ge ct机为什么要供我院最新引进"CT界航母"—GE256排512层Revolution CT机

新闻资讯2026-04-17 12:27:53

ge ct机为什么要供我院最新引进"CT界航母"—GE256排512层Revolution CT机_https://www.jmylbn.com_新闻资讯_第1张

今日正式投入使用!
ge ct机为什么要供我院最新引进"CT界航母"—GE256排512层Revolution CT机_https://www.jmylbn.com_新闻资讯_第2张

ge ct机为什么要供我院最新引进"CT界航母"—GE256排512层Revolution CT机_https://www.jmylbn.com_新闻资讯_第3张



为进一步提升临床诊断技术,满足人民群众的就医需求,近日,我院引进了有“CT界航母”之称的全球顶级CT设备——GE256排512层Revolution CT机

这台CT被称为“革命型CT”“CT界的航母”,融合当今CT领域顶尖科技于一身,将宽体探测器、超高时间分辨率、能谱成像的性能发挥到极致,打造了CT覆盖范围、速度、图像质量、辐射剂量、能谱和扫描舒适性的业界新典范,建立了心血管、神经、肿瘤、呼吸系统、泌尿系统骨科专业等疾病的成像和低剂量筛查领域全新标准,大幅提高检查效率和患者体验,有效协助医生进行精准诊断。


ge ct机为什么要供我院最新引进"CT界航母"—GE256排512层Revolution CT机_https://www.jmylbn.com_新闻资讯_第4张

更安全


辐射量对比剂量双低





ge ct机为什么要供我院最新引进"CT界航母"—GE256排512层Revolution CT机_https://www.jmylbn.com_新闻资讯_第5张

该设备因扫描速度极快,结合宽体探测器技术,配备了ASiR-V 全模型迭代实时重建系统,可以在低信号强度下 (例如 70kV 扫描、或大BMI 病人的扫描) 消除图像噪音、提高密度分辨率和空间分辨率,与传统仪器相比,降低辐射剂量82% ,增强对比剂用量减少40%~60%,真正意义上实现辐射量、对比剂使用量的“双低”。

对比传统CT检查一个部位需要注射一次造影剂,Revolution CT可以注射一次造影剂,一次性完成冠状动脉CTA、肺动脉CTA及主动脉CTA等多部位CTA检查,得到高对比度的影像图,不仅安全,还省心省力省时更省钱。

ge ct机为什么要供我院最新引进"CT界航母"—GE256排512层Revolution CT机_https://www.jmylbn.com_新闻资讯_第4张

无限制


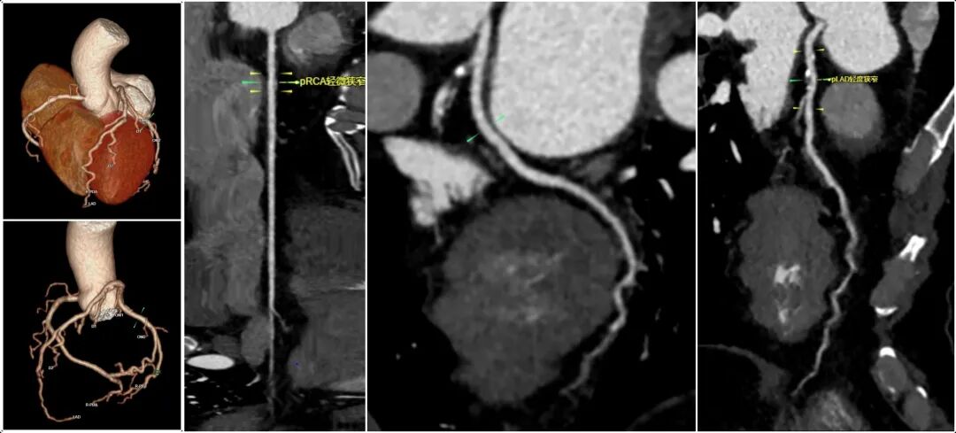
一站式单心跳冠脉成像





ge ct机为什么要供我院最新引进"CT界航母"—GE256排512层Revolution CT机_https://www.jmylbn.com_新闻资讯_第7张

我院全新引进的GE256排512层Revolution CT机(“革命”CT)突破临床禁忌,面对所有CT冠脉成像的难点和禁区,可以实现一个心跳数据全心成像。

16厘米宽体探测器一次完整覆盖整个心脏,24毫秒业界最快心脏时间分辨率,可同步获取心脏各个层面的容积数据,保证容积数据在空间及相位的一致性。

一次心跳,不受心率、心律、呼吸运动等因素影响。

一次对比剂注射,在一次心跳内,可以同时获得冠脉解剖学信息、斑块成分信息、心脏4D运动信息、心功能信息和心肌灌注信息等,为后续的诊断和治疗提供更丰富的指导依据。

以最高效的方式解决复杂的冠脉成像难题,有效避免了传统CT检查容易受到心律不齐、呼吸运动、心脏搏动等因素影响,肺功能较差、心房颤动、心律不齐及老龄人可以不受限制地通过该设备完成检查。

ge ct机为什么要供我院最新引进"CT界航母"—GE256排512层Revolution CT机_https://www.jmylbn.com_新闻资讯_第8张

更全面


一站式全身扫描





ge ct机为什么要供我院最新引进"CT界航母"—GE256排512层Revolution CT机_https://www.jmylbn.com_新闻资讯_第9张

16cm宽体等焦宝石DOD探测器,是目前业内最宽探测器,可轻松覆盖心脏、颅脑、肝脏等器官,搭配独有的自由组合一站式联合扫描技术,能够一次性实现多血管或多器官联合扫描。百万像素超高分辨率检查+3mm超低密度分辨率,将小病灶显示得更清楚、边界更清晰。大幅提高检查效率和成像效果,有效协助医生进行精准诊断和全面诊断。

ge ct机为什么要供我院最新引进"CT界航母"—GE256排512层Revolution CT机_https://www.jmylbn.com_新闻资讯_第8张

更舒适


受检者体验更佳





ge ct机为什么要供我院最新引进"CT界航母"—GE256排512层Revolution CT机_https://www.jmylbn.com_新闻资讯_第11张

80厘米大孔径设计以及超静音高速旋转系统,减少机架孔径给受检者造成的幽闭恐惧感;宽敞明亮的机房,使受检者放松心情,减少焦虑,在自然状态下完成检查。

ge ct机为什么要供我院最新引进"CT界航母"—GE256排512层Revolution CT机_https://www.jmylbn.com_新闻资讯_第12张

该设备的使用,标志着我院在“早发现、早诊断、早治疗”健康管理领域实现新跨越!

ge ct机为什么要供我院最新引进"CT界航母"—GE256排512层Revolution CT机_https://www.jmylbn.com_新闻资讯_第4张


影像科简介

影像科拥有一支实力雄厚、技术精湛的队伍。共有医技人员33人,其中诊断医生团队副主任医师3人,主治医师3人、住院医师3人、技师16人、护士6人,满足影像各个专业系统的技术人才。诊断报告经过初诊-审核-疑难病例专家会诊及与深圳龙岗区影像中心远程诊断层层把关;各专业技术人员曾在赣州市、梅州市、南昌市等三甲医院进修学习,具有丰富的临床诊疗经验,满足了日益发展的现代临床诊疗的需要。同时承担基层医院进修医生培养任务及医学院校医学影像专业实习教学。

 科室配备有:GE optima 1.5T核磁共振(MR)GE256排512层Revolution CT机SOMATOM Definition AS 64排128层高端螺旋CTGE Acts 16排CT数字减影血管造影X射线系统GE Optima IGS330 DSA全景数字化乳腺机GE Definium 6000 DR联影人工智能AI辅助诊断系统等一系列先进影像设备。

医学影像中心咨询电话:0797-2830039


ge ct机为什么要供我院最新引进"CT界航母"—GE256排512层Revolution CT机_https://www.jmylbn.com_新闻资讯_第14张

ge ct机为什么要供我院最新引进"CT界航母"—GE256排512层Revolution CT机_https://www.jmylbn.com_新闻资讯_第15张