机械通气的指征是什么重症技术之机械通气(二)-指征、禁忌、对心脏前后负荷影响

新闻资讯2026-04-24 04:06:27

在上一篇重症技术之机械通气(一)-发展、定义、适应症、目标中我们说到什么样的患者需要机械通气,但这些患者也不是任何情况都需要机械通气的,那出现哪些情况应考虑开始机械通气治疗呢?


1.哪些情况应考虑开始机械通气治疗

在出现较为严重的呼吸功能障碍时,应考虑机械通气。

如果实施机械通气过晚,患者会因严重低氧和二氧化碳潴留而出现多脏器功能受损,此时机械通气的疗效显著降低。因此,机械通气宜早实施。

我们可以从以下三方面来看:


1.临床评估

呼吸暂停

喘鸣严重

抑郁状态

连枷胸

无法清除呼吸道分泌物(例如,分泌物过多,保护性反射丧失,神经肌肉衰竭)

创伤下颌骨,喉,气管


2.通气的储备损失

呼吸速率      > 35次/分钟

潮气量          < 5毫升/公斤

肺活量          < 10毫升/公斤

吸气的力量  低于-25厘米H2O (2.44 kpa)

每分通气量  < 10 L / min

PaCO2上升  > 10毫米汞柱(1.33 kPa)


3.难治性低氧血症

肺泡动脉梯度(FiO2 = 1)      > 450

PaO2/PAO2                       < 0.15 

PaO2在 O2应用 下             < 55mmHg (7.32 kPa)


这些指标虽然是很重要的,但患者是否需要机械通气治疗,关键还要根据患者的病情结合医师的临床经验来综合判断。


在使用任何操作和治疗前,我们都需要考虑其是否有禁忌,其是否对患者造成损伤,那么机械通气有没有禁忌呢?


2.机械通气有哪些禁忌?

一般认为,机械通气没有绝对禁忌,但有一些特殊疾病,应首先做必要的处理才能进行机械通气,或需采用特殊机械通气手段,否则可能会给患者带来不良影响。

对于这些特殊疾病,可归结为机械通气的相对禁忌,以提醒临床医师采取适当的处理手段。

这类疾病主要包括:


(1)张力性气胸或气胸

气胸患者接受机械通气治疗,易发生张力性气胸,而张力性气胸患者如接受机械通气治疗,则病情会进一步恶化。因此,这类患者在接受机械通气前或同时,须采取胸腔闭式引流,否则可导致患者病情进一步加重。

机械通气的指征是什么重症技术之机械通气(二)-指征、禁忌、对心脏前后负荷影响_https://www.jmylbn.com_新闻资讯_第1张


(2)大咯血或严重误吸引起的室息性呼吸衰竭

大咯血或严重误吸引起的窒息,不宜立即用呼吸机进行正压通气,因为气道被血块或误吸物阻塞,正压通气会把血块或误吸物压入小支气管而易发生肺不张,对以后的治疗和恢复不利。

首先应采取措施,将气道内的血块或误吸物清除,再进行正压通气。当然,不能一味地强调清除血块或误吸物而导致患者通气不足和缺氧,在清除误吸物的同时,应保证机体基本氧供。

机械通气的指征是什么重症技术之机械通气(二)-指征、禁忌、对心脏前后负荷影响_https://www.jmylbn.com_新闻资讯_第2张


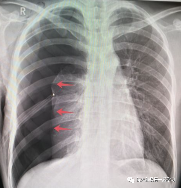
(3)伴肺大疱的呼吸衰竭

肺大疱患者接受机械通气时,大疱内压力可升高而引起大疱破裂,引起张力性气胸。这类患者使用呼吸机时应注意患者肺大疱的程度、范围及是否有气胸病史,正压通气的压力应尽可能低,而且在机械通气过程中,应密切注意观察患者生命体征和肺部体征,以防发生气胸。一旦发生气胸,应立即进行胸腔闭式引流。

机械通气的指征是什么重症技术之机械通气(二)-指征、禁忌、对心脏前后负荷影响_https://www.jmylbn.com_新闻资讯_第3张


(4)严重心衰继发性的呼吸衰竭

我们都有临床经验,许多患者在机械通气后,可出现循环的改变,而严重心衰患者如并发呼吸衰竭实施机械通气后,有可能进一步加重心脏前后负荷,危及患者生命。因此在此类病人使用机械通气时,需要选择合适的机械通气模式,将机械通气对循环的影响降到最低限度,加强循环的监测,必要时应持续监测血流动力学变化。

机械通气的指征是什么重症技术之机械通气(二)-指征、禁忌、对心脏前后负荷影响_https://www.jmylbn.com_新闻资讯_第4张


3.那机械通气是如何影响心脏前后负荷的呢?


右心前负荷

机械通气通过增加胸腔内正压,影响静脉回流,减少回心血量,降低心脏前负荷。胸腔内压力升高一方面导致右心房的压力升高,进而减少静脉回流;另一方面导致上下腔静脉血管的压力增加,引起回流阻力的升高,导致回心血流量的减少,从而降低右心前负荷。


右心后负荷

正压通气通过改善通气和肺容积,影响肺血管阻力进而影响右心后负荷。

一方面,当存在低氧或酸血症时,肺血管阻力会明显增加,机械通气在改善氧合及高碳酸血症时能够降低肺血管阻力,从而降低右心后负荷;

另一方面,肺容积变化对肺血管阻力的影响,又取决于对肺泡毛细血管和肺泡间毛细血管阻力影响的综合效应。当肺容积减少时(比如存在肺不张、肺泡塌陷等),肺泡毛细血管是扩张的,但低氧导致的肺血管收缩反应使得肺血管阻力明显增加;当肺容积逐渐增加时,肺泡间毛细血管受到肺组织的牵拉可降低肺血管阻力;当肺容积继续增加时,肺泡会过度膨胀,肺泡毛细血管受到压迫又增加肺血管阻力。

因此,肺容积对于肺泡毛细血管和肺泡间毛细血管的综合效应会影响肺的血管阻力的变化,肺血管阻力在肺容积过小或者过大时都会明显增加,对于正常成人,当肺容积处于功能残气量位时,肺血管阻力最低。


左心前负荷

正压机械通气在影响心室收缩功能的同时也影响了心室舒张功能。正压机械通气导致的静脉回流减少,因此心输出量也会下降。但在充血性心力衰竭治疗中,恰恰可以通过减少静脉回流量、减轻心脏前负荷的作用达到治疗充血性心力衰竭的目的。


左心后负荷

正压通气能够降低左心后负荷。机械通气通过增加胸腔内压力降低左心室跨壁压,从而降低左心后负荷。自主呼吸时,由于胸腔内为负压,左心室在收缩时需要客克服胸腔内负压和动脉内的压力之和,从而增加左心后负荷;正压通气时,胸腔内正压能够辅助左心室共同克服动脉内压力,从而减轻左心后负荷。


好了,今天我们就学习到这儿了,大家晚安!




本文用于个人学习,知识分享,欢迎大家转发、点赞,如有侵权,可联系删除。