厚度和诊断45-84mm的主要胎儿缺陷(对应胎儿CRL为45-84mm)。

   胎龄必须通过胎儿CRL测量来确定(见“评估胎儿生物测定法”部分)。在此扫描中,获得子宫矢状面,并确定宫颈管和宫颈内口。然后,将探头保持在中线,并将其轻轻倾斜,使用彩色血流图,在子宫颈和子宫的水平上识别每个UtA(图1h)。

     采用脉冲波多普勒,2 mm采样门覆盖整个血管,注意确保超声角度为<30◦。当得到三个相似的连续波形时,用自动跟踪测量UtA-PI,并计算左右UtAs的平均PI。

    UtA-PI的测量必须由接受过适当培训和认证的超声医生进行,如由胎儿医学基金会(www.fetalmedicine.org)提供的培训。

    当无法测量UtA-PI和/或PlGF时,基线筛查试验应该是母体因素与MAP的结合,而不是仅仅是母体因素。

    如果将母体血清PAPP-A用于妊娠早期胎儿非整倍体常规筛查(见“评估常见非整倍体风险部分(三体21、18和13)),该结果可用于子痫前期风险评估。

    完全联合试验的变化,例如,仅将母体因素与UtA-PI和MAP结合起来,将导致筛查性能的降低。

 

   如果资源有限,另一种方法是通过孕产妇因素对早产先兆子痫进行常规筛查和所有妊娠中的MAP,将UtA-PI和PlGF的测量值保留为根据孕产妇因素筛查和MAP单独产生的风险选择的人群亚组。(GOOD PRACTICE POINT)(良好实践要的)

     早期筛查早产儿子痫后,女性高危应该接受阿司匹林预防开始11-15+6周的剂量150毫克每晚直到36周的妊娠,当分娩发生或先兆子痫被诊断。所有孕妇不应服用这种低剂量阿司匹林。对于低钙摄入量(< 800 mg/day)的女性,无论是钙替代(≥1g元素钙)或每日钙补充(1.5-2克元素钙)都可能降低早产和足月子痫前期的发生率。


胎儿mt是什么检查什么疼吗【文献学习/规范指南】ISUOG实践指南(2023更新): 11-14周胎儿超声检查(全文)_https://www.jmylbn.com_新闻资讯_第35张

图1 11+0至14+0周胎儿超声检查可获得的测量值。

(h)子宫动脉(UtA)的彩色和脉冲多普勒检查。UtA多普勒速度波形可用于评估子宫胎盘阻抗,作为子痫前期综合早期筛查试验的一部分。应评估左右子宫动脉的测量值。娠11 + 0至14 + 0周时更有可能出现心脏结构或功能缺陷。功能异常包括静脉导管血流异常和三尖瓣反流。

  

文献来源

胎儿mt是什么检查什么疼吗【文献学习/规范指南】ISUOG实践指南(2023更新): 11-14周胎儿超声检查(全文)_https://www.jmylbn.com_新闻资讯_第36张

Ultrasound Obstet Gynecol. 2023 Jan;61(1):127-143. 

ISUOG Practice Guidelines (updated): performance of 11-14-week ultrasound scan

PMID: 36594739 DOI: 10.1002/uog.26106





胎儿mt是什么检查什么疼吗【文献学习/规范指南】ISUOG实践指南(2023更新): 11-14周胎儿超声检查(全文)_https://www.jmylbn.com_新闻资讯_第37张




胎儿mt是什么检查什么疼吗【文献学习/规范指南】ISUOG实践指南(2023更新): 11-14周胎儿超声检查(全文)_https://www.jmylbn.com_新闻资讯_第38张

长按以上图片,识别图中二维码,加关注


坚持是一种信念。专注是一种态度!


点一下在看鼓励一下哟!胎儿mt是什么检查什么疼吗【文献学习/规范指南】ISUOG实践指南(2023更新): 11-14周胎儿超声检查(全文)_https://www.jmylbn.com_新闻资讯_第39张