为什么要做吞咽仪器吞咽障碍,安全进食,康复有道——康复医学科吞咽康复技术介绍

新闻资讯2026-04-17 13:59:22

为什么要做吞咽仪器吞咽障碍,安全进食,康复有道——康复医学科吞咽康复技术介绍_https://www.jmylbn.com_新闻资讯_第1张



俗话说“民以食为天”,食物在我们生活中的意义至关重要。进食,是一种享受。吞咽困难,身心痛苦。如何做到顺利安全进食,又没有呛咳呢?康复医学科为您解忧!

为什么要做吞咽仪器吞咽障碍,安全进食,康复有道——康复医学科吞咽康复技术介绍_https://www.jmylbn.com_新闻资讯_第2张

为什么要做吞咽仪器吞咽障碍,安全进食,康复有道——康复医学科吞咽康复技术介绍_https://www.jmylbn.com_新闻资讯_第3张

吞咽障碍的定义

吞咽障碍是指由于下颌、双唇、舌、软腭、咽喉、食管等器官结构和(或)功能受损,不能安全有效地把食物输送到胃内的过程。

为什么要做吞咽仪器吞咽障碍,安全进食,康复有道——康复医学科吞咽康复技术介绍_https://www.jmylbn.com_新闻资讯_第4张

吞咽障碍的病因

脑卒中脑外伤脑肿瘤帕金森口腔及头颈部恶性肿瘤或赘生物手术后、口腔、鼻咽及头颈部放疗或化疗后、颈椎病等

为什么要做吞咽仪器吞咽障碍,安全进食,康复有道——康复医学科吞咽康复技术介绍_https://www.jmylbn.com_新闻资讯_第4张

吞咽障碍的危害

支气管痉挛、气道阻塞、窒息、脱水和营养不良等危害


为什么要做吞咽仪器吞咽障碍,安全进食,康复有道——康复医学科吞咽康复技术介绍_https://www.jmylbn.com_新闻资讯_第6张

为什么要做吞咽仪器吞咽障碍,安全进食,康复有道——康复医学科吞咽康复技术介绍_https://www.jmylbn.com_新闻资讯_第4张

吞咽障碍评估方法

1、床旁评估

(1)EAT—10:有助于识别误吸的征兆和隐性误吸以及异常吞咽的体征;与饮水试验合用,可提高筛查试验的敏感性和特异性。

(2) 反复唾液吞咽试验:是一种评估反复吞咽的能力、与误咽的相关性高、较为安全的筛查检查。

(3)洼田饮水试验:通过饮用30 ml水来筛查患者有无吞咽障碍,并可反映其严重程度,安全快捷。

(4)染料测试:对于气管切开患者,可以利用食物色素进行测试,是筛检有无误吸的一种方法。


2、仪器评估

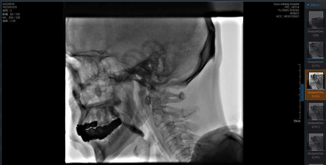
临床上常用的成熟的器械评估方法主要是视频透视吞咽检查(VFSS) 和纤维内镜吞咽功能检查(FEES)两种方法。

为什么要做吞咽仪器吞咽障碍,安全进食,康复有道——康复医学科吞咽康复技术介绍_https://www.jmylbn.com_新闻资讯_第8张

吞咽解剖

视频透视吞咽检查(VFSS) 吞咽造影

1)即X线透视下,对口 咽 喉 食管的吞咽运动进行的特殊造影。

2)可用于协助诊治吞咽障碍,被视为吞咽障碍检查的理想方法和诊断的金标准


吞咽造影的临床应用意义

(1)明确患者是否存在吞咽障碍

(2)发现吞咽障碍的结构性或功能性异常的病因及其部位、程度和代偿情况

(3)吞咽障碍发生在那个时期、有无误吸、尤其是对易并发肺炎的隐性误吸可明确诊断

(4)评价误吸的严重程度,评价代偿的影响,为选择有效治疗措施(进食姿势治疗)和观察治疗效果提供依据

吞咽造影适应症

(1)各种原因引起的吞咽功能障碍或反复肺部感染不排除隐性误吸

(2)吞咽困难考虑为食管本身或食管附近病变引起特别是食管肿瘤、食管痉挛、食管异物等。

吞咽障碍康复技术

我院康复医学科(针灸推拿病区)是现代康复医学技术与传统中医药特色治疗紧密结合的特色的科室,集医疗、教学、科研为一体的大型科室。科室技术力量雄厚,开展项目齐全且先进。空港院区已成功开展各项康复治疗技术。吞咽造影(VFSS)检查更是填补了崇左地区吞咽康复的空白,可以很好为扶绥县吞咽功能障碍患者提供服务。

为什么要做吞咽仪器吞咽障碍,安全进食,康复有道——康复医学科吞咽康复技术介绍_https://www.jmylbn.com_新闻资讯_第9张


为什么要做吞咽仪器吞咽障碍,安全进食,康复有道——康复医学科吞咽康复技术介绍_https://www.jmylbn.com_新闻资讯_第10张


为什么要做吞咽仪器吞咽障碍,安全进食,康复有道——康复医学科吞咽康复技术介绍_https://www.jmylbn.com_新闻资讯_第11张

为什么要做吞咽仪器吞咽障碍,安全进食,康复有道——康复医学科吞咽康复技术介绍_https://www.jmylbn.com_新闻资讯_第12张

为什么要做吞咽仪器吞咽障碍,安全进食,康复有道——康复医学科吞咽康复技术介绍_https://www.jmylbn.com_新闻资讯_第13张
为什么要做吞咽仪器吞咽障碍,安全进食,康复有道——康复医学科吞咽康复技术介绍_https://www.jmylbn.com_新闻资讯_第14张
为什么要做吞咽仪器吞咽障碍,安全进食,康复有道——康复医学科吞咽康复技术介绍_https://www.jmylbn.com_新闻资讯_第15张

吞咽障碍康复治疗



为什么要做吞咽仪器吞咽障碍,安全进食,康复有道——康复医学科吞咽康复技术介绍_https://www.jmylbn.com_新闻资讯_第16张

吞咽障碍患者的预后

根据不同的病因,预后有差异。准确的评估,确定康复目标,采用针对性的治疗的前提。康复训练及针灸作为吞咽障碍最有效的治疗方法之一,无明显的副作用,值得推广。

为什么要做吞咽仪器吞咽障碍,安全进食,康复有道——康复医学科吞咽康复技术介绍_https://www.jmylbn.com_新闻资讯_第3张

吞咽造影禁忌症

(1)一般情况不佳,重度衰竭的病人

(2)口腔、咽部或食管有严重腐蚀伤急性期的病人

(3)胃食管大出血急性期患者

(4)有意识障碍、认知或智能精神障碍,失语或其他不能配合检查的患者

(5)其他同放射线有关的禁忌症。


为什么要做吞咽仪器吞咽障碍,安全进食,康复有道——康复医学科吞咽康复技术介绍_https://www.jmylbn.com_新闻资讯_第18张

康复医学科部分康复技术展示




为什么要做吞咽仪器吞咽障碍,安全进食,康复有道——康复医学科吞咽康复技术介绍_https://www.jmylbn.com_新闻资讯_第19张


为什么要做吞咽仪器吞咽障碍,安全进食,康复有道——康复医学科吞咽康复技术介绍_https://www.jmylbn.com_新闻资讯_第20张

科室简介

为什么要做吞咽仪器吞咽障碍,安全进食,康复有道——康复医学科吞咽康复技术介绍_https://www.jmylbn.com_新闻资讯_第20张

康复医学科(针灸推拿病区)是现代康复医学技术与传统中医药特色治疗紧密结合的特色的科室,集医疗、教学、科研为一体的大型科室。科室技术力量雄厚,开展项目齐全且先进。由著名康复专家陈晓锋主任作为学科带头人,陈秋华医师任科室主任,崇左名中医高革新任科室副主任,专业康复治疗师吴佳任治疗师长。金欣、石丽华副主任医师、周晓燕、刘海兰副主任护师定期到科室指导工作和讲学。病区拥有工作人员40余名,其中主任医师(教授)1人、副主任医师(副教授)3人、主治医师5人、住院医师8人、康复治疗师16人,副主任护师2人,主管护师3人,护师及护士多人。科室配备了天轨减重平衡训练系统,心肺联合康复训练仪冲击波,德国阿基米德悬吊系统,上肢机器人、功率车、神经促通刺激仪、干扰电、低周波、电脑中频脉冲治疗等高新康复器械。引进国际先进的多项康复治疗技术,含新Bobath技术,B超引导下肉毒毒素注射,吞咽造影及球囊扩张术、PNF技术等,可解决病人不能行走、运动痉挛、吞咽障碍、感觉障碍等多项康复难题。优美的环境,舒适的病房,宽敞的康复大厅,高端的技术,系统专业的治疗,保证了病人的疗效,让扶绥人民在家门口即可享受广西区级三甲医院的诊疗服务。康复一个人,幸福全家人!将心比心,用我们的爱心、诚心、细心,换您的舒心、放心、安心

为什么要做吞咽仪器吞咽障碍,安全进食,康复有道——康复医学科吞咽康复技术介绍_https://www.jmylbn.com_新闻资讯_第22张


康复医学科诊疗范围


(一)神经系统疾病(脑卒中、脑积水、颅脑外伤、脑肿瘤术后的恢复期)、吞咽困难、言语障碍、小儿脑瘫、脊髓损伤、周围神经疾患、面瘫、帕金森病、急性感染性多发性神经根炎、脊髓灰质炎、多发性硬化症等)。

(二)骨科疾病(各种软组织损伤、各型颈椎病、落枕、肩袖损伤、肩周炎、关节炎、腰椎间盘突出症、急性腰扭伤、老年性骨质疏松、各种骨折术后康复治疗、关节僵硬)。

(三)膝关节骨性关节炎,屈指肌腱鞘炎、各种劳损性骨关节炎、筋膜炎、肱骨外上髁炎。

(四)痛症(各种软组织损伤、痛风性关节炎、腰背肌筋膜炎、足跟痛、足跖趾筋膜炎、习惯性崴脚、胫骨前肌综合征、小腿酸痛抽筋、头痛、偏头痛,痛经等)

(五)眩晕、耳石症、耳鸣。

(六)慢性荨麻疹、带状疱疹及其神经遗留痛。

将心比心

用我们的爱心、诚心、细心,

换您的舒心、放心、安心!

康复医学科(针灸推拿病区)

护士站电话0771-7559820

医生办公室电话 0771-7559921 







为什么要做吞咽仪器吞咽障碍,安全进食,康复有道——康复医学科吞咽康复技术介绍_https://www.jmylbn.com_新闻资讯_第23张




为什么要做吞咽仪器吞咽障碍,安全进食,康复有道——康复医学科吞咽康复技术介绍_https://www.jmylbn.com_新闻资讯_第24张

为什么要做吞咽仪器吞咽障碍,安全进食,康复有道——康复医学科吞咽康复技术介绍_https://www.jmylbn.com_新闻资讯_第25张

陈秋华

广西中医药大学附属瑞康医院空港院区

康复医学科(针灸推拿病区)主任

曾到上海复旦大学附属华山医院进修康复医学,广西医学会重症康复专委会常务委员、广西康复医学会吞咽障碍康复委员会委员、广西医学会中西结合神经病委员会委员、曾参与《神经内科医生手册》的编写,参与针灸及康复的多项课题研究并发表论文。009年起分别从事脑病科、康复科工作。

为什么要做吞咽仪器吞咽障碍,安全进食,康复有道——康复医学科吞咽康复技术介绍_https://www.jmylbn.com_新闻资讯_第26张

吴佳

广西中医药大学附属瑞康医院空港院区

康复医学科(针灸推拿病区)治疗师长

中国康复医学会物理治疗专业委员会委员、广西康复医学会远程康复委员会委员、广西康复医学会吞咽障碍康复委员会委员。曾多次参加新Bobath概念培训班,得到新保松雄(日本)、大槻利夫(日本)、刘惠林(中国中康)、常冬梅(中国中康)、周斌(中国中康)等新Bobath高级指导者手把手教学康复治疗技术。







文稿来源:吴佳

文稿校对:陈秋华

初审:黄李凤

终审:林宗汉

为什么要做吞咽仪器吞咽障碍,安全进食,康复有道——康复医学科吞咽康复技术介绍_https://www.jmylbn.com_新闻资讯_第27张为什么要做吞咽仪器吞咽障碍,安全进食,康复有道——康复医学科吞咽康复技术介绍_https://www.jmylbn.com_新闻资讯_第28张为什么要做吞咽仪器吞咽障碍,安全进食,康复有道——康复医学科吞咽康复技术介绍_https://www.jmylbn.com_新闻资讯_第29张