活检钳怎么用【京都大学】胆囊肿瘤活检新技术:使用支架输送系统和活检钳

新闻资讯2026-04-21 17:01:52



导读

使用活检钳获取的样本来诊断胆囊癌是一种较为新颖的技术。来自京都大学的Tomoaki Matsumori等人分享了一篇病例,使用胆管支架输送系统安全并轻松地将活检钳送入胆囊,并获得足够的活检样本。小编翻译了该篇文章,希望能对您有所启发


A novel technique for performing gallbladder tumor biopsy using a stent delivery system and biopsy forceps

一种胆囊肿瘤活检新技术:使用支架输送系统和活检钳

 

A 79-year-old man presented to our hospital with a gallbladder tumor diagnosed using abdominal ultrasonography (AUS). AUS, contrast-enhanced computed tomography, and magnetic resonance imaging showed a protruded lesion at the gallbladder fundus (Fig. 1, Fig. 2). Endoscopic retrograde cholangiography (ERC) was performed, and cholecystography revealed a contrast agent defect at the gallbladder fundus (Fig. 3).

患者,男,79岁,入院后通过腹部超声检查(AUS)诊断出患有胆囊肿瘤。AUS、对比增强计算机断层扫描和磁共振成像显示,胆囊底部有一个突出病变(图1、图2)。进行了经内镜逆行性胆管造影(ERC),且胆囊造影显示,胆囊底部造影剂充盈缺损(图3)。

 

活检钳怎么用【京都大学】胆囊肿瘤活检新技术:使用支架输送系统和活检钳_https://www.jmylbn.com_新闻资讯_第1张

Fig. 1 Abdominal ultrasonography of gallbladder cancer, showing a protruded lesion (yellow arrowheads) at the gallbladder fundus

图1. 胆囊癌的腹部超声图像,显示胆囊底有一个突出病变(黄色箭头)。

 

活检钳怎么用【京都大学】胆囊肿瘤活检新技术:使用支架输送系统和活检钳_https://www.jmylbn.com_新闻资讯_第2张

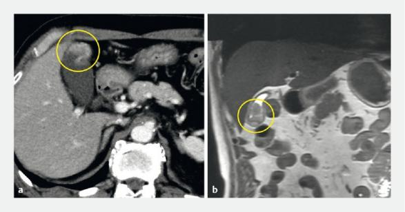
Fig. 2 Imaging studies of gallbladder cancer showing a tumor lesion (yellow circle) at the gallbladder fundus. a Contrast-enhanced computed tomography. b Magnetic resonance imaging.

图2. 对胆囊癌的影像学研究显示,胆囊底有一个肿瘤病变(黄色圆圈)。a. 对比增强计算机断层扫描。b. 磁共振成像。

 

活检钳怎么用【京都大学】胆囊肿瘤活检新技术:使用支架输送系统和活检钳_https://www.jmylbn.com_新闻资讯_第3张

Fig. 3 Endoscopic retrograde cholangiography. a A guidewire was inserted into the gallbladder. b Contrast agent defect (yellow arrows) was observed at the gallbladder fundus.

图3. 经内镜逆行性胆管造影。a. 导丝插入胆囊。b. 在胆囊底观察到造影剂充盈缺损(黄色箭头)。

 

We placed a 0.025-inch guidewire into the gallbladder and inserted a biliary stent delivery system, composed of a guide catheter and pusher tube (MAJ-510; Olympus Medical Systems, Tokyo, Japan) (Fig. 4). After removing the guidewire and guide catheter, we inserted biopsy forceps (radial Jaw 4 Pediatric Biopsy Forceps; Boston Scientific Japan, Tokyo, Japan) through the pusher tube and performed biopsy of the gallbladder fundus legion (Video 1). The biopsy specimen was sufficient to diagnose gallbladder cancer (Fig. 5). Tumor recurrence was not seen for 3 years after surgery.

将一根0.025英寸的导丝插入胆囊,并置入一个胆管支架输送系统,该系统由一个导引导管和一个推送管组成(MAJ-510)(图4)。撤出导丝和导引导管后,我们通过推送管送入了活检钳(radial Jaw 4儿科活检钳),并对胆囊底部病变进行了活检(视频1)。活检样本充分,诊断该病变为胆囊癌(图5)。术后3年未见肿瘤复发。

 

活检钳怎么用【京都大学】胆囊肿瘤活检新技术:使用支架输送系统和活检钳_https://www.jmylbn.com_新闻资讯_第4张

Fig. 4 The biliary stent delivery system, composed of a guide catheter and pusher tube (MAJ-510; Olympus Medical Systems, Tokyo, Japan). a The biliary stent delivery system. b Biopsy forceps.

图4. 胆管支架输送系统,包含一根导引导管和一个推送管(MAJ-510)。a. 胆管支架输送系统。b. 活检钳。

 

活检钳怎么用【京都大学】胆囊肿瘤活检新技术:使用支架输送系统和活检钳_https://www.jmylbn.com_新闻资讯_第5张

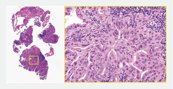
Fig. 5 Hematoxylin and eosin staining of gallbladder cancer. The specimen was obtained from the gallbladder tumor using biopsy forceps. The histological diagnosis was adenocarcinoma.

图5. 胆囊癌的苏木素伊红染色。使用活检钳从胆囊肿瘤获得样本。组织学诊断结果为腺癌。


活检钳怎么用【京都大学】胆囊肿瘤活检新技术:使用支架输送系统和活检钳_https://www.jmylbn.com_新闻资讯_第6张

Video 1 Biopsy of gallbladder tumor. a A pusher tube was inserted into the gallbladder (orange arrows) and the tip of the tube (yellow arrowhead) was located at the gallbladder tumor. b Biopsy forceps was inserted into the gallbladder through the pusher tube.

视频1. 胆囊肿瘤活检。a. 将一个推送管插入胆囊(橙色箭头),推送管的头端(黄色三角箭头)位于胆囊肿瘤处。b. 将活检钳通过推送管送入胆囊。

 

Although other endoscopic methods for diagnosing gallbladder cancers have been previously reported, use of biopsy forceps specimens for diagnosing gallbladder cancer is novel to our knowledge. We have previously reported the utility of a biliary stent delivery system in removing a foreign body from the bile duct. The technique used here enabled us to insert biopsy forceps into the gallbladder safely and easily, and to obtain a sufficient biopsy sample. 

尽管以前报道过胆囊癌的其他内镜诊断方法,但据我们所知,使用活检钳获取的样本诊断胆囊癌是一种较为新颖的技术。我们以前曾报道过使用胆管支架输送系统清除胆管异物。而本文使用胆管支架输送系统使我们安全并轻松地将活检钳送入胆囊,并获得足够的活检样本。


Moreover, this method may contribute to reducing complications after ERC, such as acute pancreatitis and duodenal perforation caused by the biopsy forceps injuring the duodenal papilla. Careful and accurate biopsy is important for prevention of gallbladder perforation. We placed an endoscopic naso-gallbladder drainage tube at the end of this procedure to reduce the bile juice leakage in case of gallbladder perforation.

此外,这种方法可能有助于减少ERC后的并发症,例如因活检钳损伤十二指肠乳头而引起的急性胰腺炎和十二指肠穿孔。谨慎、准确的活检对预防胆囊穿孔很重要。我们在操作过程的最后经内镜置入了一个鼻胆囊引流管,以减少胆囊穿孔时胆汁的漏出。

 

In conclusion, we report a novel technique to obtain a sample of the gallbladder using a stent delivery system using a biopsy forceps.

综上,本文报告了一种利用支架输送系统送入活检钳并利用活检钳获取胆囊样本的新技术。


活检钳怎么用【京都大学】胆囊肿瘤活检新技术:使用支架输送系统和活检钳_https://www.jmylbn.com_新闻资讯_第7张


Reference:

Matsumori T, Uza N, Okada H, Maruno T, Shiokawa M, Kodama Y, Seno H. A novel technique for performing gallbladder tumor biopsy using a stent delivery system and biopsy forceps. Endoscopy. 2020 Nov;52(11):E415-E417. doi: 10.1055/a-1149-8625. Epub 2020 Apr 24. PMID: 32330950.


声明:

本文翻译为来自柳叶新潮团队编辑整理,仅供学习交流,欢迎个人转发至朋友圈。

转载请联系:18395606952。