眼底照相能检查出什么免散瞳、快成像!三台县人民医院引进我县首台超广角眼底照相机

新闻资讯2026-04-24 06:12:22

眼底照相能检查出什么免散瞳、快成像!三台县人民医院引进我县首台超广角眼底照相机_https://www.jmylbn.com_新闻资讯_第1张

“视力下降”
“看东西变形”
“眼前有黑影”
“到医院做眼科检查需检查眼底,可散瞳时间又不够”
在眼科门诊,常常会遇到这一类患者。
近日,三台县人民医院眼科引进我县第一台超广角眼底照相机,只需0.12秒即可完成一次全方位的眼底检查,让眼疾一览无余,让更多患者朋友可以通过眼检查,做到早发现、早治疗,尽可能减少眼底隐疾。

超广角眼底照相机



眼底照相能检查出什么免散瞳、快成像!三台县人民医院引进我县首台超广角眼底照相机_https://www.jmylbn.com_新闻资讯_第2张

1

超广角眼底照相机有什么“独门秘笈”?

眼底照相能检查出什么免散瞳、快成像!三台县人民医院引进我县首台超广角眼底照相机_https://www.jmylbn.com_新闻资讯_第3张

1

1、超广角

眼底照相能检查出什么免散瞳、快成像!三台县人民医院引进我县首台超广角眼底照相机_https://www.jmylbn.com_新闻资讯_第3张

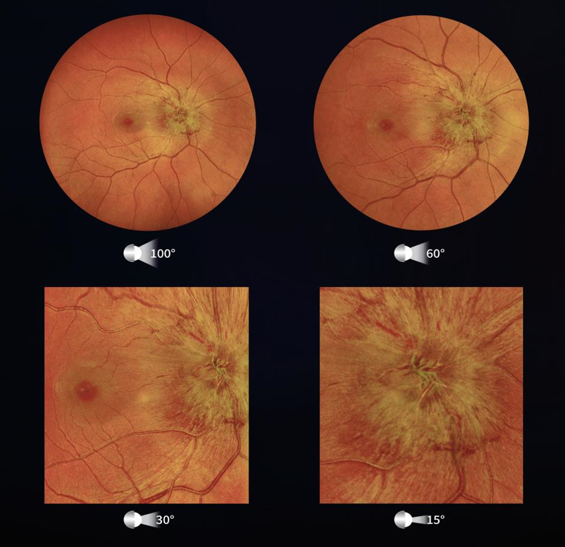
眼底位于眼球深处,常规的眼底照相检查仅能观测到眼底中心45°左右的有限区域。而许多眼底疾病的病变悄然发生在眼底周边的地区,仅凭借中心45°的眼底图像,眼底病变的潜在风险无法发现,许多患者很有可能因此错过治疗的黄金时间。超广角共焦激光眼底照相造影机,通过单张成像可扫描达150°超广角眼底范围,所具备的眼位引导功能,最大可捕捉到锯齿缘的眼底图像,能帮助医生看到更大范围、更多的眼底病信息,有利于眼科疾病的早期诊断,避免漏诊、误诊。

1

2、免散瞳

眼底照相能检查出什么免散瞳、快成像!三台县人民医院引进我县首台超广角眼底照相机_https://www.jmylbn.com_新闻资讯_第3张

对患者的最小瞳孔要求为1.5mm,对于青光眼不能散瞳的患者和糖尿病难于散瞳的患者,具有不可替代的重要作用;减少了散瞳的过程,可降低风险节约患者时间,提高诊疗效率,同时减轻了检查的不适感。

1

3、成像快

眼底照相能检查出什么免散瞳、快成像!三台县人民医院引进我县首台超广角眼底照相机_https://www.jmylbn.com_新闻资讯_第3张

0.12秒便可实现非接触、无创、免散瞳的眼底照相,操作智能化,缩短医生检查时间的同时,也减少了患者检查的不适感和等候时间。

1

4、超高分辨率多种成像模式

眼底照相能检查出什么免散瞳、快成像!三台县人民医院引进我县首台超广角眼底照相机_https://www.jmylbn.com_新闻资讯_第3张

获取图像的分辨率是5μm,可以拍摄到普通眼底照相机不能成像的眼底图像。除彩照成像模式以外,还具备反映RPE层细胞代谢状态的自发荧光(AF)成像模式,近红外眼底成像(IR),无赤光眼底成像(RF),荧光素纳血管造影成像(FA),多种成像模式,满足临床医生不同的眼底需求。

1

5、超高穿透性

眼底照相能检查出什么免散瞳、快成像!三台县人民医院引进我县首台超广角眼底照相机_https://www.jmylbn.com_新闻资讯_第8张

采用两种不同波长的激光进行成像,更强的穿透力,避免屈光间质浑浊的影响,可穿透85%的白内障,甚至是4级核的情况也能获得比较清晰的眼底图像。

超广角眼底照相机



眼底照相能检查出什么免散瞳、快成像!三台县人民医院引进我县首台超广角眼底照相机_https://www.jmylbn.com_新闻资讯_第9张

1

医生建议以下眼底病高危人群应定期检查:

眼底照相能检查出什么免散瞳、快成像!三台县人民医院引进我县首台超广角眼底照相机_https://www.jmylbn.com_新闻资讯_第3张

1、糖尿病患者:确诊糖尿病且暂时未发现视网膜病变的患者应每年检查一次,发现视网膜病变的则应缩短检查周期,非增殖期每半年检查一次,增殖期每三个月检查一次,定期检查。
近视患者(特别是大于600度的高度近视):近视患者因眼球结构变化应密切关注眼底健康,近视患者应做到至少每年检查一次眼底,度数越高眼底病变风险越大,检查频次也应相应提高。此外,中老年近视患者也应提高其检查频次。
2、有青光眼家族史人群:青光眼存在非常明显的遗传倾向,家族中有青光眼患者的人群,应提高警惕,关注眼底健康,每年至少检查一次眼底。
3、高血压患者:高血压易引发视网膜病变,眼科医生建议高血压患者每年至少检查一次眼底。
4、血液病患者:血液病患者随访及移植前后比较容易发生眼底出血、内源性眼内炎、眼底肿瘤细胞转移等情况,要定期做眼底检查。
5、长期服用抗结核药物,氯喹等有毒副作用的药物患者:此类药物的毒副作用可威胁眼底健康,服用此类药物的的人群需要遵循医嘱定期检查眼底。
6、孕产妇的眼底筛查:合并高血压、妊娠糖尿病、高度近视的孕妇在生产过程中可能会发生影响视力的并发症,不需要散瞳就能获得超广角的眼底图片,最大限度地为孕产妇生产保驾护航。
7、儿童眼底筛查:许多视力问题在孩童时期就可能发生,而眼疾病的早期征象往往出现于视网膜周边部。因此,早期得到全面的眼科检查十分必要。儿童也可以很好地配合。
除此之外,当出现视力下降、视物变形时,一定要提高警惕,及时就医。
眼睛是心灵的窗户,接受着外界95%信息量,观察着这多彩的世界。眼底疾病不仅会导致视觉损伤,而且还会造成不可逆的致盲性眼病,眼底疾病的早期筛查、早期治疗至关重要。
来源:眼科
修改|编辑:邹子翔
文字校对:刘瑶
稿件初审:唐曼姝
稿件总审:廖旭


眼底照相能检查出什么免散瞳、快成像!三台县人民医院引进我县首台超广角眼底照相机_https://www.jmylbn.com_新闻资讯_第11张