
胆道系统包括胆囊及胆管,胆管又分为肝外胆管和肝内胆管,肝外胆管包括肝总管和胆囊管,肝总管由左、右肝管汇合而成,与胆囊管汇合而成胆总管,是超声最基础的检查内容之一。推荐:胆囊和胆管常见疾病的超声诊断、胆总管超声扫查、肝内、外胆管扩张、不同孕期胎儿胆囊大小参考值、胆囊肿瘤性病变、肝内胆管积气

概述:胆囊位于胆囊窝内,呈梨形或椭圆形,分为底、体和颈部。胆囊壁由内而外分为黏膜层、黏膜下层、肌层和浆膜层。
检查方法:将探头置于右肋缘下或右肋间,连续扫查胆囊长轴及短轴切面,主要观察胆囊体部及底部,右肋间扫查时,通过肝实质声窗重点观察胆囊颈部及胆囊管。
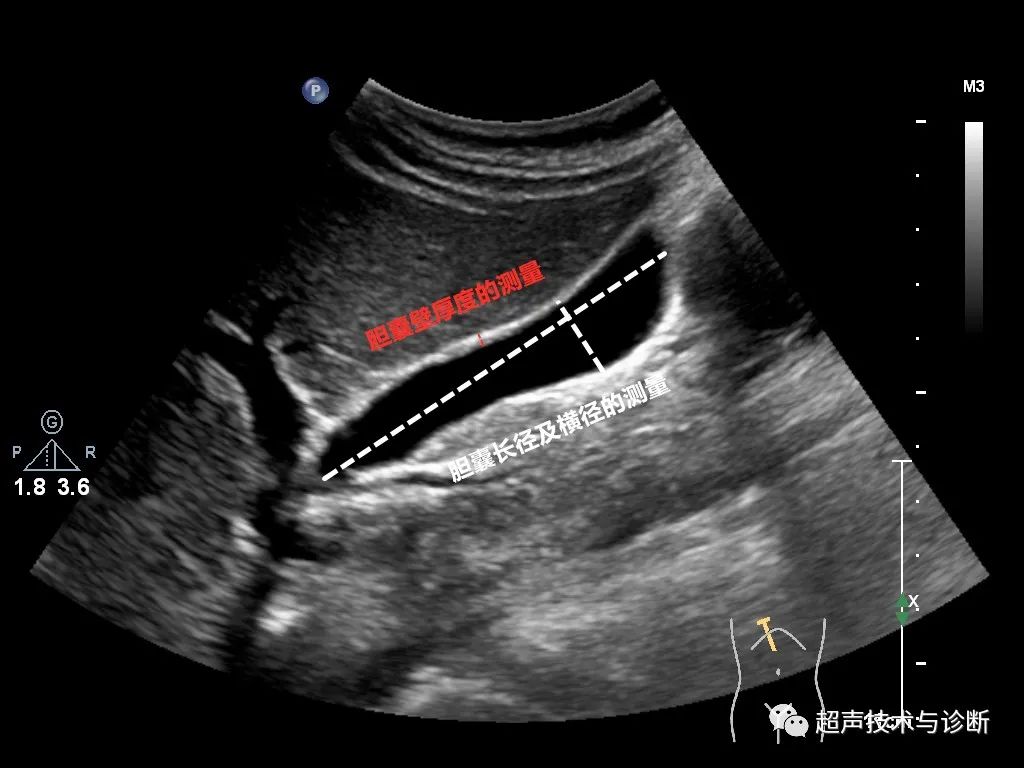
测量部位及方法:①胆囊长径:测胆囊颈部至胆囊底部内腔最大长径,如胆囊明显折叠,则分别测颈部至折叠、折叠至底部两段径线并相加。②胆囊横径:与胆囊长径垂直的径线。③胆囊壁厚度:于胆囊体底部前壁测量,尽量选择与声束垂直处测量最大厚度。
1岁以下的婴儿和新生儿胆囊长径1.5-3.0cm。

① 肝内胆管:先寻找与其伴行的门静脉,在附近寻找相应的各级肝内胆管。
② 肝总管及上段胆总管:采用右肋间扫查可显示位于门静脉主干及右前支前方胆管。
③ 胆总管或肝外胆管下段:先显示胰腺长轴切面,在胰头后外方寻找胆总管胰头段短轴图像,再旋转探头显示胆总管下段长轴切面。
测量部位及方法:肝外胆管最大直径:取肋间或肋缘下斜切面显示肝门部与门静脉伴行的肝外胆管上段,测量最宽处内径。
① 正常成人肝外胆管最大内径<8mm,可随年龄增长而增宽,65岁以上正常人最大内径可达10mm。
② 正常成人左、右肝管内径<3mm,或小于伴行门静脉内径的40%。
③ 婴幼儿肝外胆管最大内径一般不超过2mm,较大儿童一般不超过4mm。

来源:中国医师协会超声医师分会《中国腹部超声检查指南》
声明:文章来源/即时超声 ,内容仅供交流学习使用,如有侵权,请联系删除。
编辑:李老师
审核:晓凤
中国超声医学助力职称晋升,全新课程上新啦!
详情请看下文:
职称考试倒计时,速成决胜班来帮您!
快长按识别下方二维码
进入超声秘籍专栏
逛更多选择你喜欢的书籍吧!


