胆管支架什么样子经皮肝胆管穿刺置管引流术(PTCD)及胆道内支架临床应用

新闻资讯2026-04-24 07:21:35

恶性梗阻性黄疸被发现时多为晚期,能作外科根治术仅占极少数,而且外科分流旁路术或姑息切除的并发症及术后病死率相当高1966Seldinger,1974年Okduda等发展了细针穿刺技术,首次实现穿刺后无需外科干预,并发症和死亡率明显降低。 

胆管支架什么样子经皮肝胆管穿刺置管引流术(PTCD)及胆道内支架临床应用_https://www.jmylbn.com_新闻资讯_第1张

1974年Molnar和Stocknm用经皮穿肝胆管引流术(Pecutaneous Transhepatic Cholangiography and Drainage, PTCD)缓解恶性梗阻性黄疸以来,已成为该病姑息治疗的首选方法,使得无法行旁路分流手术的患者获得减压治疗的机会。

胆管支架什么样子经皮肝胆管穿刺置管引流术(PTCD)及胆道内支架临床应用_https://www.jmylbn.com_新闻资讯_第2张

1978年Burcharth 和Pereirasy用内涵管引流胆汁,该方法是将内支架(内支撑管或内涵管)放置在胆管梗阻部位,使肝内淤积的胆汁沿生理通道流入十二指肠,部分或完全恢复胆系的生理功能,解除胆汁缺乏引起的消化不良,恢复肠肝循环及肠道微生态,患者又不必长期携带引流袋,降低了感染的几率,提高了生活质量。 

1989年,金属内支架开始用于治疗胆道狭窄,解决了塑料内涵管有效引流管径小,置放时需要外径较大的导管鞘,易被胆泥和细胞碎片堵塞的缺点。 

胆管支架什么样子经皮肝胆管穿刺置管引流术(PTCD)及胆道内支架临床应用_https://www.jmylbn.com_新闻资讯_第3张

随着材料技术和制造工艺的进步,现在临床应用的金属支架具有操作简单,置放途径灵活,有效引流管径大,生物相容性好的特点。目前,恶性梗阻性黄疸的治疗在恢复胆汁生理引流的基础上,结合选择性动脉灌注化疗和(或)栓塞术,胆管内照射和(或)外照射等对恶性实施治疗。

一、梗阻性黄疸临床症状与病理生理

1.巩膜皮肤等黄疸和皮肤搔痒         

2.对肝脏的影响                                

3.对肾脏的影响                                  

4.对心血管系统的影响                     

5.对凝血功能的影响

6.对消化系统的影响                        

7.对神经系统的影响                            

8.伤口愈合障碍 

二、 适应证和禁忌证

1. 适应证

(1) 不能手术切除的胆总管下端恶性     肿瘤(胰头癌、壶腹癌、十二指肠癌等)引起的梗阻性黄疸。

(2) 原发性于肝内、肝门、胆总管的  胆管癌,周围结构广泛受累。

(3) 无手术指征的中晚期胆囊癌侵犯 胆管。

(4) 中晚期肝癌侵犯或压迫胆管,或胆管内癌栓形成。

(5) 肝、胆管系的转移性肿瘤或肿大淋巴结侵犯压迫胆管。

(6) 各种因素致使外科手术危险大,如年老体弱者,合并其他脏器严重疾患者,如严重心、肾、肺功能差的患者难以耐受外科手术;或者手术部位解剖结构复杂,外科手术困难等。

(7)有外科手术适应证患者,术前需行短暂引流降低黄疸, 以改善机体状况, 降低围手术期病死率。

2.禁忌证

1)、凝血功能严重障碍。

2)、脓毒血症或浓毒败血症。

3)、大量腹水。

4)、 终末期患者。

5)、 肝门以上多支肝段胆管阻塞,无法   建立有效引流。

三、 术前准备

1.完善病人临床检查。                                

1)实验检查。                                                   

2)术前心电图和胸片检查。                           

3)腹部超声和放射检查。 

2.术前对症治疗。

梗阻性黄疸肝功能异常 CB/TB升高,ALT和AST升高,低蛋白血症,凝血酶原时间延长,随梗阻时间的延长而呈进行性加重,可致肝细胞损伤坏死。肠道中胆盐缺乏,肠道内细菌孽生和易位,诱发内毒素血症,肝枯否细胞及单核巨噬细胞功能受抑制,免疫功能降低。术前一周内可予以血浆、人血白蛋白、维生素K、维生素C等药物保肝和支持治疗;术前2-3天应用广谱抗生素尤为重要。

3.器械准备

对PTCD介入器械要全面了解和熟悉使用性能,针对不同的病变情况合理选用,优化组合,可缩短操作时间和降低术后并发症。

(1)穿刺针:活检针;

(2)三件套,一根金属内套管,4F的同轴扩张管及带有标记的6F外套管。 

(3)常用导丝;

(4)扩张器;

(5)球囊;

(6)8F多侧孔或少侧孔内外引流管。

四、PTCD通道的建立技术

1)术前  

(2)术中  

(3)患者术前静卧造影床20分钟使横膈位置恢复到一定高度以利于选择穿刺点。   

在注入造影剂时要注意辨别以下几种结构:

1.门静脉及其分支结构  在大小和形态上与胆管相似,由于血管内的造影剂很快被冲走,因而鉴别不难。

2.肝动脉  显示的分支结构很快消失,紧接着肝实质显影。

3.肝静脉  呈管状结构,一般看不到分支,造影剂向头侧流向右心房。

4.淋巴管  呈小而不规则的线样结构,停留时间长,分支形态无规律。

5.肝实质  呈不规则的片状结构,造影剂消散很慢。

6.胆道  当穿刺针进入胆管腔内时有突破感觉,注入造影剂缓慢充盈胆管,边缘光整,很快见扩张胆管分支显影。如果停止注射造影剂片刻,可见造影剂停留在管腔内,不象在血管里那样很快被血流冲走。

(4)胆道穿刺成功率可达99-100%。穿刺成功后,穿刺针固定,注入相当量的造影剂作胆管造影,了解阻塞的部位及肝内外胆管扩张情况。 

胆汁得到充分引流后,则胆红素在7-10天应下降50%以上。如引流不畅有胆盐栓、血凝块、导管移位或肠内容物堵塞引流管等原因。导管冲洗,导丝疏通,置换新的引流管可恢复引流。

有些患者黄疸下降到一定程度后不再下降,通常为100μmol/L左右,应考虑是否存在其他肝管分支引流不畅,必要时再次引流。早治疗比晚治疗好,梗阻时间越长胆管炎可能性越大,各级胆管水肿、坏死、纤维化,再加上胆汁淤泥形成,即使大胆管开通良好也达不到有效引流,置入支架解除梗阻的效果较差。长期较高黄疸存在可造成全身脏器的不可逆损伤。

五、 胆管内支架置放技术

1.支架的选用原则

 目前胆管支架分两大类:(1) 塑料内涵管(Plastic Stent,)(2) 可扩张金属内支架。

2.胆道支架的置放

(1) 适应证和禁忌证同PTCD;(2) 支架置放操作方法;

胆管支架的置放分一步法和两步法:  作PTCD引流的同时置入内支架称一步法,一般在PTCD引流一周后进行,称为两步法。 

疗效评价:恶性胆道梗阻临床疗效的评价比较困难,问题在于用阻塞率评价临床疗效存在缺陷。

胆管支架什么样子经皮肝胆管穿刺置管引流术(PTCD)及胆道内支架临床应用_https://www.jmylbn.com_新闻资讯_第4张

胆管支架植入后阻塞的原因包括支架内肿瘤生长、支架两端肿瘤过度生长及胆汁淤泥形成等。经皮穿肝胃小弯途径可避开肿瘤和狭窄段,适用于肝门以下胆管完全梗阻,不能建立引流通道的病例。

六、 术后处理及引流导管护理

1.术后处理;2.引流导管的护理;

(1) 住院期间护理;(2) 出院后随访期护理 ;

七、 并发症的预防和处理

经皮穿肝胆道引流术(PTCD)与旁路分流术的术后并发症分别为4%-10%和17%-20%,术后三十天平均死亡率两者分别为4%和20%。

PTCD术后主要并发症有:

(1) 胆管炎和胆管脓肿是胆管引流最常见的并发症。                                

(2) 菌血症与败血症 梗阻的胆管常有感染

(3) 胆管内出血 胆管血管瘘也是常见的 ,

(4) 动静脉瘘                                                 

(5) 胸腔并发症                                             

(6) 胆汁性腹膜炎                                          

(7) 胆管以外部位出血 

八、 支架置入后再狭窄及处理

支架置入后再狭窄是影响临床远期疗效的主要原因。

1.再狭窄的病理基础;2.再狭窄的判断与处理;

 (1) 再狭窄的判断;(2) 再狭窄的处理;

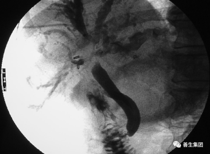
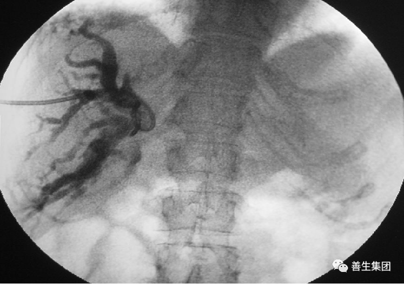
PTC示左右肝管内间广泛充盈缺损,为胆道出血正像

胆管支架什么样子经皮肝胆管穿刺置管引流术(PTCD)及胆道内支架临床应用_https://www.jmylbn.com_新闻资讯_第5张

胆管支架什么样子经皮肝胆管穿刺置管引流术(PTCD)及胆道内支架临床应用_https://www.jmylbn.com_新闻资讯_第6张

胆管支架什么样子经皮肝胆管穿刺置管引流术(PTCD)及胆道内支架临床应用_https://www.jmylbn.com_新闻资讯_第7张

胆管支架什么样子经皮肝胆管穿刺置管引流术(PTCD)及胆道内支架临床应用_https://www.jmylbn.com_新闻资讯_第8张

高位梗阻PTC示肝门部梗阻,左右肝管分别受侵犯

胆管支架什么样子经皮肝胆管穿刺置管引流术(PTCD)及胆道内支架临床应用_https://www.jmylbn.com_新闻资讯_第9张

高位梗阻胆管癌患者

胆管支架什么样子经皮肝胆管穿刺置管引流术(PTCD)及胆道内支架临床应用_https://www.jmylbn.com_新闻资讯_第10张

穿刺右肝管分别穿刺左右肝管,Y型放置2枚支架型内支架

胆管支架什么样子经皮肝胆管穿刺置管引流术(PTCD)及胆道内支架临床应用_https://www.jmylbn.com_新闻资讯_第11张

胆管支架什么样子经皮肝胆管穿刺置管引流术(PTCD)及胆道内支架临床应用_https://www.jmylbn.com_新闻资讯_第12张

胆管支架什么样子经皮肝胆管穿刺置管引流术(PTCD)及胆道内支架临床应用_https://www.jmylbn.com_新闻资讯_第13张

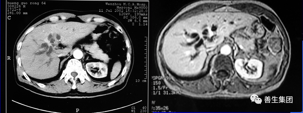
皮肤巩膜黄染伴皮肤瘙痒20余日,胰头MT。

胆管支架什么样子经皮肝胆管穿刺置管引流术(PTCD)及胆道内支架临床应用_https://www.jmylbn.com_新闻资讯_第14张

MIR和CT

胆管支架什么样子经皮肝胆管穿刺置管引流术(PTCD)及胆道内支架临床应用_https://www.jmylbn.com_新闻资讯_第15张

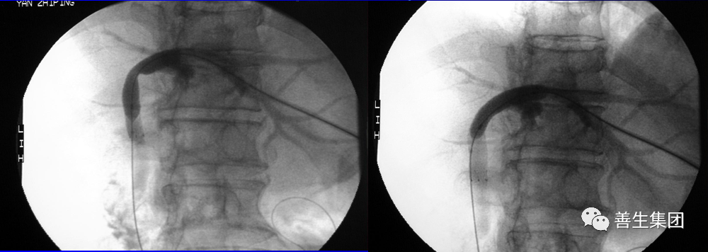
PTC造影+MIR胆道

胆管支架什么样子经皮肝胆管穿刺置管引流术(PTCD)及胆道内支架临床应用_https://www.jmylbn.com_新闻资讯_第16张

双导丝+左右肝管分别引流

胆管支架什么样子经皮肝胆管穿刺置管引流术(PTCD)及胆道内支架临床应用_https://www.jmylbn.com_新闻资讯_第17张

PTCD

胆管支架什么样子经皮肝胆管穿刺置管引流术(PTCD)及胆道内支架临床应用_https://www.jmylbn.com_新闻资讯_第18张

胆管支架什么样子经皮肝胆管穿刺置管引流术(PTCD)及胆道内支架临床应用_https://www.jmylbn.com_新闻资讯_第19张

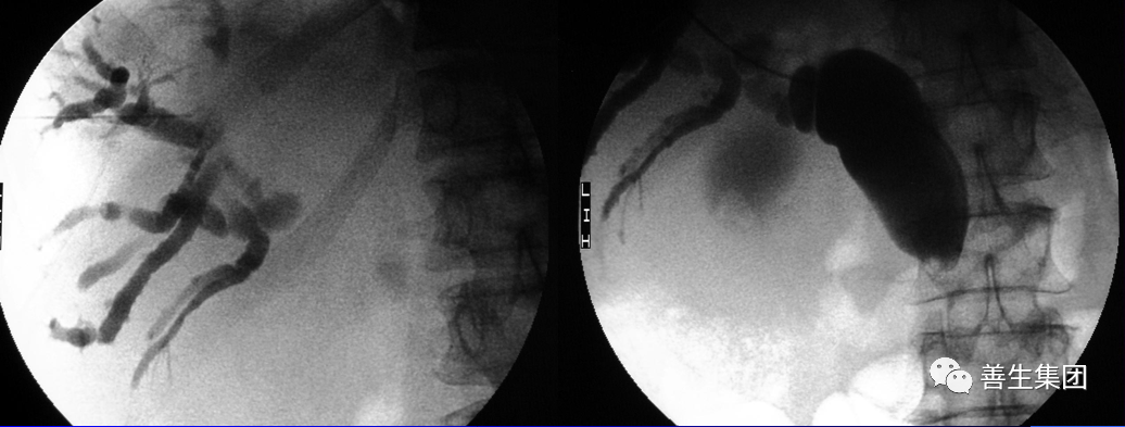
胆囊MT术后,梗阻性黄疸。

胆管支架什么样子经皮肝胆管穿刺置管引流术(PTCD)及胆道内支架临床应用_https://www.jmylbn.com_新闻资讯_第20张

左肝MT,梗阻性黄疸,累及肝门,引流分支,不彻底。

胆管支架什么样子经皮肝胆管穿刺置管引流术(PTCD)及胆道内支架临床应用_https://www.jmylbn.com_新闻资讯_第21张

引流+支架后黄疸先下降后上升。

胆管支架什么样子经皮肝胆管穿刺置管引流术(PTCD)及胆道内支架临床应用_https://www.jmylbn.com_新闻资讯_第22张

右肝MT,伴梗阻性黄疸。先穿刺右侧胆管,发觉左侧胆管更顺,改穿左侧。

胆管支架什么样子经皮肝胆管穿刺置管引流术(PTCD)及胆道内支架临床应用_https://www.jmylbn.com_新闻资讯_第23张

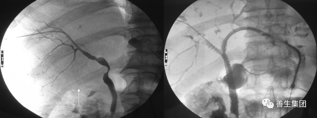
导管、导丝通过狭窄段

胆管支架什么样子经皮肝胆管穿刺置管引流术(PTCD)及胆道内支架临床应用_https://www.jmylbn.com_新闻资讯_第24张

金属内支架+局部狭窄扩张后

胆管支架什么样子经皮肝胆管穿刺置管引流术(PTCD)及胆道内支架临床应用_https://www.jmylbn.com_新闻资讯_第25张

金属内支架+引流管

胆管支架什么样子经皮肝胆管穿刺置管引流术(PTCD)及胆道内支架临床应用_https://www.jmylbn.com_新闻资讯_第26张

此文是出于传递和分享学习之目的,并不代表本小编的观点!

 请微信搜索并关注“善生集团”,我们会不定时的更新医疗讯息和临床手术视频,或者扫一扫下面二维码关注。

胆管支架什么样子经皮肝胆管穿刺置管引流术(PTCD)及胆道内支架临床应用_https://www.jmylbn.com_新闻资讯_第27张

 关注善生医疗、我们一起为生命探索。