疼痛科怎么理疗疼痛科医生、康复理疗科医生、针刀针灸医生应掌握的常见骨科疾病X光片

新闻资讯2026-04-21 19:29:20

精品学习班推荐

7月18日 福建*福州 针刀微创临床应用研修班—点击查看

报到时间:2025年7月18日

授课时间:2025年7月19日-7月26日

联系电话:高老师 18201094500(同微信)

疼痛科怎么理疗疼痛科医生、康复理疗科医生、针刀针灸医生应掌握的常见骨科疾病X光片_https://www.jmylbn.com_新闻资讯_第1张
疼痛科怎么理疗疼痛科医生、康复理疗科医生、针刀针灸医生应掌握的常见骨科疾病X光片_https://www.jmylbn.com_新闻资讯_第2张

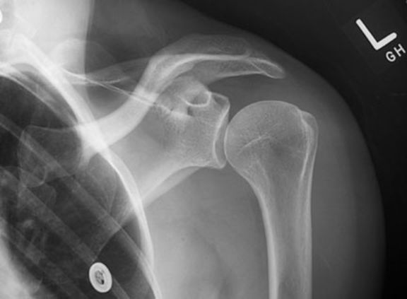
正常肩关节


锁骨骨折


常发生在中段。多为横断或斜行骨折,内侧断端受胸锁乳突肌的牵拉常向上后移位,外侧端受上肢的重力作用向内、下移位,形成凸面向上的成角、错位缩短畸形。


疼痛科怎么理疗疼痛科医生、康复理疗科医生、针刀针灸医生应掌握的常见骨科疾病X光片_https://www.jmylbn.com_新闻资讯_第3张


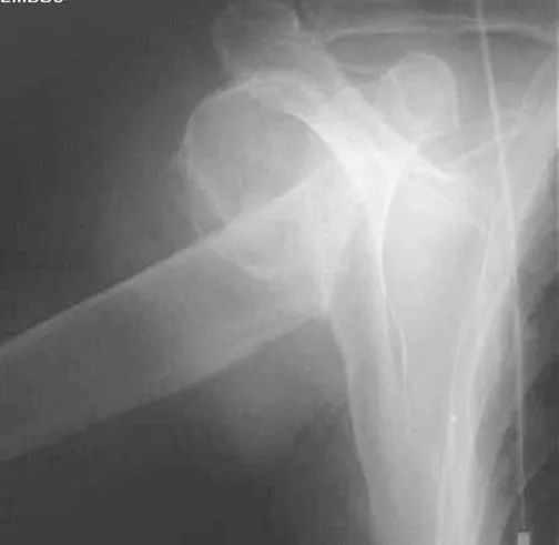
肩胛骨骨折

  • 分型–肩胛骨体部骨折

  • 常见–肩胛颈部骨折–肩胛盂骨折–喙突骨折–肩峰骨折,移位多不明显。


疼痛科怎么理疗疼痛科医生、康复理疗科医生、针刀针灸医生应掌握的常见骨科疾病X光片_https://www.jmylbn.com_新闻资讯_第4张


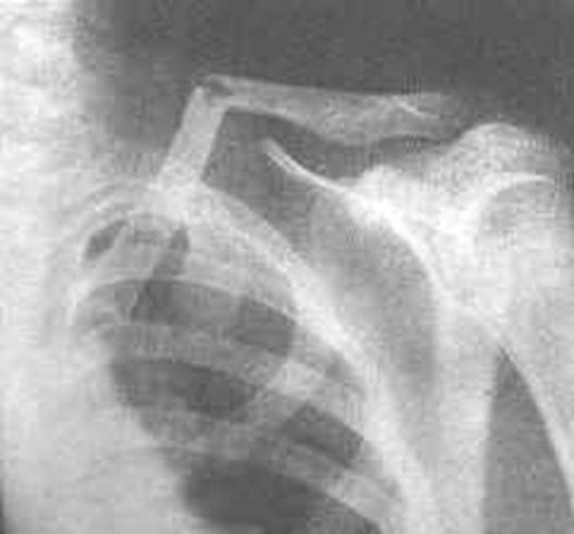
肩锁关节脱位


疼痛科怎么理疗疼痛科医生、康复理疗科医生、针刀针灸医生应掌握的常见骨科疾病X光片_https://www.jmylbn.com_新闻资讯_第5张


前脱位,前内脱位,后脱位。


疼痛科怎么理疗疼痛科医生、康复理疗科医生、针刀针灸医生应掌握的常见骨科疾病X光片_https://www.jmylbn.com_新闻资讯_第6张


肱骨外科颈骨折

内收或外展型损伤–最常见–骨折线为横行,伸展型损伤–间接外力引起–骨折线横行,向前成角,屈曲型损伤:较少见。


疼痛科怎么理疗疼痛科医生、康复理疗科医生、针刀针灸医生应掌握的常见骨科疾病X光片_https://www.jmylbn.com_新闻资讯_第7张


肱骨干骨折

直接暴力–横断骨折或粉碎骨折,间接暴力–斜形、螺旋形或蝶形骨折,肱骨上段的骨折–近折端向前内侧错位–远折端向上、外错位,肱骨中段骨折–近折端向外、前方移位–远折端向上移位–骨折端重叠错位。


疼痛科怎么理疗疼痛科医生、康复理疗科医生、针刀针灸医生应掌握的常见骨科疾病X光片_https://www.jmylbn.com_新闻资讯_第8张


疼痛科怎么理疗疼痛科医生、康复理疗科医生、针刀针灸医生应掌握的常见骨科疾病X光片_https://www.jmylbn.com_新闻资讯_第9张

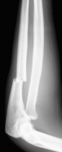
正常肘关节


疼痛科怎么理疗疼痛科医生、康复理疗科医生、针刀针灸医生应掌握的常见骨科疾病X光片_https://www.jmylbn.com_新闻资讯_第10张

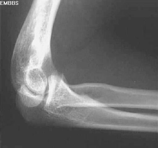
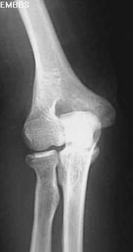
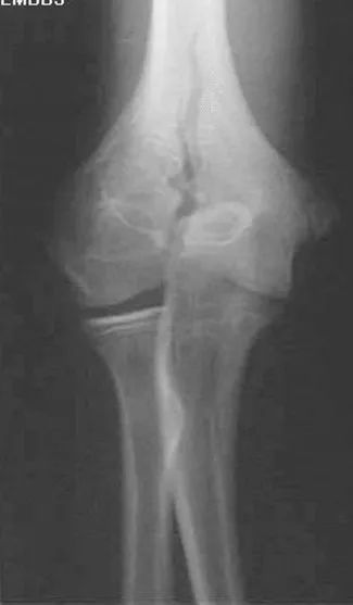
肘关节脱位


肱骨髁上骨折


疼痛科怎么理疗疼痛科医生、康复理疗科医生、针刀针灸医生应掌握的常见骨科疾病X光片_https://www.jmylbn.com_新闻资讯_第11张


疼痛科怎么理疗疼痛科医生、康复理疗科医生、针刀针灸医生应掌握的常见骨科疾病X光片_https://www.jmylbn.com_新闻资讯_第12张


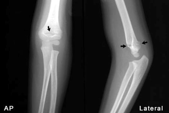
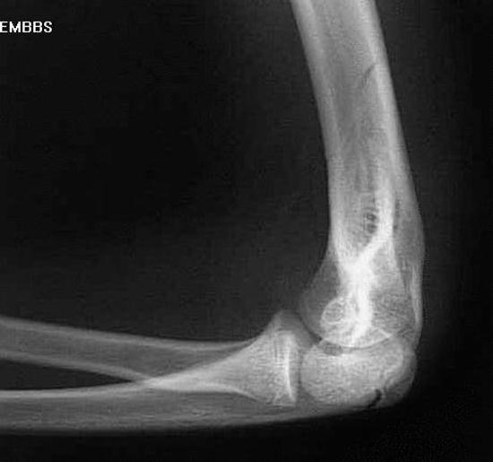
肱骨髁间骨折

疼痛科怎么理疗疼痛科医生、康复理疗科医生、针刀针灸医生应掌握的常见骨科疾病X光片_https://www.jmylbn.com_新闻资讯_第13张


疼痛科怎么理疗疼痛科医生、康复理疗科医生、针刀针灸医生应掌握的常见骨科疾病X光片_https://www.jmylbn.com_新闻资讯_第14张


桡骨头骨折


疼痛科怎么理疗疼痛科医生、康复理疗科医生、针刀针灸医生应掌握的常见骨科疾病X光片_https://www.jmylbn.com_新闻资讯_第15张
疼痛科怎么理疗疼痛科医生、康复理疗科医生、针刀针灸医生应掌握的常见骨科疾病X光片_https://www.jmylbn.com_新闻资讯_第16张


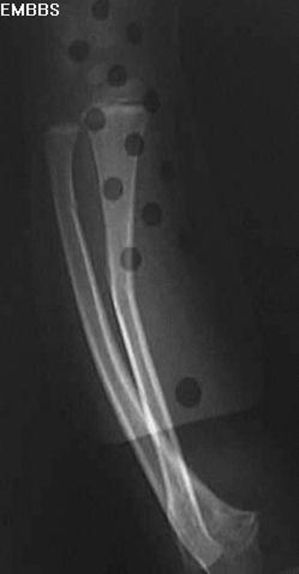
前臂双骨折

疼痛科怎么理疗疼痛科医生、康复理疗科医生、针刀针灸医生应掌握的常见骨科疾病X光片_https://www.jmylbn.com_新闻资讯_第17张


前臂青枝骨折

疼痛科怎么理疗疼痛科医生、康复理疗科医生、针刀针灸医生应掌握的常见骨科疾病X光片_https://www.jmylbn.com_新闻资讯_第18张


孟氏骨折

  • 尺骨骨折

  • 桡骨头脱位

疼痛科怎么理疗疼痛科医生、康复理疗科医生、针刀针灸医生应掌握的常见骨科疾病X光片_https://www.jmylbn.com_新闻资讯_第19张


盖氏骨折

  • 桡骨骨折

  • 远侧尺桡关节分离


疼痛科怎么理疗疼痛科医生、康复理疗科医生、针刀针灸医生应掌握的常见骨科疾病X光片_https://www.jmylbn.com_新闻资讯_第20张


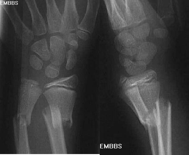
Colles骨折

  • 桡骨远端骨折

  • 骨折向掌侧成角

  • 远折端向背侧移位


疼痛科怎么理疗疼痛科医生、康复理疗科医生、针刀针灸医生应掌握的常见骨科疾病X光片_https://www.jmylbn.com_新闻资讯_第21张


Smith骨折

疼痛科怎么理疗疼痛科医生、康复理疗科医生、针刀针灸医生应掌握的常见骨科疾病X光片_https://www.jmylbn.com_新闻资讯_第22张


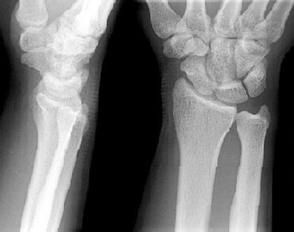
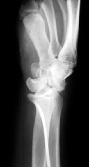
正常腕关节


疼痛科怎么理疗疼痛科医生、康复理疗科医生、针刀针灸医生应掌握的常见骨科疾病X光片_https://www.jmylbn.com_新闻资讯_第23张
疼痛科怎么理疗疼痛科医生、康复理疗科医生、针刀针灸医生应掌握的常见骨科疾病X光片_https://www.jmylbn.com_新闻资讯_第24张


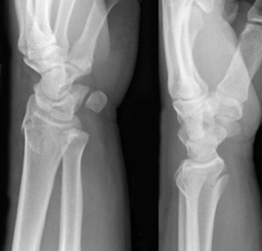
月骨周围脱位

疼痛科怎么理疗疼痛科医生、康复理疗科医生、针刀针灸医生应掌握的常见骨科疾病X光片_https://www.jmylbn.com_新闻资讯_第25张


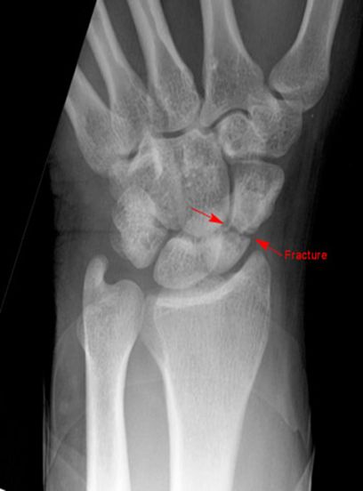
舟骨骨折

  • 最常见的腕骨骨折

  • 易漏诊

  • 易发生缺血性坏死

  • 儿童少见


疼痛科怎么理疗疼痛科医生、康复理疗科医生、针刀针灸医生应掌握的常见骨科疾病X光片_https://www.jmylbn.com_新闻资讯_第26张


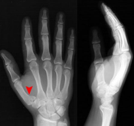
拳击手骨折

  • 握拳撞击

  • 通常发生在第五掌骨


疼痛科怎么理疗疼痛科医生、康复理疗科医生、针刀针灸医生应掌握的常见骨科疾病X光片_https://www.jmylbn.com_新闻资讯_第27张


Bennett Fracture

  • 第一掌骨基底部

  • 关节内骨折伴脱位–背侧半脱位

  • 轴向压力


疼痛科怎么理疗疼痛科医生、康复理疗科医生、针刀针灸医生应掌握的常见骨科疾病X光片_https://www.jmylbn.com_新闻资讯_第28张


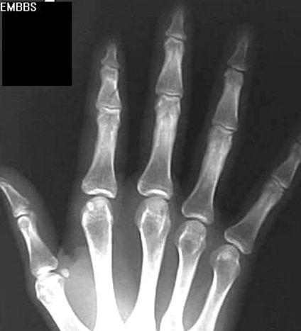
指骨骨折


疼痛科怎么理疗疼痛科医生、康复理疗科医生、针刀针灸医生应掌握的常见骨科疾病X光片_https://www.jmylbn.com_新闻资讯_第29张


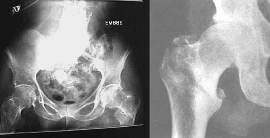
股骨颈骨折


疼痛科怎么理疗疼痛科医生、康复理疗科医生、针刀针灸医生应掌握的常见骨科疾病X光片_https://www.jmylbn.com_新闻资讯_第30张


股骨粗隆间骨折


疼痛科怎么理疗疼痛科医生、康复理疗科医生、针刀针灸医生应掌握的常见骨科疾病X光片_https://www.jmylbn.com_新闻资讯_第31张


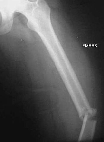
股骨干骨折


疼痛科怎么理疗疼痛科医生、康复理疗科医生、针刀针灸医生应掌握的常见骨科疾病X光片_https://www.jmylbn.com_新闻资讯_第32张


髌骨骨折


疼痛科怎么理疗疼痛科医生、康复理疗科医生、针刀针灸医生应掌握的常见骨科疾病X光片_https://www.jmylbn.com_新闻资讯_第33张


髌骨脱位



疼痛科怎么理疗疼痛科医生、康复理疗科医生、针刀针灸医生应掌握的常见骨科疾病X光片_https://www.jmylbn.com_新闻资讯_第34张


胫骨平台骨折


疼痛科怎么理疗疼痛科医生、康复理疗科医生、针刀针灸医生应掌握的常见骨科疾病X光片_https://www.jmylbn.com_新闻资讯_第35张


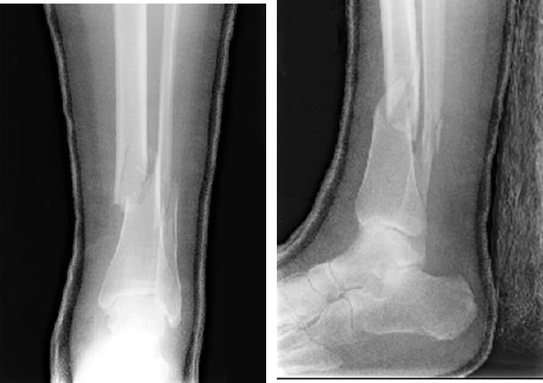
胫腓骨骨折


疼痛科怎么理疗疼痛科医生、康复理疗科医生、针刀针灸医生应掌握的常见骨科疾病X光片_https://www.jmylbn.com_新闻资讯_第36张


MaisonneuveFracture 

  • 腓骨中段骨折

  • 下胫腓分离

疼痛科怎么理疗疼痛科医生、康复理疗科医生、针刀针灸医生应掌握的常见骨科疾病X光片_https://www.jmylbn.com_新闻资讯_第37张


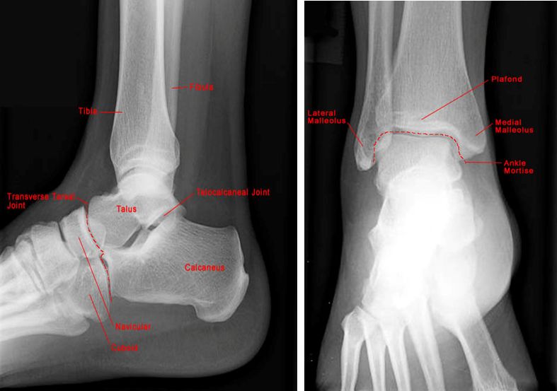
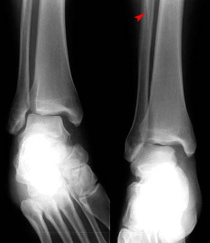
正常踝关节


疼痛科怎么理疗疼痛科医生、康复理疗科医生、针刀针灸医生应掌握的常见骨科疾病X光片_https://www.jmylbn.com_新闻资讯_第38张


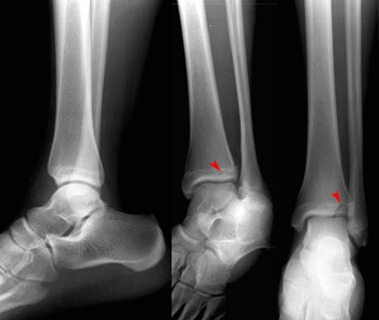
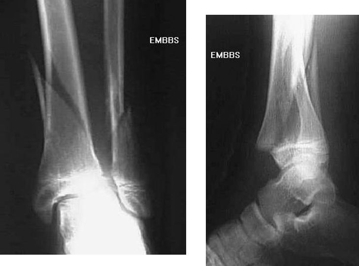
踝关节骨折


疼痛科怎么理疗疼痛科医生、康复理疗科医生、针刀针灸医生应掌握的常见骨科疾病X光片_https://www.jmylbn.com_新闻资讯_第39张


三踝骨折

疼痛科怎么理疗疼痛科医生、康复理疗科医生、针刀针灸医生应掌握的常见骨科疾病X光片_https://www.jmylbn.com_新闻资讯_第40张


踝关节脱位

疼痛科怎么理疗疼痛科医生、康复理疗科医生、针刀针灸医生应掌握的常见骨科疾病X光片_https://www.jmylbn.com_新闻资讯_第41张


正常足侧位片


疼痛科怎么理疗疼痛科医生、康复理疗科医生、针刀针灸医生应掌握的常见骨科疾病X光片_https://www.jmylbn.com_新闻资讯_第42张


正常足正位片


疼痛科怎么理疗疼痛科医生、康复理疗科医生、针刀针灸医生应掌握的常见骨科疾病X光片_https://www.jmylbn.com_新闻资讯_第43张


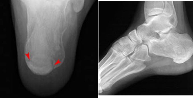
跟骨骨折



疼痛科怎么理疗疼痛科医生、康复理疗科医生、针刀针灸医生应掌握的常见骨科疾病X光片_https://www.jmylbn.com_新闻资讯_第44张


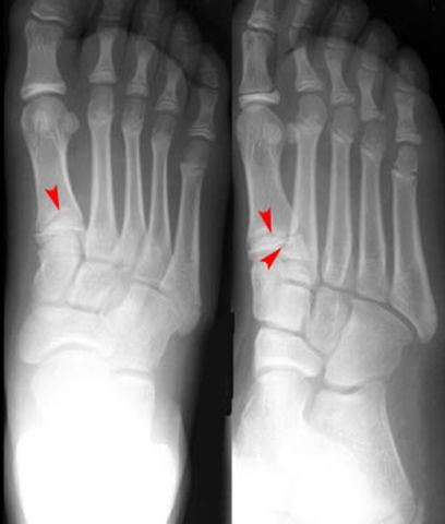
Jones Fracture 

  • 第五跖骨基底部骨折

  • 易漏诊

  • 不制动易致骨不连

疼痛科怎么理疗疼痛科医生、康复理疗科医生、针刀针灸医生应掌握的常见骨科疾病X光片_https://www.jmylbn.com_新闻资讯_第45张

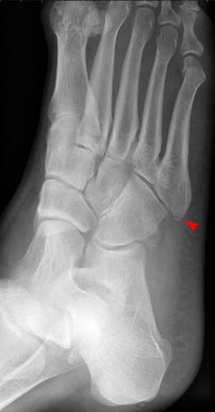
跖骨骨折


疼痛科怎么理疗疼痛科医生、康复理疗科医生、针刀针灸医生应掌握的常见骨科疾病X光片_https://www.jmylbn.com_新闻资讯_第46张


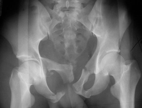
正常骨盆正位片

疼痛科怎么理疗疼痛科医生、康复理疗科医生、针刀针灸医生应掌握的常见骨科疾病X光片_https://www.jmylbn.com_新闻资讯_第47张


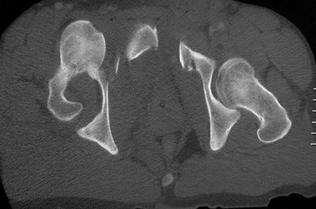
髋关节后脱位

疼痛科怎么理疗疼痛科医生、康复理疗科医生、针刀针灸医生应掌握的常见骨科疾病X光片_https://www.jmylbn.com_新闻资讯_第48张


髋关节前脱位

疼痛科怎么理疗疼痛科医生、康复理疗科医生、针刀针灸医生应掌握的常见骨科疾病X光片_https://www.jmylbn.com_新闻资讯_第49张
疼痛科怎么理疗疼痛科医生、康复理疗科医生、针刀针灸医生应掌握的常见骨科疾病X光片_https://www.jmylbn.com_新闻资讯_第50张
疼痛科怎么理疗疼痛科医生、康复理疗科医生、针刀针灸医生应掌握的常见骨科疾病X光片_https://www.jmylbn.com_新闻资讯_第51张


先天性髋脱位

疼痛科怎么理疗疼痛科医生、康复理疗科医生、针刀针灸医生应掌握的常见骨科疾病X光片_https://www.jmylbn.com_新闻资讯_第52张


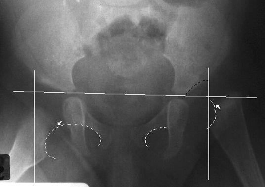
常见髋关节测定线


疼痛科怎么理疗疼痛科医生、康复理疗科医生、针刀针灸医生应掌握的常见骨科疾病X光片_https://www.jmylbn.com_新闻资讯_第53张


骨盆骨折


疼痛科怎么理疗疼痛科医生、康复理疗科医生、针刀针灸医生应掌握的常见骨科疾病X光片_https://www.jmylbn.com_新闻资讯_第54张


正常胸椎


疼痛科怎么理疗疼痛科医生、康复理疗科医生、针刀针灸医生应掌握的常见骨科疾病X光片_https://www.jmylbn.com_新闻资讯_第55张


胸椎压缩性骨折


疼痛科怎么理疗疼痛科医生、康复理疗科医生、针刀针灸医生应掌握的常见骨科疾病X光片_https://www.jmylbn.com_新闻资讯_第56张

正常腰椎


疼痛科怎么理疗疼痛科医生、康复理疗科医生、针刀针灸医生应掌握的常见骨科疾病X光片_https://www.jmylbn.com_新闻资讯_第57张


L5腰椎骨折 


疼痛科怎么理疗疼痛科医生、康复理疗科医生、针刀针灸医生应掌握的常见骨科疾病X光片_https://www.jmylbn.com_新闻资讯_第58张

本文仅作学术分享,版权归原作者所有,如有侵权请联系我们及时删除。

疼痛科怎么理疗疼痛科医生、康复理疗科医生、针刀针灸医生应掌握的常见骨科疾病X光片_https://www.jmylbn.com_新闻资讯_第59张

学习咨询:18201094500

扫码关注我们

即刻获取更多学习资料

疼痛科怎么理疗疼痛科医生、康复理疗科医生、针刀针灸医生应掌握的常见骨科疾病X光片_https://www.jmylbn.com_新闻资讯_第60张

疼痛科怎么理疗疼痛科医生、康复理疗科医生、针刀针灸医生应掌握的常见骨科疾病X光片_https://www.jmylbn.com_新闻资讯_第61张

点击下方“阅读原文”查看更多精彩内容☺