胆管支架什么样子新突破丨无需开刀!市妇幼(市二医院)成功完成院内首例经内镜逆行性胰胆管造影(ERCP)术+覆膜金属支架放置术+胰管支架植入术

新闻资讯2026-04-24 07:21:32

胆管支架什么样子新突破丨无需开刀!市妇幼(市二医院)成功完成院内首例经内镜逆行性胰胆管造影(ERCP)术+覆膜金属支架放置术+胰管支架植入术_https://www.jmylbn.com_新闻资讯_第1张


5月20日,我院消化内科顺利完成院内首例经内镜逆行性胰胆管造影(ERCP)术+覆膜金属支架放置术+胰管支架植入术。


经内镜逆行性胰胆管造影(ERCP)术一直被业界誉为内镜领域“皇冠级手术”,此次消化内科在ERCP领域再次取得新的突破,体现了科室在胆胰微创ERCP诊疗领域技术的日益成熟,也将为广大胆胰疾病患者内镜治疗带来新的微创、高效、安全的选择,为患者带来实实在在的益处。



前阵子,70岁的赵阿姨经历了经皮穿刺胆管引流(PTCD)术,术后恢复良好。但本该静养的她却整天心神不宁,家人也是忧心忡忡。起因并非是外带引流管导致生活上的不便,而是赵阿姨增强CT报告上的这句话——“考虑胆总管下段肿瘤占位可能”


是否存在胆总管肿瘤?

还是胰腺肿瘤引起胆总管梗阻?

肿瘤会是恶性的吗?


得知我院消化内科已顺利开展ERCP诊疗项目,为了摆脱“定时炸弹”安心生活,5月16日,赵阿姨在女儿陪伴下来到了我院消化内科求诊。

胆管支架什么样子新突破丨无需开刀!市妇幼(市二医院)成功完成院内首例经内镜逆行性胰胆管造影(ERCP)术+覆膜金属支架放置术+胰管支架植入术_https://www.jmylbn.com_新闻资讯_第2张 

胆管支架什么样子新突破丨无需开刀!市妇幼(市二医院)成功完成院内首例经内镜逆行性胰胆管造影(ERCP)术+覆膜金属支架放置术+胰管支架植入术_https://www.jmylbn.com_新闻资讯_第3张

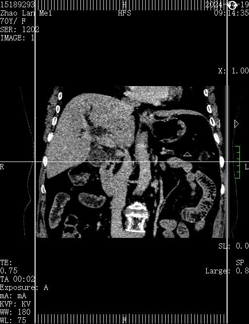
术前增强CT提示:胆总管下段占位?胆总管上段及肝内外胆管扩张


消化内科主任植中敬主任医师接诊后,综合赵阿姨的胆总管狭窄原因不明确且肿瘤性质未明,无法进行后续治疗的情况,迅速组织普外科、介入科、肿瘤科、心血管内科、麻醉科等开展多学科讨论,认为应尽快明确赵阿姨胆总管梗阻的原因,此外她目前“带管”生活十分不便,可考虑将胆管引流管从外引流改为内引流。结合消化内科团队积累经内镜逆行性胰胆管造影(ERCP)术的成功经验,一致赞同为赵阿姨行ERCP术是最理想的治疗方案,其具有切口小、恢复快、创伤小的优势,无需开刀即可完成胆胰疾病的操作、诊断及治疗,能极大减轻患者的痛苦。


5月20日,经与赵阿姨及家属充分沟通并征得同意,在完善各项术前准备后,消化团队结合赵阿姨的实际情况,为其行“经内镜逆行性胰胆管造影(ERCP)术+覆膜金属支架放置术+胰管支架植入术”。术中,在介入科、麻醉科的通力协作下,植中敬操作十二指肠镜顺利进入赵阿姨的十二指肠降段,并清晰暴露十二指肠乳头,乳头开口处可见原PTCD引流管,弓形刀辅助下导丝顺利进入胆总管

胆管支架什么样子新突破丨无需开刀!市妇幼(市二医院)成功完成院内首例经内镜逆行性胰胆管造影(ERCP)术+覆膜金属支架放置术+胰管支架植入术_https://www.jmylbn.com_新闻资讯_第4张 

胆管支架什么样子新突破丨无需开刀!市妇幼(市二医院)成功完成院内首例经内镜逆行性胰胆管造影(ERCP)术+覆膜金属支架放置术+胰管支架植入术_https://www.jmylbn.com_新闻资讯_第5张

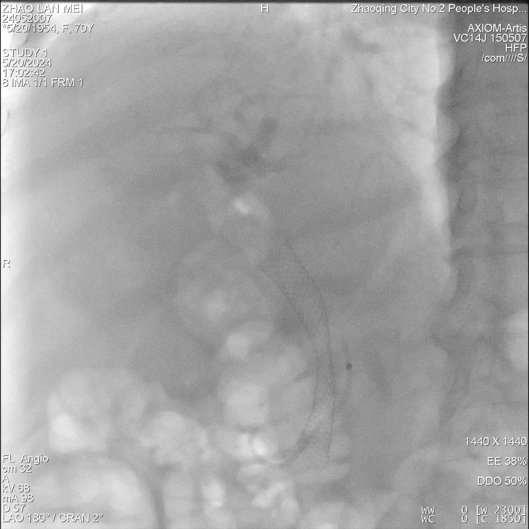
术中造影提示胆总管胰头段狭窄,胆总管乳头部正常


通过造影检查,发现胆总管下段为外压狭窄,在介入科梁威飘医师的辅助下顺利拔除PTCD引流管后,保留胆总管导丝,另一导丝顺利进入胰管,通过造影发现胰腺体部胰管狭窄,导丝不能通过也不能经副乳头出口穿出,胆总管狭窄的“元凶”终于被明确为胰头肿瘤


随后,植中敬沿胆总管导丝顺利放置全覆膜金属支架一枚,支架顺利释放并扩张,胆汁引流顺畅,再沿导丝顺利放置一胰管支架以维持胰液引流通畅。

胆管支架什么样子新突破丨无需开刀!市妇幼(市二医院)成功完成院内首例经内镜逆行性胰胆管造影(ERCP)术+覆膜金属支架放置术+胰管支架植入术_https://www.jmylbn.com_新闻资讯_第6张 

胆管支架什么样子新突破丨无需开刀!市妇幼(市二医院)成功完成院内首例经内镜逆行性胰胆管造影(ERCP)术+覆膜金属支架放置术+胰管支架植入术_https://www.jmylbn.com_新闻资讯_第7张

沿导丝成功放置胆管全覆膜支架及胰腺塑料支架

胆管支架什么样子新突破丨无需开刀!市妇幼(市二医院)成功完成院内首例经内镜逆行性胰胆管造影(ERCP)术+覆膜金属支架放置术+胰管支架植入术_https://www.jmylbn.com_新闻资讯_第8张 

胆管支架什么样子新突破丨无需开刀!市妇幼(市二医院)成功完成院内首例经内镜逆行性胰胆管造影(ERCP)术+覆膜金属支架放置术+胰管支架植入术_https://www.jmylbn.com_新闻资讯_第9张

内镜下可见胆管金属支架及胰管支架


手术过程顺利,赵阿姨没有出现穿孔或出血等并发症。经过术后观察,目前赵阿姨恢复情况良好。结束了“带管”的不便时光,生活质量得到明显提高的赵阿姨表示,后续将积极针对胰腺肿瘤进行治疗。

胆管支架什么样子新突破丨无需开刀!市妇幼(市二医院)成功完成院内首例经内镜逆行性胰胆管造影(ERCP)术+覆膜金属支架放置术+胰管支架植入术_https://www.jmylbn.com_新闻资讯_第10张 

胆管支架什么样子新突破丨无需开刀!市妇幼(市二医院)成功完成院内首例经内镜逆行性胰胆管造影(ERCP)术+覆膜金属支架放置术+胰管支架植入术_https://www.jmylbn.com_新闻资讯_第11张

植中敬查看赵阿姨术后恢复情况


胆管支架什么样子新突破丨无需开刀!市妇幼(市二医院)成功完成院内首例经内镜逆行性胰胆管造影(ERCP)术+覆膜金属支架放置术+胰管支架植入术_https://www.jmylbn.com_新闻资讯_第12张
什么是ERCP术?


经内镜逆行性胰胆管造影(ERCP)术是当今胰胆疾病治疗领域的重要手段,因其操作难度之高,被誉为内镜领域“皇冠级手术”,代表着消化内镜技术的最高水平


ERCP术具有无需开刀、创伤小、手术时间短、并发症较外科手术少等优势,能大大缩短患者住院时间,深受患者青睐。




胆管支架什么样子新突破丨无需开刀!市妇幼(市二医院)成功完成院内首例经内镜逆行性胰胆管造影(ERCP)术+覆膜金属支架放置术+胰管支架植入术_https://www.jmylbn.com_新闻资讯_第13张
ERCP术的适用症


1.胆道梗阻引起的黄疸。


2.临床、实验室或影像学检查支持胰腺或胆道疾患(如结石、肿瘤、硬化性胆管炎等)。


3.胰腺疾病:胰腺肿瘤、慢性胰腺炎、胰腺囊肿等。


4.原因不明的胰腺炎


5.Oddi括约肌测压。


6.胰管或胆管的组织活检




胆管支架什么样子新突破丨无需开刀!市妇幼(市二医院)成功完成院内首例经内镜逆行性胰胆管造影(ERCP)术+覆膜金属支架放置术+胰管支架植入术_https://www.jmylbn.com_新闻资讯_第14张


目前我市能够开展ERCP技术的医院屈指可数

本次院内首例

经内镜逆行性胰胆管造影(ERCP)术

+覆膜金属支架放置术

+胰管支架植入术的成功开展

是消化内科在解决

胆道、胰腺系统急危重症方面的新突破

标志着我院内镜技术迈向了更成熟的阶段

年轻而富有活力的二院消化人

致力于为患者提供更高效、优质的服务

未来,继续加油!





胆管支架什么样子新突破丨无需开刀!市妇幼(市二医院)成功完成院内首例经内镜逆行性胰胆管造影(ERCP)术+覆膜金属支架放置术+胰管支架植入术_https://www.jmylbn.com_新闻资讯_第15张
源:消化内科 植中敬
编辑:医院办公室

本文部分资料来源于网络,如有涉及侵权或违规,请联系我们进行删除修改,谢谢!

胆管支架什么样子新突破丨无需开刀!市妇幼(市二医院)成功完成院内首例经内镜逆行性胰胆管造影(ERCP)术+覆膜金属支架放置术+胰管支架植入术_https://www.jmylbn.com_新闻资讯_第16张

胆管支架什么样子新突破丨无需开刀!市妇幼(市二医院)成功完成院内首例经内镜逆行性胰胆管造影(ERCP)术+覆膜金属支架放置术+胰管支架植入术_https://www.jmylbn.com_新闻资讯_第17张

胆管支架什么样子新突破丨无需开刀!市妇幼(市二医院)成功完成院内首例经内镜逆行性胰胆管造影(ERCP)术+覆膜金属支架放置术+胰管支架植入术_https://www.jmylbn.com_新闻资讯_第18张



胆管支架什么样子新突破丨无需开刀!市妇幼(市二医院)成功完成院内首例经内镜逆行性胰胆管造影(ERCP)术+覆膜金属支架放置术+胰管支架植入术_https://www.jmylbn.com_新闻资讯_第19张


胆管支架什么样子新突破丨无需开刀!市妇幼(市二医院)成功完成院内首例经内镜逆行性胰胆管造影(ERCP)术+覆膜金属支架放置术+胰管支架植入术_https://www.jmylbn.com_新闻资讯_第20张


胆管支架什么样子新突破丨无需开刀!市妇幼(市二医院)成功完成院内首例经内镜逆行性胰胆管造影(ERCP)术+覆膜金属支架放置术+胰管支架植入术_https://www.jmylbn.com_新闻资讯_第21张




胆管支架什么样子新突破丨无需开刀!市妇幼(市二医院)成功完成院内首例经内镜逆行性胰胆管造影(ERCP)术+覆膜金属支架放置术+胰管支架植入术_https://www.jmylbn.com_新闻资讯_第22张