什么是病理蜡块病理细胞蜡块技术是怎样助力对肿瘤追根溯源的?

新闻资讯2026-04-23 19:34:52

      如果患者有不明原因的胸腔或腹腔积液,可以检测出其中是否含有癌细胞吗?

     

答案是肯定的。


      绵阳市中医医院病理科开展的细胞蜡块技术,不仅可以检测出胸腔或腹腔积液中是否含有癌细胞,还可以判断癌细胞的来源,同时还可以为分子靶向药物的筛选提供依据,为临床进一步提高肿瘤的诊断及治疗提供了良好的帮助。


细胞蜡块技术


      临床上,时常有患者因不明原因的胸腹水入院,有时临床医生怀疑患者罹患恶性肿瘤,但没有病理的支持,难以制定治疗方案。还有一些患者,由于受积液干扰,影像学检查(X线、CT、MRI等)难以找到原发灶,也难以通过内镜活检、体外穿刺及手术切除等途径获得组织标本。此时胸腹水中的脱落细胞就成了非常珍贵的标本。

       

      胸、腹水的液基薄层细胞学检查在多数情况下,仅仅作为筛查或只能给出倾向性的诊断结果。与组织病理学检查相比,有着不可忽视的缺陷,样本量少,并且难以还原组织学结构,不可重复切片以及较难进行特殊染色,这些缺陷直接影响了病理医师诊断的准确性,也为病人的诊断及后续治疗带来了相当大的困难。

       

      细胞蜡块作为细胞学病理诊断的辅助技术手段已日渐重要,它是将富含脱落细胞的体液、灌洗液通过特殊手段进行处理后,制作成常规蜡块,将其细胞成分保存在蜡块中,从而制成病理切片,通过HE染色或特殊染色进行病理诊断。


      随着免疫组化及分子生物学的发展,细胞蜡块在相关肿瘤诊断及靶向药物治疗的指导应用中占有越来越重要的位置,因此,方便、快捷的制作高质量的细胞蜡块具有较强的临床实用价值。


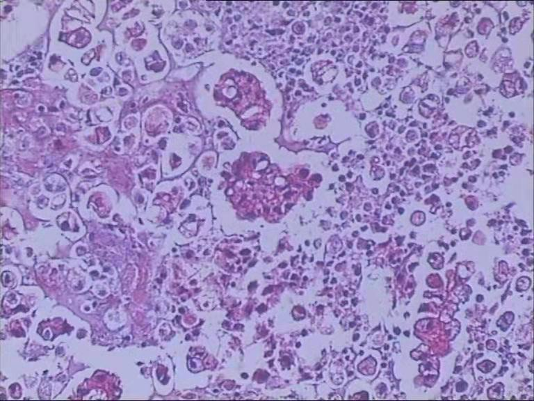
什么是病理蜡块病理细胞蜡块技术是怎样助力对肿瘤追根溯源的?_https://www.jmylbn.com_新闻资讯_第1张

图1为细胞块常规HE染色

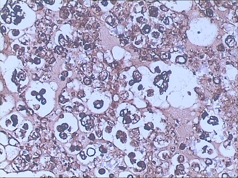
什么是病理蜡块病理细胞蜡块技术是怎样助力对肿瘤追根溯源的?_https://www.jmylbn.com_新闻资讯_第2张

图2为细胞块免疫组化染色

临床意义

1、尽可能的保留标本中的病理性细胞成分,提高了胸腹水中肿瘤诊断的阳性率。


2、细胞蜡块制作后可以长期保存,多次使用,利于日后的工作需求。


3、细胞蜡块切片细胞多且集中,背景清晰,染色鲜艳,并有一定组织结构,免疫组化染色效果好,阳性定位准确,可靠性高,结合免疫组化结果可明确来源及类型。


4、细胞蜡块所得诊断结果与组织活检所得诊断结果具有相同的临床意义,对患者的损伤很小。



温馨提示

 1、送检胸腹水时,容器干净,送检量尽量多且新鲜。

 2、病理开单检查时,采用病理常规申请单,并填写相关病史。


细胞蜡块技术开展以来很受临床认可,很多患者受益于此项技术。根据细胞学形态,结合免疫组化标记,初步确定肿瘤的可能来源,为临床检查指明了方向;细胞蜡块还可以进一步行分子病理检查,从而为病人选择合适的分子靶向治疗药物。绵阳市中医医院病理科不断优化诊断水平及技术水平,守护健康。




供稿/病理科  杨佳

编排/李春莹

编审 /张旭升

核发 /王雪


什么是病理蜡块病理细胞蜡块技术是怎样助力对肿瘤追根溯源的?_https://www.jmylbn.com_新闻资讯_第3张

什么是病理蜡块病理细胞蜡块技术是怎样助力对肿瘤追根溯源的?_https://www.jmylbn.com_新闻资讯_第4张