泥鳅导丝怎么用超滑泥鳅导丝致纵隔血肿,保守治疗血肿吸收

新闻资讯2026-04-21 16:49:03


本病例源自王海昌冠脉介入操作技巧丛书《造影导管、指引导管并发症处理操作技巧》,欲知海昌教授对该病例的点评、操作解析、要点讲解等内容,请在淘宝搜“西安博诺图书”(点击店铺)或点击公众号文末链接,即可购买。把重点知识带回家!


超滑泥鳅导丝致纵隔血肿


病例资料

患者男性,59岁,因突发胸痛2小时入院。

泥鳅导丝怎么用超滑泥鳅导丝致纵隔血肿,保守治疗血肿吸收_https://www.jmylbn.com_新闻资讯_第1张


治疗过程

急诊冠脉造影发现粗大前降支近端严重狭窄,行PCI处理,支架膨胀良好,血流3级。

泥鳅导丝怎么用超滑泥鳅导丝致纵隔血肿,保守治疗血肿吸收_https://www.jmylbn.com_新闻资讯_第2张
泥鳅导丝怎么用超滑泥鳅导丝致纵隔血肿,保守治疗血肿吸收_https://www.jmylbn.com_新闻资讯_第3张
泥鳅导丝怎么用超滑泥鳅导丝致纵隔血肿,保守治疗血肿吸收_https://www.jmylbn.com_新闻资讯_第4张
泥鳅导丝怎么用超滑泥鳅导丝致纵隔血肿,保守治疗血肿吸收_https://www.jmylbn.com_新闻资讯_第5张
泥鳅导丝怎么用超滑泥鳅导丝致纵隔血肿,保守治疗血肿吸收_https://www.jmylbn.com_新闻资讯_第6张
泥鳅导丝怎么用超滑泥鳅导丝致纵隔血肿,保守治疗血肿吸收_https://www.jmylbn.com_新闻资讯_第7张
泥鳅导丝怎么用超滑泥鳅导丝致纵隔血肿,保守治疗血肿吸收_https://www.jmylbn.com_新闻资讯_第8张
泥鳅导丝怎么用超滑泥鳅导丝致纵隔血肿,保守治疗血肿吸收_https://www.jmylbn.com_新闻资讯_第9张
泥鳅导丝怎么用超滑泥鳅导丝致纵隔血肿,保守治疗血肿吸收_https://www.jmylbn.com_新闻资讯_第10张


术后情况

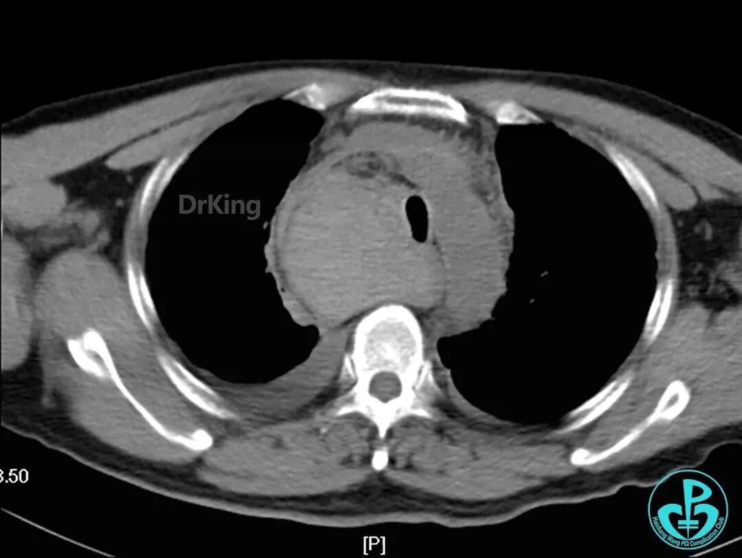
送入CCU观察,术后2小时感咽部不适,伴胸部胀痛、气促。立即复查心电图见有动态变化,床边超声检查未见心包积液,即刻予以替罗非班静脉泵入,吗啡镇痛,持续静脉水化等处理,患者症状无明显缓解,诉胀痛及气促有加重趋势,伴咳嗽。行胸部CT平扫发现纵隔血肿。


PCI术后即刻心电图。

泥鳅导丝怎么用超滑泥鳅导丝致纵隔血肿,保守治疗血肿吸收_https://www.jmylbn.com_新闻资讯_第11张

PCI后2小时,患者咽部不适时心电图提示改变。

泥鳅导丝怎么用超滑泥鳅导丝致纵隔血肿,保守治疗血肿吸收_https://www.jmylbn.com_新闻资讯_第12张

入院前急诊肺CT与术后2小时胸部CT对照,术后发生纵隔血肿。

泥鳅导丝怎么用超滑泥鳅导丝致纵隔血肿,保守治疗血肿吸收_https://www.jmylbn.com_新闻资讯_第13张

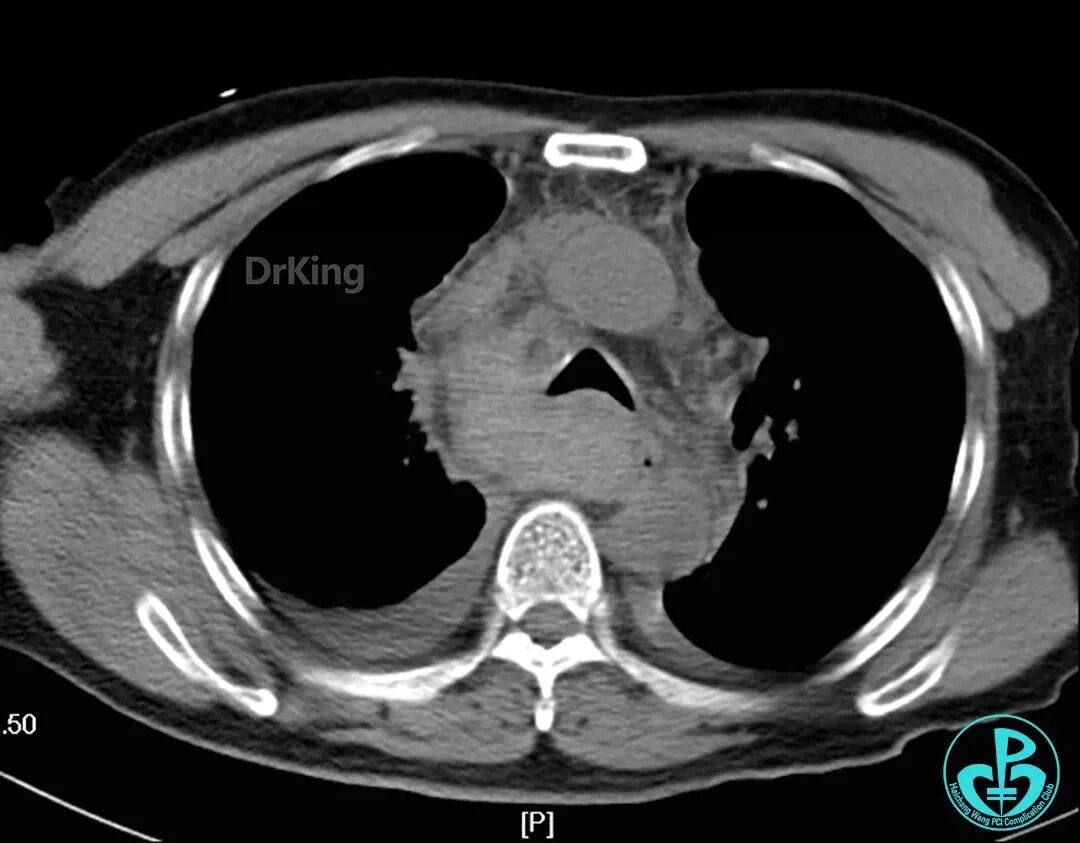
主动脉弓层面前后CT对照。

泥鳅导丝怎么用超滑泥鳅导丝致纵隔血肿,保守治疗血肿吸收_https://www.jmylbn.com_新闻资讯_第14张

术后第2天复查胸部CT,见血肿减轻。

泥鳅导丝怎么用超滑泥鳅导丝致纵隔血肿,保守治疗血肿吸收_https://www.jmylbn.com_新闻资讯_第15张
泥鳅导丝怎么用超滑泥鳅导丝致纵隔血肿,保守治疗血肿吸收_https://www.jmylbn.com_新闻资讯_第16张

急诊术中导丝在锁骨下通过困难,曾在局部推注造影剂造影,回顾造影结果发现局部小血管破裂造影剂渗漏。

泥鳅导丝怎么用超滑泥鳅导丝致纵隔血肿,保守治疗血肿吸收_https://www.jmylbn.com_新闻资讯_第17张

术后CTA未发现异常。

泥鳅导丝怎么用超滑泥鳅导丝致纵隔血肿,保守治疗血肿吸收_https://www.jmylbn.com_新闻资讯_第18张
泥鳅导丝怎么用超滑泥鳅导丝致纵隔血肿,保守治疗血肿吸收_https://www.jmylbn.com_新闻资讯_第19张

临床处理:

立即停用替罗非班、阿司匹林,中和肝素;

严密监测生命体征(血压、SPO、心率),防止休克;

持续吸氧、监测血红蛋白及凝血功能;

备血、镇咳、上胃管、使用缓泻剂;

夜间防止睡眠呼吸暂停,必要时气管插管;

造影发现出血分支,栓塞治疗;

胸外科会诊,必要时切开引流;

备闭式胸腔引流。


2周后随访,血肿已经吸收。

泥鳅导丝怎么用超滑泥鳅导丝致纵隔血肿,保守治疗血肿吸收_https://www.jmylbn.com_新闻资讯_第20张



今日

阅读

01-除了“死亡芭蕾”,还有哪些迹象提示主动脉夹层?

02-高度小心!闭塞9天的粗大右冠脉导丝也会进假腔?



《王海昌冠脉介入操作技巧丛书》GO


进西安博诺图书书店逛逛吧,

为你的知识库添加宝贵财富!




共享病例  深度学习

声明:本讨论来源于介入并发症群及其版权所有,转载请注明出处(专家姓名+DrKing道金医学)。文内观点针对特定病例,不具备广泛临床指导意义,请勿简单模仿,以免对患者带来负面影响。对于盲目模仿文中方法带来的不良后果,DrKing道金医学不负任何责任。

说明:文章中所使用的文字和图片如有侵权请告知,我们会第一时间撤回删除。

>>本期编辑 | 道金团队 <<<