胎儿mt是什么检查什么疼吗【文献学习】【规范、指南】ISUOG实践指南:中孕期胎儿常规超声检查(2022更新)

新闻资讯2026-04-24 07:22:24

胎儿mt是什么检查什么疼吗【文献学习】【规范、指南】ISUOG实践指南:中孕期胎儿常规超声检查(2022更新)_https://www.jmylbn.com_新闻资讯_第1张

ISUOG实践指南:中孕期胎儿常规超声检查(2022更新



临床标准委员会Clinical Standards Committee)

        国际妇产科超声学会(ISUOG)是一个科学的组织,在妇女保健成像诊断方面他们鼓励和提倡产生合理的临床实践和高质量的教学和研究。ISUOG临床标准委员会(CSC)的职责是作为教育性的规范来制定实践指南和共识声明,为医疗保健从业人员提供来自专家们基于超声成像诊断达成的基本共识。


        它们的目的是及时发布ISUOG认为的最有效的实践指南。尽管ISUOG已尽一切努力确保指南的准确性,但协会及其任何员工或成员均不接受承认任何由于CSC发布的任何不准确或误导性数据、意见或声明导致一系列后果的相关责任。ISUOG CSC文件的目的不是要确立一种法律上的标准,因为支持指南合理的证据和解释可能受特殊情况、当地议定书和可用资源的影响。

经ISUOG (info@isuog.org)许可,可免费发布已批准的指南。ISUOG准则中所使用的建议等级和证据级别的详细情况见附录1。


    

 引言(Introduction)



        超声检查广泛用于胎儿生长和解剖结构的产前评估,以及多胎妊娠的管理。妊娠中期超声扫描主要用于对胎儿进行解剖结构的评估。在专家手中,可以检测到大多数临床上重要的结构异常。但是,中心之间和运营商之间的检出率存在显着差异。中孕期胎儿超声检查正为胎儿生长评估提供重要的基础数据可供日后对照。


        尽管许多国家已经制定了胎儿超声检查实践的指南,但世界上仍有许多地区尚未实施。大多数国家规定中孕期至少一次超声检查。该文件构成了先前发布的指南2的更新版本,提出了该扫描应旨在达到的标准。ISUOG 指南中使用的推荐等级和证据级别的详细信息在附录 1中给出。

       

一般事项(General considerations




  •  在开始检查之前,医疗保健从业者应就常规中孕期胎儿超声检查的潜在益处和局限性向妇女/夫妇提供咨询;

  • 常规的妊娠中期胎儿超声检查包括对以下内容的评估:

  1. 胎儿心脏活动状况;

  2. 胎儿数量(以及多胎妊娠情况下的绒毛膜性和羊膜性);

  3. 胎龄/胎儿大小;

  4. 基本胎儿解剖结构;

  5. 胎盘状况及位置;

  6. 羊水量。


  • 在某些情况下,在预测和预防早产的背景下,为妇女在妊娠中期扫描时提供了子宫颈长度(CL)的测量。


  1. 目前的建议是,CL 测量应通过经阴道检查进行,这需要女性的知情同意、对操作员的适当培训  和结果的审核。

  2. 当满足以上条件的情况下可以进行 CL 测量时,可以将其作为为常规孕中期扫描检查的一个组成部分。

  3. “ISUOG实践指南:超声在预测自然早产中的作用”(在准备阶段)将提供更多的指导和建议。


  • 当可见子宫和附件肿块(肌瘤、卵巢囊肿)时,应报告,但子宫和附件解剖的正式评估不是常规妊娠中期检查的一部分。


  • 尽管可以在妊娠中期检查中发现许多胎儿畸形和异常,但有些可能会被遗漏或仅在妊娠后期才变得明显,即使拥有最好的超声设备也是如此。



那些人应该接受中孕期超声检查?


建议 :

·作为常规妊娠护理的一部分,应为所有孕妇提供妊娠中期超声检查推荐等级:B


  1. 作为常规妊娠护理的一部分,所有的孕妇都应该提供一个妊娠中期的超声检查。

  2. 多数情况下,通常会进行常规的早孕期超声检查,以评估生存能力和位置、准确地确定妊娠日期、评估多胎妊娠的绒毛膜性并评估子宫和附件中可能影响妊娠管理的异常。

  3. 如果妊娠早期的超声检查是正常的,那么仍然应该提供一个规范的的妊娠中期超声,以检查在妊娠早期可能不明显的异常情况。

  4. 2005年的一项成本效益分析得出结论,包括妊娠中期超声检查在内的策略会发现更多的异常,每次检测到异常的成本更低。从那时起,这项政策可能会变得更加有效,因为先天性心脏缺陷的检出率可能已经提高。

  5. 如果在妊娠早期扫描中发现或怀疑有异常,应及时转诊给患者进行专家评估和咨询,而不等待妊娠中期超声检查。此后,可以根据需要进行后续的详细超声检查。


中孕期中期何时应进行胎儿超声扫描?


建议:


  • 根据技术考虑和当地法规(良好实践证据),可在妊娠 18 至 24 周之间进行常规的妊娠中期超声检查。

         

  1. 常规的妊娠中期超声检查通常在妊娠18至24周之间进行。

  2. 这可以根据技术因素进行调整,包括高体重指数。

  3. 在对终止妊娠时间有限制的国家应平衡畸形检出率、产前咨询及其他评估留所需的时间。


妊娠中期胎儿超声检查应该由谁操作?


建议


  • 常规进行产科超声检查的人员应该接受过孕妇超声诊断实践的培训(良好实践证据)


  1. 常规进行产科超声检查的人员应该接受过孕妇超声诊断实践的培训。

  2. 培训、技能维护和认证应遵循当地法规,因为这些法规在不同的管辖区有所不同。

  3. 也可以考虑模拟训练


  • 为了使中孕超声检查效果最佳,操作者应具备一下条件:

  1. 接受过超声诊断学和相关安全知识的培训;

  2. 经常进行胎儿超声检查;

  3. 参加继续医学教育;

  4. 已经建立了对可疑或异常发现的适当转诊机制;

  5. 具有质量控制措施并定期进行质量检验。

中孕超声检查应该使用哪些超声设备?


  • 对于常规筛选,设备应至少应具有以下内容:


  1. 实时灰价超声;

  2. 具有适当分辨率和穿透力的经腹探头(通常为2-9Mhz范围);

  3. 可调声输出功率输出控制;

  4. 图像冻结功能;

  5. 电子游标;

  6. 打印/存储图像的能力;

  7. 定期维护和维修,以保持设备性能最佳状态;

  8. 合适的清洁设备和清洁方案;

  9. 适合的彩色和脉冲多普勒;

  10. 适合的经阴道探头。



应该制作、存储/打印或发送给转诊的医疗保健提供者?


建议:


  • 超声检查结果应记录在案并适当传达,报告和图像的副本应保存以备将来参考(良好实践证据)


  1. 检查报告应及时提交并转发给转诊提供者。

  2. 其内容应遵循当地的规范和法规。

  3. 本指南文末附有模板(附录2),可适当修改。

  4. 应建立如何在超声检查前和检查期间与孕妇沟通以及如何提供结果的规范。一般来说,任何有关的重大检查结果应及时和单独地传达给护理提供者,以促进适当的病人护理。如果操作人员有权限,则包含进一步管理的建议是合理的,并且在需要时应立即组织转诊。

  5. 报告可以是电子的,也可以是纸质的。生成的图像的数量将根据本地协议而有所不同。

  6. 强烈建议存储报告和图像,以便轻松快速地访问以供审阅或传输,并按照当地指南和法规进行存档。


建议:


  •   产前超声检查在临床实践中似乎是安全的;然而,它应该遵循ALARA的原则,而不是仅仅为父母的娱乐目的而进行(良好的实践证据)

  1. 产前超声检查在临床实践中似乎是安全的。到目前为止,尚无明确的研究结果表明产前超声检查对胎儿有不良影像。

  2. 尽管如此,胎儿暴露时间应最小化,使用获取诊断信息所需的最低功率输出,遵循ALARA原则(尽可能低)。具体请参见ISUOG的安全声明。

  3. 设备、探头和凝胶应进行适当的处理,为患者和工作人员提供一个安全的环境。

  4. 虽然产前超声检查可以提供美丽的胎儿纪念图像,但不应仅出于娱乐目的进行。


未能按照本指南进行超声检查怎么办?


推荐:


  • 如果超声检查不能完全按照采用的指南进行,应重复扫描以确保完整的检查,或将患者转到另一名检查人员(推荐分级:C)


  1.   这些建议代表了妊娠中期胎儿超声扫描的最低标准。

  2. 如果有时间、设备和技能允许,则鼓励进行更全面的评估。

  3. 应考虑到当地的情况、规范和法规。

  4. 应记录偏离这些建议的原因

  5. 如果检查不能完全按照采用的指南进行,应重复检查以确保完整的检查,或者将患者转到另一个检查人员,因为最终有0.5-5%的病例发现异常。

  6. 这应该尽快完成,以尽量减少不必要的患者焦虑和对先天性异常或生长障碍的潜在诊断的不必要延误。


更有针对性的超声检查有什么作用?


  1. 这些指南是指对没有孕产妇、胎儿或产科危险因素的孕妇进行常规超声评估。

  2. 即使存在危险因素,仍然可以考虑按照这些指南进行妊娠中期检查,以进行基本妊娠评估。

  3. 此外,还应针对具体的临床情况进行更全面、更详细的超声检查,以满足具体的需要。这些工作最好由在这种综合评估中有经验的专家执行,并且超出了这些一般指南的范围。

  4. 在妊娠期间进行常规超声扫描的个人或诊所应设有转诊机制,以管理可疑或检测到的异常。除非技术因素妨碍了完成初步评估,否则在转诊之前,仍应根据本文提出的指南进行完整的筛查检查。



    

 中孕期超声检查指南GUIDELINES FOR EXAMINATION





胎儿生物测量及宫内状态评估


建议:


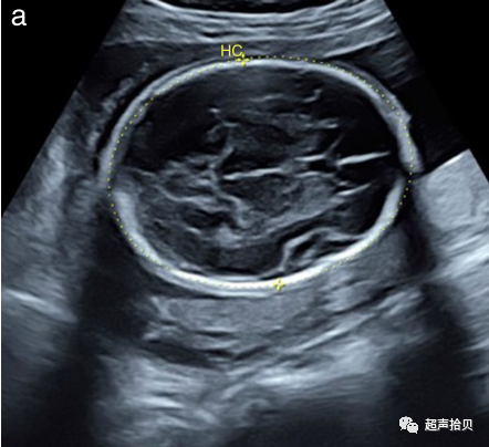
  • 可常规测量双顶骨径(BPD)、头围(HC)、腹围(AC)和股骨长度(FL),以评估胎儿大小(良好的实践证据)


  • 如果之前没有确定孕周,HC或HC+FL可以用于14周后的孕周确定。推荐等级:B


以下超声参数可常规测量,以评估胎儿大小:


-双顶径(BPD)


-头围(HC)


-腹围(AC)


-股骨长度(FL)


  1. 测量应按照严格的质量标准和按照ISUOG实践指南以标准化的方式进行;

  2. 应该获得一个图像来记录每个测量值。图1显示了适合于胎儿生物测量的静止图像示例;

  3. 对参考值进行对照可以保证测量技术的准确性;

  4. 应常规进行妊娠早期超声检查 ,以便准确评估胎龄。

  5. 如果胎龄在末次月经或妊娠早期检查中尚未确定,则应在妊娠中期超声检查中确定。

  6. 尽管过去都使用过头部测量值(BPD 和 HC)或 FL,但最近来自 INTERGROWTH-21 研究的证据表明,单独使用 HC 或 HC 加 FL 可能是 14 周后最准确的胎龄预测指标;

  7. 如果在妊娠早期的高质量超声检查已经确定了胎龄,则不应使用后续扫描来计算新的估测分娩日期。


胎儿mt是什么检查什么疼吗【文献学习】【规范、指南】ISUOG实践指南:中孕期胎儿常规超声检查(2022更新)_https://www.jmylbn.com_新闻资讯_第2张

胎儿mt是什么检查什么疼吗【文献学习】【规范、指南】ISUOG实践指南:中孕期胎儿常规超声检查(2022更新)_https://www.jmylbn.com_新闻资讯_第3张

胎儿mt是什么检查什么疼吗【文献学习】【规范、指南】ISUOG实践指南:中孕期胎儿常规超声检查(2022更新)_https://www.jmylbn.com_新闻资讯_第4张

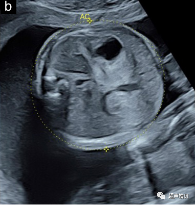
图1标准胎儿生物测定法。超声测量:(a)头围(HC)、(b)腹围(AC)和(c)股骨长度(FL)。



  双顶径(BPD)    

 

建议:


  • 在测量BPD时,最好游标从外-到外方式放置游标(良好的实践证据)


解剖:


以下解剖标志确保最佳采集成像平面以测量 BPD:


  1. 在丘脑水平胎儿头部的横切面;

  2. 声束与中线结构的夹角尽量保持90◦;

  3. 双侧大脑半球对称;

  4. 中线回声(大脑镰)仅在前部被透明隔腔中断

  5. 不显示小脑。


游标放置:


  1. -两个游标都应该按照特定的方法放置,放置在颅骨最宽的部分已经描述了不止一种技术(例如,从外到内边缘(“前缘”技术)与从外到外边缘),径线垂直于中线。

  2. -应该使用与用于建立参考图表相同的技术。

  3. -头指数是最大头部宽度(BPD)与其最大长径(枕额直径(OFD))的比值,该值可用来评估胎儿头部形状。头部形状异常(如短头畸形或多头畸形)可能与综合征相关,或是羊水过少或臀位表现的结果。这一发现也可能导致在使用BPD时对胎儿年龄的估计不准确;在这些情况下,HC测量更加可靠。

  4. -最近的证据表明,游标从外到外的放置简化了标准化、再现性和质量控制。

 

头围(HC)  


建议:


  • HC既可以用椭圆法测量,也可以由BPD和OFD计算得出(良好的实践证据)

  • 测量 HC 时,最好将游标从外到外放置推荐等级:C

解剖


应使用与BPD相同的解剖标志。


游标放置


  1. -同 BPD一样,重要的是要确保 HC 放置标记与用于参考参考标准所提供的方法一致;

  2. -如果超声设备具有椭圆测量能力,则可以通过将椭圆放置在颅骨回声外缘来直接测量HC(图1a)。

  3. -或者,HC可以从BPD和OFD中计算得出:如上文的“BPD”部分所述,使用前沿技术测量BPD,而OFD是通过将游标放置在额骨回声中点至和枕骨回声的中点的距离。然后将HC计算为HC=1.62×(BPD+OFD)。

  4. -最近的证据表明,卡尺从外到外的放置简化了标准化、再现性和质量控制。


  • 应常规进行妊娠早期超声检查 ,以便准确评估胎龄。

  1. 如果胎龄在末次月经或妊娠早期检查中尚未确定,则应在妊娠中期超声检查中确定。

  2. 尽管过去都使用过头部测量值(BPD 和 HC)或 FL,但最近来自 INTERGROWTH-21 研究的证据表明,单独使用 HC 或 HC 加 FL 可能是 14 周后最准确的胎龄预测指标;

  3. 如果在妊娠早期的高质量超声检查已经确定了胎龄,则不应使用后续扫描来计算新的估测分娩日期。

  

  • 应常规进行妊娠早期超声检查 ,以便准确评估胎龄。

  1. 如果胎龄在末次月经或妊娠早期检查中尚未确定,则应在妊娠中期超声检查中确定。

  2. 尽管过去都使用过头部测量值(BPD 和 HC)或 FL,但最近来自 INTERGROWTH-21 研究的证据表明,单独使用 HC 或 HC 加 FL 可能是 14 周后最准确的胎龄预测指标;

  3. 如果在妊娠早期的高质量超声检查已经确定了胎龄,则不应使用后续扫描来计算新的估测新的分娩日期。


腹围(AC)


推荐


  • 在测量AC时,胎儿腹部的横切面应尽可能呈圆形,而胎儿的脊柱最好是在3点钟或9点钟的位置(良好实践证据)


  • AC测量可以用椭圆法测量,也可以采用从腹部前后径(APAD)和横径(TAD)计算得出(良好实践证据)


解剖


  • 以下解剖标志确保最佳采集成像平面以测量AC:


  1. 胎儿腹部横切面(尽可能呈圆形);

  2. 脐静脉在门静脉窦水平;

  3. 胃可见;

  4. 肾脏不可见。


游标放置:


  1. AC 可以用椭圆游标直接在皮肤线的外表面测量(图 1b),也可以通过测量前后腹径 (APAD) 和腹横径 (TAD)计算得出 .

  2. 为了测量 APAD,游标分别置于脊柱表面皮肤和前腹壁皮肤的外缘。测量 TAD时,将游标放置在腹部最宽处皮肤外缘,然后将 AC 计算为 AC = 1.57 × (APAD + TAD)。



股骨长度(FL)  


解剖:


  1. 测量FL 时应清楚显示股骨两端的骨化中心。测量骨化骨干的最长经线。

  2. 与参考标准对应的方法一样,测量时股骨和声束之间的角度,在 45° 和 90° 之间。

  3. 现代超声机器的技术改进已经减小了波束宽度,这影响了横向方向的胎儿测量。这具有临床意义,应使用最近的测量图表,因为使用较旧的测量图表可能会导致对 FL 的高估。


游标放置:


  1. 每个游标都放置在骨化骨干的末端,如果可见,则不包括股骨远端骨骺(图1c)。测量应避免包括三角形刺状伪象。


胎儿体重估计(EFW)


建议:


  • Hadlock-3 公式(HC、AC、FL)在数学上似乎是最稳定的,建议在大多数临床情况下使用(推荐等级:C)。


  • 估计的胎儿大小与胎龄预期平均值的偏差应表示为百分位数(或Z分数),并且应在报告中指出所选的参考标准(良好实践证据)


  • 应优先考虑具有规范性、前瞻性获得、真正以人群为基础并从具有尽可能低的方法学偏差的研究中得出的胎儿生物测量图表(良好实践证据)


  • 应使用 Delphi 2016 标准来定义胎儿生长受限 (FGR) (良好实践证据)。



  1. 妊娠中期超声测量可用于确认胎儿大小的异常。估计的胎儿体重 (EFW) 或 AC 可用作检测后续生长问题的基础参数;

  2. 尽管有很多努力开发计算EFW的新模型,但Hadlock等人报道的三参数(HC,AC,FL)公式,在大型研究队列中提供了最佳的胎儿体重估计值,并且应该被认为是评估所有胎儿的选择方法,包括那些怀疑是小或大的胎儿。

  3. 可以使用各种方法来优化异常生长的检测. 然而,在妊娠早期阶段偏离正常的程度可以证明行动(例如随访扫描评估胎儿生长或胎儿染色体分析)尚未确定;

  4. 最近的研究表明,早在妊娠中期的EFW就可以被用于竞争风险模型,以预测随后的小胎龄。

  5. 在一次扫描中至少3周的生长测量,通常报告为与给定年龄的预期范围的平均值的偏差;该信息应优先表示为参考范围或z分数的百分位数,或在图表上。z分数的使用允许监测严重的异常,并便于数据质量控制。所选择的参考标准应在报告中注明。

  6. 尽管从业者应了解国家或地方推荐的图表,但应优先考虑具有规范性、前瞻性、真正基于人群并从具有尽可能低的方法学偏差的研究中得出的胎儿生物测量图表。

  7. 当怀疑生长异常时,应鼓励使用基于Delphi2016共识标准的胎儿生长受限(FGR)诊断标准。

  8. 脐动脉多普勒指数异常和/或孕妇高血压或先兆子痫症状应及时转诊。



羊水量评估


建议:


  • 羊水指数(AFI)可能更适合评估羊水过多,而最大羊水深度(DVP)可能更适合评估羊水过少;(推荐等级:c)



  1. 羊水量可主观评估,定义为“正常”或“异常”(减少或增加),或半定量评估,通过测量羊水最深直径(DVP)或羊水指数(AFI) . 对于 DVP,测量没有脐带或胎儿部分的最大垂直直径。DVP ≤ 2.0 cm 被认为是羊水量减少,DVP > 2 cm 和 ≤ 8.0 cm 被认为是正常羊水量,而 DVP > 8 cm 被认为是羊水量增加 。

  2. AFI 测量可以从妊娠18周开始,通过测量四个没有脐带和/或胎儿部分的垂直径,从子宫的每个象限测量一个来估计;

  3. AFI和DVP与羊水实际羊水容量计算量的相关性较差,而且两者都没有明显优于其他指标;然而,AFI似乎比DVP发现了更多的女性羊水过少,从而增加了引产率,但没有改善临床结果;将超声与羊水量容量测定进行比较的观察性证据表明,DVP 可能更适合识别羊水过少,而 AFI 可能更适合识别羊水过多

  4. 对羊水量进行半定量评估的建议是:


-保持超声探头垂直于母体位置;


-确定羊水池的上边缘和下边缘的清晰边界;


-测量最大的通畅的羊水池;


-对脐带显示不清晰的区域使用彩色多普勒。



羊膜


   从 16 周开始,羊膜和绒毛膜通常会融合。羊膜片是良性发现,与可能导致胎儿畸形的羊膜带区分开来.


观察胎动


  1. 正常胎儿在宫内姿势放松,并表现出规律活动。

  2. 扫描期间暂时没有或胎动减少不应被视为异常。

  3. 胎儿位置异常、胎动受限或没有胎动可能提示胎儿状况异常,如关节挛缩,应提示转诊请求。

  4. 胎儿生物物理评分不是中孕超声检查的常规内容。


脐带


建议:

  • 尽管对脐带插入的正式评估不是中孕期常规超声检查的一部分,但如果可见边缘或脐带帆状附着,则应报告(良好实践证据)

  • 当在妊娠中期超声检查中发现单个脐动脉时,如果没有证据表明存在结构缺陷或 FGR,应注意不要给父母造成焦虑(良好实践证据)


  1. 大约 80% 的情况下,脐带的插入点位于胎盘的中心,大约 12% 的情况下位于中央旁附近,5-8% 的情况下位于边缘(距胎盘边缘 2 厘米以内);

  2. 帆状附着 发生在大约 1% 的病例中,被定义为将脐血管插入羊膜而不是胎盘;帆状附着脐带帆状附着可能与前置血管和 FGR 有关;

  3. 当看到边缘或帆状附着时,应报告;

  4. 然而,对胎盘上脐带插入的正式评估不是常规中孕期超声检查的一部分


血管数目


  1. 单脐动脉 (SUA) 是其中一根动脉闭塞或萎缩的结果,最常见的是左侧。在双胎妊娠中更为常见;

  2. 通过直接观察脐带或通过彩色多普勒跟踪胎儿膀胱周围的脐动脉进行诊断;

  3. SUA 与先天性异常和 FGR相关,尽管它本身并不构成异常。因此,如果在孕中期扫描未发现重大异常,应注意不要让父母感到焦虑;

  4. 目前,关于 SUA 对妊娠结局的潜在影响尚未达成共识。


卷绕


   卷绕描述了脐带中脐带动脉的螺旋形过程。增加或减少的脐带卷绕没有被证明的意义,不应该作为常规的中孕期扫描的一部分进行报告。


多普勒超声

建议:


  • 目前没有足够的证据支持普遍使用子宫或脐动脉脉冲多普勒评估来筛查低危孕妇推荐等级:C

  1. 目前不建议将脉冲波多普勒技术(PW)的应用作为常规妊娠中期超声检查的一部分。

  2. 没有足够的证据支持普遍使用子宫或脐动脉脉冲多普勒评估来筛查低危妊娠

  3. 鼓励使用彩色血流多普勒成像(CDFI),它可以帮助检查胎儿心脏和脐带血管以及确定羊水量。


多胎妊娠


建议:

  • 如果可能,应在孕早期确定绒毛膜性(推荐等级:C)


  • 如果没有进行早孕期超声检查并且无法识别两个单独的胎盘并且胎儿性别相同,则应将妊娠视为单绒毛膜(良好实践证据)


  • 多胎妊娠的评估应遵循特定指南并包括以下附加要素:


  1. 测定绒毛膜性(以及单绒毛膜胎盘、羊膜性)在妊娠中期可能是可行的,例如,如果有明显的两个独立的胎盘或胎儿性别不一致(尽管这些规则也有例外);然而,绒毛膜性最好在14-15周之前评估,当lambda征或T征可以确定时;

  2. 显示胎盘脐带入口;

  3. 报告特殊特征(性别、独有的标记、宫内位置),因为正确标记双胞胎至关重要。

  4. 如果没有进行早孕期超声检查并且无法识别两个单独的胎盘并且胎儿性别相同,则应将妊娠视为单绒毛膜妊娠,并将其称为高危妊娠。应遵循当地指南和临床实践。



Anatomical survey解剖结构的超声检查



表1总结了妊娠中期基本胎儿解剖检查的最低要求。如果怀疑有任何异常情况,则应考虑进行更详细的检查或转诊到专家中心。


表1建议基本中期胎儿解剖检查的最低(和*可选)要求


完整的颅骨

头型正常

透明腔外观正常

脉络丛外观正常

大脑镰外观正常

丘脑外观正常

侧脑室外观正常

小脑外观正常

枕大池 外观正常

颈襞*外观正常

颜面

眼眶和眼球i都存在

中矢状面轮廓*外观正常

鼻骨*外观正常

上唇完好无损

颈部 没有肿块(例如囊性水瘤)
胸/心

胸部和肺部的形状/大小正常

存在心脏活动

正常位置的心脏四腔视图(左室在左侧)

主动脉和肺流出道(相对大小及其关系)正常

LVOT 切面;三血管观或三血管和气管观正常

没有膈疝的证据

腹部

胃在左侧正常位置

肠道正常(不扩张或高回声)

右侧胆囊*

双肾存在,无肾盂扩张

膀胱外观正常

脐带插入胎儿腹部位置正常

骨骼

没有脊柱缺陷或肿块(横切面和纵切面)

手臂和手存在,正常的关节位置

腿和脚存在,正常的关节位置

胎盘

胎盘位置和与宫颈正常的关系

没有肿块存在

脐带

脐带三血管*

脐带插入胎盘*正常

生殖器 正常男性或女性生殖器*
宫颈 宫颈长度测量正常*
  • * 检查表的可选部分:如果技术上可行并根据当地实践进行评估。


胎头

推荐建议


  • 颅骨的基本检查应包括评估其大小、形状、完整性和骨密度(良好实践证据

  • 大脑的基本检查应包括用于评估半球的两个横切面平面(经脑室和经丘脑),以及用于评估后颅窝的另一个经小脑平面良好实践证据

    颅骨


    应常规评估胎儿颅骨的四个方面:大小、形态、完整性和骨密度。可在胎头部测量或评估大脑结构完整性的同时观察上述特征(图 2)


  1. 大小:测量方法见前文生物测量部。

  2. 形态:颅骨通常呈椭圆形,无局部突起或缺损,仅在颅缝处有细窄的回声失落。形态异常(如柠檬头、草莓头、三叶草形头)应记录并予以进一步检查。

  3. 完整性:无颅骨缺损。极少数情况下,偶见脑组织通过额部、枕部的缺陷向外膨出,其它部位的脑膨出也可发生。

  4. 骨密度:正常的颅骨密度表现为连续高回声结构,仅在特定解剖位置颅缝处有中断。若颅脑结构消失或胎儿大脑结构过渡清晰显示时,应怀疑颅骨钙化不良(例如成骨不全,低磷酸盐血症);


胎儿mt是什么检查什么疼吗【文献学习】【规范、指南】ISUOG实践指南:中孕期胎儿常规超声检查(2022更新)_https://www.jmylbn.com_新闻资讯_第5张

胎儿mt是什么检查什么疼吗【文献学习】【规范、指南】ISUOG实践指南:中孕期胎儿常规超声检查(2022更新)_https://www.jmylbn.com_新闻资讯_第6张

胎儿mt是什么检查什么疼吗【文献学习】【规范、指南】ISUOG实践指南:中孕期胎儿常规超声检查(2022更新)_https://www.jmylbn.com_新闻资讯_第7张

胎儿mt是什么检查什么疼吗【文献学习】【规范、指南】ISUOG实践指南:中孕期胎儿常规超声检查(2022更新)_https://www.jmylbn.com_新闻资讯_第8张

胎儿mt是什么检查什么疼吗【文献学习】【规范、指南】ISUOG实践指南:中孕期胎儿常规超声检查(2022更新)_https://www.jmylbn.com_新闻资讯_第9张

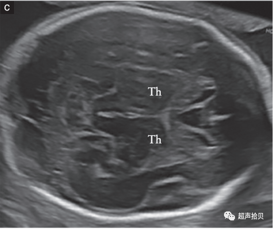
图2胎儿头部的横切面,显示标准的经脑室(a)、经小脑(b)和经丘脑(c)扫描平面。经脑室和经丘脑平面允许评估大脑半球区域的解剖完整性。经小脑平面允许评估后颅窝的小脑和大池(CM)。CP-脉络膜丛、CSP-透明隔腔、TH-丘脑。


大脑


       用于胎儿大脑基本检查的标准扫描平面在更新的 ISUOG 指南20中有描述。两个横断面,通常称为经脑室平面和经丘脑平面,可以显示与大脑解剖完整性相关的大脑结构(图 2)。成像伪影掩盖了近端半球(更靠近探头的半球)。应添加第三个横断面-经小脑平面来评估后颅窝。应评估以下大脑结构:


  • -侧脑室(包括脉络丛);

  • -透明隔腔;

  • -中线镰;

  • -丘脑;

  • -小脑;

  • -大水池。



颜面


建议:

  • 颜面部的基本检查应包括上唇的显示,评估眼眶/眼睛的存在和位置,如果技术上可行,评估胎儿的面部轮廓(良好实践证据)。


  1. 胎儿颜面部的评估应包括冠状面(正面)显示上唇,以评价有无唇裂畸形唇裂(图3a);

  2. 如果技术上可行,还包括正中矢状面(图3b);

  3. 应该检查眼眶的存在和正常的位置以及眼睛的距离(图3c);

  4. 可以评估其他解剖标志,例如鼻子、鼻孔、上颚、上颌骨、下颌骨、舌头以及耳朵的位置和大小,但不属于常规孕中期检查的一部分;

  5. 三维超声可能是检查胎儿面部的有用工具,尽管这不是常规评估的一部分。


胎儿mt是什么检查什么疼吗【文献学习】【规范、指南】ISUOG实践指南:中孕期胎儿常规超声检查(2022更新)_https://www.jmylbn.com_新闻资讯_第10张

胎儿mt是什么检查什么疼吗【文献学习】【规范、指南】ISUOG实践指南:中孕期胎儿常规超声检查(2022更新)_https://www.jmylbn.com_新闻资讯_第11张

胎儿mt是什么检查什么疼吗【文献学习】【规范、指南】ISUOG实践指南:中孕期胎儿常规超声检查(2022更新)_https://www.jmylbn.com_新闻资讯_第12张


图3胎儿颜面部的超声图。

(a)口腔、嘴唇和鼻子通常通过冠状面进行评估。

(b)如果技术上可行,应获得面部中矢状面,因为它为双侧唇裂、前额凸起、小颌畸形和鼻骨异常提供了重要的诊断线索。(请注意,鼻骨检查是可选的)

(c)两个胎儿眼眶应呈现对称和完整,眼睛间距约为一个眼眶的直径。


颈部

建议:

  • 应记录明显的颈部肿块的存在良好实践证据

颈部通常呈圆柱形,没有突起、肿块或积液。应记录明显的颈部肿块,如囊性水瘤、甲状腺肿或畸胎瘤。


胸部

建议:


  • 胸部的基本检查应包括评估其形态和向腹部的交界、肋骨的形态、肺部的回声,在技术可行的下,观察横膈膜(良好实践证据)


  1. 胸部的形态应规则,与胎儿腹部平缓交界。

  2. 肋骨应该有正常的曲率,没有畸形。

  3. 双肺回声均匀的,无纵隔移位或肿块。

  4. 横膈肌界面表现为胸腔和腹部内脏(例如心脏和胃或肺和肝脏之间)之间的低回声分界线。



心脏


建议


  • 心脏检查应从评估其位置、心轴和心律开始(良好实践证据)

  • 心脏的解剖结构检查应包括四腔切面、流出道切面和三支血管切面(良好实践证据)


  1. 在中孕期超声检查进行胎儿心脏筛查以检测先天性心脏病(图 4)。

  2. 单聚焦焦及缩窄图像宽度有助于提高帧频。

  3. 局部放大功能使心脏图像占据屏幕的1/3-1/2.


胎儿mt是什么检查什么疼吗【文献学习】【规范、指南】ISUOG实践指南:中孕期胎儿常规超声检查(2022更新)_https://www.jmylbn.com_新闻资讯_第13张

胎儿mt是什么检查什么疼吗【文献学习】【规范、指南】ISUOG实践指南:中孕期胎儿常规超声检查(2022更新)_https://www.jmylbn.com_新闻资讯_第14张

胎儿mt是什么检查什么疼吗【文献学习】【规范、指南】ISUOG实践指南:中孕期胎儿常规超声检查(2022更新)_https://www.jmylbn.com_新闻资讯_第15张

胎儿mt是什么检查什么疼吗【文献学习】【规范、指南】ISUOG实践指南:中孕期胎儿常规超声检查(2022更新)_https://www.jmylbn.com_新闻资讯_第16张

胎儿mt是什么检查什么疼吗【文献学习】【规范、指南】ISUOG实践指南:中孕期胎儿常规超声检查(2022更新)_https://www.jmylbn.com_新闻资讯_第17张


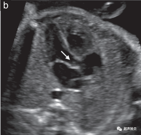
图4 用于妊娠中期胎儿心脏筛查的代表性切面。确定心脏部位,胎儿胃和胎儿心脏在同一左侧位置(未显示)。

(a)四腔心切面 (4CV)包括两个心房,左侧和右侧(LA 和 RA),以及两个心室,左侧和右侧(LV 和 RV),并列的房室瓣和完整的室间隔。

(b)左心室流出道(b)(箭头)和右心室流出道(c)(箭头)。两条动脉流出道的大小大致相等,并且在正常胎儿中通过彼此交叉离开各自的心室。

(d)三血管切面(肺动脉(Pa)、升主动脉(Ao)和右上腔静脉(SVC))和三血管-气管切面(e)(导管弓(Da)、主动脉弓(AA)、右上腔静脉 (SVC) 和气管 (Tr)) 。



  1. 胎儿心脏的超声检查从胎儿心脏四腔心切面开始。

    -正常胎儿率120-160次/分、律整。

    -心脏正位时,心脏位于左胸(与胎儿胃同侧) 。

    -正常的心脏通常不超过胸腔面积1/3,无心包积液。

    -心轴正常应朝向胎儿的左侧,角度大约45±20° (2 SD) 。

  2. 常规心脏筛查还应评估主动脉和肺动脉流出道,以检测超出仅使用四腔切面可实现的心脏畸形(图 4a)。外观正常的大血管大小大致相等,当它们离开各自的心室时应相互交叉(图 4b,c)。除了四腔切面外,对心脏流出道的常规评估提高了识别圆锥干异常的筛查性能,例如法洛四联症、大动脉转位、右心室双出口和共同动脉干畸形。

  3. 三血管切面和密切相关的三血管气管切面可以改善流出道、主动脉弓和全身静脉异常的检测(图 4d、e).

  4. 有关胎儿心脏检查的更详细说明,请参阅 ISUOG 胎儿心脏检查指南


腹部

建议


  • 应该检查胃的存在、位置和形态(良好实践证据)

  • 从左到右,应观察到胃、脐静脉和胆囊。对胆囊的评估是可选的(良好实践证据

  • 应记录肠道内或肠道周围的异常液体积聚(良好实践证据) 

  • 肠道回声增强,与骨骼相同,应及时转诊良好实践证据



  • 应确定 腹部器官位置. 


  1.    胎儿胃在左侧的正常位置应清晰可见,并应占用于 AC 测量的胎儿腹部横切面左半部分的约三分之一。

  2. 胃的位置/位置有任何异常或大小有任何显著偏差(持续不可见或几乎看不到胃、胃扩张超出中线或存在“双气泡”)应及时转诊。

  3. 应在胎儿上腹部识别三个低回声结构:

    --从左到右,胃、脐静脉和胆囊(胆囊评估是可选的)。

    --任何这些结构的异常位置都可能与先天性异常有关(例如,持续性右脐静脉、异位、门分流)。

  4. 肠道应包含在腹部(5a)。

    应检查腹壁缺损的证据,例如脐膨出或腹裂。

    --应记录肠道内或肠道周围的异常积液(例如腹水、肠囊肿、明显的肠道扩张)。

    --肠道回声增强,与骨骼相同,也应该是转诊的原因;为避免误报,应降低超声灰价增益以检查在这些情况下疑似肠道是否比邻近骨骼(如髂嵴)回声强。


肾脏和膀胱


建议

  • 应观察胎儿的膀胱和双肾(良好实践证据)


  • 如果膀胱或肾盂出现增大,则应进行详细评估(良好实践证据)


  1. 应观察胎儿的膀胱和双肾(图 5b,c)。

  2. 如果膀胱或肾盂出现扩大,则应记录测量结果。肾盂 ≥ 7 mm 表明需要在妊娠晚期重新评估 , 胎儿的膀胱不应达到脐带插入的水平。

  3. 在第18周和第22周时,膀胱上下径测量的第95百分位数分别为14毫米和23mm;胎儿膀胱异常增大或持续无法看到膀胱应提示转诊进行更详细的评估。


脊柱


建议

  • 胎儿脊柱的基本检查应包括横切面和矢状切面(良好实践证据)。


  1. 对胎儿脊柱全面检查需要专业知识和细致的扫描,但结果极易受胎儿的体位的影响。

  2. 尽管横切面(图5c)和矢状(图 5d)切面提供很多信息,但胎儿基本筛查不包括对对胎儿脊柱角度的全方位检查。

  3. 。最常见的严重脊柱异常即开放性脊柱裂,常伴有特征性小脑畸形和枕大池消失。

  4. 胎儿脊柱的其他切面的检查可发现其他脊柱畸形,包括椎体异常和骶骨发育不全等;


    胎儿mt是什么检查什么疼吗【文献学习】【规范、指南】ISUOG实践指南:中孕期胎儿常规超声检查(2022更新)_https://www.jmylbn.com_新闻资讯_第18张

    胎儿mt是什么检查什么疼吗【文献学习】【规范、指南】ISUOG实践指南:中孕期胎儿常规超声检查(2022更新)_https://www.jmylbn.com_新闻资讯_第19张

    胎儿mt是什么检查什么疼吗【文献学习】【规范、指南】ISUOG实践指南:中孕期胎儿常规超声检查(2022更新)_https://www.jmylbn.com_新闻资讯_第20张

    胎儿mt是什么检查什么疼吗【文献学习】【规范、指南】ISUOG实践指南:中孕期胎儿常规超声检查(2022更新)_https://www.jmylbn.com_新闻资讯_第21张


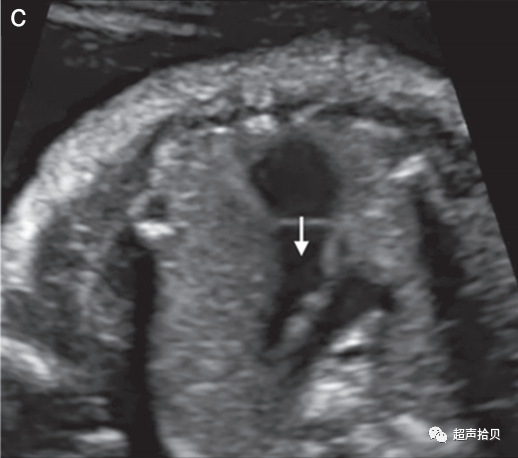
图 5胎儿脐带插入部位和膀胱的超声成像,包括脐动脉、肾脏和脊柱。胎儿腹部的脐带插入部位(a,箭头)提供有关腹壁缺陷存在的信息,例如脐膨出或腹裂。应检查胎儿膀胱(b, )和双肾(c,箭头)。脊柱的横切面和失状切面(c,d)包括清晰可见的完整皮肤线,可有效筛查脊柱裂,尤其是当这些扫描平面在存在额颅骨变形和枕大池消失的情况下异常时。


肢体和四肢


建议


  • 应观察所有四个肢体的存在(良好实践证据)

  • 应评估所有长骨的存在及其对称性、长度、形状、排列、位置和运动(良好实践证据)。

  • 作为常规中孕期超声检查的一部分,计数手指或脚趾不是必需的(良好实践证据)。

  • 除非怀疑有异常,否则测量一根股骨通常就足够了(良好实践证据)。


  1. 手臂和手(图6a)以及腿和脚(图 6b ) 的存在与否 应使用系统方法进行观察记录;

  2. 应检查所有四肢,注意所有长骨的存在及其对称性、长度、形状、对齐、位置和运动。

  3. 作为孕中期常规超声检查的一部分,不需要计数手指或脚趾。

  4. 通常,测量一根股骨就足够了,但如果有问题,则应测量所有长骨,并将测量值与标准化图表进行比较。

  5. 标准检查中疑似偏离正常值应提示进行更详细的检查,以及可能的骨骼发育不良以及遗传和非遗传综合征的专家评估和咨询。


胎儿mt是什么检查什么疼吗【文献学习】【规范、指南】ISUOG实践指南:中孕期胎儿常规超声检查(2022更新)_https://www.jmylbn.com_新闻资讯_第22张

胎儿mt是什么检查什么疼吗【文献学习】【规范、指南】ISUOG实践指南:中孕期胎儿常规超声检查(2022更新)_https://www.jmylbn.com_新闻资讯_第23张

图6胎儿上(a)和(b)下肢的超声检查。上肢和下肢是否存在应常规观察记录,除非由于技术因素而不明显。



生殖器


建议


  • 虽然检查胎儿生殖器以确定性别不是中孕期常规超声检查的一部分,但应检查其正常外观(良好实践证据)


  1. 确定胎儿性别的外生殖器特征不应作为中孕期常规超声检查的一部分。

  2. 仅应父母要求并在当地规范和法规允许的情况下,才应考虑报告性别。

  3. 但是,应检查外生殖器的正常外观。


胎盘

建议


  • 应检查胎盘与宫颈内口的关系良好实践证据

  • 如果经阴道超声检查胎盘下缘与内口之间的距离≤15 mm,建议在妊娠晚期进行随访检查(推荐等级:C)

  • 如果在常规妊娠中期扫描中怀疑胎盘植入,建议进行更详细的评估良好实践证据)。


  1. 应评估和描述胎盘位置(图 7 )、其与宫颈内口的关系(通常使用经腹超声)以及图像特征。胎盘异常表现的例子包括出血、三倍体中的多个无回声囊肿(与正常腔隙不同)和胎盘肿块,如绒毛膜血管瘤。

  2. 在大多数情况下,在常规的妊娠中期检查中,经腹超声检查可以清楚地确定胎盘和宫颈内口之间的关系。如果胎盘下缘到达或重叠内口,建议在妊娠晚期进行随访检查.

  3. 尽管几乎没有证据表明重新评估低置胎盘的最佳截止值,最近建议使用妊娠中期扫描时的经阴道成像,前部和后部胎盘的可能胎盘迁移的截止值分别为距内口 5 毫米和 15.5 毫米。孕期低位胎盘“迁移”(即胎盘边缘和内口之间的子宫壁生长)很常见,在大多数情况下,妊娠晚期的随访将确认胎盘位置正常.

  4. 有子宫手术史和低置胎盘或前置胎盘的妇女有患胎盘植入谱系疾病的风险。在这些情况下,应检查胎盘是否有以下发现:

    - 胎盘下缺乏低回声肌层线;

    -大而不规则的胎盘腔隙;

    -子宫浆膜和膀胱之间的高回声线中断;

    -胎盘下方的子宫肌层厚度减少(< 1 mm);

    -胎盘隆起。

        虽然在常规的妊娠中期扫描期间可能会怀疑胎盘植入,但通常需要更详细的评估来进一步检查这种可能性。


胎儿mt是什么检查什么疼吗【文献学习】【规范、指南】ISUOG实践指南:中孕期胎儿常规超声检查(2022更新)_https://www.jmylbn.com_新闻资讯_第24张

图7胎盘位置应根据母体宫颈确定(虚线箭头)。


筛查前置血管


建议:


  • 在存在前置血管危险因素的情况下,根据经验和资源,建议使用经阴道方法进行有针对性的检查(推荐等级:B)



  1. 前置血管被定义为在宫颈内口上方或 2 cm 范围内穿过胎膜的未受保护的胎儿血管,在一般人群中每 1000 例妊娠中约有 0.5 例存在前置血管。

  2. 前置血管的危险因素包括双胎妊娠、辅助生殖技术受孕、低位或双叶胎盘、副胎盘和帆状脐带插入。如果确定了此类风险因素,建议进行有针对性的检查,因为产前了解前置血管可显着提高存活率并降低围产期发病率。

  3. 这可以使用彩色多普勒成像的经阴道超声检查, 同样,当经腹扫描提示前置胎盘或母体子宫颈缩短/扩张的可能性时,使用彩色多普勒成像的经阴道超声检查也可能有益。

  4. 然而,关于是否应在妊娠中期扫描时进行帆状脐带插入和/或前置血管的常规筛查一直存在争议。这些证据的质量是有限的,并且没有考虑到过度诊断这种异常现象的后果。

  5. 此外,并非所有的医疗实践都有足够的经阴道超声检查经验或有资源进行适当的消毒程序。


子宫颈、子宫和附件


建议


  • 在技术允许下,在筛查早产的情况下,应在妊娠中期扫描时进行经阴道 CL 测量(推荐等级:C)。

  • 此评估需要女性的知情同意、适当的操作人员培训和结果审核(良好实践证据)。


  1. 几项研究表明,经阴道超声检查下短 CL(通常定义为 < 25 mm,尤其是在 24 周之前)与随后的早产之间存在很强的相关性。CL 测量可以作为常规妊娠中期扫描的一部分,通过经阴道成像进行,这需要女性的知情同意、适当的操作人员培训和结果审核。

  2. 对单胎妊娠、既往无自发性早产和 24 周前经阴道超声 CL < 25 mm 的妇女进行随机对照试验的荟萃分析表明,阴道黄体酮给药显着降低了早产和新生儿发病率的风险. 两项成本效益分析表明,在妊娠中期测量 CL 并在宫颈短的女性中补充孕酮似乎是一种具有成本效益的早产筛查策略;由于这些原因,通常建议在一般人群中进行经阴道超声 CL 测量。

  3. 对于单胎妊娠、宫颈短且既往自发早产的女性,环扎与显着降低早产风险和新生儿发病率和死亡率相关。一些医学协会建议在该人群中在 16-23 周时连续进行经阴道超声CL测量


“ISUOG 实践指南:超声在预测自发性早产中的作用”(准备中)将提供更多建议和指导。



文献来源





Ultrasound Obstet Gynecol. 2022 Jun;59(6):840-856.  Epub 2022 May 20.

ISUOG Practice Guidelines (updated): performance of the routine mid-trimester fetal ultrasound scan

L J Salomon 1, Z Alfirevic 


PMID: 35592929 DOI: 10.1002/uog.24888







nxx摘录编译由于本人E盲一枚,本文全是出自软件翻译,流畅没有,错误百出,仅供参考,欢迎诸位老师拍砖 !谢谢指正!索取原文请联系微信:luoyinxx6626



胎儿mt是什么检查什么疼吗【文献学习】【规范、指南】ISUOG实践指南:中孕期胎儿常规超声检查(2022更新)_https://www.jmylbn.com_新闻资讯_第25张




  • 胎儿mt是什么检查什么疼吗【文献学习】【规范、指南】ISUOG实践指南:中孕期胎儿常规超声检查(2022更新)_https://www.jmylbn.com_新闻资讯_第26张


  • 长按以上图片,识别图中二维码,加关注


  • 坚持是一种信念。专注是一种态度!


  • 点一下“在看”鼓励一下哟!胎儿mt是什么检查什么疼吗【文献学习】【规范、指南】ISUOG实践指南:中孕期胎儿常规超声检查(2022更新)_https://www.jmylbn.com_新闻资讯_第27张