医学影像dr是什么DR、CT怎么选?一篇帮你搞懂!

新闻资讯2026-04-23 22:08:21

医学影像dr是什么DR、CT怎么选?一篇帮你搞懂!_https://www.jmylbn.com_新闻资讯_第1张

医学影像dr是什么DR、CT怎么选?一篇帮你搞懂!_https://www.jmylbn.com_新闻资讯_第2张

医学影像dr是什么DR、CT怎么选?一篇帮你搞懂!_https://www.jmylbn.com_新闻资讯_第3张


在医学影像检查中,DR和CT是两种最常见的医学影像诊断技术,主要用于临床检查与疾病诊断。但它们的工作原理、适用场景和意义却大不相同。很多患者对于这两种检查方式都感到困惑,不知道该如何选择。今天,我们就来详细聊聊DR和CT的区别,还有它们在临床诊断中的重要意义!




DR检查(数字化X射线摄影)



DR是传统X光片的升级版,其采用数字化技术,成像更清晰,检查更便捷。

医学影像dr是什么DR、CT怎么选?一篇帮你搞懂!_https://www.jmylbn.com_新闻资讯_第4张

【技术特点】

1.成像速度快:检查过程只需几分钟,适合急诊或大规模筛查。

2.辐射剂量低:DR的辐射量远低于CT,安全性较高。

3.二维平面图像:提供的是平面影像,适合观察骨骼、肺部等结构。

4.成本较低:检查费用相对便宜,适合常规体检。


【适用场景】

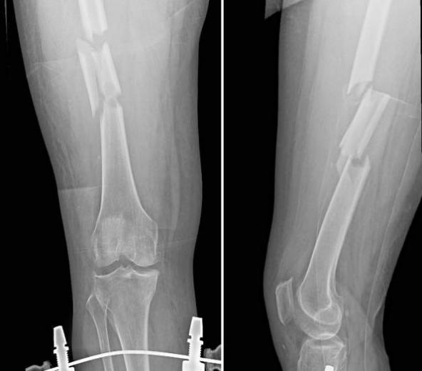
●骨折诊断:如四肢、脊柱、胸骨等部位的骨折。

●肺部疾病筛查:如肺炎、肺结核、肺气肿等。

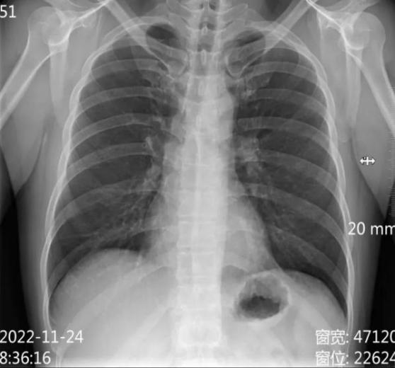
●常规体检:如胸部X光片,用于初步筛查疾病。

医学影像dr是什么DR、CT怎么选?一篇帮你搞懂!_https://www.jmylbn.com_新闻资讯_第5张
医学影像dr是什么DR、CT怎么选?一篇帮你搞懂!_https://www.jmylbn.com_新闻资讯_第6张
医学影像dr是什么DR、CT怎么选?一篇帮你搞懂!_https://www.jmylbn.com_新闻资讯_第7张
医学影像dr是什么DR、CT怎么选?一篇帮你搞懂!_https://www.jmylbn.com_新闻资讯_第8张







CT检查(计算机断层扫描)



CT利用X射线束对人体进行多层扫描,通过计算机重建出三维图像,提供更详细的解剖信息。

医学影像dr是什么DR、CT怎么选?一篇帮你搞懂!_https://www.jmylbn.com_新闻资讯_第9张


【技术特点】

1.高分辨率三维图像:可以清晰地显示器官、血管、骨骼的细节。

2.多功能性:适用于全身各部位的检查,尤其是复杂病变。

3.辐射剂量较高:CT的辐射量比DR大,但现代设备已大幅降低辐射。

4.检查时间较长:通常需要1-3分钟,具体时间取决于检查部位。


【适用场景】

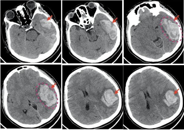
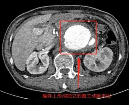
●肿瘤诊断:如肺癌、肝癌、脑瘤等的早期发现和分期。

●血管病变:如动脉瘤、血管狭窄等。

●复杂骨折:如骨盆骨折、颅骨骨折等。

●腹部疾病:如肝胆胰脾肾等器官的病变。

●头部检查:如脑出血、脑梗死、颅内肿瘤等。

医学影像dr是什么DR、CT怎么选?一篇帮你搞懂!_https://www.jmylbn.com_新闻资讯_第10张
医学影像dr是什么DR、CT怎么选?一篇帮你搞懂!_https://www.jmylbn.com_新闻资讯_第11张
医学影像dr是什么DR、CT怎么选?一篇帮你搞懂!_https://www.jmylbn.com_新闻资讯_第12张


【局限性】

●辐射剂量较高,不适合频繁检查。

●检查费用较高,通常用于进一步确诊。




DR和CT的临床意义



【DR的临床意义】

●初步筛查:DR是许多疾病的第一道筛查工具,尤其是肺部疾病和骨骼病变。

●快速诊断:在急诊中,DR可以帮助医生快速判断是否存在骨折、气胸等问题。

●健康管理:用于常规体检,帮助发现潜在的健康隐患。


【CT的临床意义】

●精准诊断:CT能够提供更详细的影像信息,帮助医生明确病变的性质、范围和严重程度。

●治疗指导:在手术前或放疗前,CT可以为医生提供精确的解剖信息,辅助制定治疗方案。

●疾病监测:用于肿瘤、血管病变等疾病的随访和疗效评估。




如何选择DR还是CT?


DEEPSEEK DEVELOPMENT

●DR:适合初步筛查和简单病变的诊断,如骨折、肺炎等。

●CT:当DR无法提供足够信息时,CT是更好的选择,尤其是复杂病变或需要三维图像的场景用于精确评估疾病时。

注意:具体选择哪种检查,需要根据医生的建议来决定。医生会综合考虑您的病情、检查目的和辐射风险,为您推荐最合适的检查方式。

DEEPSEEK

小贴士

1.检查前准备:

●DR检查通常无需特殊准备。

●检查可能需要空腹(如腹部CT)或注射造影剂,请提前咨询医生。

2.辐射安全:

●DR的辐射剂量较低,但仍需避免不必要的检查。

●CT的辐射较高,但现代设备已优化辐射剂量,医生会综合评估后决定是否进行检查。

3.特殊人群:

●孕妇和儿童应尽量避免CT检查,除非特殊病情需要。



‍健康无小事,科学检查很重要!如果你对DR或CT检查还有疑问,欢迎在评论区留言,我们会为您详细解答!也欢迎转发给身边的朋友,让更多人了解医学影像检查的知识!



广州市东升医院影像中心简介



医学影像dr是什么DR、CT怎么选?一篇帮你搞懂!_https://www.jmylbn.com_新闻资讯_第13张



【科室理念】

广州市东升医院(广州市老年病康复医院)影像中心包含超声医学、普通放射、CT、MRI、介入诊疗等学科,集医疗、教学和科研于一体。科室配备先进的医疗设备和高素质的专业医学团队,致力于为临床提供精准、高效、全方位的影像诊断与介入治疗服务,是医院的重点医技科室。


【专业团队】

科室由经验丰富的影像诊断医师、技师及护师组成的专业团队共14人,各级专业技术人员曾在多家三甲医院工作、进修和学习,积累了丰富的临床诊疗经验,满足日益发展的现代影像学临床诊疗的需要。近5年来影像中心分别参与了广州市科技局课题1项、院内课题1项的编写并发表论文、科普近20篇。

医学影像dr是什么DR、CT怎么选?一篇帮你搞懂!_https://www.jmylbn.com_新闻资讯_第14张
医学影像dr是什么DR、CT怎么选?一篇帮你搞懂!_https://www.jmylbn.com_新闻资讯_第15张


【技术和先进设备】

影像中心配备有GE1.5T核磁共振(MR)、西门子64排螺旋CT、西门子数字化胃肠机、乳腺钼靶机、富士、GE,移动DR;西门子银杉、HITACHI VISION Preirus、HITACHI VISION Avius、Vivid E80、SIEMENS ACUSON NX3、日立阿洛卡、Mindray等多台进口的高端彩超诊断仪,覆盖全院的PACS系统,是广州市东部地区影像设备最齐全的科室,在区域内具有明显优势。


【核心诊疗范围】

影像中心放射科可涵盖全身各部位的CT及MRI平扫增强、X线平片、血管造影、消化道造影、乳腺钼靶、骨密度检测;超声医学开展:腹部脏器、浅表器官、妇科超声、腔内超声、周围血管、心脏超声等常规彩色多普勒超声检查,综合业务水平得到了各级专家的高度评价和肯定,取得了良好的社会效益。



【就诊指南】

联系方式:放射科020-31705725

超声科020-31702709

地址:放射科—医技楼1楼

超声科—医技楼3楼


“守护健康,影像先行”---影像中心全体成员竭诚为您的健康保驾护航!

以最快的速度、最佳的技术和最优的服务满足各类患者的不同需求。我院影像中心始终以“精准诊断、患者至上”为核心,通过技术创新、流程优化和人文关怀,为广大患者提供高效、安全与舒适的检查,为临床提供可靠的影像诊断依据,助力医院整体治疗水平持续提升。

医学影像dr是什么DR、CT怎么选?一篇帮你搞懂!_https://www.jmylbn.com_新闻资讯_第16张
END

供稿:影像中心 王静

编审:院办公室


医学影像dr是什么DR、CT怎么选?一篇帮你搞懂!_https://www.jmylbn.com_新闻资讯_第17张


关注我们

挂号缴费

健康咨询


医学影像dr是什么DR、CT怎么选?一篇帮你搞懂!_https://www.jmylbn.com_新闻资讯_第18张



✦ ✦ ✦ ✦ 

广州市东升医院【广州市民政局直属单位(公立医院)】


总院地址:广州市黄埔区开创大道3016号(咨询电话:020-31701772)

上班时间:8:00-12:00;13:30-17:00


人民中路门诊部地址:广州市荔湾区人民中路375号(咨询电话:020-81911111)

上班时间:8:00-12:00;14:00-17:00

✦    ✦    ✦    ✦