什么牌子口腔ct最好【口腔· 科普】CBCT(口腔CT)

新闻资讯2026-04-23 20:36:23

  博厚仁心   精诚致远    



什么牌子口腔ct最好【口腔· 科普】CBCT(口腔CT)_https://www.jmylbn.com_新闻资讯_第1张



意大利NewTom是应用最新三维锥形束技术,采用平板探测器,利用锥形X线束只需要一次360度旋转扫描就能精确地获得全部图像信息,进一步增加图像的应用范围。


在不同的临床应用中可提供多种视野选择,从最小的5×5cm到最大11×13cm,医生能够在扫描前直接通过软件对目标区域选择视野。


该系统获取清晰图像同时辐射量最低。采用对患者和操作者最安全的Safe Beam技术,该技术能根据患者的年龄、体格自动调整辐射剂量并取得最佳的图像对比度。


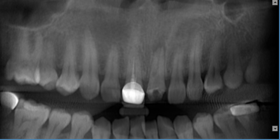
种植:


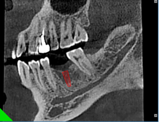
1.提供各种颌面信息及三维图像信息,精确地获得所需术前诊断信息。

2.为种植提供测量颌骨宽度、长度、密度及各种距离、角度等综合信息,以选择各种种植体尺寸及位置。

3.重要结构的定位,种植体间距离安全碰撞检测(神经管、上颌窦、病变位置等)避免手术中发生突发情况。

4.真实模拟种植体的位置,可选择任意种植型号、大小尺寸等,方便医患直观交流讨论。

5.定制手术外科导板,精确定位种植体位置及方向,提供微创及即刻种植方案


什么牌子口腔ct最好【口腔· 科普】CBCT(口腔CT)_https://www.jmylbn.com_新闻资讯_第2张


什么牌子口腔ct最好【口腔· 科普】CBCT(口腔CT)_https://www.jmylbn.com_新闻资讯_第3张


什么牌子口腔ct最好【口腔· 科普】CBCT(口腔CT)_https://www.jmylbn.com_新闻资讯_第4张


什么牌子口腔ct最好【口腔· 科普】CBCT(口腔CT)_https://www.jmylbn.com_新闻资讯_第5张


什么牌子口腔ct最好【口腔· 科普】CBCT(口腔CT)_https://www.jmylbn.com_新闻资讯_第6张


什么牌子口腔ct最好【口腔· 科普】CBCT(口腔CT)_https://www.jmylbn.com_新闻资讯_第7张


什么牌子口腔ct最好【口腔· 科普】CBCT(口腔CT)_https://www.jmylbn.com_新闻资讯_第8张


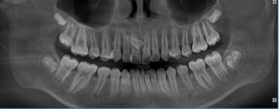
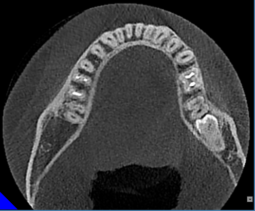
根管和牙周治疗过程中,提供牙根位置、角度、是否牙裂病变及下颌管、牙周围组织高清图像,以便于分辨治疗每个细节,做出精确诊断以及有效治疗方案。


什么牌子口腔ct最好【口腔· 科普】CBCT(口腔CT)_https://www.jmylbn.com_新闻资讯_第9张


什么牌子口腔ct最好【口腔· 科普】CBCT(口腔CT)_https://www.jmylbn.com_新闻资讯_第10张


什么牌子口腔ct最好【口腔· 科普】CBCT(口腔CT)_https://www.jmylbn.com_新闻资讯_第11张


颞下颌关节检查单次扫描即可通过矢状和冠状图像观测到关节间隙的改变和是否发生病理变化。3D影像重建可以清晰提供颞下颌关节、关节头及关节颈部详细解剖信息。


什么牌子口腔ct最好【口腔· 科普】CBCT(口腔CT)_https://www.jmylbn.com_新闻资讯_第12张


什么牌子口腔ct最好【口腔· 科普】CBCT(口腔CT)_https://www.jmylbn.com_新闻资讯_第13张


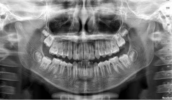
正畸通过扫描形成图像,包括曲面体层、头颅侧位进行测量图像。2D和3D图像在确定多生牙的存在及位置方面,有着巨大的差别。3D图像对扫描区域有着完整,综合的展示,甚至允许通过不同视角,以及对不同断面重建图像进行观察。


什么牌子口腔ct最好【口腔· 科普】CBCT(口腔CT)_https://www.jmylbn.com_新闻资讯_第14张


什么牌子口腔ct最好【口腔· 科普】CBCT(口腔CT)_https://www.jmylbn.com_新闻资讯_第15张


什么牌子口腔ct最好【口腔· 科普】CBCT(口腔CT)_https://www.jmylbn.com_新闻资讯_第16张


什么牌子口腔ct最好【口腔· 科普】CBCT(口腔CT)_https://www.jmylbn.com_新闻资讯_第17张


什么牌子口腔ct最好【口腔· 科普】CBCT(口腔CT)_https://www.jmylbn.com_新闻资讯_第18张


什么牌子口腔ct最好【口腔· 科普】CBCT(口腔CT)_https://www.jmylbn.com_新闻资讯_第19张


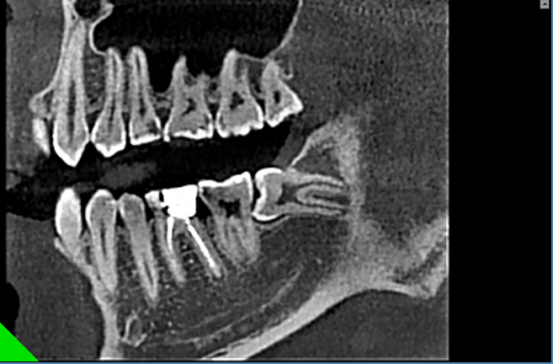
     颌面外科扫描能精确展示特定解剖特点,如囊肿或牙断裂,深度牙根形状和倾斜度。


什么牌子口腔ct最好【口腔· 科普】CBCT(口腔CT)_https://www.jmylbn.com_新闻资讯_第20张


什么牌子口腔ct最好【口腔· 科普】CBCT(口腔CT)_https://www.jmylbn.com_新闻资讯_第21张

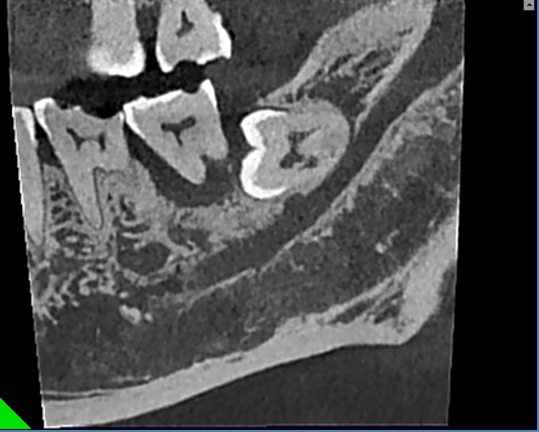
阻生病例1


什么牌子口腔ct最好【口腔· 科普】CBCT(口腔CT)_https://www.jmylbn.com_新闻资讯_第22张


什么牌子口腔ct最好【口腔· 科普】CBCT(口腔CT)_https://www.jmylbn.com_新闻资讯_第23张

阻生病例2


什么牌子口腔ct最好【口腔· 科普】CBCT(口腔CT)_https://www.jmylbn.com_新闻资讯_第24张

什么牌子口腔ct最好【口腔· 科普】CBCT(口腔CT)_https://www.jmylbn.com_新闻资讯_第25张

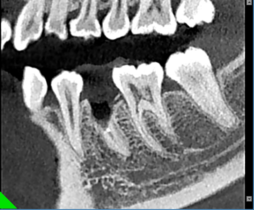
残根


什么牌子口腔ct最好【口腔· 科普】CBCT(口腔CT)_https://www.jmylbn.com_新闻资讯_第26张


什么牌子口腔ct最好【口腔· 科普】CBCT(口腔CT)_https://www.jmylbn.com_新闻资讯_第27张


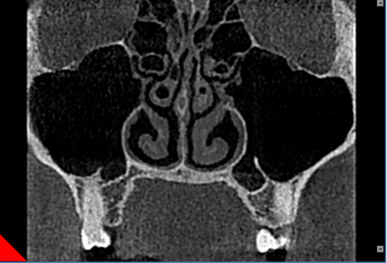
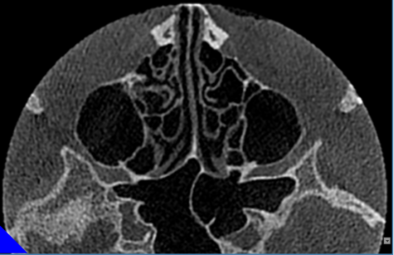
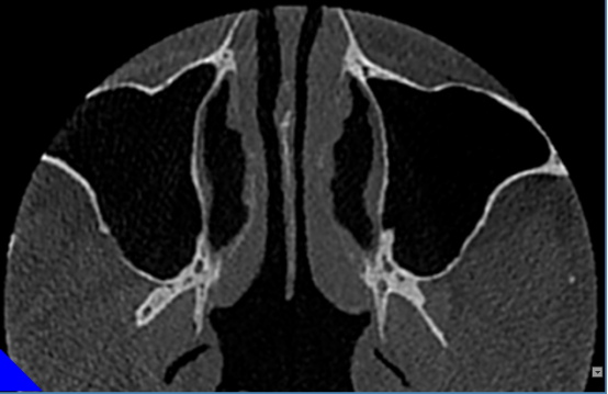
窦部扫描提供窦部综合性判断。


什么牌子口腔ct最好【口腔· 科普】CBCT(口腔CT)_https://www.jmylbn.com_新闻资讯_第28张


什么牌子口腔ct最好【口腔· 科普】CBCT(口腔CT)_https://www.jmylbn.com_新闻资讯_第29张


什么牌子口腔ct最好【口腔· 科普】CBCT(口腔CT)_https://www.jmylbn.com_新闻资讯_第30张







牡丹江市口腔医院温馨提示:


       请抵返牡人员提前使用微信小程序“牡疫控”,如实报备各项信息,主动配合防控相关措施, 齐心协力,共抗疫情!


什么牌子口腔ct最好【口腔· 科普】CBCT(口腔CT)_https://www.jmylbn.com_新闻资讯_第31张











什么牌子口腔ct最好【口腔· 科普】CBCT(口腔CT)_https://www.jmylbn.com_新闻资讯_第32张