什么牌子口腔ct最好一次口腔CT,看清更多隐患!我院新引进卡瓦口腔三合一CBCT投入使用

新闻资讯2026-04-23 20:36:26
什么牌子口腔ct最好一次口腔CT,看清更多隐患!我院新引进卡瓦口腔三合一CBCT投入使用_https://www.jmylbn.com_新闻资讯_第1张
什么牌子口腔ct最好一次口腔CT,看清更多隐患!我院新引进卡瓦口腔三合一CBCT投入使用_https://www.jmylbn.com_新闻资讯_第2张

为了更好地为章丘口腔患者服务,提高口腔诊疗水平和质量,我院新引进世界先进的卡瓦X-TREND口腔三合一CBCT现代化数字检查设备,现已投入使用。

什么牌子口腔ct最好一次口腔CT,看清更多隐患!我院新引进卡瓦口腔三合一CBCT投入使用_https://www.jmylbn.com_新闻资讯_第3张

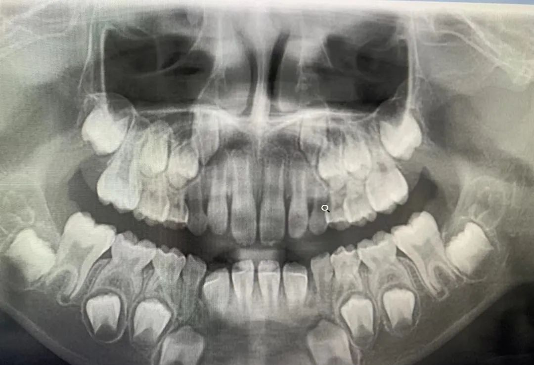
 CBCT 是目前国际最先进的口腔专用CT,在业界被誉为神奇的“慧眼”,具有扫描快、范围大、精度高、应用广、辐射量低的特点。可以通过其强大软件处理功能以及面部匹配技术迅速形成清晰逼真的三维图像,较传统CT对于牙齿及颌骨组织的结构成像质量更高,彻底解决了口内牙片机、口腔全景机等口腔X射线设备影像重叠、畸变的问题,可以便捷直观地发现多种牙齿隐患问题,为口腔医生提供精准的诊断与治疗依据。

什么牌子口腔ct最好一次口腔CT,看清更多隐患!我院新引进卡瓦口腔三合一CBCT投入使用_https://www.jmylbn.com_新闻资讯_第4张



卡瓦CBCT的原理

卡瓦CBCT即卡瓦口腔颌面锥形束CT(cone beam computed tomography),

其基本原理是X线发生器以较低的射线量(通常球管电流在10毫安左右)围绕投照体做环形数字式投照,然后将围绕投照体多次数字投照后“交集”中所获得的数据在计算机中“重组”,进而获得高清三维图像。卡瓦X-TREND“三合一”CBCT即具有口腔曲面断层片、头颅侧位定位片和多功能CT三种拍摄功能,满足了口腔临床诊断的所有需要。



卡瓦CBCT的口腔临床应用‍

什么牌子口腔ct最好一次口腔CT,看清更多隐患!我院新引进卡瓦口腔三合一CBCT投入使用_https://www.jmylbn.com_新闻资讯_第5张
什么牌子口腔ct最好一次口腔CT,看清更多隐患!我院新引进卡瓦口腔三合一CBCT投入使用_https://www.jmylbn.com_新闻资讯_第6张
什么牌子口腔ct最好一次口腔CT,看清更多隐患!我院新引进卡瓦口腔三合一CBCT投入使用_https://www.jmylbn.com_新闻资讯_第7张
什么牌子口腔ct最好一次口腔CT,看清更多隐患!我院新引进卡瓦口腔三合一CBCT投入使用_https://www.jmylbn.com_新闻资讯_第8张
什么牌子口腔ct最好一次口腔CT,看清更多隐患!我院新引进卡瓦口腔三合一CBCT投入使用_https://www.jmylbn.com_新闻资讯_第9张
什么牌子口腔ct最好一次口腔CT,看清更多隐患!我院新引进卡瓦口腔三合一CBCT投入使用_https://www.jmylbn.com_新闻资讯_第10张

  卡瓦CBCT可广泛应用于口腔诊疗各个领域,包括:

1、口腔颌面外科方面:用于肿瘤、囊肿的范围及与上颌窦及下颌神经管的关系,颌骨骨髓炎的诊断,骨折的诊断及术前指导,阻生智齿的诊断及拔除指导,多生牙及埋伏牙的定位及毗邻关系,颞下颌关节病的诊断等。

2、牙体牙髓方面:可以清晰观察根管的数目及形态、能够发现变异的细小根管、早期的根尖炎症、牙根折裂等情况。

3、牙周病方面:可以确定牙周病的病变程度及指导治疗。

4、牙列错颌畸形矫治方面:用于研究颅面生长发育,诊断分析、矫治设计、前后对比,头影测量等。

5、口腔种植方面:涵盖种植牙的每一个种植细节,提供可靠理论依据,确保种植牙手术的成功率。

什么牌子口腔ct最好一次口腔CT,看清更多隐患!我院新引进卡瓦口腔三合一CBCT投入使用_https://www.jmylbn.com_新闻资讯_第11张

该设备的引进,能给医生提供更准确的诊疗依据参考,提升了我院口腔诊疗的整体实力和水平,可为更多患者提供更先进、更高效的口腔诊疗服务,进一步提升了群众的就医体验。

什么牌子口腔ct最好一次口腔CT,看清更多隐患!我院新引进卡瓦口腔三合一CBCT投入使用_https://www.jmylbn.com_新闻资讯_第12张