牙周治疗仪怎么做牙周【新设备新技术】普定县人民医院口腔科引进超声喷砂牙周治疗仪,助力牙齿健康

新闻资讯2026-04-21 17:50:38

牙周治疗仪怎么做牙周【新设备新技术】普定县人民医院口腔科引进超声喷砂牙周治疗仪,助力牙齿健康_https://www.jmylbn.com_新闻资讯_第1张

牙周治疗仪怎么做牙周【新设备新技术】普定县人民医院口腔科引进超声喷砂牙周治疗仪,助力牙齿健康_https://www.jmylbn.com_新闻资讯_第2张



牙周治疗仪怎么做牙周【新设备新技术】普定县人民医院口腔科引进超声喷砂牙周治疗仪,助力牙齿健康_https://www.jmylbn.com_新闻资讯_第3张

 



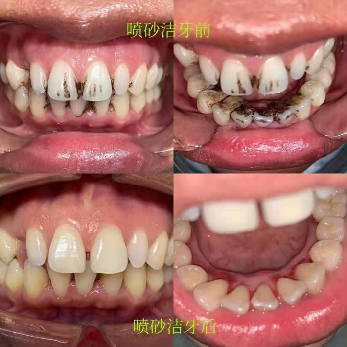
牙周治疗仪怎么做牙周【新设备新技术】普定县人民医院口腔科引进超声喷砂牙周治疗仪,助力牙齿健康_https://www.jmylbn.com_新闻资讯_第4张



您是否常常因刷牙牙龈出血而担惊受怕?


是否因口腔异味而拒绝与人近距离交流?


是否因牙齿大量黄黑色牙结石而无法开口大笑?


今天,请跟随脚步,来一场牙周病大揭秘。


牙周病是牙周组织(牙龈、牙槽骨、牙周膜、牙骨质)因炎症导致的一种口腔疾病,可分为牙龈炎和牙周炎两大类。


牙龈炎主要表现为牙龈出血、牙龈肿痛、牙龈颜色变暗、牙龈局部有瘙痒感、口臭等,不及时治疗则会发展为牙周炎。


牙周炎:早期症状与牙龈炎区分不明显,但随着病情悄无声息的发展,牙龈会慢慢退缩,牙槽骨会慢慢吸收,牙根暴露,引起牙髓症状、牙齿松动脱落等。


牙周治疗仪怎么做牙周【新设备新技术】普定县人民医院口腔科引进超声喷砂牙周治疗仪,助力牙齿健康_https://www.jmylbn.com_新闻资讯_第3张

牙周病的罪魁祸首——牙菌斑


牙菌斑是黏附在牙面及牙齿周围的一种无法被水冲去或漱掉的细菌生物膜,由大量细菌、口内脱落细胞和小块食物碎屑等组成,牙菌斑肉眼不可见,通常用菌斑显示剂加以显示。


牙菌斑常常堆积在牙邻面、龈下、咬合面等难以清洁的部位,需采用专业的口腔维护器械进行清除。我们采用的PTA牙周治疗仪,采用更专业、更富有弹性的钛合金洁治头,不接触牙面即可微波震荡击碎深度龈下牙结石、牙菌斑等,频率高、振幅小、分散与牙齿间的撞击力,不损伤口腔组织,轻柔舒适,让牙菌斑更不易附着在牙齿的表面。


啄木鸟超声喷砂牙周治疗仪喷砂集中,洁治高效,治疗过程舒适柔和,无酸痛不伤牙。颗粒细小的碳酸氢钠喷砂粉,硬度小于我们的牙釉质,不仅舒适感很高,也完全不会损伤牙面。浅龈下用甘氨酸的喷砂粉,除了清除牙周袋内的细菌外还可以起到营养牙龈的作用。



牙周治疗仪怎么做牙周【新设备新技术】普定县人民医院口腔科引进超声喷砂牙周治疗仪,助力牙齿健康_https://www.jmylbn.com_新闻资讯_第6张

  

牙周治疗仪怎么做牙周【新设备新技术】普定县人民医院口腔科引进超声喷砂牙周治疗仪,助力牙齿健康_https://www.jmylbn.com_新闻资讯_第7张


牙周治疗仪怎么做牙周【新设备新技术】普定县人民医院口腔科引进超声喷砂牙周治疗仪,助力牙齿健康_https://www.jmylbn.com_新闻资讯_第3张

牙周病的局部促进因素——牙石


牙结石是沉积在牙齿表面已经钙化的牙菌斑和软垢,导致更多细菌聚集繁殖,推动牙周病的发展。


啄木鸟超声喷砂牙周治疗仪可进行超声牙周洁治,椭圆形震动轨迹,钛合金工作尖,硬度低于牙釉质,更具弹性,更为舒适,带给您睡眠般的洁牙体验。


牙周治疗仪怎么做牙周【新设备新技术】普定县人民医院口腔科引进超声喷砂牙周治疗仪,助力牙齿健康_https://www.jmylbn.com_新闻资讯_第9张


口腔的日常护理是比较简单的。我们要做的就是清理工作,早晚一定要认真刷牙,可以用改良巴氏刷牙法刷牙,刷牙的时间不少于三分钟,每颗牙齿的每个牙面都要清理到。除了刷牙之外,每次饭后都要漱口,可以用清水漱口。配合使用牙线、牙线棒,牙缝刷等这些工具,清理牙齿邻面,能够更好的做到口腔的清理,减少菌斑微生物的聚集。


最后建议每6-12个月定期洁牙,在洁牙的过程中,可以即早发现口腔问题,解决口腔问题。口腔健康,全身健康,预防胜于治疗,啄木鸟超声喷砂牙周治疗仪还您清新口腔。


若您对自己的口腔情况不了解,欢迎到普定县人民医院口腔科咨询!


来源:口腔科

通讯员:林启丹

编辑:刘炼

审核:贾正鹏

总编:刘祥万


投稿邮箱:1284676177@qq.com


牙周治疗仪怎么做牙周【新设备新技术】普定县人民医院口腔科引进超声喷砂牙周治疗仪,助力牙齿健康_https://www.jmylbn.com_新闻资讯_第10张


牙周治疗仪怎么做牙周【新设备新技术】普定县人民医院口腔科引进超声喷砂牙周治疗仪,助力牙齿健康_https://www.jmylbn.com_新闻资讯_第11张

牙周治疗仪怎么做牙周【新设备新技术】普定县人民医院口腔科引进超声喷砂牙周治疗仪,助力牙齿健康_https://www.jmylbn.com_新闻资讯_第12张
您点的每个赞,我都认真当成了喜欢