VOlusonE什么彩超机全球四维彩超高端设备丨美国GE Voluson E10-见证生命成长的每一时刻

新闻资讯2026-04-23 15:37:41

随着二胎、三胎政策放开,

高危孕产妇比例不断上升,

给优生优育带来了更多挑战。

据统计,

我国每年有近120万新生儿有出生缺陷,

其中先天性心脏病连续12年

位于出生缺陷首位,

科学排畸、精准排畸是当务之急。


VOlusonE什么彩超机全球四维彩超高端设备丨美国GE Voluson E10-见证生命成长的每一时刻_https://www.jmylbn.com_新闻资讯_第1张

国文医院不断引起国际上高端设备,只为给患者带来更好的就医体检和精准诊断。美国GE-Voluson E10高端四维彩超为高端妇产专业超声诊断系统,可全面了解胎儿各器官发育情况,提高畸形胎儿筛查率,GE-E10四维彩超能多角度发现胎儿畸形,为临床提供精准诊断依据。


该设备能满足妇科、产科、盆底超声、生殖医学及母胎医学等各个领域的诊断需求,在妇产科领域,特别是胎儿畸形、先天性心脏病检查、妇科疾病诊断等,超声检查已经成为不可或缺的兼具安全和高效的临床手段,为广大孕妈妈和宝宝的健康保驾护航。


VOlusonE什么彩超机全球四维彩超高端设备丨美国GE Voluson E10-见证生命成长的每一时刻_https://www.jmylbn.com_新闻资讯_第2张

NO.1

图像品质提升,助力精准诊断

基于“煊光”成像系统架构,Voluson E10的推出刷新了妇产超声图像质量的新高度。

因诊疗对象的特殊性,产前检查涉及胎儿的心脏、中枢脊柱以及妇科所涉及的输卵管、盆底等部位,妇产超声对成像质量的要求更高。集成的硬件架构、先进的图像算法以及波束形成器为Voluson E10带来了清晰影像,提高了细节分辨率;更快的图像处理、更高的容积帧频提供了实时的结构信息及功能成像;HDlive、煊影成像(HDLive Silhouette)及煊流技术(HDlive Flow)的应用,使四维图像栩栩如生、真实呈现,为临床精确诊断和评估提供坚实可靠的图像支持。

NO.2

图像品质提升,助力精准诊断

相较普通四维彩超,E10的高清画质堪比IMAX电影大片!

过去的四维彩超常常看到胎宝宝就像个“小泥人”,只能看看大致轮廓;E10四维彩超,可以实现您与宝宝的超高清“隔空对视”,直接观察他们的一举一动、乖巧秀容,包括:皱眉、微笑、打哈欠、吸吮和吞咽、小腿交叉盘坐等,提前享受为人父母的喜悦。

VOlusonE什么彩超机全球四维彩超高端设备丨美国GE Voluson E10-见证生命成长的每一时刻_https://www.jmylbn.com_新闻资讯_第3张

NO.3

技术创新突破,专注临床需求

卓越的图像品质、自动化测量工具及丰富的容积技术,为早、中孕期检查、胎儿心脏评估及妇科疾病等临床检查需求提供了解决方案。

NO.4

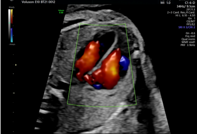
胎儿心脏评估

新生儿心脏畸形是我国新生儿缺陷中高发病率的问题,而超声设备是进行胎儿心脏检查的首要方法。18-24周胎儿心脏只有普通人指甲般大小,所以胎心检查对于超声图像质量及辅助的诊断工具要求非常高。

Voluson系列超声具备一整套领先的胎心成像技术,支持从胎儿心脏结构到心功能的全面分析,是胎儿心脏检测评估领域的技术领导者。Voluson E10的煊光平台配合凸阵电子矩阵探头,提供优异的图像分辨率,能更快地展现胎心结构和功能,双平面成像技术可实时观察胎心结构和血流变化,帮助临床医生及时作出准确诊断。

VOlusonE什么彩超机全球四维彩超高端设备丨美国GE Voluson E10-见证生命成长的每一时刻_https://www.jmylbn.com_新闻资讯_第4张

NO.5

人体工程学设计,安全无辐射

美国GE-E10高端四维彩超,采用出色的人体工程学设计,不存在射线、光波和电磁波等方面的辐射,对人体的健康没有任何影响,可以让广大的准妈妈更加安心的孕育健康、聪明的宝宝。

NO.6

妇科疾病

更精准的图像能够对子宫畸形及宫腔病变、输卵管、卵巢、卵泡等进行全面评估;盆底三维四维超声有着多平面成像的优势,通过容积数据采集获得更清晰的图像,为临床诊断提供更丰富、有效的信息;妇科肿瘤方面,“煊流技术”提高了微小血管的敏感性,有助于肿瘤良恶性的鉴别诊断。

VOlusonE什么彩超机全球四维彩超高端设备丨美国GE Voluson E10-见证生命成长的每一时刻_https://www.jmylbn.com_新闻资讯_第5张

NO.7

孕妇彩超

孕妇彩超是一种超声检查。美国GE-E10高端四维彩超可以执行胎儿头部和脸部的立体成像。它可以清楚地显示眼睛、鼻子、嘴巴、腹等状况,并可以帮助医生直接诊断胎儿先天性畸形,包括表面畸形,内脏畸形和面部和面部畸形,可以确定胎儿在子宫中的确切位置。

四维彩色多普勒超声在功能的基础上还增加了时间维度参数,并且可以实时观察胎儿动态的运动图像,能够更加清晰的筛查胎儿在子宫内的状态,筛查胎儿是否有异常,提供准确的科学依据,及早发现、及早作出解决方案。

VOlusonE什么彩超机全球四维彩超高端设备丨美国GE Voluson E10-见证生命成长的每一时刻_https://www.jmylbn.com_新闻资讯_第6张

国文超声电诊中心
VOlusonE什么彩超机全球四维彩超高端设备丨美国GE Voluson E10-见证生命成长的每一时刻_https://www.jmylbn.com_新闻资讯_第7张


超声电诊中心拥有飞利浦高档彩超EPIQ7系列,法国百盛彩超,佳能Aplio i900高端彩超、美国GE高端彩超。主要开展腹部彩超、心脏彩超、内脏血管、周围血管彩色多普勒、浅表小器官彩超、经阴道、直肠彩超、胎儿先天疾病彩超检查、脑血管、神经疾病检查,经颅多普勒。开展应用超声造影剂进行肝脏、胰腺、脾、肾、胆囊、盆腔、乳腺及甲状腺等器官病变的诊断。超声引导下穿刺活检、肝癌射频肝酒精固定治疗等;同时还配合临床科室进行介入性检查和治疗,如:超声引导引流术、穿刺抽液、肿瘤内药物注射,追踪评价疗效,以及手术中肿瘤的定位等。

VOlusonE什么彩超机全球四维彩超高端设备丨美国GE Voluson E10-见证生命成长的每一时刻_https://www.jmylbn.com_新闻资讯_第8张

VOlusonE什么彩超机全球四维彩超高端设备丨美国GE Voluson E10-见证生命成长的每一时刻_https://www.jmylbn.com_新闻资讯_第9张

VOlusonE什么彩超机全球四维彩超高端设备丨美国GE Voluson E10-见证生命成长的每一时刻_https://www.jmylbn.com_新闻资讯_第10张VOlusonE什么彩超机全球四维彩超高端设备丨美国GE Voluson E10-见证生命成长的每一时刻_https://www.jmylbn.com_新闻资讯_第11张