fh染色是什么意思病例分享 | 延胡索酸水合酶(FH)缺陷型子宫平滑肌瘤

新闻资讯2026-04-23 14:38:55

fh染色是什么意思病例分享 | 延胡索酸水合酶(FH)缺陷型子宫平滑肌瘤_https://www.jmylbn.com_新闻资讯_第1张


作者简介:

袁俊清 | 硕士,主治医师


病史:

患者,女,29岁

体检发现子宫肌瘤10天入院。

原单位病理诊断:倾向富于细胞性平滑肌瘤,建议会诊。

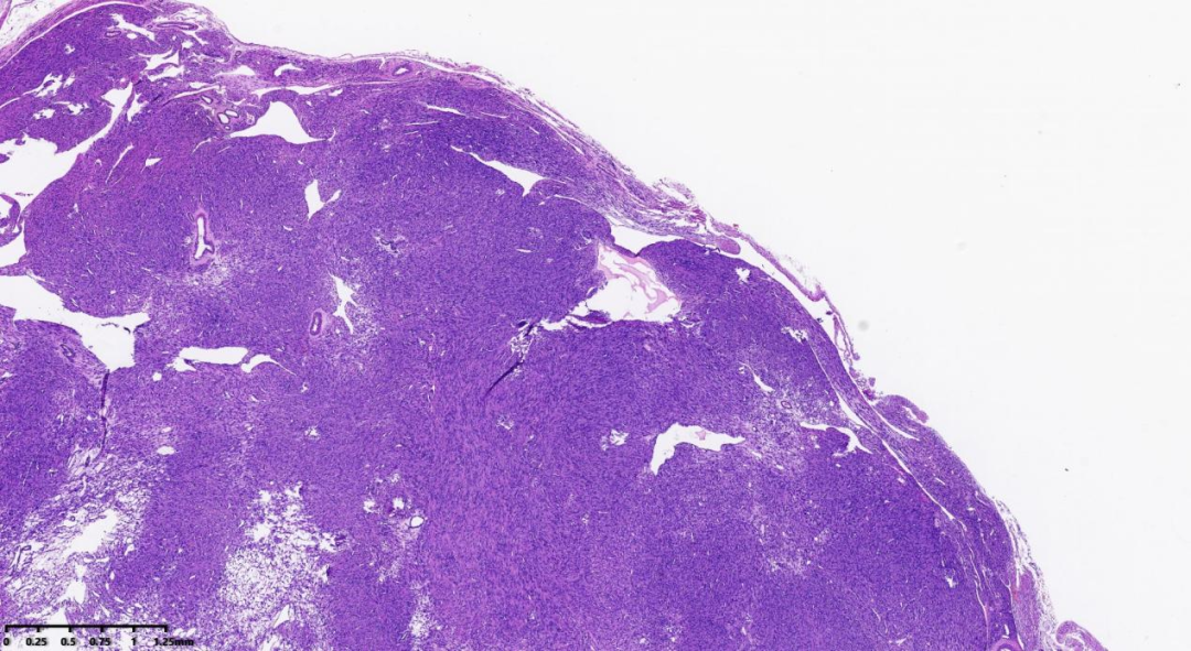
大体检查:

灰黄色条索状组织,共7×3×2.5cm,切面灰黄色、质中。

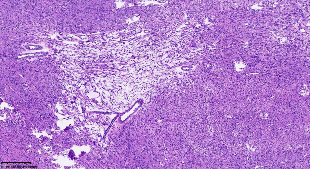
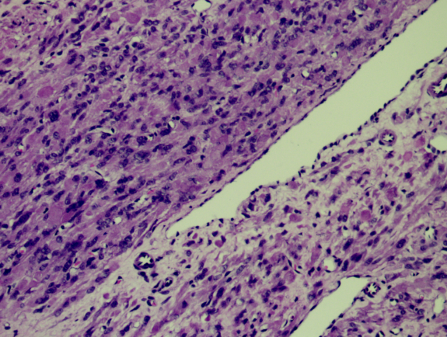
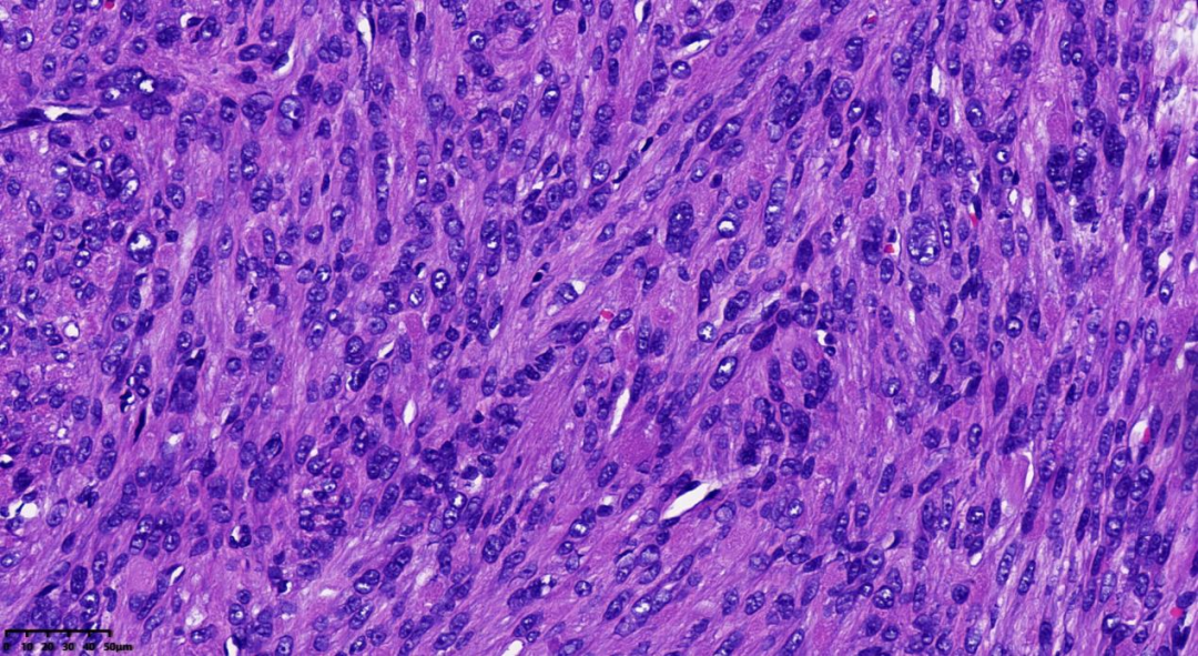
形态学特征:

fh染色是什么意思病例分享 | 延胡索酸水合酶(FH)缺陷型子宫平滑肌瘤_https://www.jmylbn.com_新闻资讯_第2张

肿瘤细胞密度相对较高,肿瘤间质出现鹿角样血管


fh染色是什么意思病例分享 | 延胡索酸水合酶(FH)缺陷型子宫平滑肌瘤_https://www.jmylbn.com_新闻资讯_第3张

肺泡样水肿结构


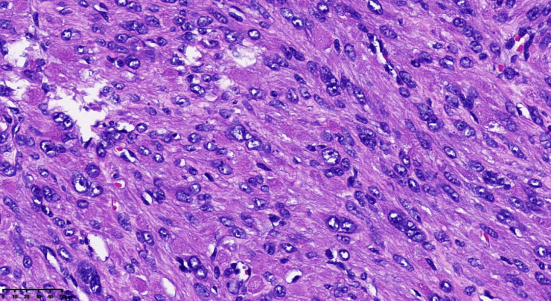
fh染色是什么意思病例分享 | 延胡索酸水合酶(FH)缺陷型子宫平滑肌瘤_https://www.jmylbn.com_新闻资讯_第4张

细胞异型,见多核细胞;嗜酸性核仁,可见胞质内嗜酸性小体


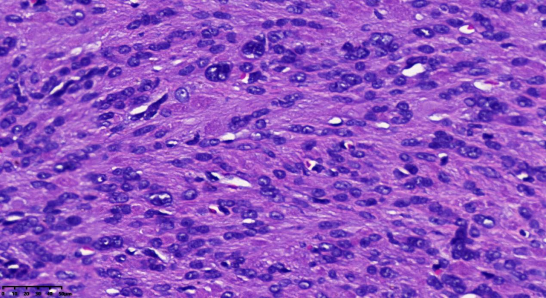
fh染色是什么意思病例分享 | 延胡索酸水合酶(FH)缺陷型子宫平滑肌瘤_https://www.jmylbn.com_新闻资讯_第5张

细胞丰富,链状排列的卵圆形核,核异型,见嗜酸性核仁


fh染色是什么意思病例分享 | 延胡索酸水合酶(FH)缺陷型子宫平滑肌瘤_https://www.jmylbn.com_新闻资讯_第6张

链状排列的卵圆形核,可见奇异性核;嗜酸性核仁,可见核仁周围空晕


fh染色是什么意思病例分享 | 延胡索酸水合酶(FH)缺陷型子宫平滑肌瘤_https://www.jmylbn.com_新闻资讯_第7张

可见胞质内嗜酸性小体

<上下滑动查看更多>


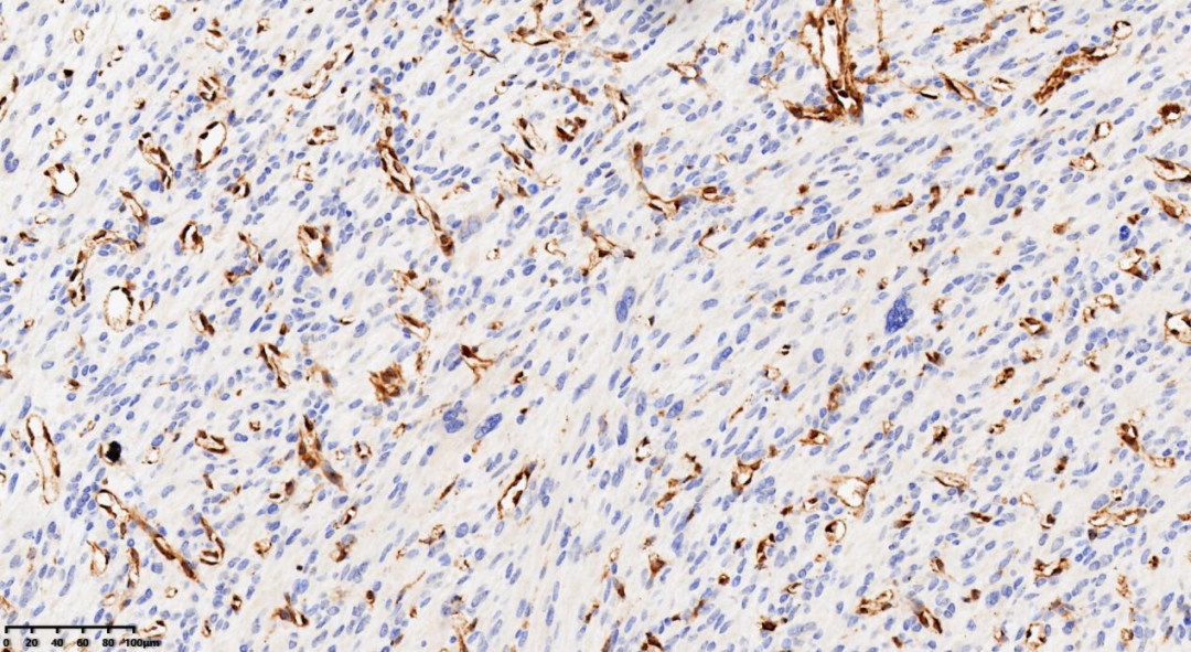
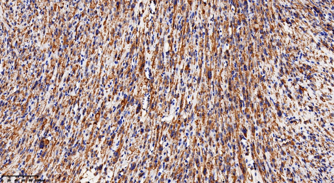
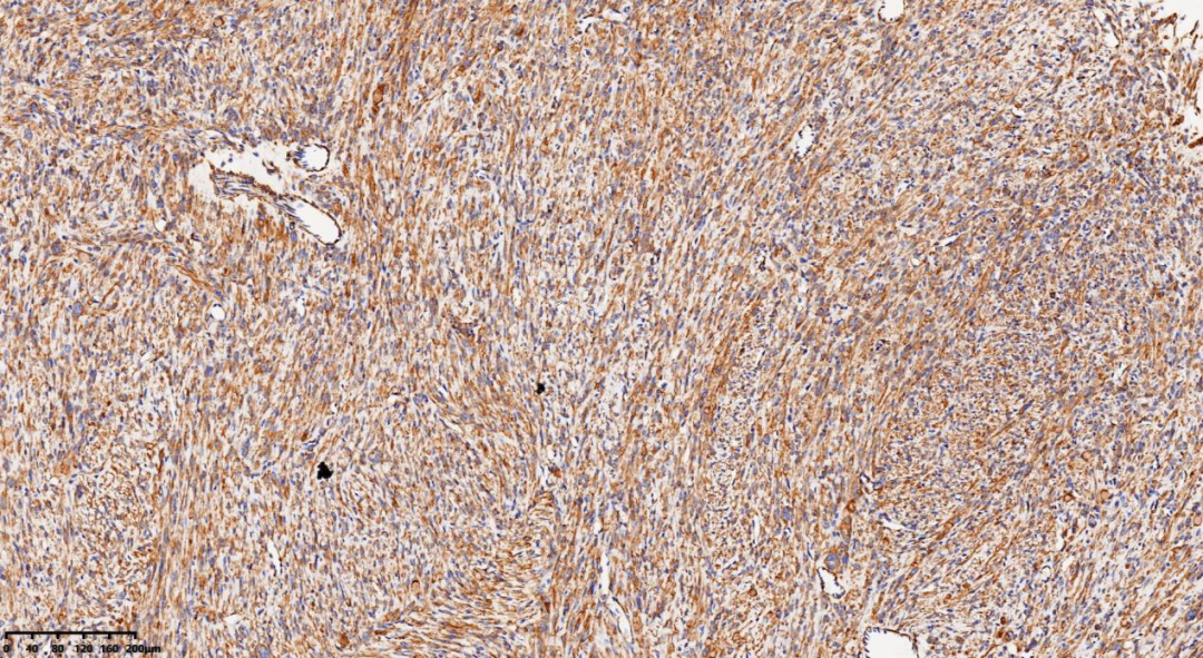
免疫组织化学染色:

fh染色是什么意思病例分享 | 延胡索酸水合酶(FH)缺陷型子宫平滑肌瘤_https://www.jmylbn.com_新闻资讯_第8张

FH


fh染色是什么意思病例分享 | 延胡索酸水合酶(FH)缺陷型子宫平滑肌瘤_https://www.jmylbn.com_新闻资讯_第9张

SMA


fh染色是什么意思病例分享 | 延胡索酸水合酶(FH)缺陷型子宫平滑肌瘤_https://www.jmylbn.com_新闻资讯_第10张

Caldesmon


fh染色是什么意思病例分享 | 延胡索酸水合酶(FH)缺陷型子宫平滑肌瘤_https://www.jmylbn.com_新闻资讯_第11张

CD34

<上下滑动查看更多>


病理诊断:

(子宫肿块):延胡索酸水合酶(FH)缺陷型平滑肌瘤。

免疫组化结果:

2307245-2号蜡块:FH(-), ATRX(+),ER(+), PR(+), Desmin(+), SMA(+), Caldesmon(+), CD10(-),P53(野生型表达), P16(斑片状), CD34(血管+),  ALK(-)。





延胡索酸水合酶(FH)

缺陷型平滑肌瘤


延胡索酸水合酶(fumarate hydratase,FH)缺陷型子宫平滑肌瘤罕见,约占子宫平滑肌瘤的1%。

2020年第5版WHO女性生殖器官肿瘤分类首次将其纳入子宫平滑肌瘤亚型,并强调FH基因的胚系或体系变异均可导致FH缺陷型子宫平滑肌瘤。由于二者的病理组织学特征相同,鉴别诊断需要依据肿瘤和外周血/正常组织DNA测序结果。

FH胚系变异会导致遗传性平滑肌瘤病和肾细胞癌(hereditary leiomyomatosis and renal cell cancer,HLRCC),主要表现为多发性皮肤平滑肌瘤、多发性子宫平滑肌瘤和肾细胞癌。

70%~80%的患者会在30岁左右发生皮肤平滑肌瘤和子宫平滑肌瘤,15%~20%在40岁以后出现恶性度高、侵袭性强的II型乳头状肾细胞癌。因此,皮肤和子宫的平滑肌瘤被认为是HLRCC患者的前哨肿瘤。

虽然FH基因的体系变异所导致的子宫肌瘤并不会增加罹患肾癌风险,但肌瘤同样早发、多发且症状严重,患者常行手术剥除甚至切除子宫。


大体检查:

肿瘤灰黄色,破絮样外观,质地软。此外,肿瘤往往多发,且体积通常较大。


镜下特征:

肿瘤细胞密度相对较高;间质内常出现鹿角样血管;由于间质常伴有水肿,故形成肺泡样水肿结构;散在分布奇异型细胞及多核细胞;细胞核呈卵圆形;细胞核有时出现链状排列;可见胞质内嗜酸性小体;细胞核中可见突出的嗜酸性核仁,且核仁周围可见空晕。

常为轻度的核不典型性,核分裂象<5/10HPF。

免疫组化及分子检测:

由于上述组织学特征也可以在其他亚型的子宫平滑肌瘤中见到,因此不能单独作为确诊依据,须结合免疫组织化学和遗传学检测。

肿瘤特征性的表现为FH染色缺失、2SC弥漫性颗粒状着色、 以及1q43杂合性缺失。

FH表达缺失和2SC阳性有助于识别延胡索酸水合酶缺乏型平滑肌瘤。建议对所有形态学具有提示特征的子宫平滑肌瘤常规进行免疫组织化学筛查。



参考文献 <上下滑动查看更多>

1.王小熙,刘岩,刘凌超 等,延胡索酸水合酶缺陷型子宫平滑肌瘤80例临床病理及分子遗传学分析,中华病理学杂志, 2023,6(52):574-579.

2.Harrison WJ, Andrici J, Maclean F, et al. Fumarate hydratasedeficient uterine leiomyomas occur in both the syndromic and sporadic settings[J]. Am J Surg Pathol, 2016, 40(5): 599607.

3.WHO Classification of Tumours Editorial Board. WHO classification of tumours.Uterine corpus tumours[M].5th ed. Lyon: IARC Press, 2020: 272276.

4.Menko FH, Maher ER, Schmidt LS, et al. Hereditary  leiomyomatosis and renal cell cancer (HLRCC): renal cancer risk, surveillance and treatment[J]. Fam Cancer, 2014, 13(4):637644. DOI: 10.1007/s1068901497352.


*致谢:本病例经朱慧庭主任会诊。


*本病例分享属学术交流,欢迎批评指正。

*本文(包括图片)仅供行业交流学习用,不作为医疗诊断依据。




END 


供稿 | 袁俊清

编辑 | Cami

审核 | 审核组



fh染色是什么意思病例分享 | 延胡索酸水合酶(FH)缺陷型子宫平滑肌瘤_https://www.jmylbn.com_新闻资讯_第12张

征稿启事

为了更好地为病理同行、临床医生、病患以及关注健康的广大网友提供病理学知识,我们诚挚邀请您将各类病理诊断、病理技术发展、新技术临床应用等原创稿件托付给我们,我们会通过上海阿克曼病理官方公众号、第三方媒体等方式,无偿供给广大同仁学习,共同进步,努力推进行业传承与接力发展


征稿详情及稿酬政策,可点击蓝色标题链接查看

用笔接力病理学发展,原创稿件征集来袭!


fh染色是什么意思病例分享 | 延胡索酸水合酶(FH)缺陷型子宫平滑肌瘤_https://www.jmylbn.com_新闻资讯_第13张