牙周治疗仪怎么做牙周【新设备新技术】我院引进超声喷砂牙周治疗仪,助力牙齿健康

新闻资讯2026-04-21 17:50:37

牙周治疗仪怎么做牙周【新设备新技术】我院引进超声喷砂牙周治疗仪,助力牙齿健康_https://www.jmylbn.com_新闻资讯_第1张

牙周治疗仪怎么做牙周【新设备新技术】我院引进超声喷砂牙周治疗仪,助力牙齿健康_https://www.jmylbn.com_新闻资讯_第2张

牙周治疗仪怎么做牙周【新设备新技术】我院引进超声喷砂牙周治疗仪,助力牙齿健康_https://www.jmylbn.com_新闻资讯_第3张

—胶州市妇幼保健院—

牙周治疗仪怎么做牙周【新设备新技术】我院引进超声喷砂牙周治疗仪,助力牙齿健康_https://www.jmylbn.com_新闻资讯_第4张




 牙周病是我国最常见的口腔疾病之一。第四次全国口腔健康流行病学调查显示:我国成年人牙周健康者不足一成,中重度牙周炎患者高达62.4%。牙周围支持组织的破坏对咀嚼、言语、美观等功能均会产生影响,甚至还会影响人们的心理,降低生活质量。

 所谓牙周组织,即牙齿周围组织,从内到外有牙骨质、牙周膜、牙槽骨和牙龈组织。如果把牙齿比喻成一棵树,那么牙周组织就是树根周围的土壤。牙周病是指发生在牙周支持组织的一组疾病,主要是炎症性疾病,比如我们熟悉的牙龈炎和牙周炎。前者炎症只波及牙龈组织,而后者还会有炎症导致的牙槽骨破坏。


牙周治疗仪怎么做牙周【新设备新技术】我院引进超声喷砂牙周治疗仪,助力牙齿健康_https://www.jmylbn.com_新闻资讯_第5张



重磅来袭!

胶州市妇幼保健院

口腔门诊

新上啄木鸟超声喷砂牙周治疗仪

特推出中西医结合洁牙

全口精细牙周护理!

牙周治疗仪怎么做牙周【新设备新技术】我院引进超声喷砂牙周治疗仪,助力牙齿健康_https://www.jmylbn.com_新闻资讯_第6张


牙周治疗仪怎么做牙周【新设备新技术】我院引进超声喷砂牙周治疗仪,助力牙齿健康_https://www.jmylbn.com_新闻资讯_第7张

您是否常常因刷牙牙龈出血而担惊受怕?

是否因口腔异味而拒绝与人近距离交流?

是否因牙齿大量黄黑色牙结石而无法开口大笑?

今天,请跟随脚步,

来一场牙周病大揭秘。


牙周病是牙周组织(牙龈、牙槽骨、牙周膜、牙骨质)因炎症导致的一种口腔疾病,可分为牙龈炎和牙周炎两大类。

牙周治疗仪怎么做牙周【新设备新技术】我院引进超声喷砂牙周治疗仪,助力牙齿健康_https://www.jmylbn.com_新闻资讯_第8张

牙龈炎


主要表现为牙龈出血、牙龈肿痛、牙龈颜色变暗、牙龈局部有瘙痒感、口臭等,不及时治疗则会发展为牙周炎。

牙周治疗仪怎么做牙周【新设备新技术】我院引进超声喷砂牙周治疗仪,助力牙齿健康_https://www.jmylbn.com_新闻资讯_第9张

牙周炎


早期症状与牙龈炎区分不明显,但随着病情悄无声息的发展,牙龈会慢慢退缩,牙槽骨会慢慢吸收,牙根暴露,引起牙髓症状、牙齿松动脱落等。


牙周治疗仪怎么做牙周【新设备新技术】我院引进超声喷砂牙周治疗仪,助力牙齿健康_https://www.jmylbn.com_新闻资讯_第10张

牙周治疗仪怎么做牙周【新设备新技术】我院引进超声喷砂牙周治疗仪,助力牙齿健康_https://www.jmylbn.com_新闻资讯_第11张

牙周病的罪魁祸首——牙菌斑



 牙菌斑顾名思义,是黏着在牙齿上的斑块。它在牙齿表面由食物残渣、脱落的口腔上皮细胞、唾液和细菌集合构成的一种生物薄膜。牙菌斑中的主要成分是细菌,而牙菌斑中的细菌主要是正常口腔内存在的链球菌和厌氧菌等。
     牙菌斑本身是透明的,所以肉眼看不出来,这也是为什么很多人经常认为刷牙刷干净了,但是却没有真正刷干净的原因。

牙周治疗仪怎么做牙周【新设备新技术】我院引进超声喷砂牙周治疗仪,助力牙齿健康_https://www.jmylbn.com_新闻资讯_第12张

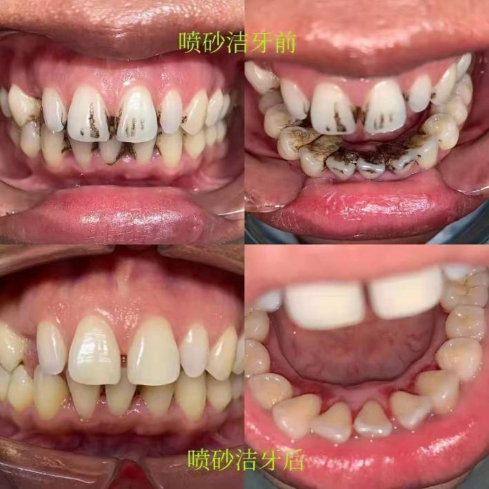
啄木鸟超声喷砂牙周治疗仪喷砂集中,洁治高效,治疗过程舒适柔和,无酸痛不伤牙。颗粒细小的碳酸氢钠喷砂粉,硬度小于我们的牙釉质,不仅舒适感很高,也完全不会损伤牙面。浅龈下用甘氨酸的喷砂粉,除了清除牙周袋内的细菌外还可以起到营养牙龈的作用。

牙周治疗仪怎么做牙周【新设备新技术】我院引进超声喷砂牙周治疗仪,助力牙齿健康_https://www.jmylbn.com_新闻资讯_第13张



牙周治疗仪怎么做牙周【新设备新技术】我院引进超声喷砂牙周治疗仪,助力牙齿健康_https://www.jmylbn.com_新闻资讯_第14张

牙周治疗仪怎么做牙周【新设备新技术】我院引进超声喷砂牙周治疗仪,助力牙齿健康_https://www.jmylbn.com_新闻资讯_第15张

牙周病的局部促进因素——牙石



牙结石是沉积在牙齿表面已经钙化的牙菌斑和软垢,导致更多细菌聚集繁殖,推动牙周病的发展。

啄木鸟超声喷砂牙周治疗仪可进行超声牙周洁治,椭圆形震动轨迹,钛合金工作尖,硬度低于牙釉质,更具弹性,更为舒适,带给您睡眠般的洁牙体验。

牙周治疗仪怎么做牙周【新设备新技术】我院引进超声喷砂牙周治疗仪,助力牙齿健康_https://www.jmylbn.com_新闻资讯_第16张


口腔的日常护理是比较简单的。我们要做的就是清理工作,早晚一定要认真刷牙,可以用改良巴氏刷牙法刷牙,刷牙的时间不少于三分钟,每颗牙齿的每个牙面都要清理到。除了刷牙之外,每次饭后都要漱口,可以用清水漱口。配合使用牙线、牙线棒,牙缝刷等这些工具,清理牙齿邻面,能够更好的做到口腔的清理,减少菌斑微生物的聚集。

最后建议每6-12个月定期洁牙,在洁牙的过程中,可以即早发现口腔问题,解决口腔问题。口腔健康,全身健康,预防胜于治疗,啄木鸟超声喷砂牙周治疗仪还您清新口腔。


若您对自己的口腔情况不了解

欢迎到口腔门诊咨询!


牙周治疗仪怎么做牙周【新设备新技术】我院引进超声喷砂牙周治疗仪,助力牙齿健康_https://www.jmylbn.com_新闻资讯_第17张

牙周治疗仪怎么做牙周【新设备新技术】我院引进超声喷砂牙周治疗仪,助力牙齿健康_https://www.jmylbn.com_新闻资讯_第18张

就诊地址

胶州市妇幼保健院

门诊楼3楼口腔门诊

牙周治疗仪怎么做牙周【新设备新技术】我院引进超声喷砂牙周治疗仪,助力牙齿健康_https://www.jmylbn.com_新闻资讯_第19张

牙周治疗仪怎么做牙周【新设备新技术】我院引进超声喷砂牙周治疗仪,助力牙齿健康_https://www.jmylbn.com_新闻资讯_第20张

预约服务电话

58656609

58651600



— END —




健康胶州·温馨妇幼

牙周治疗仪怎么做牙周【新设备新技术】我院引进超声喷砂牙周治疗仪,助力牙齿健康_https://www.jmylbn.com_新闻资讯_第21张

胶州市妇幼保健院新院效果图


牙周治疗仪怎么做牙周【新设备新技术】我院引进超声喷砂牙周治疗仪,助力牙齿健康_https://www.jmylbn.com_新闻资讯_第22张