洗牙机器什么牌子好《健康常在》第116期——智慧医疗“黑科技”,机器人频繁现身

新闻资讯2026-04-24 04:34:09

洗牙机器什么牌子好《健康常在》第116期——智慧医疗“黑科技”,机器人频繁现身_https://www.jmylbn.com_新闻资讯_第1张

由常州广播电视台与常州市卫生健康委员会联合开办的《健康常在》专栏,提供专业、权威的健康资讯,助力百姓健康!


NO.116

健康

视频完整放送↓



(点击查看视频↑)

洗牙机器什么牌子好《健康常在》第116期——智慧医疗“黑科技”,机器人频繁现身_https://www.jmylbn.com_新闻资讯_第2张


目录Directory

播出时间:2024.09.20
1

常州一院开展首例机器人辅助下全膝关节置换手术

2


全市首例 机器人辅助完成全腹腔镜远端胃癌根治术

3

9.20全国爱牙日:口腔健康 全身健康

4

长期强忍腹痛 女子最终痛失胆囊

5

孕妇命悬“胰腺” 连续手术解危难

01

智慧医疗

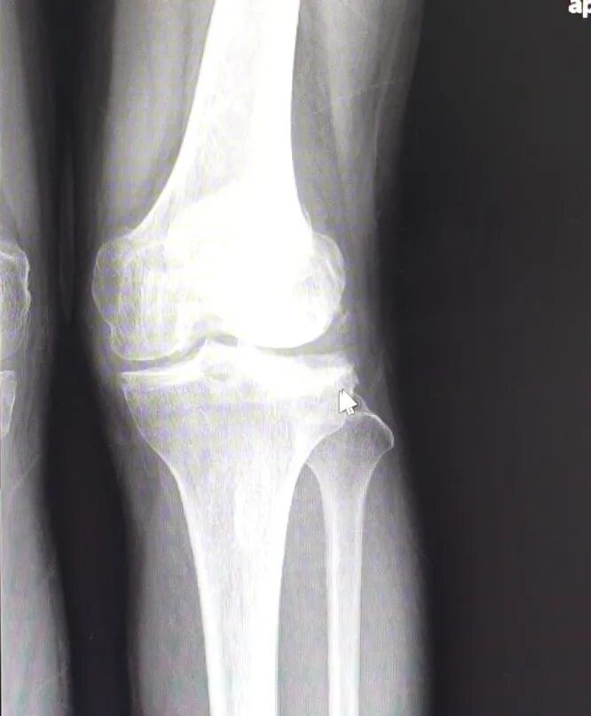
辅助测量、采点配准、机械臂精准截骨、假体植入……近日,饱受膝关节疼痛折磨近3年的李先生换上了新的膝关节,为他做手术的除了医生,还有“机器人”。


洗牙机器什么牌子好《健康常在》第116期——智慧医疗“黑科技”,机器人频繁现身_https://www.jmylbn.com_新闻资讯_第3张


60岁的李先生家住万福花园,十年前被查出患有类风湿性关节炎,左膝关节开始疼痛。随着时间的推移,疼痛愈发严重。“近三年膝关节变形最严重,已经影响走路了,走每一步都感觉很疼痛。”李先生说。


因为痛到无法走路,李先生大多数时间只能在家坐着。他也尝试用理疗等多种治疗方式,效果都不理想。最终,他在家人的陪同下来到常州一院骨关节科求助。


洗牙机器什么牌子好《健康常在》第116期——智慧医疗“黑科技”,机器人频繁现身_https://www.jmylbn.com_新闻资讯_第4张

△手术前

洗牙机器什么牌子好《健康常在》第116期——智慧医疗“黑科技”,机器人频繁现身_https://www.jmylbn.com_新闻资讯_第5张

△手术后



医生在检查患者后,发现患者是很严重的类风湿性关节炎,膝关节出现外翻畸形,已达中重度,需要手术治疗。


而对于存在骨骼畸形的患者,传统手术操作存在一些困难。“以往这种手术特别依赖医生的经验,所以也会出现一些误差,导致手术效果不佳。”常州一院骨关节科主任医师王益民表示。


洗牙机器什么牌子好《健康常在》第116期——智慧医疗“黑科技”,机器人频繁现身_https://www.jmylbn.com_新闻资讯_第6张


而国内最新的关节置换机器人,可开展机器人辅助下的人工全膝关节置换术。


术前,在人工智能AI规划的辅助下,对术中截骨量以及假体型号、安放位置等进行精确测量,约10分钟就能“量体裁衣”设计出一套方案,医生可以在此基础上进行术前“预演”,提前进行评估和微调。


王益民说:“经过一些实践以后,我们发现机器人辅助全膝关节置换,误差在一个毫米以内,这样就能做到很精准的关节假体的植入。”


在对患者耐心细致地解释手术方式后,患者采纳了医生的建议。术中,医生借助机器人辅助技术,开展精准截骨,调试安装好假体后,一台复杂的全膝关节置换手术就这样轻松完成。


洗牙机器什么牌子好《健康常在》第116期——智慧医疗“黑科技”,机器人频繁现身_https://www.jmylbn.com_新闻资讯_第7张


李先生术后不久就能下地行走了,对此他特别高兴,“通过这次手术,关节已经恢复正常了,已经拉直了,走路没有感觉疼痛了。”李先生说。


据悉,这是常州市第一人民医院成功开展的全市首例机器人辅助下膝关节置换手术,在机器人的参与下,可实现复杂手术安全化、精准化、微创化、降低并发症发生的可能性,术后功能恢复、康复也会更快,让患者全方位受益。




02

智慧医疗

达芬奇手术机器人是目前全世界最先进的外科手术机器人平台。9月18日上午,常州二院完成我市首例达芬奇机器人辅助下全腹腔镜远端胃癌根治术。

洗牙机器什么牌子好《健康常在》第116期——智慧医疗“黑科技”,机器人频繁现身_https://www.jmylbn.com_新闻资讯_第8张

近日,市民王老太感觉胸口发闷且浑身无力,在常州二院检查后确诊为胃窦癌。结合患者实际情况及术前多学科讨论,医院决定为其施行达芬奇手术机器人辅助下全腹腔镜远端胃癌根治术。“对她来说,达芬奇机器人的创伤比较小,而且操作比较精准,微创优势非常明显。”医生表示。


洗牙机器什么牌子好《健康常在》第116期——智慧医疗“黑科技”,机器人频繁现身_https://www.jmylbn.com_新闻资讯_第9张


手术中,胃肠外科主任钱峻坐在中控台,目视裸眼3D显示屏,手指碰触操作器,左脚踩镜头键,右脚踩能量平台键,向机械臂系统发出指令。一台达芬奇手术机器人的4只“手”正伸入患者腹腔,精准地接受指令开展手术。


钱峻表示:“达芬奇系统有很严格的医师操作体系,所有进行操作的医生,第一要取得限制性医疗准入证书,其次要经过一段时间的培训,从模拟训练到动物实验,还要有过渡性的带教措施,都是为了进一步降低手术风险,提高手术安全性。”


洗牙机器什么牌子好《健康常在》第116期——智慧医疗“黑科技”,机器人频繁现身_https://www.jmylbn.com_新闻资讯_第10张


利用机器人手术视野更加清晰、精确度高、副损伤少、创伤更小等特点,团队最终历时3个小时圆满完成手术,在保证根治性切除的同时,对患者的创伤降至最低。


钱峻表示:“达芬奇手术机器人就有它的优势,在缝合、打结方面比腹腔镜更加方便,更加精准,同时还可以消除人手天生的一些震颤,比方说我做手术时,我的手会有一些轻微抖动,它可以把你这些抖动过滤掉,让它的动作变得非常平滑,此外达芬奇系统用的是3D系统,看到的景物跟人眼看到的真实场景是差不多的。”


常州二院副院长刘芳表示:“达芬奇机器人的设计理念就是为了解决一些深部的、复杂的手术。从命名就可以看出,它代表了新质生产力,可以通过人工智能的手术工具,创造出新的手术方式,甚至创造一些新的手术理念,来达到更好的手术效果。”





03

全国爱牙日

俗话说,牙口好,胃口就好。口腔健康不仅是全身健康的基础,更是全身健康不可分割的重要一环。今年9月20日是第36个“全国爱牙日”,旨在唤起人们对牙齿的关爱,进一步普及口腔健康知识,让每一个人都能够拥有一口健康的牙齿。



洗牙

对很多人来说并不陌生

但有人害怕、有人“神化”

不少市民对于洗牙

有不少认知误区


今天我们来了解一下

洗牙对于口腔健康的

真正功能


洗牙机器什么牌子好《健康常在》第116期——智慧医疗“黑科技”,机器人频繁现身_https://www.jmylbn.com_新闻资讯_第11张


洗牙可以美白牙齿吗?


洗牙机器什么牌子好《健康常在》第116期——智慧医疗“黑科技”,机器人频繁现身_https://www.jmylbn.com_新闻资讯_第12张


市民小汪今年18岁,前不久,她听说洗牙可以美白牙齿,于是来到常州七院口腔科。“平时刷牙可能有的地方没有刷到,有一点色素沉淀,所以想来洗个牙。”小汪说。


医生接诊后,给小汪做出解释:洗牙是口腔医生用专科的医疗器械将牙齿表面堆积的牙菌斑、牙结石清除,目的是治疗和预防牙周疾病,不能达到美白的效果。


“年轻人的牙周相对来说较好,但是有部分患者因为长期饮用一些带色素的饮料,导致色素沉着。”常州七院口腔科医师王迪表示,洗牙确实能够去除一些外源性着色导致的牙渍,但这只是还原牙齿本来的颜色。健康的牙齿,本来就是淡黄色的,没必要对一口大白牙抱有过高的执着。


洗牙会让牙缝变大吗?

洗牙机器什么牌子好《健康常在》第116期——智慧医疗“黑科技”,机器人频繁现身_https://www.jmylbn.com_新闻资讯_第13张


专家介绍,洗牙不会使牙缝变大。牙缝变大是由于患者出现了牙槽骨吸收和牙龈退缩,而这些是由于牙菌斑和牙结石导致的。当患者洗牙后,清除了牙菌斑和牙结石,此时既往被掩盖的破坏就暴露了出来,视觉上会感觉牙缝变大了。


如果因为害怕牙缝变大而拒绝洗牙,菌斑和牙结石会不断对牙齿造成破坏,牙缝会继续变大,甚至可能导致牙齿脱落。


洗牙会让牙齿变松吗?


洗牙机器什么牌子好《健康常在》第116期——智慧医疗“黑科技”,机器人频繁现身_https://www.jmylbn.com_新闻资讯_第14张


常州七院口腔科医师王迪说:“洗牙对牙齿是没有伤害的,相反,它可以更加促进口腔健康。我们的牙周就像土壤一样,而牙齿就像树木一样,只有牙周情况好了,‘土壤’上面的‘树’才能更加茁壮地成长。”


专家提醒,牙结石若不除去,长期堆积会引起牙周组织发炎、牙龈出血和肿胀,发展到后期甚至会导致牙齿脱落。洗牙能够治疗牙结石及牙龈炎,有效缓解牙齿松动。


“我们建议口腔健康良好者每年最少洗一次牙;牙龈状况较差的患者,建议一年洗两次。”王迪说。





04

胆囊健康

日常生活中,大多数人发现身体不适,都是抱着先忍忍、痛得不行才去医院的态度。家住新北区的陈女士便是这样。半年来,反复腹痛发作的她一直强忍着,最终只能遗憾切除胆囊。



洗牙机器什么牌子好《健康常在》第116期——智慧医疗“黑科技”,机器人频繁现身_https://www.jmylbn.com_新闻资讯_第15张

陈女士今年53岁,半年前自己体检查出胆囊内有几个小结石,因为不发作,就没在意。半年来,反复腹痛发作的她也一直强忍着,她认为,痛起来忍一下也就撑过去了。直到近段时间以来严重影响生活。


“总是半夜发作,下半夜会发作得比较厉害,疼得不能睡觉。”近日晚上,陈女士腹痛再次剧烈发作,这次不得不去医院一探究竟。


经入院检查,确诊陈女士患有胆囊结石合并胆囊炎,结石几乎塞满整个胆囊。


洗牙机器什么牌子好《健康常在》第116期——智慧医疗“黑科技”,机器人频繁现身_https://www.jmylbn.com_新闻资讯_第16张


常州一院肝胆胰外科主任医师陈学敏解释道:“晚上迷走神经比较兴奋,胆囊收缩比较强,这个时候石头容易走动,小石头容易掉到胆管来,形成胆管结石、黄疸,甚至它反复发作会引起胆源性胰腺炎,再到后面,反复的炎症会引起胆囊的癌变。所以说这类病人是需要开刀的。”


术中,医生发现患者胆囊壁厚、弹性差,胆囊功能欠佳,已无保胆指征,最终只能遗憾切胆。


短短半年,陈女士的胆囊结石为什么会发展到割除胆囊的程度呢?通过了解得知,除了拖延,耽误了最佳治疗时机,陈女士的饮食也存在很大问题,“喜欢吃荤的,油腻的,还有油炸的。特别是红烧肉,基本上每次吃都要发作。”


胆结石发生最重要的诱因之一就是高蛋白、高脂肪饮食,所以吃油多,往往都是进食油腻的食物比较多,比如油炸类、火锅类或很浓稠的油汤,肯定会使胆结石的发生率升高。


陈学敏建议:“应该避免高脂、高胆固醇、高盐的饮食,避免暴饮暴食、过度的饥饿。多吃蔬菜、水果、谷类、瘦肉之类的;保持每餐有确定食量的食物,并且要有规律。”



05

联合手术

备孕许久升级成为准妈妈,本是件令人欣喜的事情,但对市民小贾(化名)来说,却成了喜忧参半,结果未知。因为就在上个月,她怀孕36周的时候,胰腺出现剧烈疼痛,治疗会影响胎儿,不治又有生命危险,面对两难选择,该何去何从?


洗牙机器什么牌子好《健康常在》第116期——智慧医疗“黑科技”,机器人频繁现身_https://www.jmylbn.com_新闻资讯_第17张


小贾介绍,早在今年六月初的时候,她就出现过一次身体的剧烈疼痛,那次检查下来,已经发现了胰腺炎的症状,考虑到怀孕以及情况尚属稳定,就采取了保守治疗,没想到,两个多月过去,病情再次发作。“很痛,走路需要人搀扶,上腹痛连到下腹痛,我就觉得会不会是孩子要生了。”小贾说。


送医后,小贾被迅速安排住院。


洗牙机器什么牌子好《健康常在》第116期——智慧医疗“黑科技”,机器人频繁现身_https://www.jmylbn.com_新闻资讯_第18张


常州二院肝胆外科副主任医师高源表示:“当时平扫CT看下来,胰腺周围有大量积液,包括腹腔里面也有很多积液,但是这个时候我们还是很难判断胰腺有没有坏死到重症,我们当时决定根据剖腹产的情况来决定要不要进一步手术治疗。”


市二院妇产科与肝胆外科的手术人员迅速集结到位,随着剖腹产手术的顺利进行,小贾腹中胎儿被顺利取出,但就在一行人为其庆幸之时,坏消息紧随而来。


“我们开进去之后发现,整个胃后壁包括胰腺周围都有坏死的组织,但不是大量坏死,我们就把坏死的组织全部清理掉了。”高源告诉记者。


洗牙机器什么牌子好《健康常在》第116期——智慧医疗“黑科技”,机器人频繁现身_https://www.jmylbn.com_新闻资讯_第19张


好在手术进行及时,目前小贾恢复情况良好,记者发稿时,她已经顺利出院。


洗牙机器什么牌子好《健康常在》第116期——智慧医疗“黑科技”,机器人频繁现身_https://www.jmylbn.com_新闻资讯_第20张


医生表示,一般胰腺炎患者多会选取保守治疗的方法,只有急危重症才会选取手术,而像小贾这样,同时还怀有身孕的,实属罕见。“如果清得不好,动脉出血,人可能就没了,所以不到万不得已,不会去做这个手术。”高源说。


医生介绍,小贾之所以会患上胰腺炎,与怀孕后激素分泌有一定关系,导致代谢出现问题。她回家后只要作息规律、饮食控制好,情况会逐步趋于稳定。


而胰腺炎的另一个常见致病因素就是长期熬夜加上暴饮暴食。医生提醒,国庆假期临近,市民朋友在游玩的时候也要关注身体健康,避免一次性摄入过多油脂、高蛋白食物以及大量酗酒,一旦出现持续性上腹部剧烈疼痛、腰疼、伴有恶心、呕吐等情况,应第一时间就医,以免延误病情。












来源:中吴网APP

辑:徐慧芳

责任编辑:王燕 苏文娟

审核:程逸文

投稿邮箱:jkcz85682578@163.com

编辑部电话:85682578

* 部分图片来源网络,非商业用途,仅作为科普传播素材。若有侵权,请联系删除。*

洗牙机器什么牌子好《健康常在》第116期——智慧医疗“黑科技”,机器人频繁现身_https://www.jmylbn.com_新闻资讯_第21张

洗牙机器什么牌子好《健康常在》第116期——智慧医疗“黑科技”,机器人频繁现身_https://www.jmylbn.com_新闻资讯_第22张

洗牙机器什么牌子好《健康常在》第116期——智慧医疗“黑科技”,机器人频繁现身_https://www.jmylbn.com_新闻资讯_第23张

洗牙机器什么牌子好《健康常在》第116期——智慧医疗“黑科技”,机器人频繁现身_https://www.jmylbn.com_新闻资讯_第24张

洗牙机器什么牌子好《健康常在》第116期——智慧医疗“黑科技”,机器人频繁现身_https://www.jmylbn.com_新闻资讯_第25张

洗牙机器什么牌子好《健康常在》第116期——智慧医疗“黑科技”,机器人频繁现身_https://www.jmylbn.com_新闻资讯_第26张