穿刺钳怎么用穿刺or钳夹?胆道癌患者两份样本MSI结果不一致,应用K药取得缓解

新闻资讯2026-04-21 21:13:01
穿刺钳怎么用穿刺or钳夹?胆道癌患者两份样本MSI结果不一致,应用K药取得缓解_https://www.jmylbn.com_新闻资讯_第1张
穿刺钳怎么用穿刺or钳夹?胆道癌患者两份样本MSI结果不一致,应用K药取得缓解_https://www.jmylbn.com_新闻资讯_第2张

微卫星不稳定性(MSI)是预测免疫检查点抑制剂疗效的关键指标,然而只有1-2%的胆道癌患者具有这一特征。研究人员对1例肝门胆道癌患者的两份肿瘤组织标本(胆管狭窄处的钳夹活检术样本,和邻近淋巴结的超声内镜引导下细针穿刺活检术[EUS-FNAB]样本)进行了MSI检查,在两份样本中观察到不一致的结果——因为高度微卫星不稳定性(MSI-H)只在钳夹活检的样本中被发现。虽然FNAB样本比钳夹活检的样本大10倍,但肿瘤细胞含量要低得多,这可能是一个导致MSI结果不一致的原因。此外,四种错配修复(MMR)蛋白的免疫组化显示为pMMR。该肿瘤对吉西他滨、顺铂和S-1耐药,但对帕博利珠单抗应答良好。这表明需要谨慎选择样本和解读检测结果,以免错过获得有效分子靶向药物的机会。



背 景


微卫星不稳定性(MSI)是筛查Lynch综合征和预测免疫检查点抑制剂疗效的关键指标。如今,MSI可作为晚期实体瘤患者对帕博利珠单抗的伴随诊断(CDx),并被纳入肿瘤精准医疗的多基因组检测(MGPT)中。在日本,胆道癌(BTC)患者的数量不断增加,2019年时达到2.2万人以上。这些患者的总体5年总生存率为24.5%,不可切除患者的中位总生存期为14个月。虽然MSI-H在BTC中较为少见,仅出现在0.9-1.6%的患者中,但对应的分子靶向药物帕博利珠单抗对晚期BTC有显著疗效(总缓解率为40.9%,总生存期为24.3个月)。本文报道了1例肝门BTC患者,其原发部位的钳夹活检样本显示MSI-H,而邻近淋巴结的超声内镜引导下细针穿刺活检(EUS-FNAB)样本显示微卫星稳定(MSS)。患者接受了帕博利珠单抗单药治疗,反应良好。


病 例

患者男,43岁,既往有腮腺良性肿瘤手术成功治疗史,但无恶性肿瘤史。患者外祖父在50多岁时罹患癌症(无原发部位的信息),表姐在40多岁时罹患结直肠癌。患者因右侧季肋部疼痛,到当地医院就诊,诊断为肝门胆管狭窄和肝内胆管扩张。未见发热或黄疸。因疑似肝部BTC而被转至日本静冈癌症中心。患者血液检查显示,血清肝胆酶水平升高(GOT:147 U/L[正常范围:10-40 U/L],GPT:311 U/L [5-40 U/L],ALP:601 U/L [38-113 U/L],GTP:995 U/L[≤70 U/L]),血清肿瘤标志物轻度上调(CEA:1.3 ng/mL[≤5.0 U/L],CA19-9:41 U/mL[≤37 U/L])(表1)。


穿刺钳怎么用穿刺or钳夹?胆道癌患者两份样本MSI结果不一致,应用K药取得缓解_https://www.jmylbn.com_新闻资讯_第3张

表1 实验室数据

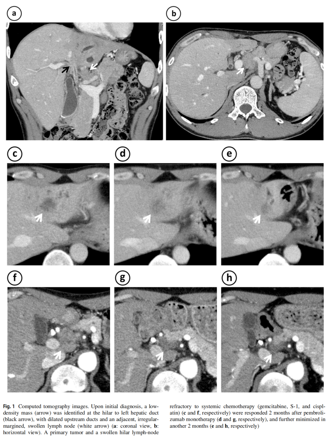
增强CT显示肝门胆管及脐部有直径25mm的肿块,肝门周围淋巴结不规则肿大(图1a,b)。鉴于淋巴结转移已扩散至肝总动脉和腹腔动脉周围,临床医生判断不可手术。超声内镜引导下的细针穿刺活检术样本EUS-FNAB图2a显示小的腺癌碎片散布在大量白细胞、红细胞和纤维组织内(图2b,c)。内镜下逆行胆管造影证实肝门胆管狭窄(图3a)。在胆管狭窄部位进行了四次钳夹活检(图3b),结果显示存在多簇腺癌组织(图3c,d)。钳夹活检样本的免疫组化(IHC)显示,错配修复(MMR)蛋白表达正常(MLH1,MSH2,MSH6和PMS2)。


穿刺钳怎么用穿刺or钳夹?胆道癌患者两份样本MSI结果不一致,应用K药取得缓解_https://www.jmylbn.com_新闻资讯_第4张

图1 患者CT检查结果

穿刺钳怎么用穿刺or钳夹?胆道癌患者两份样本MSI结果不一致,应用K药取得缓解_https://www.jmylbn.com_新闻资讯_第5张

图2 超声内镜引导下细针穿刺活检(EUS-FNAB)

穿刺钳怎么用穿刺or钳夹?胆道癌患者两份样本MSI结果不一致,应用K药取得缓解_https://www.jmylbn.com_新闻资讯_第6张

图3 胆管钳夹活检


患者接受吉西他滨、顺铂和S-1的全身化疗,缓解持续4个月,但在第7个月时淋巴结肿大复发(图1c,f)。经患者同意,进行了MSICDx和MGPT检测。由于FNAB或钳夹活检样本的组织量不足以进行两项检测,因此将FNAB样本分配进行MSI检测,将钳夹活检样本分配进行MGPT检测。MSI检测显示MSS(5个位点均未改变)(图2e)。然而MGPT结果显示了多个基因变异,包括MSI-H和高肿瘤突变负荷(TMB-H) (10.09Muts/Mb;TMB-H≥10Muts/Mb),提示免疫检查点抑制剂有效。患者随后开始接受帕博利珠单抗单药治疗(200mg / 3周),在开始治疗2个月后缓解(图1d,g),并在继续接受2个月治疗后出现进一步缓解(图1e,h)。患者及其家人接受了Lynch综合征可能性的遗传咨询。向患者介绍了Lynch综合征的概念和MMR基因的胚系检测的必要性,但患者拒绝接受检测。


为了确定MSI结果不一致的原因,在显微镜下计算肿瘤细胞含量并测定样本量。首先,获取苏木精-伊红(HE)染色切片的镜下图,可视为用于DNA提取的切片。再应用图像分析软件测量组织总面积。在FNAB和钳夹活检样本中,测量6个最明显的放大区域(× 100)以确定肿瘤细胞含量,每个区域由>1000个核阳性细胞组成。通过软件计算核阳性细胞数量,研究人员目测计算肿瘤细胞数量。FNAB总样本面积为83.8 mm²,钳夹活检样本面积为6.9 mm²。FNAB样本的肿瘤细胞含量为0.8%,而钳夹活检样本的肿瘤细胞含量为13.9%。


讨 论


标准化疗对晚期BTC的疗效有限,基于CDx和MGPT的精准医疗开启了新的治疗格局。在BTC的精准医疗中,MSI-H是最有前景的分子标志物,因为帕博利珠单抗显示出显著的缓解率(40.9%)和总生存期的延长(24.3个月)。本文BTC患者对标准化疗耐药,但对帕博利珠单抗表现出良好的应答(图1c-h)。个体化精准医疗需要高度的准确性和一致性,但本文病例的MSI检测和MMR IHC存在不一致的问题。


一般来说,MSI检测分为两种方法:聚合酶链反应(PCR)扩增+毛细管电泳法和下一代测序(NGS)检测法。这两种方法都分析了高度敏感的微卫星位点,尽管分析的位点在NGS检测中是保密的。即使在分析相同的肿瘤样本时,MSI的敏感性也会根据MSI标志物的选择而略有不同;NGS可以检测Promega标物、Idylla标物等原始标志物。但由于PCR法(约10%)和NGS法(8.3-15.8%)的灵敏度相似,因此本病例中不一致的MSI结果应该样本来源不同导致的。


使用不同肿瘤细胞含量占比的样本(钳夹活检13.9%,FNAB 0.8%)可能会影响MSI结果,因为钳夹活检样本(图3c,d)为MSI-H, FNAB样本(图2b,c)为MSS。此外,FNAB组织样本比钳夹活检样本大10倍以上,但FNAB样本主要由纤维组织、白细胞和红细胞组成。EUS-FNAB已被用于诊断淋巴结转移,甚至可以评估临床分期和手术指征。由于淋巴结FNAB组织中肿瘤细胞含量低,虽然可用于进行病理诊断,但可能不是进行分子检测的最佳样本(肿瘤细胞含量占比远低于10%)。对肿瘤组织进行显微解剖可作为提高肿瘤DNA浓度的方法。同时,对位于肝门胆管远端的BTC,钳夹活检被认为是一种有效的方法。临床医师需要小心罕见的不良事件,如出血和穿孔。


研究人员还测定了钳夹活检样本中MMR蛋白的IHC,但评估结果与MSI结果相矛盾,因为MMR蛋白表达正常。BTC中MMR蛋白表达缺失(dMMR)的发生率很低(0.9-4.3%),与MSI-H相似。研究人员在一些BTC病例中分析了MSI和MMR IHC的一致性,结果显示:胰胆癌的一致性水平(87.5%,28/32)显著低于胃肠道肿瘤(99.3%,345 /438)(P = 0.001)。Ando等人分析了四例dMMR BTC患者的MSI,其中两例患者为MSS(均为dPMS2肿瘤)。由于BTC活检样本中肿瘤数量较少,且存在非肿瘤细胞的“污染”的问题,因此如果用MMR IHC代表整个肿瘤,有时很难准确评估。此外,不同病理医师对MMR IHC的评估可能不一致,特别是在异质表达的情况下。由于在晚期BTC病例中可采用的方案有限,并且大多数用于CDx或MGPT的样本都是活检组织,因此在评估MMR缺陷或MSI-H时需要谨慎。


总之,在BTC患者中,ICI的适用范围是有限的,但在MSI-H患者中,ICI的显著效果是可以预测的。对于未手术的BTC患者,MSI可能是肿瘤精准医学或CDx的指征,临床医生应努力在采样时获得足够数量和含量的肿瘤细胞,并且需要牢记MMR表达与MSI状态之间可能存在不一致,特别是在使用小活检样本检测时。


参考文献:

Matsubayashi H, Todaka A, Ishiwatari H, Sato J, Niiya F, Kondo T, Ono H, Yamazaki K, Sasaki K, Kiyozumi Y. Discordant microsatellite instability findings in two samples from a patient with biliary cancer that responded to pembrolizumab. Clin J Gastroenterol. 2023 Jul 25. doi: 10.1007/s12328-023-01833-7. Epub ahead of print. PMID: 37490248.

穿刺钳怎么用穿刺or钳夹?胆道癌患者两份样本MSI结果不一致,应用K药取得缓解_https://www.jmylbn.com_新闻资讯_第7张
本文仅供医学专业人士参考,不代表本平台观点。

往期推荐

●基因检测如何指导成釉细胞瘤的精准治疗?

●中国霍奇金淋巴瘤的诊断与治疗指南(2022年版)-附下载

●盐酸米托蒽醌脂质体注射液治疗外周T细胞淋巴瘤临床应用指导原则-附下载

●最全综述:子宫浆液性癌和子宫癌肉瘤HER2靶向治疗相关研究和发展前景

穿刺钳怎么用穿刺or钳夹?胆道癌患者两份样本MSI结果不一致,应用K药取得缓解_https://www.jmylbn.com_新闻资讯_第8张

绘真医学坐落于美丽的金鸡湖畔,处于被称为中国“生物硅谷”的中国-新加坡合作苏州工业园区中心,依托国外顶尖学府归国科学家团队建立起先进的检测与研发平台,配备有国际顶级的软硬件设施、严谨的质量管理体系,以及先进的大数据分析处理系统。

绘真医学在苏州和北京分别拥有2700平米和1200平米的临床检测与研发大楼、百余名检测研发人员及覆盖全国的销售网络,全面开展肿瘤、感染性疾病、遗传及代谢性疾病检测,与卫生、疾控部门及各大医院开展广泛合作。

我司具有临床基因扩增资质、Ⅱ级生物安全实验室资质、检验检测机构资质认定(CMA)证书、美国病理学家协会(CAP)认证证书;拥有国外顶尖学府原研专利授权及国外授权专利共计6项,国内发明专利2项,实用新型专利21项,软件著作权23项,合计国内授权专利46项,申请受理中专利86项,并以满分成绩通过2023年卫健委临检中心组织的室间质评和2022年美国CAP权威室间质评(NGSST-A 2022,NGSST-B 2022)。

使命:“智慧赋予希望”!

愿景:“描绘本真,健康护航”!


穿刺钳怎么用穿刺or钳夹?胆道癌患者两份样本MSI结果不一致,应用K药取得缓解_https://www.jmylbn.com_新闻资讯_第9张

穿刺钳怎么用穿刺or钳夹?胆道癌患者两份样本MSI结果不一致,应用K药取得缓解_https://www.jmylbn.com_新闻资讯_第10张

更多产品,欢迎点击绘真医学网站
http://www.geno-truthdx.com/
客服电话:4000672118
客服邮箱:service@geno-truth.com
扫码关注绘真医学专员
咨询更多检测服务信息
穿刺钳怎么用穿刺or钳夹?胆道癌患者两份样本MSI结果不一致,应用K药取得缓解_https://www.jmylbn.com_新闻资讯_第11张
文中图片来源于网络,如有侵权请联系删除!