VOlusonE什么彩超机【重磅消息】准妈妈的福音!美国GE Voluson E10彩超进驻柳州二空医院啦!

新闻资讯2026-04-23 15:37:36

随着二胎、三胎政策放开,高危孕产妇比例不断上升,给优生优育带来了更多挑战。据统计,我国每年有近120万新生儿有出生缺陷,其中先天性心脏病连续12年位于出生缺陷首位,科学排畸、精准排畸是当务之急。

VOlusonE什么彩超机【重磅消息】准妈妈的福音!美国GE Voluson E10彩超进驻柳州二空医院啦!_https://www.jmylbn.com_新闻资讯_第1张

为系统、全面了解胎儿各器官发育情况,提高畸形胎儿筛查率,我院引进目前世界上最先进的高端妇产专业超声诊断系统——美国GE-Voluson E10高端四维彩超,能多角度发现胎儿畸形,为临床提供精准诊断依据。

VOlusonE什么彩超机【重磅消息】准妈妈的福音!美国GE Voluson E10彩超进驻柳州二空医院啦!_https://www.jmylbn.com_新闻资讯_第2张

该设备能满足妇科、产科、盆底超声、生殖医学及母胎医学等各个领域的诊断需求,在妇产科领域,特别是胎儿畸形、先天性心脏病检查、妇科疾病诊断等,超声检查已经成为不可或缺的兼具安全和高效的临床手段,让准妈妈见证生命成长每一刻,能为妇女儿童的健康保驾护航。



GE voluson E10 技术拥有以下优势

一、图像品质提升,助力精准诊断  

基于“煊光”成像系统架构,Voluson E10的推出刷新了妇产超声图像质量的新高度。

因诊疗对象的特殊性,产前检查涉及胎儿的心脏、中枢脊柱以及妇科所涉及的输卵管、盆底等部位,妇产超声对成像质量的要求更高。Voluson E10带来了更清晰的影像,提高了细节分辨率;更快的图像处理、更高的容积帧频提供了实时的结构信息及功能成像;HDlive、煊影成像(HDLive Silhouette)及煊流技术(HDlive Flow)的应用,使四维图像栩栩如生、真实呈现,为临床精确诊断和评估提供坚实可靠的图像支持。

VOlusonE什么彩超机【重磅消息】准妈妈的福音!美国GE Voluson E10彩超进驻柳州二空医院啦!_https://www.jmylbn.com_新闻资讯_第3张
VOlusonE什么彩超机【重磅消息】准妈妈的福音!美国GE Voluson E10彩超进驻柳州二空医院啦!_https://www.jmylbn.com_新闻资讯_第4张
VOlusonE什么彩超机【重磅消息】准妈妈的福音!美国GE Voluson E10彩超进驻柳州二空医院啦!_https://www.jmylbn.com_新闻资讯_第5张
VOlusonE什么彩超机【重磅消息】准妈妈的福音!美国GE Voluson E10彩超进驻柳州二空医院啦!_https://www.jmylbn.com_新闻资讯_第6张


二、高清画质,成像效果惊人  


相较普通四维彩超,E10的高清画质堪比IMAX电影大片!

过去的四维彩超能看到宝宝吐舌头、吃手指,但常常看到胎宝宝就像个“小泥人”,只能看看大致轮廓;E10四维彩超,可以实现您与宝宝的超高清“隔空对视”,直接观察他们的一举一动、乖巧秀容,包括:皱眉、微笑、打哈欠、吸吮等,提前享受将为人父人母的喜悦。

VOlusonE什么彩超机【重磅消息】准妈妈的福音!美国GE Voluson E10彩超进驻柳州二空医院啦!_https://www.jmylbn.com_新闻资讯_第7张


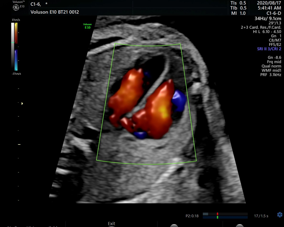
三、胎儿心脏评估  

超声设备是进行胎儿心脏检查的首要方法。18-24周胎儿心脏只有普通人指甲般大小,因此胎心检查对于超声图像质量及辅助的诊断工具要求非常高。

Voluson系列超声具备一整套领先的胎心成像技术,支持从胎儿心脏结构到心功能的全面分析,是胎儿心脏检测评估领域的技术领导者。Voluson E10提供优异的图像分辨率,能更快地展现胎心结构和功能,双平面成像技术可实时观察胎心结构和血流变化,帮助临床医生及时作出准确诊断。

VOlusonE什么彩超机【重磅消息】准妈妈的福音!美国GE Voluson E10彩超进驻柳州二空医院啦!_https://www.jmylbn.com_新闻资讯_第8张
VOlusonE什么彩超机【重磅消息】准妈妈的福音!美国GE Voluson E10彩超进驻柳州二空医院啦!_https://www.jmylbn.com_新闻资讯_第9张


四、人体工程学设计,安全无辐   

美国GE-E10高端四维彩超,采用出色的人体工程学设计,不存在射线、光波和电磁波等方面的辐射,对人体的健康没有任何影响,可以让广大的准妈妈更加安心的孕育健康、聪明的宝宝。

VOlusonE什么彩超机【重磅消息】准妈妈的福音!美国GE Voluson E10彩超进驻柳州二空医院啦!_https://www.jmylbn.com_新闻资讯_第10张

 

 五、妇科疾病领域   

更精准的图像能够对子宫畸形及宫腔病变、输卵管、卵巢、卵泡等进行全面评估;盆底三维四维超声有着多平面成像的优势,通过容积数据采集获得更清晰的图像,为临床诊断提供更丰富、有效的信息;妇科肿瘤方面,“煊流技术”提高了微小血管的敏感性有助于肿瘤良恶性的鉴别诊断。

VOlusonE什么彩超机【重磅消息】准妈妈的福音!美国GE Voluson E10彩超进驻柳州二空医院啦!_https://www.jmylbn.com_新闻资讯_第11张
VOlusonE什么彩超机【重磅消息】准妈妈的福音!美国GE Voluson E10彩超进驻柳州二空医院啦!_https://www.jmylbn.com_新闻资讯_第12张


  六、煊流成像技术  

 不仅得到了三维血管栩栩如生的显示,更是在微小血管成像上更加敏锐、可靠。可真实呈现胎心结构、脐带、血流变化,提升产前检查的诊断质量和效率。

VOlusonE什么彩超机【重磅消息】准妈妈的福音!美国GE Voluson E10彩超进驻柳州二空医院啦!_https://www.jmylbn.com_新闻资讯_第13张

美国GE-Voluson E10四维彩超在我院的投入使用,将为我院制定早期干预出生缺陷相关措施,降低出生缺陷发生率提供精准的诊断依据,进一步推动超声业务的不断发展,促进服务质量的全面提升,让前来我院保健就医的广大群众享受到便捷、优质、高效的服务。

VOlusonE什么彩超机【重磅消息】准妈妈的福音!美国GE Voluson E10彩超进驻柳州二空医院啦!_https://www.jmylbn.com_新闻资讯_第14张

预约咨询热线:0772-3816366

地址:城站路94号二空医院二楼超声医学科


VOlusonE什么彩超机【重磅消息】准妈妈的福音!美国GE Voluson E10彩超进驻柳州二空医院啦!_https://www.jmylbn.com_新闻资讯_第15张
VOlusonE什么彩超机【重磅消息】准妈妈的福音!美国GE Voluson E10彩超进驻柳州二空医院啦!_https://www.jmylbn.com_新闻资讯_第16张

超声学科带头人    

卢健

超声科主任

副主任医师

广西超声医学工程学会理事

广西优生优育超声医学分会理事

广西超声医学工程学会妇产超声专业委员会委员

柳州市超声诊断质量控制中心委员

柳州市医学会超声分会委员


从事超声检查工作近三十年,始终工作在临床一线,具有丰富的临床经验和娴熟的操作技能。曾分别到南方医科大学、北京妇产医院、广西医科大学进修学习超声诊断。擅长产科的胎儿四维彩超筛查、NT检查、妇科病的超声诊断、以及超声心动图、外周血管、浅表器官等超声诊断。

超声科科室简介

超声科是柳州二空医院的特色专科之一。目前拥有高级超声诊断设备10余台,日均检查量达200多人次。超声科开展了NT、I、II、III级产前超声筛查、经阴道二维/三维超声、小儿髋关节筛查、小儿/成人腹部超声、小儿/成人超声心动图、乳腺超声、盆底超声、四维子宫输卵管超声造影、外周血管彩超等方面的业务工作。产前III级筛查为降低出生缺陷做出了重要贡献。
    科室还拥有一支优秀的专业队伍,现有医护人员16人,高级职称2人,中级职称4人,研究生1人。近年来,在科室主任的带领下,开展了多项新技术新项目,并规范了人员的分级培养制度,为科室的持续发展奠定坚实的基础。

超声科坚持“优质服务,争创一流”的目标,以优良的技术和良好的态度服务广大群众,服务医院临床科室。致力打造区域的妇产、儿科超声的专科品牌。超声科坚持以患者健康为中心,一如既往的为大家提供优质的诊疗服务。

为方便患者前来就诊,超声科已开展现场及电话预约服务,尽量缩短患者的候诊时间。

        

VOlusonE什么彩超机【重磅消息】准妈妈的福音!美国GE Voluson E10彩超进驻柳州二空医院啦!_https://www.jmylbn.com_新闻资讯_第17张



联系我们

名称:柳州二空医院

地址:城站路94号

电话:0772-3818862


名称:柳州二空医院血透科

地址:城站路104号红光三区7栋2楼

电话:0772-3636869


名称:柳南街道社区卫生服务中心

全科(内、外、儿科)、五官科、综合病房

地址:城站路102号百草园1栋2栋2楼

电话:0772-3610269


名称:柳南街道社区卫生服务中心

       儿童保健科、妇女保健科、中医科、口腔科

地址:城站路106号锦业华城2栋

电话:0772-3631271



扫码关注我们

VOlusonE什么彩超机【重磅消息】准妈妈的福音!美国GE Voluson E10彩超进驻柳州二空医院啦!_https://www.jmylbn.com_新闻资讯_第18张


供稿:影像科  莫世进

编辑:左婷婷

审核:卢健