VOlusonE什么彩超机世界顶级四维彩超机美国 GE Voluson E10 BT20金标版落户吉林省吉林中西医结合医院

新闻资讯2026-04-23 15:37:38

    近日,我市首台全球顶级四维彩超机落户吉林省吉林中西医结合医院电诊科,目前经过调试已正式投入使用。


VOlusonE什么彩超机世界顶级四维彩超机美国 GE Voluson E10 BT20金标版落户吉林省吉林中西医结合医院_https://www.jmylbn.com_新闻资讯_第1张


美国GE医疗的“Voluson”在妇产超声领域一直是响当当的金字招牌,基于70多年不断地创新积累,始终引领妇产超声领域的技术、智能型工具以及临床应用发展。据不完全统计,过去的30年中,基于Voluson平台实现的妇产超声创新技术高达45项,为守护女性健康倾尽全力。

VOlusonE什么彩超机世界顶级四维彩超机美国 GE Voluson E10 BT20金标版落户吉林省吉林中西医结合医院_https://www.jmylbn.com_新闻资讯_第2张

中国女性人口接近7亿,真正顶起了半边天。随着二胎政策的开放,越来越多的女性及其家庭选择生育二胎,这使得孕产、妇幼领域面临的挑战也更多。引进世界顶级四维彩超机美国 GE Voluson E10 BT20金标版,也是我院在提升诊断能力,助力临床诊疗方面所作出的努力。

VOlusonE什么彩超机世界顶级四维彩超机美国 GE Voluson E10 BT20金标版落户吉林省吉林中西医结合医院_https://www.jmylbn.com_新闻资讯_第3张

得益于煊光成像技术,胎儿在子宫中的样子非常清晰


“金标” 更是金标准

一台专业优秀的妇产超声机,对于产前胎儿四维超声筛查、子宫双侧附件及女性盆底功能障碍性疾病检查需要具备高端专业的处理机制。GE Voluson E10 BT20金标版在原有高端平台的基础上搭载了全新的煊光成像平台、煊影成像技术和煊流成像技术,能够360°高清立体、超真动态地显示宝宝的实时活动图像,创新性的二维立体血流成像模式Radiant flow、超低速血流成像模式 SlowflowHD即便是微小的血管也能轻松的快速显现,提高了血流的视觉敏感性,卓越的图像质量,大大提高了临床诊断的准确率。


卓越的二维图像图像质量
VOlusonE什么彩超机世界顶级四维彩超机美国 GE Voluson E10 BT20金标版落户吉林省吉林中西医结合医院_https://www.jmylbn.com_新闻资讯_第4张
VOlusonE什么彩超机世界顶级四维彩超机美国 GE Voluson E10 BT20金标版落户吉林省吉林中西医结合医院_https://www.jmylbn.com_新闻资讯_第5张
胎儿的耳朵
VOlusonE什么彩超机世界顶级四维彩超机美国 GE Voluson E10 BT20金标版落户吉林省吉林中西医结合医院_https://www.jmylbn.com_新闻资讯_第6张
VOlusonE什么彩超机世界顶级四维彩超机美国 GE Voluson E10 BT20金标版落户吉林省吉林中西医结合医院_https://www.jmylbn.com_新闻资讯_第7张
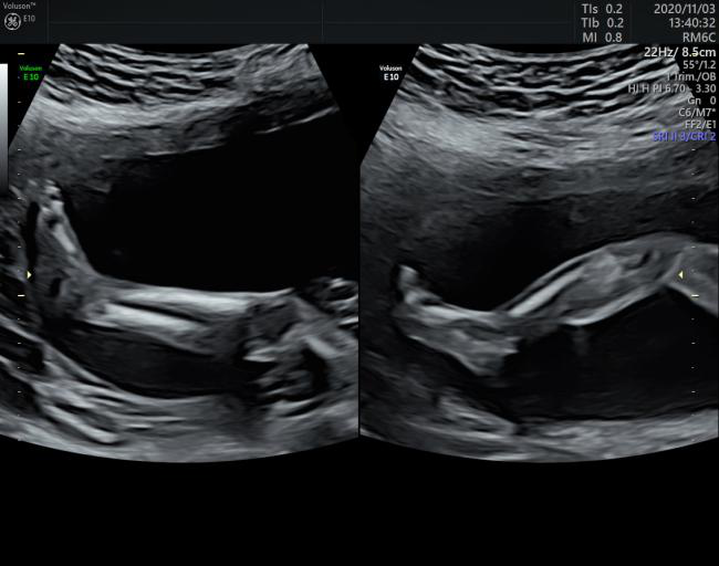
胎儿的腿和脚
煊影成像技术:使三维图像更加逼真(早、中、晚孕期)

VOlusonE什么彩超机世界顶级四维彩超机美国 GE Voluson E10 BT20金标版落户吉林省吉林中西医结合医院_https://www.jmylbn.com_新闻资讯_第8张

四维超声模式下输出功率指数与二维超声模式下相同,对胎儿无任何伤害

 

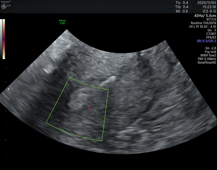
煊流成像技术:SlowflowHD:快速、直观显示微小血管

VOlusonE什么彩超机世界顶级四维彩超机美国 GE Voluson E10 BT20金标版落户吉林省吉林中西医结合医院_https://www.jmylbn.com_新闻资讯_第9张


VOlusonE什么彩超机世界顶级四维彩超机美国 GE Voluson E10 BT20金标版落户吉林省吉林中西医结合医院_https://www.jmylbn.com_新闻资讯_第10张

       

能否看清子宫内膜息肉的微小血管决定了诊断的准确性

VOlusonE什么彩超机世界顶级四维彩超机美国 GE Voluson E10 BT20金标版落户吉林省吉林中西医结合医院_https://www.jmylbn.com_新闻资讯_第11张

胼胝体周动脉超低速血流灌注状态

其他彩超机

VOlusonE什么彩超机世界顶级四维彩超机美国 GE Voluson E10 BT20金标版落户吉林省吉林中西医结合医院_https://www.jmylbn.com_新闻资讯_第12张


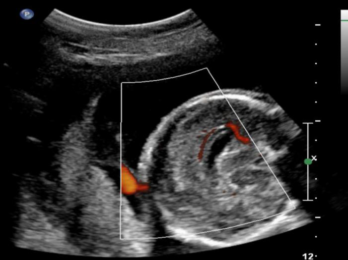
 Radiantflow:更少的频闪和增强的血管边界显示

VOlusonE什么彩超机世界顶级四维彩超机美国 GE Voluson E10 BT20金标版落户吉林省吉林中西医结合医院_https://www.jmylbn.com_新闻资讯_第13张


VOlusonE什么彩超机世界顶级四维彩超机美国 GE Voluson E10 BT20金标版落户吉林省吉林中西医结合医院_https://www.jmylbn.com_新闻资讯_第14张

       

煊流成像——彩色血流高清立体成像,脏器内的血流以立体形式展现在我们眼前。


VOlusonE什么彩超机世界顶级四维彩超机美国 GE Voluson E10 BT20金标版落户吉林省吉林中西医结合医院_https://www.jmylbn.com_新闻资讯_第15张


VOlusonE什么彩超机世界顶级四维彩超机美国 GE Voluson E10 BT20金标版落户吉林省吉林中西医结合医院_https://www.jmylbn.com_新闻资讯_第16张

       

脐带内血流立体成像

 

盆底三维超声方面,Voluson超声在盆底领域的独到价值:

• 高分辨率、高穿透力、高分辨率和高帧频兼顾的4D成像,Voluson是业内唯一能做到高分辨率和高帧频两者兼顾的超声设备。

• 强大的三维后处理功能:包括TUI,VCI,Omni View等,协助医生对盆底肛提肌及肛门括约肌进行进一步的观察和分析比较。

• 专门的全自动盆底测量软件包,可为病变部位做出精准的测量,为临床提供可靠的诊断依据。

VOlusonE什么彩超机世界顶级四维彩超机美国 GE Voluson E10 BT20金标版落户吉林省吉林中西医结合医院_https://www.jmylbn.com_新闻资讯_第17张


VOlusonE什么彩超机世界顶级四维彩超机美国 GE Voluson E10 BT20金标版落户吉林省吉林中西医结合医院_https://www.jmylbn.com_新闻资讯_第18张


 吉林省吉林中西医结合医院电诊科拥有世界一流的设备,无论是胎儿四维检查、妇科超声以及盆底超声检查较以前图像更清晰,成像效果更注重细节处理,可以更好的呈现解剖细节信息,尤其适用于较小的细微结构显示及运动状态显示,加之电诊科高素质的专业医疗团队,将为江城百姓提供最优质的诊疗服务!





撰稿:电诊科

编辑:玄   乐

责任编辑:周晓云

总编辑:王长君

VOlusonE什么彩超机世界顶级四维彩超机美国 GE Voluson E10 BT20金标版落户吉林省吉林中西医结合医院_https://www.jmylbn.com_新闻资讯_第19张