什么牌子口腔ct最好【口腔CT】直观、清晰、价格低廉、可刷医保,这CT“简直”了!

新闻资讯2026-04-23 20:36:20
什么牌子口腔ct最好【口腔CT】直观、清晰、价格低廉、可刷医保,这CT“简直”了!_https://www.jmylbn.com_新闻资讯_第1张
什么牌子口腔ct最好【口腔CT】直观、清晰、价格低廉、可刷医保,这CT“简直”了!_https://www.jmylbn.com_新闻资讯_第2张
什么牌子口腔ct最好【口腔CT】直观、清晰、价格低廉、可刷医保,这CT“简直”了!_https://www.jmylbn.com_新闻资讯_第3张

南宫新长城医院

口腔CT

口腔科:5193941


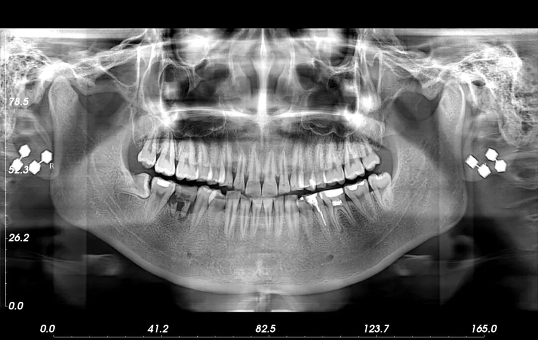
自长城医院于2022年9月底购置一台口腔CT(三合一CBCT,即锥体束CT)投入使用后,受到本市及周边人民群众的认可,截止2023年2月20日,共检查932人次,极大促进了口腔疾病的诊断准确率,推进我院医疗水平整体提高。







什么牌子口腔ct最好【口腔CT】直观、清晰、价格低廉、可刷医保,这CT“简直”了!_https://www.jmylbn.com_新闻资讯_第4张


什么牌子口腔ct最好【口腔CT】直观、清晰、价格低廉、可刷医保,这CT“简直”了!_https://www.jmylbn.com_新闻资讯_第5张

口腔科主任李哲介绍说:“我们整理了日常需要进行口腔CT检查的疾病分类:成人牙周炎、牙髓炎、根尖炎、多生牙和阻生牙拔除,根管治疗、种植牙等都会用到口腔CT检查,孩子乳牙滞留、齿萌也会用,能得到患者的认可源自于口腔CT检查结果:直观、清晰,方便与患者有效沟通,能得到更好的诊疗效果,而且价格低廉,可刷医保,更能被广大群众接受。

随着口腔CT被越来越多患者认可,每天检查人数,最多达20人次。

什么牌子口腔ct最好【口腔CT】直观、清晰、价格低廉、可刷医保,这CT“简直”了!_https://www.jmylbn.com_新闻资讯_第6张

口腔CT的优势:三合一CBCT是一种专门针对口腔额面部特点设计的X射线成像系统,又称为数字化容积X线断层摄影术。锥形束CT(cone beam computed tomography, CBCT),其工作原理是应用圆锥形二维平板探测器,围绕被探测区域做360度旋转获得系列二维影像,通过特殊算法得到三维立体影像,它能够从矢状位、冠状位和轴位三维角度清晰地显现额面部位的组织结构和病变组织状况,真实反映颌面部的三维结构。

什么牌子口腔ct最好【口腔CT】直观、清晰、价格低廉、可刷医保,这CT“简直”了!_https://www.jmylbn.com_新闻资讯_第7张

相对传统的多排螺旋CT而言,CBCT有着更为明显的优势。CBCT具有精确度更高、放射剂量低、扫描时间短、空间分辨率高、对患者体位要求低等明显的优点。特别是在牙科疾病诊治过程中,具有高度的精确性。可以精确测量出牙槽骨各个部位的高度和厚度,对于正畸风险评估、方案选择有重要的指导意义,对牙周及种植治疗也具有极高的参考价值,在很大程度上弥补了传统CT在牙科疾病诊断中的不足。

南宫新长城医院致力于医疗技术服务水平的提升,不遗余力地开展新项目、引进新技术、购置新设备,以优质的医疗服务护航人民群众的健康。


楼层

科室

联系方式

一楼西区

心内一科

5193921

二楼西区

东区

心内二科

妇产科

5191532

5193935

三楼西区

消化肿瘤科

5193929

三楼东区

外二科

5193940

四楼西区

外一科

5193922

四楼东区

呼吸科

5193971

五楼西区

肾病科

肿瘤内科

5193947

一楼东区

儿科

心血管内三科

5193975

六楼东区

六楼西区

神经内科一组

神经内科二组

5193923

5191541

什么牌子口腔ct最好【口腔CT】直观、清晰、价格低廉、可刷医保,这CT“简直”了!_https://www.jmylbn.com_新闻资讯_第8张



关爱健康


关注JNCCYY,关注最新医疗动态


什么牌子口腔ct最好【口腔CT】直观、清晰、价格低廉、可刷医保,这CT“简直”了!_https://www.jmylbn.com_新闻资讯_第9张

急救电话:0319-5191919
咨询电话:0319-5193942

温馨提示:我院急诊科拥有较为先进的抢救设备,提供接诊、抢救、转运患者等服务,为患者的抢救争分夺秒,住院患者可享受免费接送服务
优惠活动:每月农历初六、十六、二十六检查项目优惠20%
医院地址:河北省南宫市汽车站南邻

微信号:JNCCYY

扫一扫,加关注

将长城医院带在身边

什么牌子口腔ct最好【口腔CT】直观、清晰、价格低廉、可刷医保,这CT“简直”了!_https://www.jmylbn.com_新闻资讯_第10张