什么是超声容积探头新技术 | 胃肠不好怕检查?别怕!胃肠充盈超声造影检查新方法来帮您

新闻资讯2026-04-23 20:07:24

什么是超声容积探头新技术 | 胃肠不好怕检查?别怕!胃肠充盈超声造影检查新方法来帮您_https://www.jmylbn.com_新闻资讯_第1张

什么是超声容积探头新技术 | 胃肠不好怕检查?别怕!胃肠充盈超声造影检查新方法来帮您_https://www.jmylbn.com_新闻资讯_第2张


很多人都觉得诊断胃肠问题

只能做胃镜,肠镜,放射钡餐检查

但是觉得做胃镜肠镜太难受了

做钡餐又担心辐射 

该如何是好???

什么是超声容积探头新技术 | 胃肠不好怕检查?别怕!胃肠充盈超声造影检查新方法来帮您_https://www.jmylbn.com_新闻资讯_第3张

不要慌!不要慌!

我院超声医学科新开展的

胃肠充盈超声造影技术来啦

这项技术,既无痛又无创,还无辐射

让患者可以轻松发现胃肠疾病

什么是超声容积探头新技术 | 胃肠不好怕检查?别怕!胃肠充盈超声造影检查新方法来帮您_https://www.jmylbn.com_新闻资讯_第4张


随着我国的人口老龄化及人们快节奏等生活方式的改变,我国胃肠疾病的发病率近年来又有增高及年轻化的趋势。据统计我国的早期胃肠肿瘤诊断率不足15%,这其中原因是很多亚健康人员因为恐惧胃肠镜检查而不去体检。因此胃肠疾病造影超声诊断技术的开展可以让更多的有胃肠痛苦的患者多一条早发现早治疗的途径,是对广大群众的一个福音。

什么是超声容积探头新技术 | 胃肠不好怕检查?别怕!胃肠充盈超声造影检查新方法来帮您_https://www.jmylbn.com_新闻资讯_第5张


钦州市第一人民医院超声医学科新技术--胃肠充盈超声造影检查:该技术是一种无创伤、准确、方便、可重复的胃肠疾病检查新技术,该项检查就像在胃肠里开一扇天窗,让医生透过“胃肠窗”观察里面的胃肠组织,筛查和发现胃肠肿瘤、溃疡、息肉等疾病,做到早期发现、早期诊断、早期治疗。

什么是超声容积探头新技术 | 胃肠不好怕检查?别怕!胃肠充盈超声造影检查新方法来帮您_https://www.jmylbn.com_新闻资讯_第6张


超声医学科胃肠超声造影技术项目负责人韦善喜主治医师介绍:胃肠超声造影检查法又称胃肠充盈检查法,是通过一种助显剂充盈胃肠腔,该类助显剂充盈胃肠腔后在声像图上显示类似于实质性组织的回声,消除了胃腔内的气体及粘液干扰,和胃肠壁及肝、胆、脾、胰之间产生明显的对比效应,清晰地显示胃肠壁的层次、结构从而使胃肠内腔产生最佳的声学造影效果。 

什么是超声容积探头新技术 | 胃肠不好怕检查?别怕!胃肠充盈超声造影检查新方法来帮您_https://www.jmylbn.com_新闻资讯_第7张


助显剂成分是什么?胃肠超声造影使用的助显剂主要采用薏苡仁、淮山药、陈皮等中药加工制造而成,味道可口、无任何副作用。

什么是超声容积探头新技术 | 胃肠不好怕检查?别怕!胃肠充盈超声造影检查新方法来帮您_https://www.jmylbn.com_新闻资讯_第8张

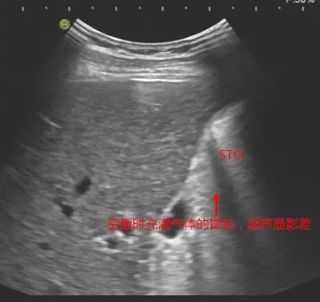
▲空腹的胃内有气体,传统超声无法检查

什么是超声容积探头新技术 | 胃肠不好怕检查?别怕!胃肠充盈超声造影检查新方法来帮您_https://www.jmylbn.com_新闻资讯_第9张

▲口服助影剂充盈后可清晰显示胃内结构

什么是超声容积探头新技术 | 胃肠不好怕检查?别怕!胃肠充盈超声造影检查新方法来帮您_https://www.jmylbn.com_新闻资讯_第10张

▲口服助影剂充盈后可清晰显示十二指肠各段

什么是超声容积探头新技术 | 胃肠不好怕检查?别怕!胃肠充盈超声造影检查新方法来帮您_https://www.jmylbn.com_新闻资讯_第11张

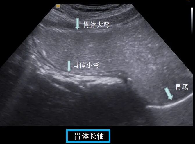
▲口服助影剂充盈后可清晰显示整个的胃全观

什么是超声容积探头新技术 | 胃肠不好怕检查?别怕!胃肠充盈超声造影检查新方法来帮您_https://www.jmylbn.com_新闻资讯_第12张

▲胃肠镜检从内发现胃外压隆起改变,病因待查

什么是超声容积探头新技术 | 胃肠不好怕检查?别怕!胃肠充盈超声造影检查新方法来帮您_https://www.jmylbn.com_新闻资讯_第13张

▲胃肠超声充盈造影检查从外协助确定病因查

什么是超声容积探头新技术 | 胃肠不好怕检查?别怕!胃肠充盈超声造影检查新方法来帮您_https://www.jmylbn.com_新闻资讯_第14张

▲贲门松驰致胃内容物在食管与胃之间来回流动

胃肠道充盈超声造影检查与胃肠镜是最完美的合作关系。胃肠道充盈超声造影检查是胃肠镜禁忌症患者最好的补充检查方法,可以观察周围毗邻器官的病变,可以与相邻器官疑似病变进行诊断与鉴别诊断,为临床提供丰富的诊断信息。本科室在北部湾地区率先开展胃肠道充盈超声检查新技术,可用于胃肠道疾病的早期筛查,填补了胃肠道不便于做体检的空白,给广大群众提供了一种便利!

什么是超声容积探头新技术 | 胃肠不好怕检查?别怕!胃肠充盈超声造影检查新方法来帮您_https://www.jmylbn.com_新闻资讯_第15张

什么是超声容积探头新技术 | 胃肠不好怕检查?别怕!胃肠充盈超声造影检查新方法来帮您_https://www.jmylbn.com_新闻资讯_第16张

▲韦善喜主治医生带领该技术团队与胃肠专家邓伟副院长、劳有益副院长、劳景茂副主任医师以及胃肠外科医生进行技术探讨



技术团队介绍

什么是超声容积探头新技术 | 胃肠不好怕检查?别怕!胃肠充盈超声造影检查新方法来帮您_https://www.jmylbn.com_新闻资讯_第17张

韦善喜                         

超声医学科主治医师 


       擅长腹部、胃肠、浅表器官、血管、造影、介入超声等超声诊治工作,积累了较多的临床经验。广西超声医学工程学会胃肠超声及血管超声专业委员会委员。


什么是超声容积探头新技术 | 胃肠不好怕检查?别怕!胃肠充盈超声造影检查新方法来帮您_https://www.jmylbn.com_新闻资讯_第18张

黄海清                          

主管护师                       


      工作20年,具有较丰富的临床护理工作经验,2018年3月在广州中山大学孙逸仙纪念医院超声造影学习班学习,能精准配合医生开展各种脏器、腺体、淋巴结、血管及妇产科的各种超声造影检查,具有丰富的造影护理经验。


钦州市第一人民医院超声医学科拥有目前国内最为先进的专业超声诊断仪----- (东芝TOSHIBA  Aplio 800 、AplioA500A、 阿洛卡ARIETTA 60、 GE LOGIQ S8彩超仪。配备有低机械指数(EUS特异性成像软件(CSⅠ)的超声成像仪、CSI技术的腔内三维容积超声探头。)彩超仪。这些先进仪器同时应用于妇产科超声造影检查中。
什么是超声容积探头新技术 | 胃肠不好怕检查?别怕!胃肠充盈超声造影检查新方法来帮您_https://www.jmylbn.com_新闻资讯_第19张


除患者病痛
超声守护健康之美

健康热线

2863052


妇产超声热线

2863315



什么是超声容积探头新技术 | 胃肠不好怕检查?别怕!胃肠充盈超声造影检查新方法来帮您_https://www.jmylbn.com_新闻资讯_第20张

什么是超声容积探头新技术 | 胃肠不好怕检查?别怕!胃肠充盈超声造影检查新方法来帮您_https://www.jmylbn.com_新闻资讯_第21张

什么是超声容积探头新技术 | 胃肠不好怕检查?别怕!胃肠充盈超声造影检查新方法来帮您_https://www.jmylbn.com_新闻资讯_第22张

什么是超声容积探头新技术 | 胃肠不好怕检查?别怕!胃肠充盈超声造影检查新方法来帮您_https://www.jmylbn.com_新闻资讯_第23张
什么是超声容积探头新技术 | 胃肠不好怕检查?别怕!胃肠充盈超声造影检查新方法来帮您_https://www.jmylbn.com_新闻资讯_第24张

审核|黎华彪 陆珊珊 

文源|超声医学科 

编辑|杨源