测胆道压力怎么测202205专论|门静脉压力测定的常用方法与前景

新闻资讯2026-04-21 17:05:31

测胆道压力怎么测202205专论|门静脉压力测定的常用方法与前景_https://www.jmylbn.com_新闻资讯_第1张

#特别提醒# 未经授权,不得转载摘编本刊文章
 

[引用本文]

陈超,吴茜茜,黄尔炯,等.门静脉压力测定的常用方法与前景[J].中华消化内镜杂志,2022, 39(5): 361-366. 

Chen Chao, Wu Qianqian, Huang Erjiong, Chen Xin, Lin Xiuqing, Wu Wei.Current methods and prospect of portal pressure measurement[J]. Chin J Dig Endosc, 2022, 39(5): 361-366.

DOI:10.3760/cma.j.cn321463-20210802-00475

测胆道压力怎么测202205专论|门静脉压力测定的常用方法与前景_https://www.jmylbn.com_新闻资讯_第2张
·专家论坛·


门静脉压力测定的常用方法与前景

测胆道压力怎么测202205专论|门静脉压力测定的常用方法与前景_https://www.jmylbn.com_新闻资讯_第3张
作者信息

陈超 吴茜茜 黄尔炯 陈新 林秀清 吴伟

温州医科大学附属第一医院消化内科

通信作者:吴伟

Email:wwwwwuwei@126.com

测胆道压力怎么测202205专论|门静脉压力测定的常用方法与前景_https://www.jmylbn.com_新闻资讯_第4张


吴伟

温州医科大学附属第一医院消化内科


副主任医师,现任中华医学会肿瘤营养学分会营养通路学组副组长,中华医学会消化病学分会微创介入协作组委员,浙江省医学会消化病学分会门脉高压学组副组长,温州医学会消化病学分会介入学组组长,温州医学会内镜学分会门脉高压学组组长






【提要】



门静脉高压症是指各种原因引起门静脉系统压力升高所导致的一组临床综合征。准确测量门静脉压力,可为肝脏疾病的诊断、鉴别诊断、治疗方式选择及预后提供有力证据。本文将对门静脉压力测定的常用方法与应用前景进行阐述。

【关键词】 高血压,门静脉;门静脉压力;门静脉压力梯度;肝静脉压力梯度

基金项目:温州市科技局项目(Y20190613)


门静脉高压症是指各种原因引起门静脉系统压力升高所导致的一组临床综合征1]。肝内血管结构破坏和肝窦梗阻引起肝内血管阻力病理性增加是门静脉高压症发展的主要因素,并且随着门静脉血流的反常增加而加剧2],导致侧支循环、异常分流道开放。其临床表现主要为食管胃底静脉曲张及破裂出血、腹水、肝性脑病、脾功能亢进等3],根据病因的解剖位置可分为窦前性、窦性、窦后性,其最常见的原因是肝硬化。临床上常用肝静脉楔入压与游离压之差,即肝静脉压力梯度(HVPG)间接反应门静脉压力4⁃5]。HVPG是目前反应门静脉压力的“金标准”,HVPG在5~10 mmHg之间为亚临床门静脉高压,HVPG≥10mmHg是诊断临床显著性门静脉高压症(CSPH)的金标准6]。对于HVPG≥10 mmHg的患者,发生肝癌的风险是<10mmHg患者的6倍7],且发生静脉曲张和进入肝硬化失代偿期的概率显著增加8]。使用β受体阻滞剂使HVPG<12mmHg或较基线下降至少10%,可明显减少首次静脉曲张出血发生率9],亦可降低腹水发生率10]。2005年,BavenoⅣ国际共识中首次提出,监测HVPG使非选择性β受体阻滞剂使用人群获益11]。准确测量门静脉压力,可为肝脏疾病的诊断、鉴别诊断、治疗方式选择及预后提供有力证据。

1937年Thompson发明在手术时直接测定肠系膜上静脉压力推测门静脉压力来,对门静脉压力检测的探索就未曾停止。目前,门静脉压力测定的方法分为有创测压法和无创测压法,无创测压法包括彩色多普勒超声,螺旋CT门静脉成像,磁共振血管造影,放射性核素显像测压法;有创测压法包括经典的门静脉导管术(手术中直接穿刺门静脉系统测压),超声内镜引导穿刺门静脉测压及超声定位下经皮经肝门静脉穿刺测压法。

一、无创测压法

1.超声:腹部超声检测是临床常用的影像学检测手段。多普勒模式可实时观察门静脉高压症患者的血管形态,监测血流动力学及形态学异常。门静脉主干内径≥13mm、脾静脉内径≥10mm即可怀疑为门静脉高压症12]。门静脉流速是门静脉高压症患者临床分期的重要指标,慢性肝病患者门静脉主干流速<12.8cm/s,标志着疾病向失代偿期进展,失代偿期监测到门静脉逆向血流标志着预后不良12]。但单纯的彩色多普勒超声预测CSPH的能力有限13]

超声弹性成像可用于定量检测肝硬度和脾硬度。BavenoⅣ共识表明肝硬度20~25kPa提示CSPH发生11]

肝硬度与HVPG在轻、中度门静脉高压(HVPG<12mmHg)中有很好的相关性,但HVPG>12mmHg时,其相关性较差14⁃17]。相比肝脏弹性成像,脾脏弹性成像不受肝脏血流和肝功能影响,脾硬度较肝硬度与HVPG水平更具显著相关性,其截断值40kPa、53kPa可使灵敏度及特异度达到97%以上,可作为HVPG的有效替代指标18⁃19]。超声瞬时弹性成像不适用于肥胖、腹水、肋间隙狭窄的患者,且脾硬度检测仅限于脾脏显著增大患者。

随着安全性的增加,超声造影检查已广泛应用于肝脏疾病的检查,利用造影剂到达肝血管时间及肝内渡越时间可有效评估门静脉压力。静脉注射超声微泡造影剂,计算造影剂的肝静脉到达时间和肝动脉到达时间的差值,即为肝动静脉渡越时间。有研究显示肝动静脉渡越时间与门静脉压力密切相关(r=-0.804,P=0.009)20],而另一项研究中肝静脉到达时间预测CSPH的敏感度及特异度分别为92.7%和86.7%21]

2.螺旋CT门静脉成像:CT门静脉成像通过静脉注射造影剂,在门静脉期扫描,可更直观地检测到脏器和血管形态学改变,获得门静脉主干、脾静脉、肠系膜上静脉等血管内径精确值,估计门静脉压力,并可筛查肝脏病变,观察侧支循环、异常分流道等情况,易于临床推广。中国门静脉高压诊断与监测研究组(CHESS)的一项前瞻性多中心研究显示,基于腹部增强CT图像开发的无创放射组学诊断模型,即基于放射组学的肝静脉压力梯度(rHVPG),显示出对HVPG的良好诊断性能(C指数0.849)22]。基于CT血管造影和多普勒超声得到虚拟门静脉压力梯度值评估CSPH的受试者工作特征曲线下面积(AUROC)可达到0.98。该团队另一基于CT血管造影图像预测HVPG的计算模型发现,CSPH预测中虚拟门静脉压力梯度值的AUROC为0.8323⁃24]

3.磁共振门静脉血管造影:磁共振门静脉血管造影通过注射造影剂,可从不同角度显示门静脉系统的血管、侧支循环及异常分流道以评估门静脉压力,不受视野限制,且对肥胖及肠道积气患者无影响。而磁共振弹性成像相比于超声弹性超声技术,可更大范围获取图像。相关研究发现肝脏T1弛豫时间和脾动脉血流与CSPH显著相关25⁃26],晚期肝纤维化及肝硬化患者的脾动脉血流、肝脏纵向松弛时间与HVPG和CSPH显著相关(相关系数r分别为0.9、0.85)26]。CHESS团队通过深度卷积神经网络(CNN)分析,对接受增强MRI或增强CT检查的肝硬化患者分别进行以MRI或CT为基础的CNN分析,结果显示两者均对CSPH诊断有极高的预测效能(试验组及验证组的AUROC均>0.900)27]

4.血清学检测:肝脏纤维化、肝窦毛细血管化是门静脉高压症的重要病理生理改变,因此,炎症性血清标志物、内皮损伤因子、血管舒张活性物质以及肝脏纤维化指标被广泛用于门静脉高压症的无创评估研究。外周血清标志物无创评估门静脉高压症具有简单、可重复和连续评估疗效的优点,但血清学检测易受患者机体多方面影响,其敏感度和特异度存在较大争议,通过联合检测多种血清学标志物建立模型或血清学联合影像学指标综合评估可能有助于提高其准确性。

5.放射性核素:正常人直肠上端给予99m-甲氧基异丁基异腈(99mTc⁃MIBI)后被直肠黏膜吸收,绝大部分经直肠上静脉、肠系膜下静脉、门静脉到达肝脏,而门静脉高压症患者99mTc⁃MIBI可通过侧支循环分布至全身,进行放射性核素显像测定门静脉高压症患者心脏与肝脏的放射性比值,与术中测定门静脉压力相关28]。但该检测方法具体操作复杂,易受肠道准备等因素影响,价格昂贵,推算出的门静脉压力未见大样本报道。

二、有创测压法

1.门静脉导管术:HVPG测定是目前诊断门静脉高压症的“金标准”,操作时可选择经颈内静脉、锁骨下静脉、肘静脉或股静脉穿刺,利用导丝推送造影导管至下腔静脉后插管至肝静脉;先进行肝静脉造影,确认肝静脉通畅、无狭窄、无明显的静脉-静脉侧支分流,再更换为球囊导管后测定肝静脉自由压,并充盈球囊,阻断肝静脉血流,测定肝静脉楔压,两者的差值可计算出HVPG29]。但HVPG仅代表门静脉灌注压,实际上反应的是肝窦压力,而不是门静脉直接压力,对窦前性门静脉高压如特发性肝纤维化、门静脉血栓等,窦后性门静脉高压如布加综合征等测量的准确性欠佳4]。HVPG测定影响因素颇多,体位、呼吸、活动、导管位置等均可影响测量的准确性,有时因存在肝内分流30]、导管未进入楔入位、球囊阻断不完全等因素,导致HVPG结果不准确,低于实际门静脉压力。另外,对操作者有较高要求,技术难度大,若缺乏标准化的培训,检测结果的误差较大,且有形成血栓、误入颈总静脉等风险8]。CHESS等于2018年提出的《中国肝静脉压力梯度临床应用专家共识(2018版)》5]就此诸多问题,提出了标准化、规范化操作流程,规范HVPG测定流程,以期获得准确、一致的测量结果。

2.手术直接测压:进行腹部手术时,术中解剖门静脉主干、胃网膜右静脉、脐静脉,穿刺针刺入血管,另一侧连接压力换能器或玻璃测压管,可获得直接、可靠的门静脉自由压31],并可动态监测,其中门静脉压力≥22mmHg的情况下有可能发生静脉曲张破裂出血,这对于手术当中的术式选择至关重要32]。术中阻断门静脉主干后测定肝侧门静脉闭锁压、脏侧门静脉闭锁压,二者分别反应了肝窦压力及侧支循环压力,其差值即门静脉最大灌注压33]。门静脉灌注压可粗略估计患者的血流动力学,术中结合门静脉自由压,可指导手术方式的选择,减少术后再出血及肝性脑病的发生。但手术直接测压仅局限于术中进行,术中穿刺门静脉系统出血风险高,其准确性易受麻醉、手术应激的影响,且无法随访压力变化。

3.超声内镜引导穿刺门静脉测压:超声内镜引导门静脉压力梯度(EUS⁃PPG)测定是指在线阵超声内镜的引导下,穿刺针经消化道腔道分别进入门静脉系统、肝静脉或下腔静脉系统,另一侧连接压力换能器,获得门静脉自由压、肝静脉游离压,可动态反应门静脉压力变化,是可靠、直接的方法34],操作同时可完成门静脉取血,门静脉造影,灌注化疗等。该技术在动物35⁃36]及人体37⁃38]试验中均验证了可行性及准确性,一项前瞻性研究也验证了EUS⁃PPG与HVPG的一致性39],但该研究纳入的病例为肝小静脉闭塞及布加综合征,主要为窦后性门静脉高压,限制了其临床代表性。

食管胃底静脉曲张是门静脉高压症的常见并发症,内镜检查为侵入性,检查过程中可能引起食管胃底静脉曲张破裂出血。线阵超声内镜操作准入门槛较高,测压过程十分考验操作者经验,穿刺费用高昂,需要有经验的大型中心方可进行。此外门静脉压力的准确性易受术中麻醉影响,限制其临床推广。

4.超声引导穿刺门静脉测压:超声引导门静脉压力测定是在超声引导下,经皮经肝穿刺至门静脉,拔除穿刺针枕芯后直接连接肝素生理盐水预充的测压管,并连接压力换能器,直接测得门静脉压力。常向云等40]采用23G穿刺针,成功测定了20例肝硬化患者[(3.3±0.95)kPa]及20例正常人门静脉压力[(1.47±0.20)kPa]。此法可获得门静脉直接、动态压力,数据准确,与HVPG测定相比,技术门槛低,无需接触射线,避免了手术应激、麻醉对门静脉压力的影响。可在经皮肝穿胃冠状静脉栓塞术、脾栓塞术等操作时,同期完成门静脉压力测定,比较栓塞前后门静脉压力变化,预测再出血风险及预后,但有待研究进一步证实。对于失代偿期肝硬化患者,大部分合并血小板下降,凝血功能异常,腹水等,该操作因经皮、经肝脏的有创性,理论上易引起肝包膜损伤、腹腔出血、肝动静脉瘘、胆道损伤等风险,但既往报道局限40]。另由于通常采用局部麻醉,部分受试者在操作过程中心率、血压急骤变化,肝包膜刺激可引起不适反应,对结果亦存在较大影响。

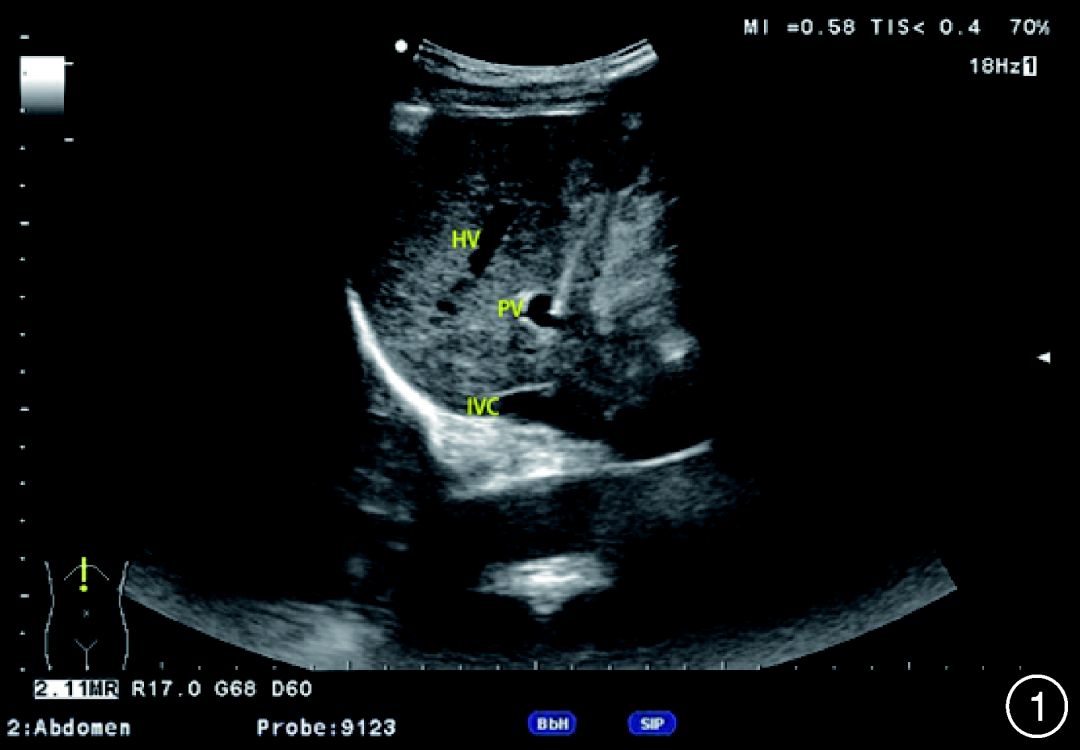
单纯的门静脉压力测定易受腹腔内压力、压力调零水平点的影响,故笔者所在的中心提出了“超声引导门静脉压力梯度(UPPG)”测定的方式,经皮经肝分别穿刺门静脉(图1)、肝静脉或下腔静脉肝段,测定门静脉自由压、肝静脉游离压或下腔静脉游离压,获得门静脉压力差,消除腹腔压力、水平调定点、人为操作等对门静脉压力的影响。自2020年10月正式开展工作以来,获得患者知情同意并纳入肝硬化失代偿期伴食管胃底静脉曲张或破裂出血患者共56例,完成门静脉压力测定56例,操作成功率100%,纳入的56例患者中,男43例、女13例,年龄(54.9±10.0)岁(29~76岁),其中乙型肝炎肝硬化35例、酒精性肝硬化13例、丙型肝炎肝硬化1例、自身免疫性肝炎肝硬化1例、药物性肝硬化1例、不明原因肝硬化5例,血小板计数(72±20.5)×109/L,凝血酶原时间(18.3±5.2)s,所有患者采用局部浸润麻醉,术中监测心率、血压、呼吸变化,操作时间(25.3±10.5)min,获得的门静脉压力(29.8±7.7)mmHg,肝静脉压力(9.0±3.8)mmHg,门静脉压力梯度(20.9±6.3)mmHg,术中或术后疼痛8例(其中1例需止痛治疗),操作中低血压1例(补液后缓解),一过性胸闷不适10例,术后2个月复查超声提示肝动静脉瘘1例,无其他术中、术后并发症。此法操作风险低,成功率高,可重复性高,在临床操作中有巨大前景。


测胆道压力怎么测202205专论|门静脉压力测定的常用方法与前景_https://www.jmylbn.com_新闻资讯_第5张

注:HV指肝静脉;PV指门静脉;IVC指下腔静脉

1 超声定位下穿刺针经皮经肝穿刺进入门静脉


三、我国应用现状与展望

2019年我国发布的《肝硬化门静脉高压症食管、胃底静脉曲张破裂出血诊治专家共识(2019版)》推荐将HVPG作为评估门静脉压力变化的主要手段41],同时建议根据肝硬化分期和门静脉压力梯度对门静脉高压症患者进行危险程度分级。门静脉压力测定在门静脉高压症的诊断、治疗方案选择和治疗效果评估中的作用极为重要,临床上旨在选择一种准确、安全性好且利于随访的测定方法。

无创检测准确预测门静脉压力是我们“终极目标”,对于门静脉高压患者,定期影像学检查在临床工作中较为常见,适用面广,患者依从性好,其中超声最为普遍,可重复、连续动态观察,易被患者和临床医师接受,但易受多种因素影响,如呼吸、体位、肠腔气体等,同时与操作者的主观判断有关;而CT和磁共振的图像更为客观,CHESS团队提出的放射组学rHVPG、增强CT或磁共振造影的CNN分析准确性高,为无创检测HVPG提供了可行方案,横向比较了影像学与HVPG的一致性,准确性佳,形成分析软件后,可大范围推广应用,若能纵向比较影像学变化,可能有更好的预测效果。

有创或微创检测目前仍是临床可选择的门静脉压力测定的最佳手段,其中HVPG为间接门静脉压力测定的代表5]。HVPG测定作为经典的测压方法,易被临床医师接受,并发症少,多个指南均推荐HVPG应用临床,但HVPG检测过程中干扰因素多,适用人群有明显的限制,致部分患者被排除。而无创测压方式的研究大部分基于HVPG检测,限制了HVPG相关的经典研究的临床代表性。门静脉直接穿刺测压技术直接获得门静脉压力及肝静脉或下腔静脉压力,同时可完成门静脉操作,适用于各种类型的门静脉高压症患者,可作为各种研究的理想手段,包括了EUS⁃PPG、超声引导门静脉压力测定和UPPG测定,其中UPPG测定操作门槛低,可操控性强,可获得更清晰的超声图像,可探及的肝叶范围更广。但是对于常合并食管胃底静脉曲张、肝功能减退、血小板减少、凝血功能异常的门静脉高压症患者,穿刺的风险不言而喻,有经验的操作者可明显减少肝包膜、胆道、血管损伤引起的并发症。笔者所在单位纳入了肝硬化伴食管胃底静脉曲张或伴出血的病例,大部分合并血小板下降及凝血功能异常,笔者采用23G穿刺针,共完成56例UPPG测定,无Ⅰ级以上并发症。证明该方法的安全性,但由于样本量过小,其短、中、远期并发症仍有待考究,其与经典的HVPG测量的相关性、临床症状的相关性有待进一步研究验证,但这并不影响门静脉穿刺测压法成为最有临床推广意义的检测手段。


参考文献略



测胆道压力怎么测202205专论|门静脉压力测定的常用方法与前景_https://www.jmylbn.com_新闻资讯_第6张
测胆道压力怎么测202205专论|门静脉压力测定的常用方法与前景_https://www.jmylbn.com_新闻资讯_第7张
测胆道压力怎么测202205专论|门静脉压力测定的常用方法与前景_https://www.jmylbn.com_新闻资讯_第6张
测胆道压力怎么测202205专论|门静脉压力测定的常用方法与前景_https://www.jmylbn.com_新闻资讯_第7张


中华消化内镜杂志
测胆道压力怎么测202205专论|门静脉压力测定的常用方法与前景_https://www.jmylbn.com_新闻资讯_第10张
测胆道压力怎么测202205专论|门静脉压力测定的常用方法与前景_https://www.jmylbn.com_新闻资讯_第11张
测胆道压力怎么测202205专论|门静脉压力测定的常用方法与前景_https://www.jmylbn.com_新闻资讯_第12张
测胆道压力怎么测202205专论|门静脉压力测定的常用方法与前景_https://www.jmylbn.com_新闻资讯_第13张
详情咨询,关注本刊企业微信
测胆道压力怎么测202205专论|门静脉压力测定的常用方法与前景_https://www.jmylbn.com_新闻资讯_第3张

联系地址:南京市紫竹林3号《中华消化内镜杂志》编辑部  210003

联系电话:025-83478997/83472831

投稿网站:www.zhxhnjzz.com

服务邮箱:xhnj@zhxhnjzz.com

CHINESE JOURNAL OF DIGESTIVE ENDOSCOPY
测胆道压力怎么测202205专论|门静脉压力测定的常用方法与前景_https://www.jmylbn.com_新闻资讯_第15张

阅读原文,下载pdf